
主管:中华人民共和国教育部
主办:中南大学 中南大学湘雅医院
主编:王志明
创刊:1992年3月
国际标准刊号:ISSN 1005-6947
国内统一刊号:CN 43-1213
国内邮发代号:42-121

2025, 34(8):1565-1588. doi: 10.7659/j.issn.1005-6947.250402
摘要:为进一步规范和提升我国结直肠癌肝转移的诊疗水平,《结直肠癌肝转移诊断和综合治疗指南(2025版)》在以往版本基础上,结合近年来国内外研究进展和临床经验,进行了系统更新。新版指南在优化诊断流程、加强多学科团队协作的基础上,全面升级了治疗策略,涵盖可达到无疾病证据状态(NED)患者的外科手术、辅助与新辅助治疗,及无法达到NED状态患者的综合治疗方案;同时拓展了基因检测内容,引入多种局部毁损新技术,强调规范随访与长期管理,力求实现治疗个体化、精准化,最终改善患者预后。指南旨在为全国医疗机构在结直肠癌肝转移的临床实践中提供循证、实用的参考依据。
2025, 34(8):1589-1602. doi: 10.7659/j.issn.1005-6947.250233
摘要:多数胆道恶性肿瘤在确诊时已处于进展期,失去根治性手术机会,患者预后极差。近年来,随着治疗手段的进步,转化治疗在部分初始不可切除的胆道恶性肿瘤中逐渐开展,使部分患者获得根治性手术机会。为了进一步规范胆道恶性肿瘤的转化治疗和提高整体治疗效果,中华医学会外科学分会胆道外科学组和中国医师协会外科医师分会胆道外科专家工作组结合最新循证医学证据及我国在胆道恶性肿瘤治疗中的具体实践,组织相关领域专家充分讨论后制定了《胆道恶性肿瘤转化治疗专家共识(2025)》,旨在梳理胆道恶性肿瘤转化治疗领域的焦点问题,规范标准化诊疗流程及方案,为进一步推动该领域的研究和临床实践奠定基础。
2025, 34(8):1603-1617. doi: 10.7659/j.issn.1005-6947.250357
摘要:低位前切除综合征(LARS)是直肠癌患者保肛术后常见的肠道功能障碍症候群,以储便与排空功能障碍为特征,已成为影响患者术后生活质量与临床结局的重要因素。目前对于LARS的致病机制尚不完全明确,仍缺少高质量循证依据指导临床实践。通过制定合理的肿瘤治疗方案、选择适宜的手术方式、评估真实的多维度症状特征、应用有效的预防干预策略以及实施规范的全程管理,能够有效减轻LARS症状的严重程度,进而改善患者生活质量。鉴于国内各级临床医师在LARS诊治过程中缺乏指导性共识意见,中国医师协会肛肠医师分会组织国内相关领域专家,检索并复习国内外研究成果,借鉴国外经验和指南,并结合国内实际情况,制定了《低位前切除综合征诊治中国专家共识(2025版)》。该共识从LARS的定义、临床表现、危险因素、病理生理机制、症状评估、治疗方法和预防策略等方面进行阐述,以期促进我国直肠癌患者保肛术后LARS的规范化诊治。
李敏 , 刘信 , 袁丹丹 , 王建国 , 陈江 , Dan Gabriel DUDA
2025, 34(8):1618-1632. doi: 10.7659/j.issn.1005-6947.250478
摘要:原发性肝癌(PLC)是全球发病率和病死率均较高的常见恶性肿瘤。肝细胞癌(HCC)是PLC的主要类型,在亚洲多由乙型肝炎病毒感染引起。尽管近年来在靶向治疗和局部治疗方面取得了进展,但其5年生存率依然较低,提示现有治疗手段疗效有限。免疫治疗的出现,特别是免疫检查点抑制剂(ICI),为PLC患者带来了新的希望。然而,由于肝脏独特的免疫微环境,免疫治疗在HCC中的疗效仍面临严峻挑战。本文综述了近年来肝癌免疫治疗的研究进展,重点讨论ICI、联合治疗、新兴疗法以及未来的发展方向。
2025, 34(8):1633-1639. doi: 10.7659/j.issn.1005-6947.250453
