
主管:中华人民共和国教育部
主办:中南大学 中南大学湘雅医院
主编:王志明
创刊:1992年3月
国际标准刊号:ISSN 1005-6947
国内统一刊号:CN 43-1213
国内邮发代号:42-121

2025, 34(9):1801-1841. doi: 10.7659/j.issn.1005-6947.250547
摘要:肝脏切除术已成为肝胆外科疾病最重要的治疗方法。肝切除术的围手术期管理与其安全性和疗效密切相关。围手术期管理包括术前、术中及术后对病人病情诊疗的系统化评估和处理,其原则和方法近年来发展较快。2017年中华医学会外科学分会肝脏外科学组发布《肝切除术围手术期管理专家共识》。在此基础之上,编审委员会梳理已有的循证医学研究证据,结合国内外众多肝脏外科中心的最新临床实践经验,组织国内相关领域多学科专家团队进行研讨、修订形成《肝脏切除术围手术期多学科临床管理指南(2025版)》。该指南涵盖肝脏切除术术前、术中和术后相关病情系统评估和处理的原则和方法,并给出具体推荐意见,旨在促进该领域临床实践的规范化和精细化,提高肝脏切除术的安全性和临床疗效,为肝脏外科相关的临床专业人员提供指导和参考。
2025, 34(9):1842-1857. doi: 10.7659/j.issn.1005-6947.250522
摘要:急性高甘油三酯血症胰腺炎发病率逐年上升,复发率高,严重影响患者长期预后。目前相关指南主要集中在急性期治疗,康复期缺乏规范化管理。为弥补这一不足,浙江省预防医学会联合全国多学科专家,基于循证医学证据与临床实践经验,制定本专家共识。共识重点围绕病因识别与复发风险评估、血清甘油三酯控制目标、生活方式与药物干预、营养与微生态管理、并发症及合并症防治、心理与中医干预,以及随访和多学科团队模式应用等方面,提出可操作的推荐意见。旨在为临床提供规范化、个体化管理路径,降低复发风险,改善患者长期结局。
王丹,窦晓淋,陈洋洋,赵顺顺,纪连栋,朱帅,罗东,陆晔斌,周军,魏伟,陈果,龚学军
2025, 34(9):1858-1875. doi: 10.7659/j.issn.1005-6947.250487
摘要:2025年国际胰腺病学会联合美国胰腺协会、欧洲胰腺俱乐部、印度胰腺俱乐部及日本胰腺协会等成员发布了《2025年国际胰腺病学会急性胰腺炎修订指南》。该指南是对2013年版指南的全面修订,基于近10年高质量证据(尤其是随机对照试验),涵盖疼痛管理、液体治疗、营养支持、感染性坏死处理、并发症管理、出院及随访、复发预防等18个领域,共提出96条推荐意见,强调个体化治疗。更新内容对规范临床实践、提升急性胰腺炎治疗效果具有重要指导意义,并为未来研究(如靶向治疗应用)指明了方向。然而,指南存在部分推荐证据等级不高、特殊情境适用性待验证,以及未充分考虑经济负担和成本效益等局限性。
2025, 34(9):1876-1881. doi: 10.7659/j.issn.1005-6947.250479
摘要:胰十二指肠切除术是胰腺外科风险最高、并发症最复杂的手术之一,其中临床相关胰瘘仍是影响术后恢复与预后的关键问题。近年来的研究显示,仅依靠改变胰肠吻合方式难以持续降低胰瘘发生率。复旦大学附属中山医院胰腺外科提出并研发的“预防性胆-胰双分流系统”,通过术中同步引流胆汁与胰液,实现“减压+分隔”的双重保护机制,旨在从源头上阻断胰液被激活的病理链条,降低吻合口并发症发生风险。本文系统阐述了该系统的设计原理、临床应用与早期试验结果,并结合多中心随机对照研究进展,探讨其适应证界定、术中操作要点、外引流管理及患者依从性等关键环节。同时,文章展望了基于风险分层、智能引流、抗菌管理和材料学创新的未来发展方向。作为一种兼具理念创新与工程转化的防瘘策略,预防性胆-胰双分流系统有望成为防控胰十二指肠切除术后并发症的新范式。
