
主管:中华人民共和国教育部
主办:中南大学 中南大学湘雅医院
主编:王志明
创刊:1992年3月
国际标准刊号:ISSN 1005-6947
国内统一刊号:CN 43-1213
国内邮发代号:42-121

2025, 34(7):1307-1330. doi: 10.7659/j.issn.1005-6947.250373
摘要:机器人手术是当代结直肠癌外科治疗的重要趋势。中国医师协会结直肠肿瘤专委会机器人外科学组组织全国专家,在先前版本的基础上,对机器人结直肠癌手术的应用规范进行了讨论并达成共识,希望能够促进机器人手术的应用与推广。
2025, 34(7):1331-1339. doi: 10.7659/j.issn.1005-6947.250368
摘要:肝细胞癌(HCC)具有高度血管侵犯特性,易形成血管癌栓,显著影响预后及治疗决策。微血管侵犯是术后复发的重要预测因子,而大血管癌栓则提示疾病进入晚期。近年来,围绕血管癌栓的标准化诊断、术前预测及个体化治疗策略均取得积极进展。影像组学与生物标志物的结合显著提升了术前预测微血管癌栓的准确率,同时,各类新辅助与辅助治疗策略在术后复发控制中展现出潜力。尽管诊疗体系不断优化,肿瘤异质性、缺乏动态监测工具及高危患者生存率提升困难等问题亟待突破。本文汇总近年来HCC血管癌栓领域的研究进展,旨在为临床实践提供理论支持,并推动个体化精准治疗的发展。
2025, 34(7):1340-1346. doi: 10.7659/j.issn.1005-6947.250304
摘要:肝细胞癌(HCC)是严重威胁人类健康的恶性肿瘤,中国HCC负担沉重,多数患者确诊时已处于中晚期,5年生存率仅为14.4%。转化治疗旨在将不可切除HCC转化为可切除,改善患者预后,但其在临床实践中面临诸多难点与挑战。首先,中国HCC患者在肿瘤特征、病因等方面与北美、日本等地区差异显著,需探索适合中国患者的本土化转化治疗方案。其次,转化治疗人群界定尚不明确,新辅助治疗与转化治疗的概念区隔和人群划分存在争议,缺乏高级别证据支持。再者,转化治疗方案选择困难,药物选择繁多但缺乏统一标准,联合局部治疗的选择及时机难以抉择,需更多临床研究证实。此外,转化治疗后治疗策略存在争议,达到影像/临床完全缓解的患者是否手术、术前预测完全病理缓解困难以及术后序贯策略与治疗方案选择均不明确。未来需进一步探索生物标志物,开展多中心、大样本、前瞻性临床试验,规范治疗方案和流程,以提高HCC患者的预后和生活质量。
2025, 34(7):1347-1352. doi: 10.7659/j.issn.1005-6947.250404
