
主管:中华人民共和国教育部
主办:中南大学 中南大学湘雅医院
主编:王志明
创刊:1992年3月
国际标准刊号:ISSN 1005-6947
国内统一刊号:CN 43-1213
国内邮发代号:42-121

2026, 35(2):201-222. doi: 10.7659/j.issn.1005-6947.250652
摘要:2025年6月发布的《肝门部胆管癌:米兰专家共识》由全球71位专家组成8个工作组,基于570项研究,采用苏黎世—丹麦共识模型,结合GRADE证据分级体系及《牛津循证医学中心证据分级(2011版)》制定,形成71条推荐意见,旨在为肝门部胆管癌(pCCA)的规范化诊治提供循证依据,并明确未来研究方向。该共识系统涵盖pCCA的定义与诊断、术前评估与优化、手术策略、肝移植适应证及结局报告标准等关键问题,尤其聚焦外科治疗中的争议焦点及决策路径。本文结合国内外相关指南及作者临床实践经验,对共识的核心推荐进行系统梳理与对比解读,以期为临床医师理解与应用该共识提供参考。
2026, 35(2):223-229. doi: 10.7659/j.issn.1005-6947.260042
摘要:世界卫生组织近期发布《成人肥胖GLP-1药物应用与适应证指南》,标志着以GLP-1受体激动剂为代表的药物治疗在肥胖管理中的地位进一步确立。本文从外科视角系统解读该指南核心内容,重点分析GLP-1治疗对肥胖症治疗格局的重塑作用及其对减重与代谢外科带来的机遇与挑战,并结合我国医疗实践,探讨药物与手术协同应用的临床路径。旨在为优化肥胖症综合管理策略提供参考。
2026, 35(2):230-241. doi: 10.7659/j.issn.1005-6947.260052
摘要:胆道肿瘤的长期生存仍依赖R0切除,但梗阻性黄疸、胆管炎、肝储备不足及系统治疗相关肝损伤,使围手术期风险集中于“胆汁淤积—感染—功能衰竭”链条,单纯依赖微创技术难以弥补由此带来的功能代价。基于最新指南与循证证据,本文提出以“功能可切除性”为核心的胆道肿瘤多阶段诊疗路径,涵盖转化/新辅助治疗、术前功能再评估、功能导向手术以及术后康复与长期随访。术前决策以未来肝残余“体积+功能”综合评估为基础,必要时联合99mTc-mebrofenin SPECT/CT及吲哚菁绿(ICG)清除试验进行区域功能定量,并通过选择性胆道引流、感染控制、营养与凝血优化及门静脉栓塞建立“功能安全窗”。术中整合ICG荧光、术中超声及三维重建以提高R0切除率并优化重建质量;术后依循加速康复外科理念管理,以肝切除后肝功能衰竭、术后临床相关胰瘘及患者报告结局为核心终点评价疗效。该路径强调“功能优先、微创其次”,通过动态评估、主动干预与结局量化的闭环管理,在保证肿瘤学根治性的同时最大程度保留器官功能与生活质量。
2026, 35(2):242-251. doi: 10.7659/j.issn.1005-6947.250686
摘要:胆道恶性肿瘤(BTC)包括肝内胆管癌(iCCA)、肝门部胆管癌(pCCA)及远端胆管癌(dCCA),整体预后较差。近年来,随着新辅助治疗(NAT)、分子分型及移植标准的不断优化,肝移植在BTC中的应用取得重要进展。对于pCCA,基于Mayo方案的“NAT+肝移植”策略显著改善了不可切除患者的长期生存,但仍面临复发及血管并发症等挑战;对于iCCA,肝移植适应证已由禁忌证逐步扩展至极早期及部分经NAT转化的局部晚期患者,显示出与肝细胞癌相当的生存获益。与此同时,靶向治疗及免疫治疗的发展为NAT方案优化提供了新的方向。本文综述BTC肝移植的适应证演变、预后影响因素、患者筛选策略及当前研究进展,并探讨未来发展方向,以期为临床决策提供参考。