摘要:“磁”具有“力”和“场”的特性,可实现“非接触”作用。肝胆胰外科是手术技术不断创新的学科。2015年,笔者团队率先提出“磁外科”概念,并通过举办国际磁外科大会、创办期刊及编撰教材等工作,推动其从技术探索发展为学科体系。许多创新始于肝胆胰外科实践:磁力胆肠、胰肠吻合及胆管狭窄再通技术显著改善传统手术方式;肝脏大血管磁力吻合实现了供肝快速植入,促进了腹腔镜肝脏移植的开展;磁场锚定技术实现了多维度牵引暴露,减少Trocar孔及损伤,优化了腹腔镜操作。未来,磁外科将在多学科交叉推动下持续发展,融合磁场导航与微纳手术机器人,实现体内器械的精准追踪与引导,突破影像引导的局限,在肿瘤消融、管道穿刺等方面展现广阔前景。这将推动磁外科向精准化、微创化、智能化迈进,为肝胆外科乃至更广领域带来革新方案。
2025, 34(8):1640-1647. doi: 10.7659/j.issn.1005-6947.250225
摘要:肝门部胆管癌(PHCC)起病隐匿,具有高侵袭性且预后差,根治性手术切除对患者生存意义重大。因肝门部解剖结构复杂,传统腹腔镜手术面临诸多挑战。近年来,机器人手术凭借裸眼高清3D视野、精准操作及高灵活性,在PHCC手术中应用前景显著。但该技术存在费用高昂、术中操作空间受限及缺乏触觉反馈等问题,推广应用受限。本文结合国内外研究进展及本中心实践经验,分析肿瘤局部累及范围评估、Trocar合理布局、淋巴组织与神经丛廓清、肝切除范围的判定、血管切除与重建、胆管整形及胆肠吻合等优化策略,旨在探讨如何破解上述挑战、突破现有局限,为PHCC精准微创治疗提供新策略与技术路径。
2025, 34(8):1648-1661. doi: 10.7659/j.issn.1005-6947.250446
摘要:背景与目的 胆道恶性肿瘤预后极差,根治性切除是目前唯一可能治愈的手段。相较传统开腹手术,腹腔镜已被证实在安全性和有效性方面具有优势,但在复杂操作中仍受限。机器人辅助腹腔镜因其高清三维视野与灵活操作系统,被认为可弥补腹腔镜技术不足。然而,目前缺乏平衡基线差异后机器人辅助腹腔镜与普通腹腔镜在胆道恶性肿瘤治疗中的安全性对比研究。本研究旨在通过倾向性评分匹配(PSM),比较两种术式的短期安全性差异。方法 回顾性纳入中国胆道肿瘤协作组数据库中151例接受根治性切除的患者,其中腹腔镜组128例,机器人辅助腹腔镜组23例。为平衡基线差异,首先进行1∶1倾向性评分匹配(PSM),成功匹配腹腔镜19例与机器人19例;随后以机器人组为基准,再行1∶2 PSM,最终获得腹腔镜36例与机器人18例。比较两组主要结局(中转开腹率、转ICU率、术后并发症)及次要结局(手术时间、术中出血量、输血量、术后住院时间、再手术率、再入院率、住院费用等),并采用多因素回归分析探讨中转开腹与术后住院时间的影响因素。结果 PSM后两组基线特征平衡。主要结局方面,腹腔镜组中转开腹率明显高于机器人组(41.7% vs. 0,P=0.001),而两组转ICU率、术后并发症总发生率及不同Clavien-Dindo分级并发症发生率差异无统计学意义(均P>0.05)。次要结局方面,腹腔镜组术后住院时间明显长于机器人组(18.5 d vs. 8.0 d,P=0.005);手术时间、术中出血量、输血量、再手术率、再入院率及住院费用等差异无统计学意义(均P>0.05)。中转开腹率的Logistic回归分析中虽未发现有统计学意义的影响因素,但中分化肿瘤、术前CA19-9升高、收获淋巴结增多均显示风险升高趋势。多因素线性回归显示,机器人辅助手术是缩短术后住院时间的独立因素(P=0.024),术前总胆红素(P=0.020)、手术时间(P=0.000)、术后并发症(P=0.006)及二次手术(P=0.005)则与住院时间延长相关。结论 机器人辅助腹腔镜胆道肿瘤根治术在短期安全性方面不劣于普通腹腔镜,且可降低中转开腹率、缩短住院时间。其在复杂解剖或高难度病例中可能具有更大优势,为临床提供了一种可行的微创选择,但其推广仍需综合考虑经济成本及医疗资源。
2025, 34(8):1662-1670. doi: 10.7659/j.issn.1005-6947.250371