摘要:肝细胞癌(HCC)在我国及全球均高发,初诊可行根治性切除者不足20%,且术后5年复发率高达70%。围手术期治疗是降低复发的重要策略,但HCC的新辅助治疗循证证据有限。近年来,免疫检查点抑制剂(ICI)为代表的免疫治疗在HCC治疗中取得进展,其在新辅助治疗中的潜力引起广泛关注。新辅助免疫治疗可利用原发肿瘤作为抗原库激发持续的抗肿瘤免疫,并结合靶向及局部治疗有望协同增效。现有早期研究提示其安全性与初步疗效,但适应人群选择、最佳联合模式及疗效预测指标仍待明确。未来需开展高质量随机对照试验,以验证其对长期生存的价值并优化治疗策略。
2025, 34(7):1353-1359. doi: 10.7659/j.issn.1005-6947.250302
摘要:近年来,以免疫检查点抑制剂(ICI)为代表的免疫治疗为中晚期肝细胞癌(HCC)的转化治疗提供了新机遇。ICI联合局部治疗(如经动脉化疗栓塞和肝动脉灌注化疗)在提高肿瘤应答率和激发系统性免疫反应方面显示出显著优势,较传统方案显著提升了HCC的转化率。然而,ICI在HCC肝移植术前的应用也伴随移植物排斥等潜在安全隐患,尤其在缺乏统一停药时间和肝源分配不确定的背景下,给临床实践带来诸多挑战。本文系统梳理了免疫治疗在HCC肝移植术前降期治疗中的应用现状与风险管理策略,提出优化管理建议,旨在为临床决策和标准制定提供依据。
2025, 34(7):1360-1370. doi: 10.7659/j.issn.1005-6947.250362
摘要:多数肝细胞癌患者初诊即为中晚期而失去手术机会。转化治疗通过非手术手段使初始不可切除的患者达到可切除状态,已逐渐纳入临床常规并成为研究热点。然而,该领域仍面临多重挑战,包括:缺乏明确的“潜在可切除”标准以筛选合适人群;在多种获批系统治疗方案中难以实现个体化选择并权衡是否联合局部治疗;对影像学完全缓解患者手术必要性的争议;围手术期评估与管理尚不完善;最佳手术时机难以把握,以及术后序贯系统治疗的方案与疗程尚无定论。应对这些问题需依赖多学科协作和高质量的多中心随机对照研究。随着临床经验积累、循证证据增加及治疗手段进步,更多初始不可切除患者有望获得手术机会并实现长期无瘤生存。
2025, 34(7):1371-1381. doi: 10.7659/j.issn.1005-6947.250082
摘要:背景与目的 中国肝癌分期(CNLC)IIIb期肝细胞癌(HCC)常伴肝外转移,预后差,治疗策略仍存在争议。局部治疗在此类患者中的价值尚缺乏证据支持。本研究旨在探讨局部治疗联合系统治疗与单纯系统治疗的生存差异,并评估寡转移状态和无疾病证据(NED)持续时间对预后的影响。方法 回顾性分析2017年1月—2023年12月中南大学湘雅医院收治的76例CNLC IIIb期HCC患者。其中40例接受系统治疗+局部治疗(局部治疗组),36例仅接受单纯系统治疗(无局部治疗组),比较两组总体生存(OS);并按寡转移与非寡转移分层分析局部治疗的获益;同时评估局部治疗患者NED累计持续时间与OS的相关性。