2026, 35(2):252-259. doi: 10.7659/j.issn.1005-6947.260060
摘要:随着我国人口老龄化加剧,老年及高龄人群胆囊结石发病率持续升高,严重影响患者预期寿命及生活质量。老年患者常存在生理储备下降、多病共存及临床表现与病理损伤程度不匹配等特点,显著增加胆囊结石诊治难度。近年来,精准个体化医疗理念强调通过多学科综合评估,对老年患者实施“筛查—诊断—评估”的全流程管理,早期识别高危人群并开展干预。对已确诊患者应在积极干预与手术风险之间取得平衡,制定个体化诊疗策略并把握最佳手术时机。腹腔镜胆囊切除术仍为首选治疗方式,但需遵循损伤控制原则。对于高危患者,可采用经皮肝胆囊穿刺引流术作为“两步法”桥接策略以降低围手术期风险。术中可借助吲哚菁绿荧光或术中超声辅助辨识解剖结构,必要时行胆囊次全切除或及时中转开腹。围手术期精细化管理是促进老年患者快速康复的重要环节。未来可依托大数据与人工智能构建适用于中国高龄人群的风险预测模型,推动区域性胆道疾病中心建设,实现从社区筛查到全流程管理的闭环诊疗模式。
游金杉,李子沐,简睿,王志鑫,刘智鹏,戴海粟,白洁,江艳,陈志宇
2026, 35(2):260-268. doi: 10.7659/j.issn.1005-6947.250513
摘要:背景与目的 肝门部胆管癌(pCCA)患者一旦发生淋巴结转移(LNM),生存显著下降。然而,术前准确预测LNM仍然困难。本研究旨在筛选与病理LNM独立相关的术前临床及影像学因素,并构建可用于术前风险分层的预测模型。方法 回顾性纳入2020年10月—2024年10月在中国人民解放军陆军军医大学第一附属医院和青海大学附属医院接受根治性切除的327例pCCA患者。根据术后病理结果分为LNM阳性组(n=131)和阴性组(n=196)。比较两组基线特征,采用单因素及多因素Logistic回归分析筛选独立预测因素,并基于回归结果构建列线图模型。结果 LNM阳性患者的中位总生存期(16.0个月 vs. 42.0个月)和无复发生存期(12.0个月 vs. 32.0个月)均显著低于阴性组(均P<0.001)。多因素Logistic回归分析显示:年龄≥65岁为保护因素(OR=0.556,P=0.021),而糖类抗原19-9(CA19-9)≥200 U/mL(OR=2.266,P=0.001)及影像学怀疑LNM(OR=2.917,P=0.001)为独立危险因素。基于上述变量构建的列线图模型可实现个体化术前LNM风险量化评估。结论 年龄、CA19-9水平及影像学淋巴结状态可作为pCCA术前预测LNM的独立指标。基于三项易获取变量构建的列线图模型具有良好的临床实用性,有助于术前风险分层和淋巴结清扫策略优化。
2026, 35(2):269-278. doi: 10.7659/j.issn.1005-6947.250284