2025, 34(9):1882-1891. doi: 10.7659/j.issn.1005-6947.250523
摘要:胰腺外科因其解剖复杂、手术风险高而被视为外科领域的“高地”。近年来,三维重建、荧光导航、增强现实(AR)、混合现实(MR)与人工智能(AI)等数智化技术的引入,为胰腺外科的精准、安全与智能化发展提供了新的解决方案。本文系统梳理了数智化技术在胰腺外科“术前规划-术中导航-术后监测”全流程中的创新应用与临床实践。术前,通过基于深度学习的nnU-Net框架实现胰周血管与胆胰管的高精度三维重建,辅助个体化手术规划;术中,结合吲哚菁绿荧光成像、AR/MR及多模态影像融合技术,实现血管、胆管与肿瘤边界的实时可视化与动态定位,提高解剖识别精度与操作安全性;术后,AI结合可穿戴设备与多模态数据监测,推动并发症风险的智能预测与早期干预。数智化技术的系统性融合正重塑胰腺外科诊疗范式,助力实现从经验驱动到数据驱动、从术者依赖到智能决策的转变。未来,随着算法优化与循证证据积累,数智赋能将持续推动胰腺外科向个体化、精准化、智能化迈进。
2025, 34(9):1892-1901. doi: 10.7659/j.issn.1005-6947.250466
摘要:胰管支架是治疗慢性胰腺炎、胰管狭窄及术后胰瘘等疾病的重要介入器械。传统塑料或金属支架虽能有效引流胰液、减轻导管压力,但长期留置易引发异物反应、感染和再狭窄。理想的胰管支架应具备良好生物相容性、高效引流及可控降解性能。随着医工融合与材料科学的发展,胰管支架材料正经历由“惰性植入”向“智能降解”的转变。可降解高分子与金属材料尤其是镁合金(Mg-Zn-Mn)因具备可调力学性能、耐腐蚀性及体内降解特性,成为研究热点。Mg-2Zn-1.0Mn通过成分优化与表面改性可实现稳定的力学支撑与可控降解;聚乳酸、聚二氧环己酮等高分子材料经结构编织与复合设计,可提升通畅性并避免二次取出。复合可降解支架(如ARCHIMEDES)已实现多档降解速率并获多国批准。结合三维打印与药物洗脱、形状记忆等技术,新一代胰管支架有望实现支撑、修复与抗瘤一体化功能。未来,需通过医工协同优化材料设计,完善降解动力学研究与长期安全性评估,加速临床转化。
刘柏岐,申鼎成,宁彩虹,林嘉晏,孙泽芳,洪晓悦,朱帅,陈璐,李嘉荣,黄耿文
2025, 34(9):1902-1908. doi: 10.7659/j.issn.1005-6947.250123
摘要:背景与目的 早发广泛性气肿型胰腺炎(EP)是一种起病急骤、进展迅速、病死率极高的感染性胰腺坏死(IPN)亚型,临床少见,相关研究有限。本研究旨在分析其临床特征、病原谱特点、治疗方式及预后,为早期识别与干预提供依据。方法 回顾性分析2010年1月—2023年10月中南大学湘雅医院305例IPN患者的临床资料。根据影像学特征筛选出起病2周内胰腺或胰周坏死面积≥50%、呈大片状气泡征的早发广泛性EP 8例,并与普通IPN患者进行比较,分析两组的临床特征、病原学分布、治疗策略及结局。结果 305例IPN中,早发广泛性EP占2.6%。