结果 局部治疗组与无局部治疗组1、2、3、5年OS率分别为89.0% vs. 66.7%、64.3% vs. 25.6%、35.3% vs. 8.7%、8.3% vs. 0.0%,差异有统计学意义(P=0.003)。寡转移患者中,局部治疗组OS明显优于无局部治疗组(P=0.008),而非寡转移患者中,两组OS差异无统计学意义(P>0.05)。多因素分析显示,寡转移是独立预后因素(HR=2.213,P=0.045)。局部治疗患者中,NED累计持续时间与OS高度相关(r=0.851,P<0.001)。局部治疗安全性良好,未出现治疗相关死亡。结论 对于肝内病灶控制良好的CNLC IIIb期HCC患者,局部治疗可显著延长生存,尤其适用于寡转移患者。实现并维持NED可能成为该类患者的重要治疗目标。
2025, 34(7):1382-1389. doi: 10.7659/j.issn.1005-6947.250300
摘要:背景与目的 近年来,随着系统治疗的不断进展,肝动脉灌注化疗(HAIC)联合免疫检查点抑制剂及抗血管生成药物在晚期肝细胞癌(HCC)治疗中显示出显著疗效。然而,不同免疫靶点的联合策略(PD-1抑制剂与PD-L1抑制剂)在临床获益和安全性方面的差异尚缺乏直接对比。本研究旨在比较HAIC联合贝伐珠单抗及信迪利单抗(HAIC-BP1)与HAIC联合贝伐珠单抗及阿替利珠单抗(HAIC-BPL)在晚期HCC中的疗效与安全性。方法 回顾性分析2020年1月—2022年12月在中山大学肿瘤防治中心接受HAIC-BP1或HAIC-BPL一线治疗的88例HCC患者。比较两组患者的无进展生存期(PFS)、总生存期(OS)、客观缓解率(ORR)、疾病控制率(DCR)、不良事件(AE),并分析影响PFS的危险因素。结果 共纳入HAIC-BP1组47例和HAIC-BPL组41例,两组患者基线特征差异无统计学意义(均P>0.05)。HAIC-BP1组和HAIC-BPL组的ORR(59.6% vs. 65.9%)和DCR(72.3% vs. 80.5%)差异均无统计学意义(均P>0.05)。中位随访16.3个月后,HAIC-BP1组和HAIC-BPL组的中位OS(21.3个月vs. 22.4个月)及中位PFS(6.7个月vs. 6.2个月)差异均无统计学意义(均P>0.05)。两组AE发生率相近,未见治疗相关死亡。Cox回归分析显示,肿瘤直径>10 cm是PFS的独立危险因素(HR=0.48,95% CI=0.27~0.83,P=0.009)。结论 HAIC-BP1与HAIC-BPL在晚期HCC一线治疗中均具有可比的疗效与良好的安全性,均可作为治疗选择。肿瘤直径>10 cm是PFS的不良预后因素,提示患者分层在临床决策中具有重要意义。
2025, 34(7):1390-1400. doi: 10.7659/j.issn.1005-6947.250124