摘要:背景与目的 复杂胆道结石常伴有肝门区粘连、解剖紊乱、胆道变异及胆道瘘,传统腹腔镜手术在此类病例中常需中转开腹,术后并发症发生风险较高。机器人系统具备高清三维视野和灵活操作优势,有望改善手术安全性与疗效。本研究旨在比较机器人手术与腹腔镜手术治疗复杂胆道结石的临床效果。方法 回顾性分析2023年1月—2025年1月于福州大学附属省立医院接受微创手术的145例复杂胆道结石患者,其中机器人组62例,腹腔镜组83例。比较两组患者术中情况、术后并发症及恢复情况,并随访评估结石复发。结果 两组患者基线资料差异无统计学意义(均P>0.05)。机器人组无中转开腹,而腹腔镜组中转率为7.2%,差异有统计学意义(P=0.038)。机器人组术后并发症发生率为1.6%,腹腔镜组为10.7%,差异有统计学意义(P=0.044)。机器人组术后首次进食、排气及住院时间均明显早于腹腔镜组(均P<0.05)。随访至2025年6月,两组均未见结石复发。结论 机器人手术在复杂胆道结石治疗中安全可行,可显著降低中转开腹率和并发症发生率,加快术后康复,具有推广应用价值。
2025, 34(8):1671-1679. doi: 10.7659/j.issn.1005-6947.250309
摘要:背景与目的 肝门部胆管癌(pCCA)预后较差,根治性切除虽是主要治疗手段,但术后复发率高、总生存(OS)率低。代谢综合征(MetS)已被证实与多种肿瘤不良预后相关,其对pCCA术后结局的影响尚不明确。本研究旨在评估MetS对pCCA患者根治性切除术后围手术期及远期预后的影响。方法 回顾性分析2018年1月—2023年12月在中国人民解放军陆军军医大学第一附属医院接受根治性切除的223例pCCA患者,根据MetS诊断标准分为MetS组(50例)和非MetS组(173例)。比较两组的围手术期并发症、OS、无复发生存期(RFS),并通过多因素分析探讨预后相关因素。结果 两组在中位住院时间、总并发症和严重并发症发生率上差异均无统计学意义(均P>0.05)。MetS组1、3、5年OS率分别为62.3%、22.3%、0,RFS率分别为46.2%、16.9%、0;非MetS组1、3、5年OS率为78.2%、39.5%、22.0%,RFS率为63.8%、29.6%、18.8%。MetS组的中位OS和RFS(15.0和12.0个月)均明显低于非MetS组(27.0和21.0个月)(P=0.021;P=0.037)。多因素分析显示,MetS和大血管侵犯是OS的独立影响因素;MetS、黄疸、R0切除及大血管侵犯是RFS的独立影响因素(均P<0.05)。结论 MetS与pCCA患者根治性切除术后更差的远期生存及更高的复发风险显著相关,提示应将MetS纳入术前评估和术后管理,以改善预后。
2025, 34(8):1680-1687. doi: 10.7659/j.issn.1005-6947.240193
摘要:背景与目的 肝内胆管癌(ICC)发病率逐年升高,因起病隐匿、早期诊断率低,根治性切除仍是唯一可能治愈的手段。淋巴结转移是ICC预后不良的重要危险因素,但目前关于淋巴结清扫范围及其治疗价值仍存争议。有研究提示淋巴结清扫对中央型ICC的获益可能大于周围型ICC。临床主要依赖影像学评估淋巴结状态,但准确率有限。本研究旨在探讨淋巴结清扫对不同解剖部位ICC患者预后的影响,为手术策略选择提供依据。方法 回顾性分析2016年5月—2021年5月在中国人民解放军联勤保障部队第九〇四医院行根治性切除的220例ICC患者的临床资料,其中男性126例、女性94例,平均年龄(56.76±13.15)岁。根据肿瘤解剖部位分为周围型(144例)和中央型(76例)。比较两组在临床特征、白蛋白-胆红素(ALBI)评分分级、术前淋巴结转移风险、淋巴结清扫数目、淋巴结转移情况及术后生存差异,并进一步分析淋巴结清扫数目在不同风险分层患者中的预后价值。结果 周围型与中央型ICC患者在ALBI评分分级(χ2=9.952,P=0.002)、术前淋巴结转移风险(χ2=6.166,P=0.014)、清扫淋巴结数目(χ2=4.167,P=0.042)及淋巴结转移率(χ2=7.331,P=0.007)方面差异均有统计学意义。