早发广泛性EP组病死率和多器官衰竭发生率均明显高于普通IPN组(75.0% vs. 24.6%、75.0% vs. 34.7%,均P<0.05)。早发广泛性EP患者共检出15株病原微生物,主要为肺炎克雷伯菌(62.5%)和大肠埃希菌(37.5%),其中耐碳青霉烯类肠杆菌感染率明显高于普通IPN组(75.0% vs. 31.1%,P=0.015)。治疗方式以经皮穿刺置管引流为基础的升阶梯策略为主,与普通IPN组无明显差异(P=0.625)。结论 早发广泛性EP是IPN的罕见亚型,具有进展迅速、病死率高的特点。肺炎克雷伯菌和大肠埃希菌是主要致病菌,应警惕其耐药感染风险。对疑似病例应尽早影像学评估并积极干预,以改善预后。
2025, 34(9):1909-1922. doi: 10.7659/j.issn.1005-6947.250388
摘要:背景与目的 感染性坏死性胰腺炎(INP)尤其是弥漫性分布者病情凶险。对于首选干预策略(微创阶梯式vs.直接开腹坏死清除术)仍存在争议;此外“湿性”与“干性”坏死,以及是否合并重症急性胰腺炎(SAP)对策略选择的影响尚不明确。本研究旨在比较两种策略在弥漫性分布INP中的疗效与安全性,并评估基于CT影像的坏死类型与SAP状态在决策中的指导价值。方法 回顾性分析2012年1月—2023年3月中南大学湘雅三医院收治的458例弥漫分布INP患者,其中微创阶梯式组256例,直接开腹组202例。按基于决定因素的分类法定义SAP,依据CT特征将坏死分为“湿性”和“干性”。比较两组主要终点事件(死亡或严重并发症复合终点)及次要终点事件(死亡率、住院时间、切口并发症等),并进行亚组分析。结果 总体上,直接开腹组主要终点事件发生率(62.4% vs. 48.1%,P=0.003)及死亡率(27.2% vs. 16.8%,P=0.008)均高于微创阶梯式组。SAP亚组中,阶梯式治疗主要终点事件发生率更低(66.7% vs. 97.7%,P=0.003)。非SAP患者中,两组主要终点事件发生率相近,但直接开腹组住院时间更短[(36.5±10.4)d vs.(45.6±18.6)d,P<0.001],切口感染和切口疝更常见(均P<0.001)。多因素分析显示,感染出现时间、积液特征、气泡征及坏死部位为阶梯式治疗长期住院的独立预测因素(均P<0.05)。“湿性”坏死患者经微创阶梯式治疗获益更大,而“干性”坏死患者经直接开腹治疗住院时间更短。结论 对于弥漫性分布的INP,治疗策略应基于SAP状态与坏死液化/影像特征个体化选择:阶梯式微创优先适用于SAP患者及CT示“湿性”坏死者;对于“干性”坏死(尤其液化不充分者),直接开腹清创在缩短住院时间与降低某些主要终点事件方面更具优势,但需警惕切口感染与切口疝等并发症。CT影像学特征与SAP分类可作为风险分层工具,指导个体化干预时机与方式。
2025, 34(9):1923-1933. doi: 10.7659/j.issn.1005-6947.250306