摘要:背景与目的 肝细胞癌(HCC)是最普遍的肝脏恶性肿瘤类型,占所有原发性肝癌病例的80%。肝部分切除术被广泛认为是HCC的首选治疗方案。然而,肝切除术后相关并发症中,肝切除后肝功能衰竭(PHLF)是最为严重的一种,成为围手术期死亡的主要诱因。因此,准确评估PHLF的发生风险显得尤为关键。大肝癌(肿瘤直径≥5 cm)患者瘤体较大,切除的肝组织较多,更易发生PHLF。以往的研究已有多种评估PHLF风险的方法,包括肝功能Child-Pugh分级、终末期肝病模型、白蛋白-胆红素(ALBI)分级以及天门冬氨酸氨基转移酶与血小板比率指数评分等。但是,目前还没有模型是针对大肝癌肝切除术的数据开发的。因此,本研究旨在分析大肝癌患者发生PHLF的危险因素,并构建术前列线图预测模型,指导和优化临床决策。方法 回顾性收集2018年1月—2023年6月在安徽医科大学第一附属医院(721例,训练队列)及安徽医科大学第二附属医院(206例,验证队列)接受根治性肝切除的927例大肝癌患者的临床资料。通过患者的基线资料、实验室检查、影像学资料及手术信息,使用单因素分析结合多因素分析筛选出诱发PHLF的独立危险因素,通过二元Logistic回归构建PHLF的预测模型。通过受试者工作特征(ROC)曲线、校准曲线和临床决策曲线验证模型的性能。结果 训练队列与验证队列相比,所有术前数据均无明显差异(均P>0.05)。927例患者中,共有192例发生了B级或C级的PHLF,发生率为20.7%,其中发生C级PHLF患者8例。通过单因素和多因素Logistic回归分析,确定肿瘤直径、ALBI分级、肝硬化、脉管癌栓、术中出血量五个独立危险因素,将这些因素纳入Logistic回归分析并构建预测PHLF的列线图模型。对列线图模型进行验证,列线图C指数为0.757,对模型的预测概率行ROC曲线分析,训练集曲线下面积(AUC)=0.757(95% CI=0.703~0.811),验证集AUC=0.779(95% CI=0.702~0.863),验证显示该模型具有良好的预测能力。结论 肿瘤直径、ALBI分级、肝硬化、脉管癌栓、术中出血量是PHLF发生的独立危险因素。通过本研究构建的列线图预测模型,能够准确评估术前PHLF风险有助于临床上更好地管理患者,减少PHLF的发生,提升患者的术后预后。
2025, 34(7):1401-1409. doi: 10.7659/j.issn.1005-6947.230402