摘要:背景与目的 胆道感染是恶性胆道梗阻介入治疗后的常见并发症之一,但目前缺乏有效的早期预测指标。本研究探讨Toll样受体2(TLR2)mRNA、组氨酸脱羧酶(HDC)及中性粒细胞CD64在恶性胆道梗阻患者数字减影血管造影(DSA)引导胆道支架联合放射性粒子链植入术后胆道感染的表达变化及其预测价值。方法 回顾性纳入2021年1月—2024年2月河北省邢台市人民医院285例接受DSA引导胆道支架联合放射性粒子链植入术的恶性胆道梗阻患者,根据术后是否发生胆道感染分为感染组(46例)和未感染组(239例)。比较两组基线资料及术前、术后1 d炎症指标[C-反应蛋白(CRP)、降钙素原(PCT)、白细胞]及TLR2 mRNA、HDC、CD64水平。采用Pearson相关分析,评价其与CRP的相关性,采用多因素Logistic回归分析影响因素,并通过受试者工作特征曲线(ROC)评估其预测价值。另纳入2024年3月—2024年10月50例患者进行前瞻性验证。结果 感染组糖尿病、胆结石及高位梗阻比例高于未感染组(均P<0.05)。术后1 d感染组CRP、TLR2 mRNA、HDC及CD64水平均高于未感染组(均P<0.05)。TLR2 mRNA、HDC及CD64与CRP水平均呈正相关(r=0.729、0.682、0.755,均P<0.05),并与感染严重程度呈正相关。多因素Logistic回归分析显示,校正糖尿病、胆结石及梗阻类型后,TLR2 mRNA、HDC及CD64仍为术后胆道感染的独立相关因素(均P<0.05)。ROC分析显示三者联合预测术后胆道感染的曲线下面积为0.923,敏感度为89.13%,特异度为84.10%,优于单项指标。前瞻性验证结果显示预测模型与实际结果一致性良好(κ=0.864)。结论 恶性胆道梗阻患者DSA引导胆道支架联合放射性粒子链植入术后TLR2 mRNA、HDC及CD64水平升高与胆道感染发生相关,三者联合检测具有较高的早期预测价值,可为术后胆道感染的早期识别提供参考。
2026, 35(2):279-288. doi: 10.7659/j.issn.1005-6947.250625
摘要:背景与目的 Hem-o-lok夹广泛应用于腹腔镜胆囊切除术(LC)中的胆囊管及血管闭合,但其术后移位虽罕见,却可进入胆总管形成异物,影像学表现易误诊为胆总管结石,增加诊断与治疗难度。针对该远期并发症的识别与处理,临床认知仍有不足。本文通过分析1例相关病例并结合文献复习,总结其临床特征及诊治要点。方法 回顾性分析中国人民解放军空军军医大学第二附属医院普通外科2025年10月收治的1例29岁女性患者的临床资料。患者4年前行LC,本次因体检发现“胆总管结石”1年余入院,术前影像学提示胆总管多发充盈缺损。患者拒绝内镜下逆行胰胆管造影治疗,遂行腹腔镜胆总管探查术(LCBDE),术中确诊为Hem-o-lok夹移位。分析其诊疗过程、影像学特征及术中所见,并结合文献进行讨论。结果 术前影像学提示胆总管多发结石。LCBDE术中经胆道镜探查,于胆总管中下段取出3枚移位的Hem-o-lok夹,周围未见胆色素结石,确诊为“胆总管异物(Hem-o-lok夹)”。术后置T管引流,恢复顺利出院。术后2个月T管窦道造影示胆总管通畅,无残留异物或结石,顺利拔管。结论 Hem-o-lok夹移位是LC术后一种罕见的远期并发症,影像学易误诊为胆总管结石。对有相关手术史的患者,应将其纳入鉴别诊断。LCBDE是确诊及处理该并发症的有效方式。规范术中操作及合理选择闭合方式,并加强术后随访,有助于降低此类并发症风险。
2026, 35(2):289-297. doi: 10.7659/j.issn.1005-6947.250464