周围型ICC患者3年总生存率明显高于中央型ICC患者(31.94% vs. 15.79%,χ2=13.890,P<0.001)。在中央型ICC患者中,清扫淋巴结≥6枚者3年总生存率优于<6枚者(16.89% vs. 13.04%,χ2=3.894,P=0.048);尤其在术前淋巴结转移评估高风险的中央型患者中,清扫≥6枚组3年生存率(15.62%)亦优于<6枚组(11.11%)(χ2=3.962,P=0.047)。而在周围型ICC患者及术前低风险人群中,清扫数目与预后差异无统计学意义(P>0.05)。结论 周围型ICC预后优于中央型ICC。对于术前淋巴结转移高风险的中央型ICC,行充分淋巴结清扫(≥6枚)可改善患者预后,并有助于提高病理分期准确性,提示应重视术前风险评估以优化手术策略。
张必园,谢伟选,柏杨,方征,罗昆仑,梅雪,徐海婷,周志华,朱庆洲
2025, 34(8):1688-1695. doi: 10.7659/j.issn.1005-6947.250355
摘要:背景与目的 肝内胆管癌(ICC)根治性切除是唯一可能治愈的手段,但术后复发率高、预后差。近年来提出的“教科书式结局”(TO)作为综合性质量评价指标,其与预后关系尚未充分明确。本研究旨在分析影响ICC根治性切除术后达到TO的危险因素,并探讨TO与生存的关系。方法 回顾性分析2018年2月—2023年2月在中国人民解放军联勤保障部队第九〇四医院接受根治性切除的180例ICC患者临床资料,采用单因素与多因素Logistic回归分析影响TO的危险因素,并应用Kaplan-Meier方法及Log-rank检验进行生存分析。结果 180例患者中66例达到TO。多因素Logistic回归分析显示,术前总胆红素水平>22 μmol/L、术前CA19-9>35 U/mL、最大肿瘤直径>5 cm、肿瘤分化程度差、MVI及淋巴结转移是影响达到TO的独立危险因素(均P<0.05)。生存分析结果表明,达到TO组患者中位生存时间明显长于未达到TO组(36个月vs. 16个月,P<0.001)。结论 术前总胆红素水平>22 μmol/L、术前CA19-9>35 U/mL、最大肿瘤直径>5 cm、肿瘤分化程度、MVI及淋巴结转移是影响ICC根治性切除术后达到TO的独立危险因素。达到TO的患者具有显著更长的生存期,提示TO不仅能够综合反映围手术期的治疗水平,也是预后评估的重要工具。临床上应重视相关危险因素,优化围手术期管理,促进患者达到TO,从而改善远期预后。
2025, 34(8):1696-1708. doi: 10.7659/j.issn.1005-6947.250160
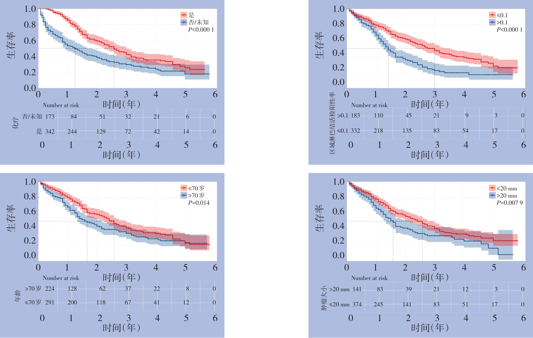
摘要:背景与目的 肝外胆管癌(ECCA)是一类起病隐匿、侵袭性强且预后较差的恶性肿瘤,其术后复发率高,5年生存率不足20%。现有多数预后模型基于Cox比例风险模型,受比例风险假设及线性关系限制。随机生存森林(RSF)模型作为一种新型机器学习算法,能够捕捉变量间复杂的交互和非线性效应,但在ECCA领域的应用仍较少。因此,本研究基于RSF模型这一机器学习算法,构建根治术后ECCA患者预后模型,旨在精准化、个体化评价根治术后ECCA患者的预后,为临床决策制定提供参考。方法 回顾性纳入2016—2021年SEER数据库中符合纳入标准的根治术后ECCA患者515例,按7∶3比例随机分为训练集(361例)和测试集(154例)。收集人口学及临床特征,采用单、多因素Cox回归构建Cox模型,并通过VIMP法与最小深度法筛选变量建立RSF模型。通过一致性指数(C指数)、曲线下面积(AUC)、Brier评分、校准曲线及决策曲线评估模型性能,并结合Kaplan-Meier生存分析及可解释性工具(SurvSHAP与SurvLIME)进行解释。结果 多因素Cox回归筛选出年龄、人种、收入、T分期、N分期、肿瘤大小及化疗7个独立预后因素。