摘要:背景与目的 原发性肝脏弥漫大B细胞淋巴瘤(DLBCL)罕见且预后差,化疗价值尚无大样本证据支持。本研究利用SEER数据库的大样本真实世界数据,评估化疗对原发性肝脏DLBCL患者预后的影响。方法 提取SEER数据库中2000—2019年经病理确诊的原发性肝脏DLBCL病例的临床资料,按是否接受化疗分组。采用Kaplan-Meier法、Cox比例风险模型及随机生存森林模型分析总生存期(OS)和肿瘤特异生存期(CSS)的影响因素,并进行亚组分析。结果 共纳入594例患者,中位年龄66岁,化疗组435例(73.2%)。中位随访17.5个月,化疗组和非化疗组的中位OS分别为:81(7~173)个月和11(2~171)个月。化疗组OS率和CSS率均明显优于非化疗组(67.99% vs. 47.77%;71.03% vs. 52.87%,均P<0.05)。多因素分析显示,化疗是OS(HR=0.39,95% CI=0.31~0.48)和CSS(HR=0.37,95% CI=0.29~0.48)的独立保护因素。随机生存森林模型中,化疗的重要性评分最高。亚组分析结果一致。结论 化疗是原发性肝脏DLBCL患者预后的独立影响因素,可显著改善OS,R-CHOP方案可能是优选治疗方案。
2025, 34(7):1410-1420. doi: 10.7659/j.issn.1005-6947.240611
摘要:背景与目的 结直肠癌肝转移(CRCLM)是影响患者预后的主要原因,术前无创、精准诊断对制定治疗方案至关重要。传统临床标志物特异性有限,本研究旨在基于多模态MRI影像组学特征,结合机器学习算法,构建预测CRCLM的高效模型,并评价其临床价值。方法 收集2022年5月—2024年5月于河南省南阳市第一人民医院行术前MRI检查并经病理证实的150例结直肠癌患者,随机分为训练集(n=120)和验证集(n=30)。其中CRCLM 57例,无CRCLM 93例。采用单因素与多因素分析筛选CRCLM独立危险因素,建立临床诊断模型。提取多模态MRI影像组学特征,经LASSO筛选后分别构建Logistic回归(LR)、支持向量机(SVM)、随机森林(RF)模型,并比较其诊断效能。建立临床及影像组学联合诊断模型,并通过受试者操作特征和决策曲线(DCA)评估效能与临床获益。结果 癌胚抗原(OR=1.323,95% CI=1.079~1.567)、糖类抗原19-9(OR=2.512,95% CI=1.225~3.799)及中性粒细胞/淋巴细胞比值(OR=1.881,95% CI=1.354~2.409)是CRCLM独立危险因素(均P<0.05),以上3个因素构建的临床诊断模型曲线下面积(AUC)为0.793。RF模型在训练集与验证集AUC最高(0.770、0.763),优于LR和SVM。基于RF的联合诊断模型在训练集与验证集AUC分别为0.913和0.947,明显优于单独临床或影像组学诊断模型,DCA显示联合诊断模型具有最高临床净获益。结论 RF模型在影像组学预测中表现最佳,其与临床特征结合的联合模型能显著提高CRCLM的无创诊断效能,具备较高的临床应用价值。
段志辉,陈树波,孙天佑,刘亚冰,吉晓林,齐正,马玉荣,韩翠平,李辉