摘要:背景与目的 腹腔镜胆总管切开取石术(LCBDE)是胆总管结石的主要微创治疗方式。“单孔+1”腹腔镜技术(SILS+1)在胆囊手术中已显示出微创优势,但其在胆总管切开取石中的安全性与有效性仍有争议。本研究在统一应用吲哚菁绿(ICG)荧光胆管显影及自脱落胆道支架条件下,比较SILS+1与传统多孔LCBDE的围手术期疗效与安全性。方法 回顾性分析2024年3月—2025年3月接受LCBDE治疗的132例胆总管结石患者,根据手术方式分为SILS+1组(n=32)与传统多孔组(n=100)。采用倾向性评分匹配后纳入SILS+1组32例、传统多孔组64例。比较两组术中指标、术后恢复、并发症发生率及美容满意度等。结果 两组手术时间及胆管缝合时间差异无统计学意义(均P>0.05)。SILS+1组标本取出时间更短,切口总长度更小,术后24 h疼痛评分更低,腹壁美容满意度更高(均P<0.001)。两组在术中出血量、住院时间、住院费用及并发症发生率方面差异无统计学意义(均P>0.05)。所有胆汁漏患者经保守治疗恢复,无需再次手术;两组均无残余结石及支架相关并发症。结论 在统一ICG荧光导航及胆道自脱落支架辅助条件下,SILS+1 LCBDE在不增加并发症发生风险的前提下,可进一步减少手术创伤、减轻术后疼痛并改善美容效果,是一种安全、可行的微创手术方式,但其长期疗效仍需进一步研究验证。
2026, 35(2):298-305. doi: 10.7659/j.issn.1005-6947.250612
摘要:背景与目的 胆汁漏是腹腔镜胆囊切除术(LC)后常见且严重的并发症之一,影响患者恢复并增加再干预风险。本研究旨在分析LC术后胆汁漏的相关危险因素,并构建预测模型评价其临床应用价值。方法 回顾性分析2020年9月—2025年5月河南省南阳市第一人民医院收治的1 630例LC患者临床资料。采用单因素及多因素Logistic回归分析胆汁漏发生的独立危险因素,并建立回归方程。通过ROC曲线评价模型预测效能。结果 1 630例患者中,胆汁漏发生81例(4.97%)。多因素分析显示,胆总管直径≤3 mm、胆囊颈部结石、解剖变异、胆囊三角粘连、与周围脏器粘连、胆囊壁厚度≥5 mm及胆囊三角电灼为独立危险因素(均P<0.05)。构建回归方程:Logit(P)=-9.126+1.362×胆囊颈部结石+0.784×胆总管直径+1.695×与周围脏器粘连+1.108×胆囊三角电灼+0.895×胆囊三角粘连+0.679×解剖变异+0.559×胆囊壁厚度。模型AUC为0.903,敏感度82.72%,特异度84.44%。结论 LC术后胆汁漏发生与多种解剖及术中操作因素密切相关,所构建的回归模型具有良好的预测效能,可用于术前及术中风险评估。
米星宇,卢诗琪,满一凡,潘毅林,陈魁,袁野,曹惠玮,谢艳会,周乐杜
2026, 35(2):306-322. doi: 10.7659/j.issn.1005-6947.260074
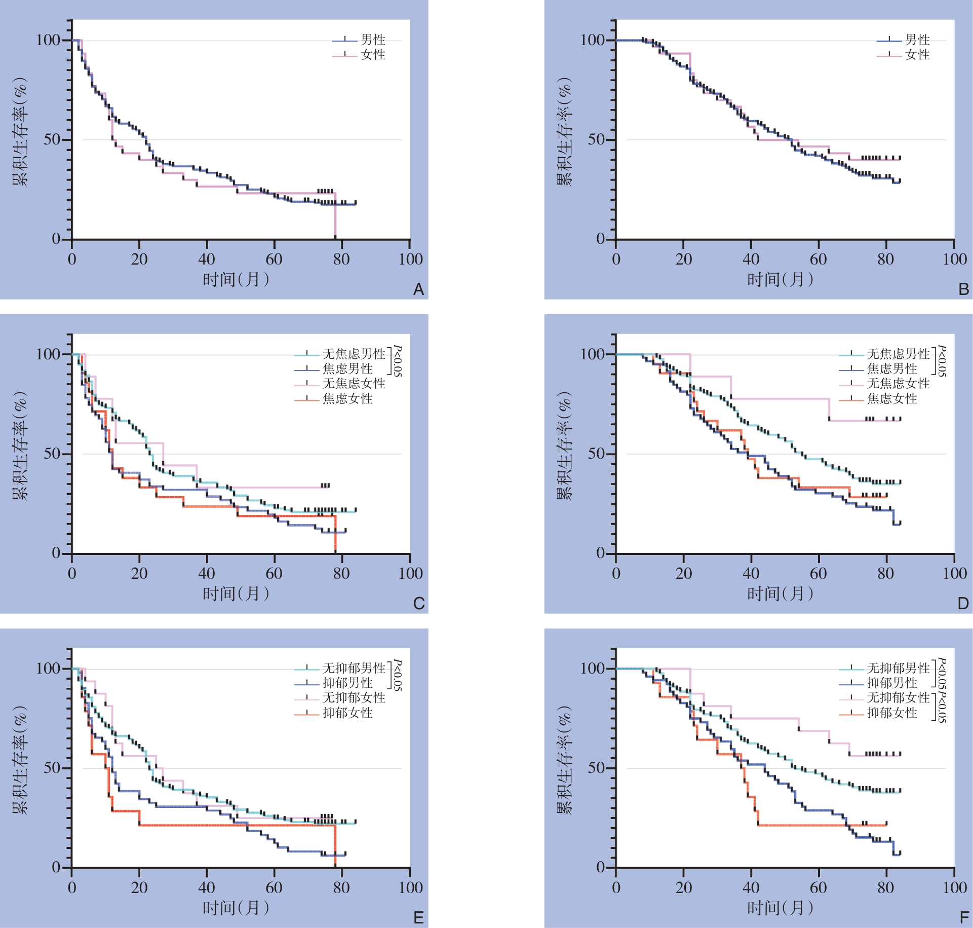
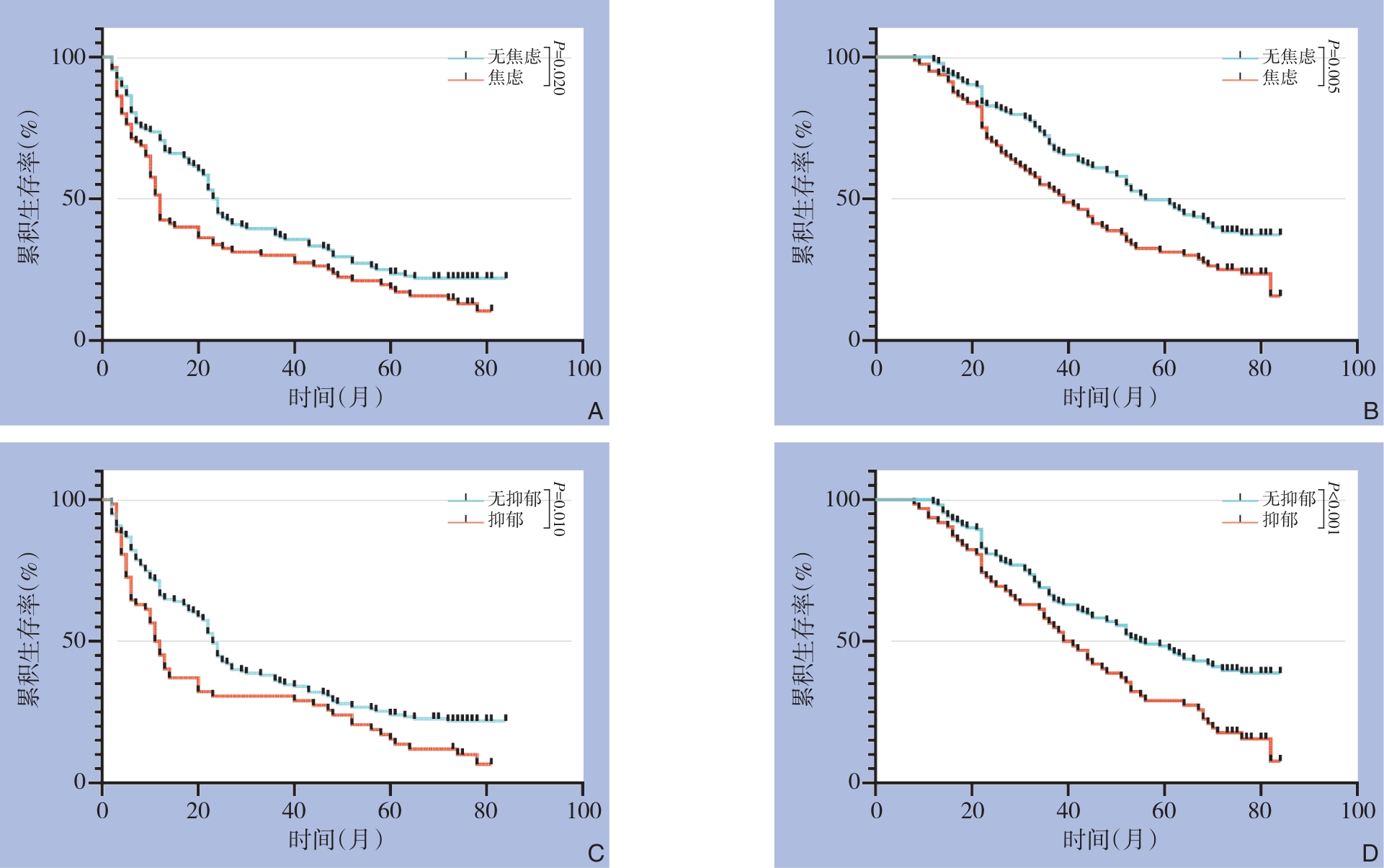
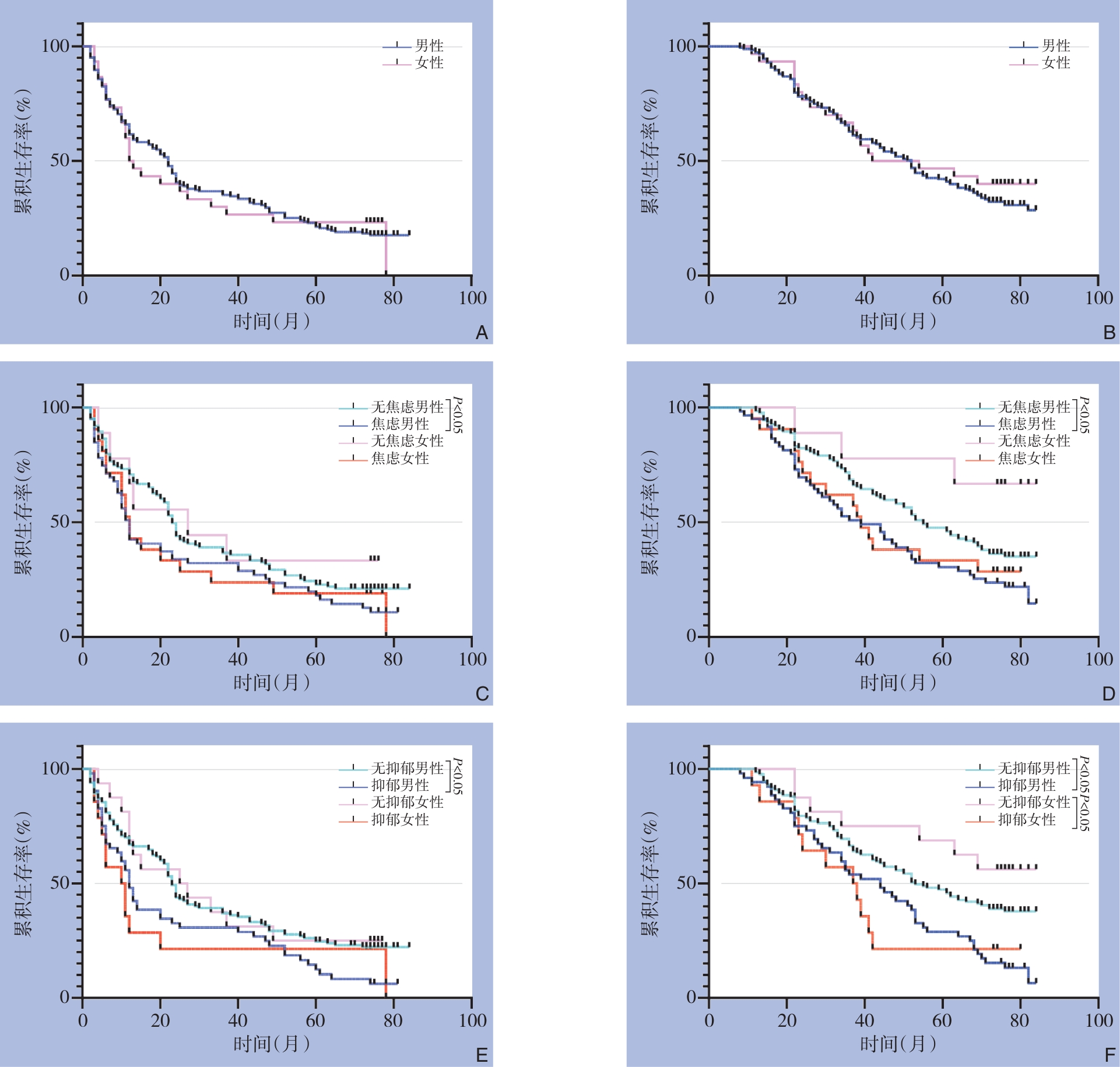