摘要:背景与目的 急性胰腺炎(AP)是一种由多种因素引起的胰腺急性炎症反应,以胰酶异常激活及自身消化为主要特征。尽管常见病因为胆石症、高脂血症及饮酒,但部分患者的病因罕见且诊断延迟,易导致复发及误治。本文通过分析4例以AP为首发症状的少见病因病例,并结合文献复习,总结其诊断思路与治疗经验,为临床鉴别诊治提供参考。方法 回顾性分析中南大学湘雅三医院2021年11月—2024年9月收治的4例以AP为首发表现的少见病因患者的临床资料,结合国内外相关文献,探讨其病因特征、诊断要点及治疗策略。结果 4例患者的病因为胰腺导管内乳头状黏液性肿瘤、胰腺神经内分泌瘤、胰腺癌及十二指肠肠套叠。所有病例初诊时均表现为不明原因AP。经系统评估后,3例患者接受手术根治,术后恢复良好;1例患者因胰腺癌确诊较晚,仅行姑息性治疗,3个月后死亡。结论 少见病因所致的AP临床表现与常见类型相似,早期识别难度大。针对反复发作或原因不明的AP,应重视病因追溯,充分利用影像学及内镜检查手段明确诊断。对可手术病变应积极干预,以减少复发并改善预后。
刘勐,王恒,孔晓晗,杨发基,牛哲禹,郝以杰,王新,朱化强,高恒军,卢俊,周旭
2025, 34(9):1934-1945. doi: 10.7659/j.issn.1005-6947.250118
摘要:背景与目的 腹腔镜胰十二指肠切除术(LPD)是治疗壶腹部周围肿瘤的重要手术方式,但术后胃排空延迟(DGE)仍较为常见,严重影响患者恢复。鼻空肠管(NJT)常用于术后早期肠内营养支持,但其对DGE的影响尚存争议。本研究旨在探讨术中置入NJT与LPD术后DGE发生的相关性,并评估其对术后恢复及预后的影响。方法 回顾性分析2017年4月—2023年11月于山东第一医科大学附属省立医院接受LPD的319例患者的病历资料,按术中是否放置NJT分为NJT组(n=200)与无NJT组(n=119)。比较两组DGE发生率及术后恢复指标差异。采用多因素Logistic回归及倾向性评分匹配(PSM)分析,验证NJT置入是否为DGE的独立危险因素。结果 NJT组B、C级DGE发生率明显高于无NJT组(36.5% vs. 21.8%,P=0.006),术后住院时间和住院费用亦明显增加(均P<0.05)。多因素分析显示,术中置入NJT(OR=1.960,95% CI=1.142~3.363,P=0.015)及术中出血量>400 mL(OR=1.921,95% CI=1.155~3.194,P=0.012)为DGE的独立危险因素。PSM后结果仍保持一致。结论 术中预防性放置NJT不仅不能改善患者术后恢复,反而显著增加DGE风险并延长住院时间、增加医疗费用。临床上应避免常规放置NJT,而应依据患者具体情况进行个体化决策,以减少术后并发症并优化恢复过程。
罗东,陈齐振,陆晔斌,周军,何群,梁帅,魏伟,朱帅,李宜雄,龚学军,纪连栋
2025, 34(9):1946-1952. doi: 10.7659/j.issn.1005-6947.250260
摘要:背景与目的 胰腺癌是一种恶性程度极高、预后极差的消化系统肿瘤。近年来其发病呈年轻化趋势,早发性胰腺癌(EOPC,诊断年龄≤50岁)比例逐年上升,可能具有独特的生物学行为和预后特征。国内针对EOPC的系统研究较少,因此本研究探讨EOPC患者的临床病理特征及其预后。方法 回顾性分析2017年1月─2023年12月中南大学湘雅医院收治的113例EOPC患者的临床资料,包括一般资料、临床病理特征及预后信息。采用Kaplan-Meier法绘制生存曲线,并比较手术组与非手术组的生存差异。结果 113例EOPC患者中位年龄为46(42~49)岁,男性占65.49%。A型及O型血型占比最高(40.71%和34.51%)。主要临床症状为腹痛(69.91%)、体质量下降(62.83%)、黄疸(43.36%)和腹胀(36.28%)。影像学显示胆管扩张32.74%,主胰管扩张39.82%,血管侵犯59.29%,远处转移52.21%。病理结果显示腺癌及导管腺癌占93.81%,以中、低分化为主(共76.10%),胰头部发病最常见(65.42%)。TNM分期显示,淋巴结转移率高达77.88%,临床Ⅳ期占52.21%。实验室检查中CA19-9显著升高。Kaplan-Meier分析显示,全队列中位总生存期为18.6个月;手术组明显优于非手术组(29.4个月vs. 13.8个月,P=0.001 5)。结论