2025, 34(7):1421-1429. doi: 10.7659/j.issn.1005-6947.250119
摘要:背景与目的 门静脉高压性结肠病(PHC)是肝硬化相关门静脉高压的常见并发症之一,可能导致消化道出血,但其发病机制尚不明确,国内系统研究较少。为提高临床认识,本研究旨在分析肝硬化患者结肠镜表现的特征,并探讨其与临床相关因素的关系。方法 回顾性分析2020年7月—2024年12月在邢台市人民医院接受结肠镜检查的99例肝硬化患者的肠镜、胃镜及临床资料,比较PHC组与非PHC组患者在性别、肝功能Child-Pugh分级、血小板水平、腹水、肝性脑病等方面的差异,并行多因素Logistic回归分析以识别PHC的独立危险因素。同时将该人群与同期参加国家结直肠癌筛查的444例人群进行结直肠病变检出率对比。结果 99例肝硬化患者中PHC检出率为32.32%,腺瘤性息肉28.28%,结直肠癌3.03%,仅37.37%无异常发现。未见结肠镜相关严重并发症。PHC组患者中男性比例明显高于非PHC组(78.13% vs. 50.75%,P=0.009),肝功能Child-Pugh分级B/C级占比明显高于非PHC组,血小板计数在PHC组中明显降低(均P<0.05)。腹水及肝性脑病发生率在两组之间差异无统计学意义(P>0.05)。多因素分析显示,男性(OR=3.307,95% CI=1.219~8.971)、肝功能Child-Pugh分级B/C级(OR=2.867,95% CI=1.046~7.861)是PHC的独立危险因素。与国家筛查队列相比,本组肝硬化患者腺瘤检出率无明显差异(28.28% vs. 25.00%,P=0.499),结直肠癌检出率略高,但差异无统计学意义(3.03% vs. 0.68%,P=0.135)。结论 肝硬化患者结肠镜异常率高,PHC及腺瘤性息肉较常见。建议无禁忌证的肝硬化患者,尤其是男性、肝功能Child-Pugh分级B/C级患者应常规接受结肠镜检查,以提高PHC及癌前病变的早期识别率,减少下消化道出血及肿瘤漏诊风险。
2025, 34(7):1430-1439. doi: 10.7659/j.issn.1005-6947.250069
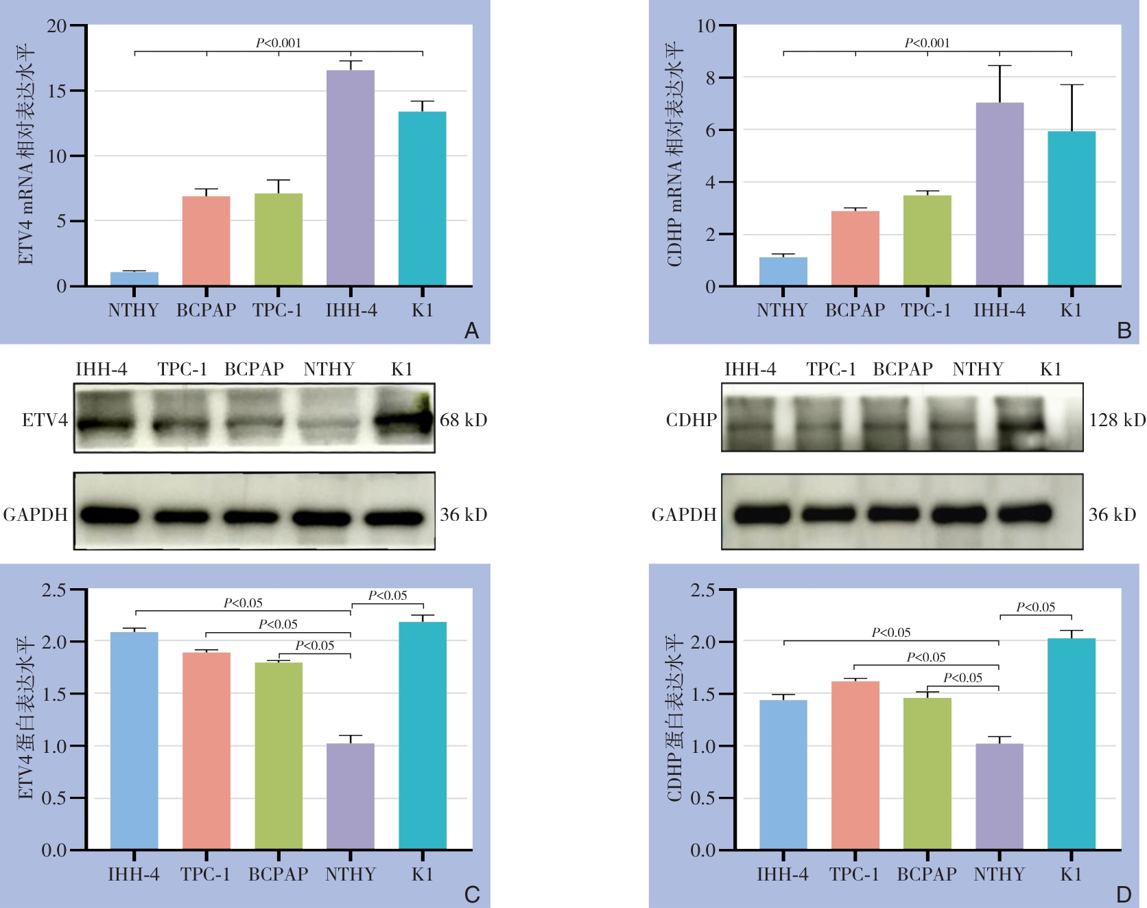
摘要:背景与目的 甲状腺乳头状癌(PTC)是最常见的内分泌系统恶性肿瘤,其侵袭与转移机制尚不完全清楚。本研究旨在探讨转录因子E26转化特异性变体4(ETV4)在PTC中的作用及其与细胞黏附蛋白CDHP(CDH3)的调控关系。方法 利用TCGA与GTEx数据库分析ETV4和CDHP在PTC中的表达差异及相关性;在正常甲状腺细胞和多种PTC细胞系中检测两者的表达水平;通过siRNA构建ETV4敲低模型,采用qRT-PCR、Western blot、CCK-8、划痕及Transwell实验评估其对CDHP表达及细胞功能的影响。