摘要:背景与目的 肝细胞癌(HCC)术后复发率高、远期预后不佳。随着生物-心理-社会医学模式的发展,心理因素在肿瘤预后中的作用逐渐受到关注,但术前焦虑与抑郁对HCC术后长期生存的影响尚缺乏前瞻性证据。本研究旨在探讨术前焦虑与抑郁状态对HCC患者根治性治疗后预后的影响。方法 本研究为单中心前瞻性队列研究,连续纳入2019年接受根治性肝切除或消融的HCC患者213例。采用Zung焦虑自评量表(SAS)和抑郁自评量表(SDS)评估术前心理状态。主要终点为总生存(OS),次要终点为无病生存(DFS)。采用Kaplan-Meier法及Cox比例风险模型分析预后影响因素。结果 术前焦虑和抑郁检出率分别为37.6%和31.0%,45.1%患者存在至少一种心理困扰。Kaplan-Meier分析显示,焦虑或抑郁患者的DFS和OS均明显降低(均P<0.05)。多因素分析中,焦虑或抑郁单独纳入模型未显示独立预测价值,但合并为“焦虑或抑郁状态”后,成为DFS(HR=1.589,P=0.003)和OS(HR=1.844,P<0.001)的独立不良预后因素。此外,CNLC分期、手术方式及MVI亦为独立影响因素。结论 术前焦虑与抑郁在HCC患者中较为常见,并与术后生存不良显著相关。综合评估心理困扰较单一症状更具预后价值,提示应将心理筛查纳入围手术期管理。
2026, 35(2):323-333. doi: 10.7659/j.issn.1005-6947.250439
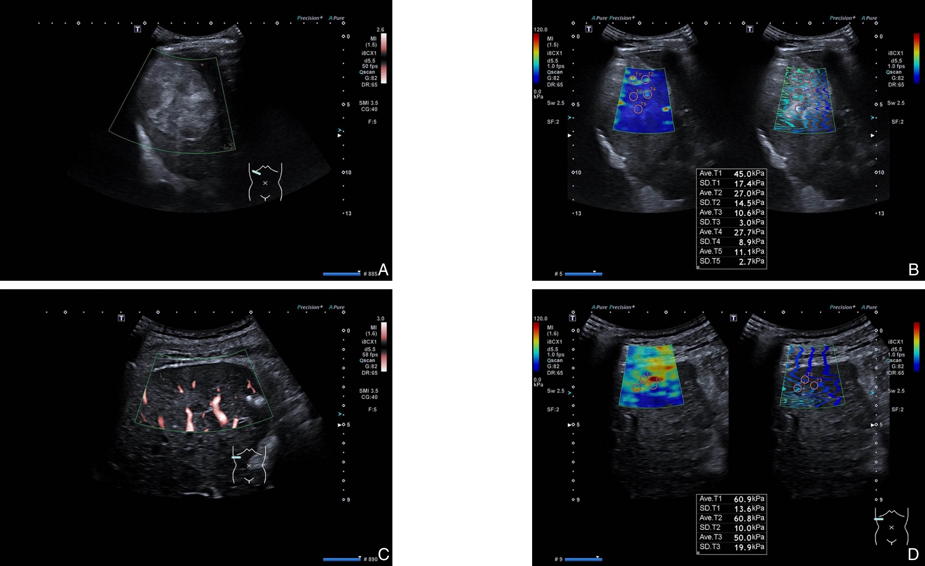
摘要:背景与目的 中晚期肝癌患者接受经导管动脉化疗栓塞(TACE)联合射频消融(RFA)序贯治疗后复发率仍较高,术前缺乏可靠的风险分层工具。本研究基于超微血管成像(SMI)与剪切波弹性成像(SWE)构建多模态超声联合机器学习模型,并结合SHAP算法进行可解释性分析,旨在预测中晚期肝癌患者TACE-RFA序贯治疗后的复发风险。方法 回顾性纳入2022年6月—2024年6月215例BCLC B/C期肝癌患者,按7∶3比例分为训练集(n=150)与测试集(n=65)。收集临床资料、生化指标及SMI、SWE超声特征。采用随机森林、支持向量机及极限梯度提升(XGB)进行变量重要性排序,结合交集筛选及双向逐步Logistic回归确定独立预测因子。构建7种机器学习模型,通过10折交叉验证优化参数。以曲线下面积(AUC)、敏感度、特异度、Brier评分及决策曲线分析(DCA)评价模型性能,并利用Tree SHAP解释模型输出。结果 术前肿瘤最大径、甲胎蛋白(AFP)、最大弹性模量(Emax)、弹性比值(Eratio)及血管形态为独立预测因子。XGB模型在训练集与测试集中的AUC分别为0.989和0.959,Brier评分分别为0.034和0.056,DCA显示其在较宽阈值范围内具有最佳净收益。SHAP分析表明,高Eratio、高AFP、血管形态不规则及肿瘤最大径较大显著增加复发风险,而较低Emax与复发风险降低相关。结论 基于SMI-SWE多模态超声构建的XGB模型可较准确预测中晚期肝癌患者TACE-RFA序贯治疗后的复发风险,具有良好的临床应用潜力。SHAP分析增强了模型的可解释性,为术前个体化风险评估和治疗决策提供了量化依据。
2026, 35(2):334-342. doi: 10.7659/j.issn.1005-6947.250694