RSF模型则筛选出年龄、肿瘤大小、区域淋巴结阳性率和化疗4个核心变量。测试集中,RSF模型的C指数为0.751,优于Cox模型的0.711;RSF模型1、2、3年AUC分别为0.843、0.749和0.814,整体性能更佳,校准度与临床获益也优于Cox模型。进一步分析显示,区域淋巴结阳性率、年龄及肿瘤大小与生存风险呈非线性关系,化疗则显著降低死亡风险。分层生存曲线提示,不化疗、淋巴结阳性率高、年龄>70岁及肿瘤大小>20 mm患者预后更差。结论 基于RSF的预后模型仅依赖4个临床可及变量,预测性能优于Cox模型,可为ECCA术后个体化生存预测及随访策略制定提供可靠依据。其结合可解释性分析,具有较强的临床应用潜力,有望改善患者生存质量与预后。
2025, 34(8):1709-1717. doi: 10.7659/j.issn.1005-6947.250206
摘要:背景与目的 肝细胞癌(HCC)是常见的恶性肿瘤之一,发病率和病死率均居高不下。Janus激酶/信号转导与转录激活因子(JAK/STAT)信号通路在调控细胞增殖、凋亡及免疫应答中发挥重要作用,其持续激活与肝癌的发生发展密切相关。本研究旨在探讨JAK2抑制剂AG490与STAT3通路相关抑制剂雷帕霉素(RPM)对肝癌细胞生物学行为的影响及其分子机制。方法 采用人肝癌细胞系HepG2,分为空白对照组、AG490组、RPM组和AG490+RPM组。通过MTT法、划痕实验和流式细胞术分别检测细胞的增殖、迁移和凋亡;利用ELISA和qRT-PCR检测Bax、Bcl-2、caspase-3、survivin和c-Myc的蛋白及mRNA表达;Western blot检测JAK2、STAT3及其磷酸化水平。结果 与对照组比较,AG490组、RPM组和AG490+RPM组的肝癌细胞的增殖和迁移能力均被明显抑制,细胞凋亡明显增加,其中AG490+RPM组作用最为明显(均P<0.05)。各抑制剂处理组均表现为Bax和caspase-3表达升高,Bcl-2、survivin和c-Myc表达下降,且AG490+RPM组变化幅度最大(均P<0.05)。同时,p-JAK2/JAK2和p-STAT3/STAT3比值在各抑制剂处理组均明显降低,以AG490+RPM组最低(均P<0.05)。结论 靶向JAK/STAT通路的抑制剂能够显著抑制肝癌细胞的增殖和迁移,并诱导细胞凋亡,其机制可能与下调p-JAK2和p-STAT3水平、调控相关凋亡和增殖基因表达有关。AG490与RPM联合应用显示出更强的抗肿瘤作用,提示多靶点联合阻断JAK/STAT通路有望成为肝癌治疗的新策略。
2025, 34(8):1718-1725. doi: 10.7659/j.issn.1005-6947.250162
摘要:背景与目的 单孔腹腔镜胆囊切除术(LC)因其创伤小、美容效果佳而日益普及,但在胆管辨识及操作空间方面仍具挑战。吲哚菁绿(ICG)荧光导航能够实时显影胆管,有望提高手术的安全性与效率。本研究旨在评估ICG荧光导航在单孔LC中的临床应用价值。方法 回顾性分析2023年1月—2024年12月在江苏大学附属宜兴医院接受择期单孔LC的59例胆囊良性疾病患者,根据是否使用ICG荧光导航分为荧光组(n=27)和白光组(n=32)。比较两组在胆囊三角解剖时间、手术时间、术中出血量、术者满意度、住院时间及并发症方面的差异。结果 两组患者一般临床特征差异无统计学意义(均P>0.05)。荧光组患者的胆囊管、肝总管和胆总管均成功显影。与白光组比较,荧光组的胆囊三角解剖时间[(25.56±3.49)min vs.(38.81±5.59)min]、手术时间[(44.67±3.06)min vs.(61.31±4.96)min]及术中出血量[(13.44±1.70)mL vs.(14.50±2.11)mL]均明显减少(均P<0.05),且术者满意度明显更高(P<0.05)。两组均未出现术中胆管损伤、中转为三孔手术或术后发生并发症。结论 ICG荧光导航可显著提高单孔LC中胆管辨识效率,缩短手术时间,减少出血,并改善术者满意度,具有良好的临床应用前景。