2025, 34(9):1953-1964. doi: 10.7659/j.issn.1005-6947.240402
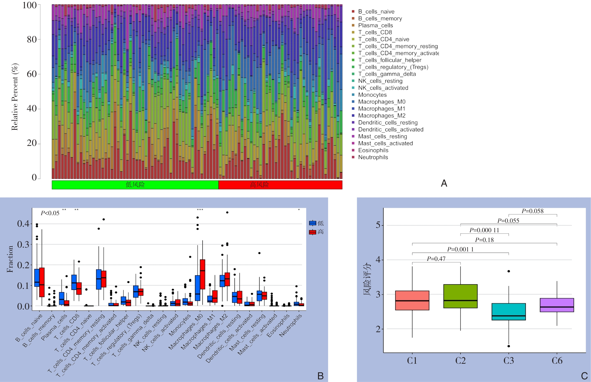
摘要:背景与目的 胰腺癌是一种恶性程度极高、预后极差的消化系统肿瘤,其复杂的肿瘤微环境在疾病进展中发挥重要作用。氧化应激与乳酸代谢是影响肿瘤发生、发展及免疫逃逸的关键生物过程,二者在胰腺癌预后中的协同效应尚不明确。本研究旨在整合氧化应激和乳酸代谢相关基因,构建并验证一个具有临床价值的胰腺癌预后模型,为揭示其潜在的分子机制提供依据。方法 从肿瘤基因组图谱数据库获取177例胰腺癌患者的转录组测序数据和临床资料,并结合基因表达全景图谱(GEO)数据库(GSE57495)进行外部验证。通过“limma”R包筛选胰腺癌中氧化应激与乳酸代谢相关的差异表达基因,采用单变量Cox回归分析筛选预后相关基因,进一步经LASSO回归建立多基因风险评分模型。利用Kaplan-Meier生存曲线、受试者工作特征(ROC)曲线、一致性指数(C指数)、列线图及决策曲线评估模型的预测能力和临床应用价值。最后,运用CIBERSORT算法和ssGSEA分析不同风险组间免疫细胞浸润差异及免疫状态特征。结果 最终筛选出6个关键基因(MUC1、KRT18、SDC1、AREG、DDC、ATPAF2)构建胰腺癌预后模型。根据模型计算的风险评分,患者被划分为高、低风险组。Kaplan-Meier分析显示高风险组患者总生存率明显低于低风险组(P<0.01)。ROC曲线分析显示该模型在1、2、3年预测中的曲线下面积分别为0.710、0.674、0.649,C指数和列线图验证均表明模型具有良好的区分性与校准性。多因素Cox分析提示风险评分是胰腺癌的独立预后因素。外部GEO数据集验证了模型的稳健性。免疫浸润分析显示,高风险组中M0型巨噬细胞比例明显增加,而效应T细胞及CD8+ T细胞浸润减少,提示免疫抑制性微环境可能与预后不良相关。结论 本研究构建了一个基于氧化应激与乳酸代谢相关基因的胰腺癌预后预测模型,能够独立预测患者生存,并揭示不同风险组的免疫微环境差异。该模型为胰腺癌的预后评估、分层管理及个体化治疗策略的制定提供了新的分子依据与潜在靶点。
2025, 34(9):1965-1974. doi: 10.7659/j.issn.1005-6947.250449
摘要:背景与目的 胰腺癌(PC)是预后极差的恶性肿瘤,早期诊断与风险预测仍面临巨大挑战。既往研究提示多种血清代谢物与PC风险相关,但因观察性研究受混杂因素影响,其因果性尚未明确。本研究基于大规模基因组数据,系统评估血清代谢物与PC风险的遗传因果关系,筛选PC风险相关基因,并构建基因-代谢物-PC的因果关联网络。方法 利用双样本孟德尔随机化(TSMR)和基于汇总数据的孟德尔随机化(SMR),分析方法,整合325种血清代谢物的GWAS数据、胰腺组织eQTL数据及FinnGen R12 PC GWAS数据,分析代谢物与PC风险的遗传因果关联,筛选PC风险基因,并进一步探讨代谢物在基因与PC风险间的潜在中介作用。