摘要:背景与目的 内镜逆行胰胆管造影术(ERCP)后胰腺炎(PEP)是最常见且影响预后的主要并发症,其发生增加住院时间及医疗负担。尽管已有部分危险因素被识别,但临床上仍缺乏基于常规变量、便于应用的风险评估工具。本研究旨在分析PEP的危险因素,并构建实用的风险预测模型。方法 回顾性分析2020年1月—2025年6月于内蒙古医科大学赤峰市医院537例行ERCP患者的临床资料,按是否发生PEP分组。采用单因素及多因素Logistic回归筛选独立危险因素,并据此建立列线图模型。通过受试者工作特征(ROC)曲线及校准曲线评价模型性能。结果 537例患者中93例(17.3%)发生PEP。多因素分析显示,高血压史(OR=2.014)、胰管显影(OR=4.663)、十二指肠乳头球囊扩张术(OR=2.459)及插管时间>57 min(OR=3.530)为PEP的独立危险因素(均P<0.05)。基于上述变量构建的列线图模型具有良好的区分度(AUC=0.750)及校准度(Hosmer-Lemeshow检验P=0.793)。在接受十二指肠乳头球囊扩张术患者中,放置与未放置胰管支架患者的PEP发生率差异无统计学意义(P>0.05)。结论 高血压史、胰管显影、十二指肠乳头球囊扩张术及插管时间延长与PEP的发生密切相关。所建立的预测模型具有较好的预测效能,可用于ERCP患者围手术期风险分层及个体化预防策略制定。
2026, 35(2):343-349. doi: 10.7659/j.issn.1005-6947.250598
摘要:背景与目的 胰腺癌(PC)早期诊断困难,现有标志物(如CA19-9)难以满足人群筛查需求。常规血/尿生化指标具备可及性强、可重复检测等优势,但其与PC风险的因果关系尚不明确。本研究基于两样本孟德尔随机化(MR)方法,系统评估35项常规生化指标与PC风险的潜在因果关联。方法 暴露数据来源于英国生物样本库(UK Biobank)相关GWAS汇总数据,结局数据来自FinnGen R12数据库。以逆方差加权法(IVW)为主要分析方法,并结合MR-Egger、加权中位数及加权模式方法进行验证,同时开展异质性、多效性及稳健性分析。结果 MR分析显示,肾功能相关指标与PC风险存在稳定因果关联:遗传预测的血肌酐每升高1个标准差,PC风险增加18%(OR=1.18,95% CI=1.03~1.36,P=0.019);估算肾小球滤过率(eGFR)每升高1个标准差,PC风险降低17%(OR=0.83,95% CI=0.72~0.97,P=0.016)。多种敏感性分析结果一致,未发现显著异质性或水平多效性。结论 本研究提供了肾功能相关指标与PC风险之间的遗传学因果证据,提示“肾功能轴”可能参与PC发生发展。血肌酐与eGFR有望作为PC风险分层及早期识别的潜在宿主标志物,仍需进一步机制研究与前瞻性验证。
周文斌,王丹丹,潘红,石靓,夏添松,梁燕,马丹丹,王水,齐晓伟,丁强
2026, 35(2):350-356. doi: 10.7659/j.issn.1005-6947.250280
摘要:传统开放乳房全切术创伤大且瘢痕明显,影响患者身心健康及生活质量。随着微创技术的发展,单孔腔镜辅助腋窝入路乳房皮下腺体切除术因切口隐蔽、美观性佳而逐渐受到关注。在此基础上,笔者团队开展了腔镜电剪刀辅助腋窝入路乳房皮下腺体切除术,并在临床实践中不断优化操作流程。该技术以腔镜电剪刀为主要分离工具,结合膨胀液辅助及标准化解剖层次,能够减少皮瓣热损伤,改善术野暴露并提高手术操作的精细度与安全性,同时具有学习曲线相对较短、易于掌握等特点。本文基于200余例手术经验,对术前准备、器械配置、手术步骤及关键操作要点进行系统总结,以期为乳腺外科微创手术的规范化开展提供参考。