曾文静,王守满,曹阿勇,夏伟智,高巾越,李丽雅,唐梓琪,王红梅,黄隽
2025, 34(8):1726-1737. doi: 10.7659/j.issn.1005-6947.250411
摘要:背景与目的 中央区乳腺癌(CLBC)因其靠近乳头乳晕复合体,长期以来多推荐全乳切除术,保乳手术(BCS)的安全性存在争议。本研究基于大规模数据库并结合真实世界队列,对比分析BCS与全乳切除术的生存结局,旨在评估BCS在CLBC患者中的可行性与肿瘤学安全性。方法 利用SEER数据库(2010—2015年),纳入10 325例CLBC女性患者,分为BCS组(n=5 601)和全乳切除组(n=4 724)。通过倾向性评分匹配(PSM)获得1 951对患者,比较两组的疾病特异性生存(DSS)和总生存(OS)。进一步采用Cox回归分析预后因素,并行亚组分析。另在中南大学湘雅医院(2015—2016年)收集221例BCS和636例全乳切除患者作为验证队列,比较OS与无进展生存(PFS)。结果 PSM后两组基线特征均衡。Kaplan-Meier分析显示,BCS组与全乳切除组在DSS和OS上无明显差异,5、7、10年OS率亦相当(均P>0.05)。亚组分析显示,在T1/T2期、不同HER2状态及接受化疗的患者中,BCS与全乳切除术结局相当;在接受放疗的患者中,BCS组DSS和OS均明显优于全乳切除组(均P<0.05)。多因素Cox回归提示T分期、N分期、M分期、组织学分级、分子亚型、ER/PR状态及化疗是独立预后因素(均P<0.05),而手术方式并非影响因素(P>0.05)。验证队列结果与SEER数据库一致,BCS与全乳切除组在OS和PFS方面差异均无统计学意义(均P>0.05)。结论 BCS在CLBC患者中的DSS和OS与全乳切除术相当,且在放疗配合下可能带来额外生存获益。结果表明CLBC不应视为保乳禁忌证,BCS可作为可行且安全的手术策略,为临床个体化治疗决策提供重要依据,并有助于改善患者生活质量。
2025, 34(8):1738-1750. doi: 10.7659/j.issn.1005-6947.250488
摘要:2025年美国临床肿瘤学会(ASCO)年会于2025年5月30日—6月3日在芝加哥召开。作为全球肿瘤学领域规模最大、最具影响力的学术盛会之一,ASCO年会汇聚众多世界一流的肿瘤学专家,聚焦于肝癌、胆管癌、胰腺癌等消化道肿瘤领域尚未满足的临床需求,呈现许多前沿的科研成果和治疗技术,为肝胆胰恶性肿瘤的诊疗提供重要的循证支持。本文基于ASCO 2025年会中肝胆胰肿瘤领域的前沿成果,探讨相关治疗领域的热点问题和未来发展方向。
2025, 34(8):1751-1757. doi: 10.7659/j.issn.1005-6947.250452
摘要:胆道肿瘤(BTC)包括肝内胆管癌、肝门部胆管癌、远端胆管癌及胆囊癌,虽然发病率较低,但因诊断困难、治疗手段有限,其预后普遍较差。随着人工智能(AI)技术的快速发展,尤其是机器学习与深度学习在医学领域的广泛应用,AI在BTC的临床诊疗中展现出显著潜力。本文综述了AI在BTC诊断、预后评估、治疗决策及复发预测等方面的应用进展,并对不同模型的优势与不足进行了比较。同时,文章还探讨了AI在临床转化中所面临的挑战、未来发展方向及其在精准医学中的意义。AI的深度融入有望推动BTC的早期发现与个体化管理,为改善患者预后提供新的策略。
2025, 34(8):1758-1765. doi: 10.7659/j.issn.1005-6947.250363
摘要:恶性梗阻性黄疸是由胆道梗阻引起、以高胆红素血症为主要特征的严重病理生理紊乱。为改善高胆红素血症对机体的不良影响并降低术后并发症发生风险,术前胆道引流(PBD)常作为围术期管理的重要策略。然而,PBD是否能够带来明确的临床获益仍存在较大争议。本综述系统梳理相关研究,重点探讨PBD在不同解剖部位胆道梗阻中的适应证、引流方式及临床价值,旨在为恶性梗阻性黄疸患者的外科治疗决策提供循证依据。