结果 TSMR分析共鉴定出4种血清代谢物与PC风险存在显著因果关系。血清白蛋白水平(OR=1.456,P=0.003)及小高密度脂蛋白(HDL)中游离胆固醇比例(OR=1.189,P=0.005)升高显著增加PC风险,而中间密度脂蛋白(IDL)与小HDL中磷脂比例升高则具有保护作用(OR=0.792和0.836,均P<0.01)。SMR分析进一步识别出196个与PC风险显著相关的基因,其中包括DGKQ、CDC37P1、SULT1A2等风险基因及PALMD、HEG1等保护性基因。最终共确立32对显著的基因-代谢物因果配对,揭示特定代谢物在基因与PC风险之间可能发挥中介作用。结论 本研究系统描绘了血清代谢物与胰腺癌风险之间的因果关联及其基因调控网络,提示脂质代谢相关通路在PC发生中的核心作用。所得代谢物及基因线索为胰腺癌的早期诊断、分层筛查及个体化干预策略提供了科学依据。
2025, 34(9):1975-1986. doi: 10.7659/j.issn.1005-6947.250323
摘要:背景与目的 胃癌是全球高发且预后不良的恶性肿瘤,现有治疗手段疗效有限。铁死亡作为一种新型细胞死亡方式,在肿瘤治疗中具有重要潜力。末端核苷酸转移酶5B(TENT5B)在多种肿瘤中低表达,但其在胃癌中的作用尚未明确。本研究旨在探讨TENT5B在胃癌中的表达特征及其通过调控铁死亡抑制肿瘤进展的机制。方法 通过TCGA和GEO数据库分析TENT5B在胃癌中的表达情况,并采用qRT-PCR和Western blot检测其在胃癌组织及细胞中的表达水平;利用CCK-8、克隆形成、划痕愈合和Transwell实验评估TENT5B过表达对胃癌细胞增殖和迁移的影响;通过细胞活力、脂质活性氧化物和丙二醛水平分析铁死亡情况;结合生物信息学、mRNA稳定性检测和功能挽救实验探讨其分子机制;并通过小鼠皮下成瘤实验验证其体内作用。结果 TENT5B在胃癌组织和细胞中明显下调。过表达TENT5B可抑制胃癌细胞增殖和迁移,并促进铁死亡。机制研究表明,TENT5B通过增强PRKAA2 mRNA稳定性上调其表达,进而介导铁死亡的发生。体内实验进一步证实TENT5B过表达可抑制肿瘤生长并提高PRKAA2水平。结论 TENT5B作为潜在的抑癌基因,可通过增强PRKAA2 mRNA稳定性促进铁死亡,从而抑制胃癌进展。本研究为胃癌铁死亡靶向治疗提供了新的分子依据和潜在治疗策略。
2025, 34(9):1987-1995. doi: 10.7659/j.issn.1005-6947.250307
摘要:目的 对于初始不可切除的肝细胞癌(HCC),转化治疗为患者争取根治性切除提供了新的机会。然而,转化治疗后手术的最佳切缘宽度尚无共识。本研究旨在探讨转化治疗后肝癌切除术中切缘宽度对预后的影响,并分析影响转化治疗后手术疗效的独立预后因素。方法 回顾性分析2015年2月—2022年6月于中山大学肿瘤防治中心接受转化治疗后行根治性切除的413例初始不可切除HCC患者的临床资料。依据术中病理实测切缘,将患者分为肿瘤切缘<1 cm与≥1 cm两组,并进一步分为切缘=0 cm、=0.1 cm和>0.1 cm亚组,比较组间生存差异。采用Kaplan-Meier法及Cox回归模型评估无瘤生存期(DFS)和总生存期(OS)及其影响因素。