2026, 35(2):357-366. doi: 10.7659/j.issn.1005-6947.260022
摘要:2025年10月17—21日,欧洲肿瘤内科学会(ESMO)年会在德国柏林召开。大会公布了多项肝胆恶性肿瘤领域的重要研究成果,涵盖免疫治疗、靶向治疗、围手术期策略、转化治疗及生物标志物等关键方向。在肝细胞癌领域,免疫联合抗血管生成治疗仍为一线标准,双免疫及多药联合方案不断探索,但部分三联策略未能带来额外生存获益;转化治疗及围手术期综合治疗显示出改善预后的潜力。胆道肿瘤方面,新辅助治疗和转化治疗取得突破,精准靶向治疗在耐药后及罕见突变人群中展现出应用前景。与此同时,生物标志物在风险分层及疗效预测中的作用逐渐凸显。本文系统梳理本次大会肝胆肿瘤领域的代表性研究,分析其临床价值与局限,并探讨未来研究方向,以期为临床决策提供参考。
杨丽斐,武晓宁,钱叶蓉,刘鹏,任耀星,王傅民,张谞丰,吕毅,向俊西
2026, 35(2):367-375. doi: 10.7659/j.issn.1005-6947.260046
摘要:肝细胞癌(HCC)是全球发病率和病死率均较高的恶性肿瘤,其肿瘤免疫微环境复杂,导致免疫治疗总体应答率仍然有限。近年来研究发现,在慢性炎症或肿瘤微环境中异位形成的三级淋巴结构(TLS)在HCC免疫调控中发挥重要作用。大量研究表明,TLS的存在、密度、成熟度及空间分布与HCC患者较好的生存预后、较低的复发风险以及更佳的免疫检查点抑制剂治疗响应密切相关。部分抗肿瘤治疗(如放疗、肝动脉灌注化疗等)还可诱导TLS形成或促进其成熟,从而改善肿瘤免疫微环境并增强抗肿瘤免疫应答。本文综述TLS的结构组成与形成机制,总结其在HCC预后评估和免疫治疗预测中的潜在价值,并重点讨论诱导或靶向TLS的治疗策略及其临床转化前景,以期为HCC精准免疫治疗提供新的研究思路。
2026, 35(2):376-383. doi: 10.7659/j.issn.1005-6947.250671
摘要:随着通信技术与手术机器人技术的发展,远程机器人手术逐步由早期示范探索进入临床应用阶段。第五代移动通信、专网及低轨卫星通信的应用显著提升了远程操控的实时性与稳定性,为跨区域开展外科手术提供了重要技术基础。近年来,我国依托国产手术机器人平台,在多学科、多场景开展了远程手术探索,初步验证了其可行性与安全性。然而,与本地机器人手术相比,远程机器人手术在通信不确定性、双团队协作、并发症应急处置及培训体系等方面呈现新的风险特征,现有研究多为病例报道或小样本研究,循证证据仍有限。本文在梳理远程机器人手术关键技术与应用现状的基础上,分析其操作模式与风险结构特点,总结覆盖术前评估、术中安全控制、并发症处置及术后质量管理的安全实施框架,并探讨其规范化推广面临的主要挑战,以期为远程机器人手术的临床应用与后续研究提供参考。
2026, 35(2):384-390. doi: 10.7659/j.issn.1005-6947.250408
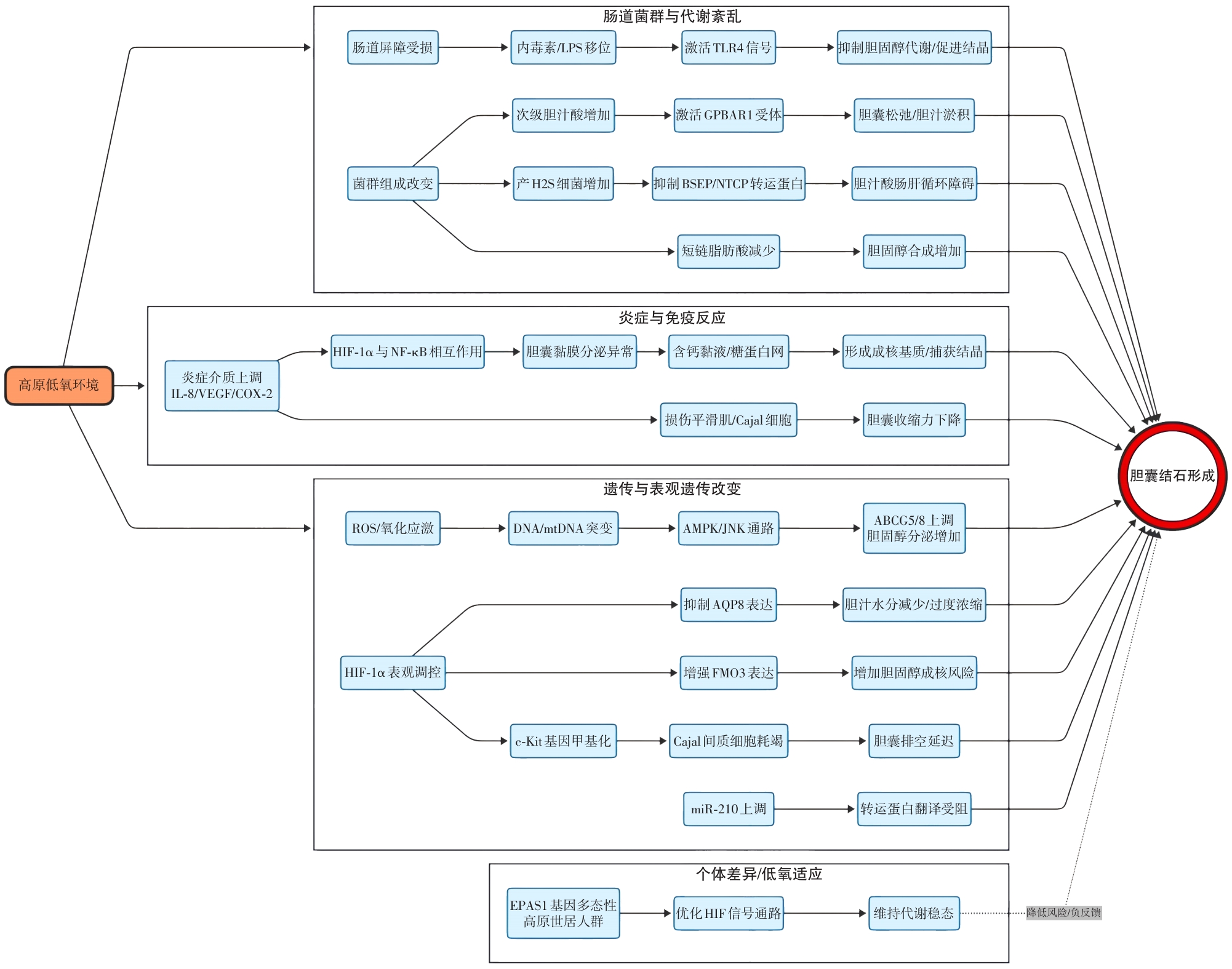