2025, 34(8):1766-1776. doi: 10.7659/j.issn.1005-6947.250175
摘要:心脏死亡捐献供肝全肝移植(DCD-LT)是终末期肝病的根治性治疗手段,但肝动脉解剖变异在移植中十分常见,若处理不当可导致供肝局部供血不足及移植物功能障碍。如何精准处理变异肝动脉仍是手术成功的关键难点。本文综述了基于Michels等分型的多种解剖学分类体系,阐述了影像学技术在DCD-LT中对变异肝动脉的评估及术中决策价值,并总结了外科手术的主要处理方式。重点探讨了复杂变异动脉重建的标准化策略,并提出未来研究方向,以期为DCD-LT中变异肝动脉的评估和处理提供参考。
2025, 34(8):1777-1782. doi: 10.7659/j.issn.1005-6947.250198
摘要:背景与目的 胆囊癌根治性切除术后复发率高,严重影响患者长期生存。现有的TNM分期和病理指标预测效能有限,难以满足个体化风险评估需求。本研究旨在探讨术前淋巴细胞-C反应蛋白比值(LCR)、中性粒细胞-淋巴细胞比值(NLR)及淋巴细胞-单核细胞比值(LMR)对胆囊癌术后复发的预测价值,并构建基于三者的预测模型。方法 回顾性分析河南省新乡市第二人民医院2012年1月—2019年1月接受胆囊癌根治性切除术的80例患者临床资料。根据复发情况分为复发组(38例)和未复发组(42例)。比较两组术前LCR、NLR、LMR水平,采用多因素Logistic回归分析独立危险因素,受试者工作特征(ROC)曲线评价预测效能,并基于危险因素构建列线图模型,使用ROC、校准曲线及决策曲线进行验证。结果 复发组患者LCR、LMR明显低于未复发组,而NLR明显升高(均P<0.05)。多因素分析显示,LCR、NLR、LMR均为复发独立影响因素(均P<0.05)。ROC分析显示,LCR、NLR、LMR预测复发的曲线下面积(AUC)分别为0.935、0.890、0.916,联合检测AUC为0.989,预测效能最佳。基于三者建立的列线图模型一致性指数为0.989,预测复发的AUC为0.992,校准曲线和Hosmer-Lemeshow检验均显示良好拟合度,决策曲线提示模型具有较高临床净获益。结论 术前LCR、NLR及LMR均可作为胆囊癌根治性切除术后复发的独立预测指标,三者联合检测较单一指标更具优势。基于其构建的列线图模型具有良好的预测准确性和临床实用性,可为患者的个体化随访与辅助治疗提供参考。
颜可梁,麦伟恒,康钟杰,刘春甫,李作标,刘晓光,陈卫煌,杨永光
2025, 34(8):1783-1789. doi: 10.7659/j.issn.1005-6947.250076
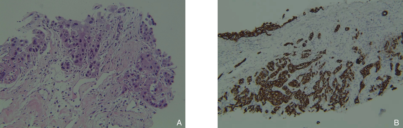
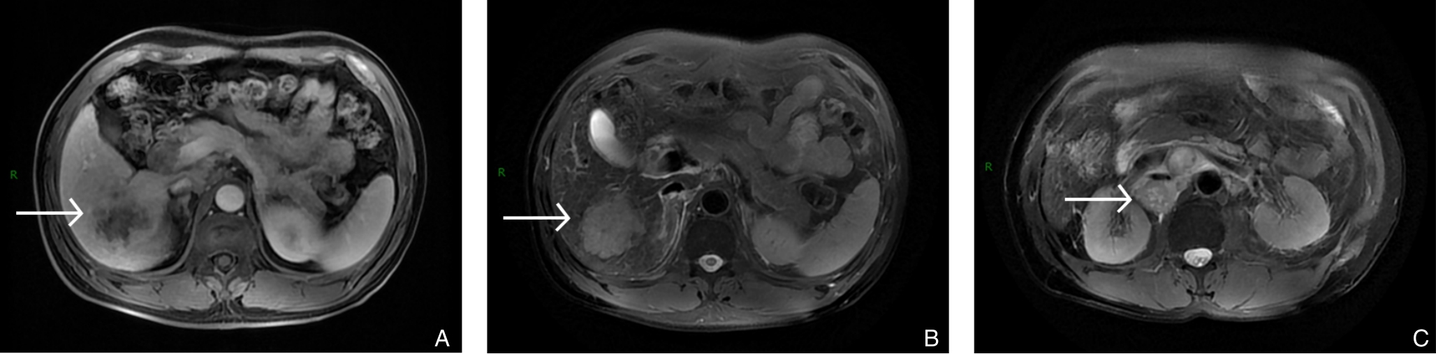
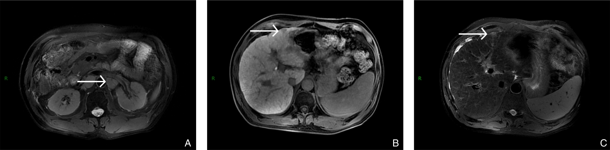
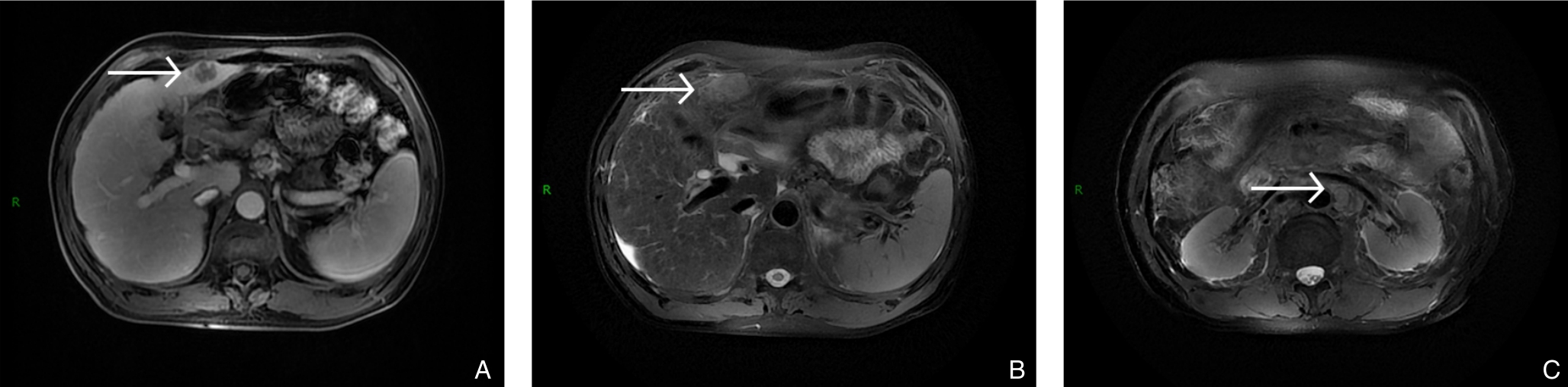
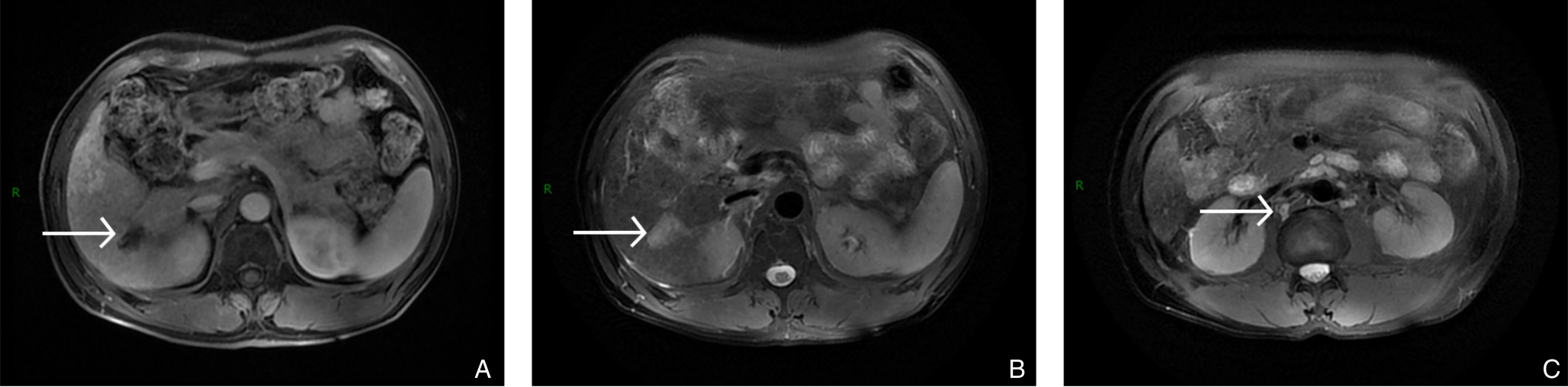
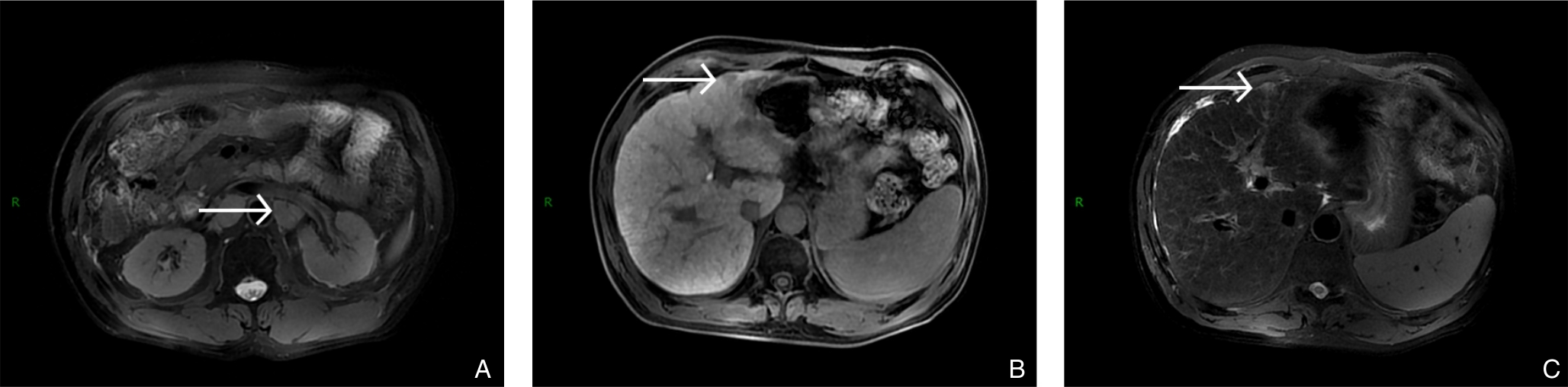
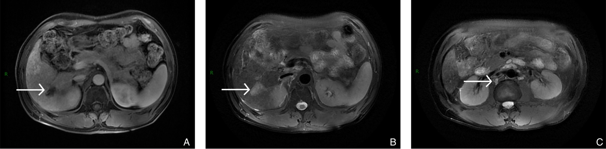
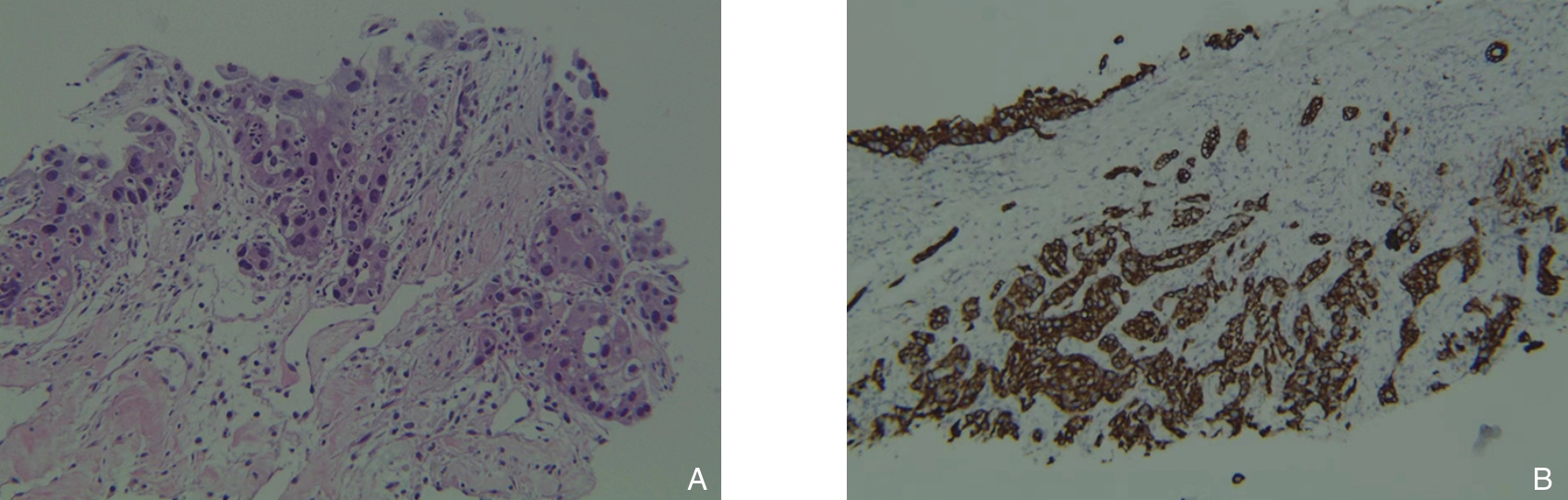
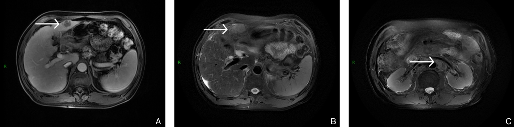