结果 切缘<1 cm组与≥1 cm组的3年OS及DFS均无明显差异(均P>0.05)。相比之下,切缘=0 cm患者的OS明显低于切缘=0.1 cm者(P=0.048),但切缘=0.1 cm与>0.1 cm患者的OS及DFS差异均无统计学意义(均P>0.05)。多因素分析显示,多个肿瘤、低分化及微血管侵犯是OS和DFS的独立不良预后因素(均P<0.05),靶向治疗对DFS具有保护作用(P=0.014)。结论 转化治疗后HCC根治性切除的安全切缘阈值可降低至0.1 cm。传统≥1 cm切缘标准未能带来额外的生存获益。病理切缘≥0.1 cm可显著改善患者OS,而零切缘切除则增加复发和死亡风险。多灶性、低分化及微血管侵犯提示转化治疗后手术患者预后不良,术前靶向或免疫治疗可能改善生存结局。
刘云飞,罗东,朱红伟,徐培,谢琼琼,孙吉春,余枭,陈浪,李志强
2025, 34(9):1996-2006. doi: 10.7659/j.issn.1005-6947.250287
摘要:胰腺癌以侵袭性强、早期隐匿及预后差著称,大多数患者确诊时已属中晚期,失去根治性手术机会。本研究回顾性分析中南大学湘雅三医院4例局部中晚期胰腺癌患者的诊治过程,探讨高强度聚焦超声(HIFU)消融联合化疗作为新辅助及转化治疗策略的临床价值与安全性。所有病例均经多学科诊疗团队综合评估后制定个体化方案,并接受HIFU联合吉西他滨+白蛋白紫杉醇方案治疗,系统评估肿瘤体积、血管受累、手术转化情况及症状改善,并记录不良事件。结果显示,3例患者经治疗后肿瘤显著缩小,血管侵犯明显减轻,均成功实施R0切除,术后随访未见复发;另1例患者虽未达到手术条件,但病情稳定、疼痛显著缓解,长期带瘤生存且生活质量良好。所有患者均耐受治疗,未出现严重不良反应。研究表明,HIFU联合化疗在促进肿瘤降期、提高手术转化率及缓解症状方面具有明显优势,其局部热消融与全身化疗的协同效应有助于克服胰腺癌局部控制难及药物渗透不足的局限。作为一种安全、微创且可重复实施的综合治疗手段,该策略为中晚期胰腺癌患者提供了新的治疗思路和可行方案,但仍需大样本、前瞻性研究进一步验证其长期疗效与机制。
2025, 34(9):2007-2015. doi: 10.7659/j.issn.1005-6947.250274
摘要:背侧胰腺发育不全(ADP)是一种极为罕见的先天性胰腺发育异常,其核心特征为胰体及胰尾缺如或发育不全。该疾病的发生与胚胎期腹背胰芽发育异常密切相关,受多基因调控网络影响,其中HLXB9、HNF1B、PDX1、PTF1A、GATA4和GATA6等关键转录因子在胰腺形态建成过程中发挥重要作用。ADP患者的临床表现差异较大,可无症状,也可表现为腹痛、糖尿病或胰腺炎等。影像学检查(包括超声、CT、磁共振胆胰管成像及经内镜逆行胆胰管造影)是确诊的主要手段,特征性表现为胰体尾缺如及胰头代偿性增大。ADP常合并肾、胆道、心血管或生殖系统等多器官发育异常。治疗以对症支持为主,糖尿病患者需胰岛素替代治疗,外分泌功能不足者可予胰酶补充。随着基因测序及干细胞技术的发展,对ADP的发病机制、遗传背景及潜在干预手段的研究不断深入。本文综述ADP的胚胎学与遗传学基础、临床表现、诊断及治疗进展,以期为临床诊治和未来研究提供参考。
2025, 34(9):2016-2028. doi: 10.7659/j.issn.1005-6947.250423