摘要:高原地区低氧环境被认为是影响人体代谢与疾病谱的重要环境因素。近年来流行病学研究发现,高海拔地区胆囊结石患病率明显高于平原地区,但其潜在机制尚未完全阐明。研究提示,高原低氧可能通过多种途径参与胆囊结石形成,包括影响肝脏脂质与胆固醇代谢、改变胆汁成分、降低胆囊收缩功能、破坏肠道菌群稳态及激活炎症反应等。此外,低氧还可通过氧化应激、DNA损伤及表观遗传调控等机制进一步促进成石过程。与此同时,高原人群对低氧的遗传适应性(如EPAS1等基因多态性)可能影响个体对胆囊结石的易感性。本文系统综述高原低氧与胆囊结石发生发展的研究进展,重点总结其在代谢调控、胆囊动力、肠道菌群及炎症-表观遗传调控等方面的可能机制,以期为高原地区胆囊结石的防治及相关研究提供参考。
2026, 35(2):391-396. doi: 10.7659/j.issn.1005-6947.250673
摘要:背景与目的 胆总管结石合并壶腹周围癌临床罕见,二者症状重叠,易导致误漏诊并延误治疗。本研究旨在分析其误漏诊特点、原因及优化诊断策略。方法 回顾性分析2022年11月—2025年8月河北医科大学第二医院普外一科收治的9例胆总管结石合并壶腹周围癌误漏诊患者的临床资料,重点总结首诊特征、影像学表现、确诊途径及治疗结局。结果 9例患者均以胆囊结石、胆总管结石为首诊诊断并接受相关治疗,误漏诊时间为35~180 d。初诊多依赖腹部超声及CT,均未发现壶腹部病变。转诊后经增强CT、经内镜逆行胰胆管造影活检或EUS-FNA明确诊断。7例行胰十二指肠切除术,2例行内镜胆道支架置入。随访5~30个月,3例死亡。误漏诊主要与临床表现重叠、对肿瘤警惕性不足、过度依赖常规影像检查及术中探查不充分有关。结论 胆总管结石合并壶腹周围癌易被掩盖,尤其在老年及伴胆管扩张、肿瘤标志物升高患者中应提高警惕。构建“影像筛查-内镜评估-病理确诊”的分层诊断路径,并规范术中探查与术后随访,有助于降低误漏诊率。
2026, 35(2):397-402. doi: 10.7659/j.issn.1005-6947.250655
摘要:背景与目的 在微创与加速康复理念推动下,减孔腹腔镜技术逐渐应用于胆总管结石治疗,但单孔腹腔镜-胆道镜胆总管探查术的临床价值及其学习过程仍缺乏系统评估。本研究基于倾向评分匹配,比较单孔与三孔腹腔镜-胆道镜胆总管探查术的临床疗效,并分析单孔术式的学习曲线特征。方法 回顾性纳入2022年3月—2025年8月中国人民解放军联勤保障部队第九〇一医院行腹腔镜-胆道镜胆总管探查术的患者,按手术方式分为单孔组与三孔组。采用1∶2倾向评分匹配平衡基线差异。比较两组围手术期指标,包括手术时间、术中出血、术后恢复情况、并发症及住院费用等。以手术时间为评价指标,采用累积求和分析法(CUSUM)分析单孔术式学习曲线。结果 匹配后两组基线资料基本均衡。与三孔组相比,单孔组术后排气时间更短、术后24 h疼痛评分更低、腹腔引流管留置时间更短(均P<0.05),但手术时间更长、住院费用更高(均P<0.05)。两组在术中出血量、术后胆汁漏、术后感染及住院时间等方面差异无统计学意义(均P>0.05)。CUSUM分析显示,单孔腹腔镜-胆道镜胆总管探查术在完成约20例后达到学习曲线拐点,术者操作逐渐稳定。结论 单孔腹腔镜-胆道镜胆总管探查术在保证安全性的前提下,可减轻术后早期疼痛并促进胃肠功能恢复,但以手术时间延长及费用增加为代价。该术式存在一定学习曲线,建议在规范培训及病例选择基础上逐步开展,并优化手术方案。

主管:中华人民共和国教育部
主办:中南大学 中南大学湘雅医院
主编:王志明
创刊:1992年3月
国际标准刊号:ISSN 1005-6947
国内统一刊号:CN 43-1213
国内邮发代号:42-121