摘要:背景与目的 肝内胆管癌(ICC)是一种起病隐匿、预后极差、初诊多为进展期的原发性肝癌,其治疗选择有限,预后差。本研究旨在探讨靶向治疗、免疫治疗与肝动脉灌注化疗(HAIC)联合应用于晚期ICC的转化治疗的潜力,为临床转化治疗提供参考。方法 回顾广东医科大学附属医院2021年11月收治的1例晚期ICC行靶向治疗、免疫治疗与HAIC联合治疗后成功转化并接受手术患者的诊治过程,并复习国内外相关文献。结果 患者为52岁男性,确诊为T2N1M0-Ⅲb期ICC。患者拒绝接受以吉西他滨联合顺铂为主的一线化疗方案,同意行靶向治疗联合免疫治疗与HAIC的综合治疗,在接受4个治疗周期后评估肿瘤达到部分缓解,具备实施根治性手术治疗的条件。患者随后接受了腹腔镜下肝S6段和部分S7段切除、胆囊切除以及肝门部和腹膜后淋巴结清扫术。术后患者规律行靶向免疫联合化疗的综合治疗方案。在疾病出现复发和转移后,化疗药物进行了相应调整。截至目前,患者无病生存期达15个月,总生存期超过3年。结论 靶向治疗、免疫治疗与HAIC三联方案可提高晚期ICC患者的转化机会并延长生存期,具有较好的安全性和临床应用前景,但其疗效仍需多中心研究进一步验证。
2025, 34(8):1790-1794. doi: 10.7659/j.issn.1005-6947.250345
摘要:背景与目的 胆汁漏是肝胆外科常见而棘手的并发症,即便在规范时间内拔除胆道外引流管(T管或经皮经肝胆管穿刺引流管),仍可能发生。本研究旨在分析拔管后胆汁漏的发生原因、危险因素及处理策略。方法 回顾性收集厦门大学附属第一医院2015年1月—2025年5月间5例肝胆手术拔管后出现胆汁漏的病例资料,总结一般资料、拔管时间、胆汁漏原因及处理方式,并结合文献进行总结及讨论。结果 5例患者中,胆汁漏的高危因素包括术前使用激素、营养不良、老年消瘦、胆道感染及肝功能受损。治疗方式涵盖超声引导经皮穿刺或原窦道重新置管、经内镜逆行胰胆管造影内支架引流及急诊开腹置T管等。所有患者经个体化干预后2周内康复出院,随访1~3年未见严重并发症。结论 胆道外引流管拔除后胆汁漏与窦道未充分形成密切相关。应根据患者个体风险因素制定拔管时机:开腹手术中青年患者≥6周,高危患者宜延至≥10~12周;腹腔镜手术患者≥8周,高危患者宜延至≥12周。早期识别胆汁漏并及时采用超声或内镜等微创手段干预,可显著改善预后。
2025, 34(8):1795-1800. doi: 10.7659/j.issn.1005-6947.240500
摘要:背景与目的 乳腺癌预后差,缺乏稳定的分子标志物。本研究旨在探讨血清miR-513a-3p、miR-106a-5p和miR-767-5p在乳腺癌患者中的表达水平及其临床意义。方法 纳入2019—2020年内蒙古自治区巴彦淖尔市医院收治的乳腺癌患者100例(乳腺癌组)及乳腺良性疾病患者113例(良性组)。采用qRT-PCR检测血清miR-513a-3p、miR-106a-5p和miR-767-5p水平,分析三者在两组患者间的表达差异,以及与乳腺癌病理特征及3年预后的关系。采用Kaplan-Meier方法评估生存情况,通过Cox回归分析确定预后因素。结果 乳腺癌组患者血清miR-513a-3p、miR-106a-5p和miR-767-5p水平均明显高于良性组患者(均P<0.05)。三者水平均与淋巴结转移、TNM分期有关,miR-513a-3p和miR-767-5p与乳腺癌患者肿瘤分化程度有关,miR-513a-3p和miR-106a-5p还与远处转移有关(均P<0.05)。乳腺癌患者中,死亡组三者水平均明显高于生存组(均P<0.05);Kaplan-Meier分析显示,三者高表达患者3年生存率均明显低于各自的低表达患者(均P<0.05)。Cox回归提示,miR-513a-3p(OR=1.160)、miR-106a-5p(OR=1.419)及miR-767-5p(OR=1.327)均为独立预后危险因素(均P<0.05)。结论 miR-513a-3p、miR-106a-5p和miR-767-5p在乳腺癌患者血清中高表达,且与病理特征及预后密切相关,具有作为潜在预后标志物和治疗靶点的价值。

主管:中华人民共和国教育部
主办:中南大学 中南大学湘雅医院
主编:王志明
创刊:1992年3月
国际标准刊号:ISSN 1005-6947
国内统一刊号:CN 43-1213
国内邮发代号:42-121