摘要:胆管癌(CCA)是一种起源于胆管上皮细胞的恶性肿瘤,近年来在亚洲地区的发病率与病死率呈增长趋势。由于CCA早期症状隐匿且不典型,患者确诊时多为晚期,丧失手术根治的机会。虽然临床上目前一线治疗以化疗为主,但其效果并不理想。随着当下二代测序技术迅速发展以及“个体化”精准治疗理念逐渐普及,人们对于CCA的分子生物学见解愈来愈深刻,在分子靶向治疗、免疫治疗以及靶免联合治疗的研究也愈来愈深入。本文针对CCA的分子靶点、免疫微环境、免疫检查抑制点及其治疗手段等方面做一概述。
2025, 34(9):2029-2033. doi: 10.7659/j.issn.1005-6947.250382
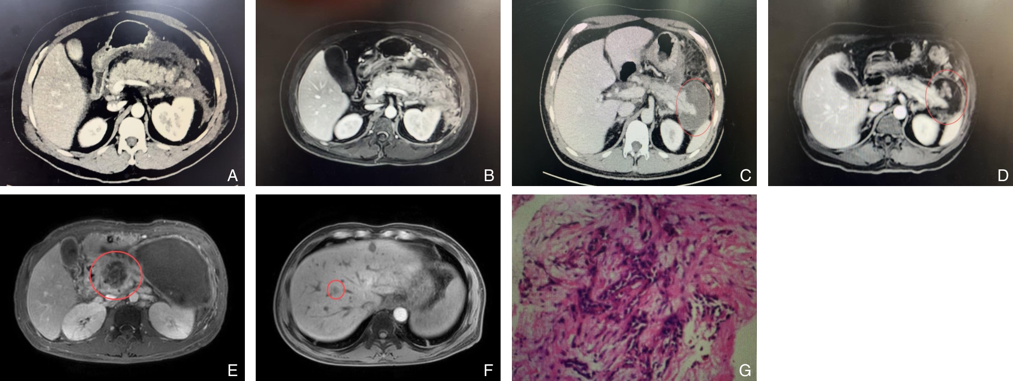
摘要:背景与目的 复发性急性胰腺炎(RAP)病因复杂,其中由寄生虫感染引起者极为罕见。胰腺阔盘吸虫侵入胰管导致梗阻并诱发RAP,目前国内尚无报道。本研究通过1例确诊病例,结合文献复习,探讨其临床特征、诊断难点及防治要点。方法 回顾分析湖南师范大学附属第一医院2023年收治的1例胰腺阔盘吸虫致RAP患者的临床资料,包括影像学、手术及病理学结果,并综述国内外相关文献。结果 患者为59岁女性,表现为反复上腹痛4年。影像学提示胰体尾部多囊性病变并胰管扩张,术前被考虑为胰管内乳头状黏液性肿瘤。行腹腔镜胰体尾及脾切除术后,病理证实导管内存在吸虫虫体及虫卵,最终确诊为胰腺阔盘吸虫感染。术后恢复良好,随访1年未再发胰腺炎。结论 胰腺阔盘吸虫是RAP罕见的病因,临床及影像学表现缺乏特异性,易误诊为胰腺囊性肿瘤。对于病因不明的RAP,尤其是有食用生食或野味史的患者,应重视寄生虫学检查,如粪便虫卵及血清抗体检测,以早期确诊并指导治疗。
2025, 34(9):2034-2038. doi: 10.7659/j.issn.1005-6947.250208
摘要:背景与目的 痔疮是常见的肛肠疾病,传统手术治疗虽能取得较好疗效,但创伤大、恢复慢。近年来,内镜下内痔套扎术(ERBL)因其微创性逐渐被应用于临床。本研究旨在比较ERBL与传统吻合器痔上黏膜环切术(PPH)在治疗内痔中的临床效果及安全性。方法 回顾性分析江西省上饶市立医院2021年1月1日—2024年12月31日内收治的100例痔疮手术患者资料,按手术方式分为两组:ERBL组(50例,行ERBL)和PPH组(50例,行吻合器PPH)。比较两组患者术后疗效、并发症发生率、住院时间、住院费用及术后恢复情况。结果 两组患者均顺利完成手术且总体疗效良好。ERBL组住院时间明显短于PPH组[4(1~9)d vs. 5(1~8)d,Z=-2.105,P=0.035],住院费用亦显著低于PPH组[8 279.4(3 546.6~14 697.7)元 vs. 11 206.9(8 319.8~18 146.7)元,Z=-5.937,P<0.001]。ERBL组总并发症发生率为8.0%,明显低于PPH组的24.0%(P=0.029)。多数ERBL组患者术后2~3 d可恢复日常活动,疼痛程度较轻。结论 与传统PPH术相比,ERBL在确保治疗效果的同时,具有创伤小、恢复快、并发症发生少及经济负担轻等优势,临床安全性及可行性更高,值得在Ⅱ~Ⅲ度内痔患者中推广应用。

主管:中华人民共和国教育部
主办:中南大学 中南大学湘雅医院
主编:王志明
创刊:1992年3月
国际标准刊号:ISSN 1005-6947
国内统一刊号:CN 43-1213
国内邮发代号:42-121