结果 数据库分析显示,ETV4和CDHP在PTC组织中呈高表达,癌组织与癌旁对比差异均具有统计学意义(P<0.001)。相关性分析提示ETV4与CDHP表达呈明显正相关(R2>0.5,P<0.01)。细胞实验进一步证实,四种PTC细胞系中ETV4和CDHP的mRNA及蛋白水平均高于正常甲状腺细胞(P<0.05)。在ETV4敲低模型中,CDHP表达明显下调(P<0.05),同时CCK-8法检测显示细胞增殖率下降,划痕及Transwell实验结果提示迁移和侵袭能力均明显减弱(均P<0.05)。结论 ETV4可能通过转录调控上调CDHP的表达,促进PTC细胞的增殖、迁移与侵袭。ETV4/CDHP轴有望成为PTC新的分子标志物和潜在治疗靶点。
2025, 34(7):1440-1450. doi: 10.7659/j.issn.1005-6947.250294
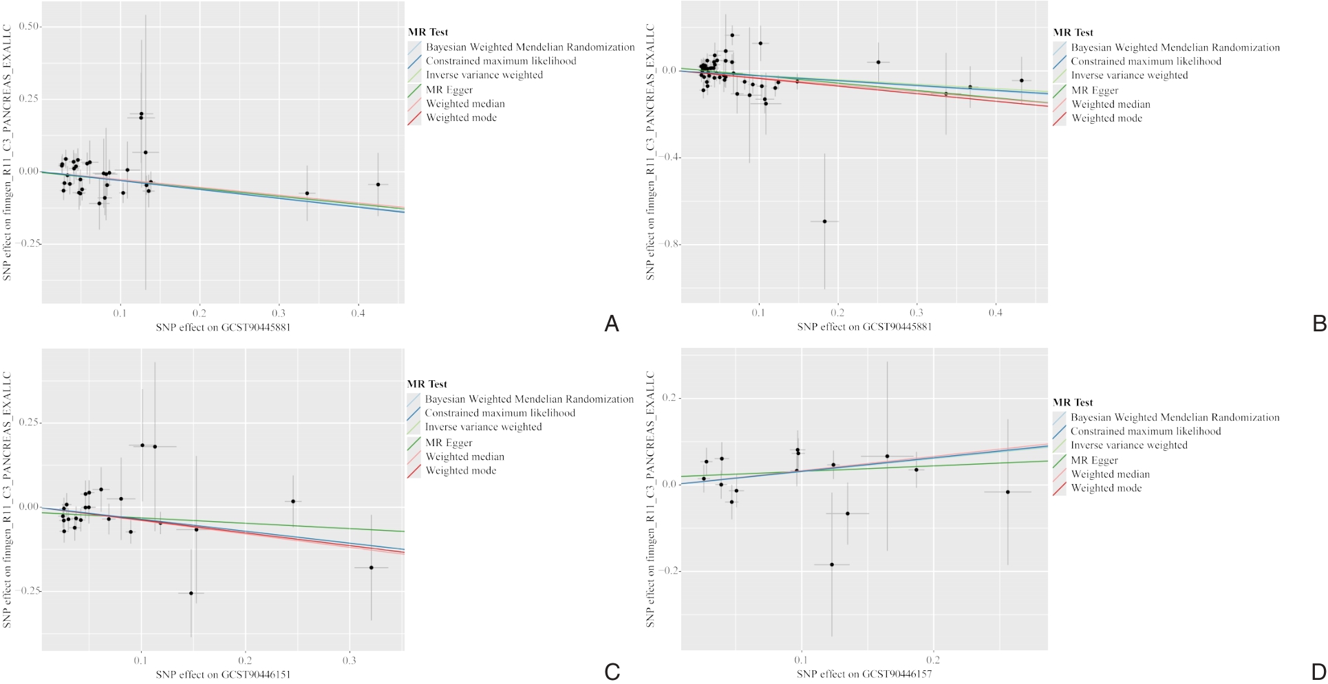
摘要:背景与目的 胰腺癌(PC)是一种预后极差的消化系统恶性肿瘤,其发生机制尚未完全明确。现有研究提示血浆代谢组学改变与PC发生可能存在关联,但传统观察性研究易受混杂因素和反向因果关系干扰,难以明确代谢物与PC的因果联系。本研究基于双样本孟德尔随机化(MR)方法,系统评估325种核磁共振代谢物与PC风险之间是否存在潜在的因果关系。方法 整合UK Biobank中325种核磁共振代谢物的GWAS数据与FinnGen胰腺癌GWAS数据,筛选与代谢物显著相关的单核苷酸多态性作为工具变量。以逆方差加权法为主,结合MR-Egger、加权中位数、加权模式、贝叶斯加权孟德尔随机化(BWMR)和约束最大似然法(cML)等方法进行验证,并开展多重敏感性分析以评估结果稳健性结果 共发现4项代谢物与胰腺癌风险存在显著因果关联。其中,中密度脂蛋白(IDL)中磷脂与总脂质的比值(GCST90445881)、小高密度脂蛋白(HDL)中磷脂/总脂质比值(GCST90446027),以及极大极低密度脂蛋白(VLDL)中游离胆固醇/总脂质比值(GCST90446151)升高均与PC风险降低相关;相反,乳糜微粒和极大VLDL中甘油三酯/总脂质比值(GCST90446157)升高则增加PC风险。多种敏感性分析均支持结果的稳健性。结论 本研究从遗传学角度揭示脂质代谢异常与PC风险之间的因果关系,提示磷脂及游离胆固醇比例升高具有保护作用,而甘油三酯水平升高则为危险因素。相关代谢特征有望成为PC早期诊断与干预的重要生物标志物,为临床风险评估和代谢靶向治疗提供新思路。
2025, 34(7):1451-1463. doi: 10.7659/j.issn.1005-6947.250212
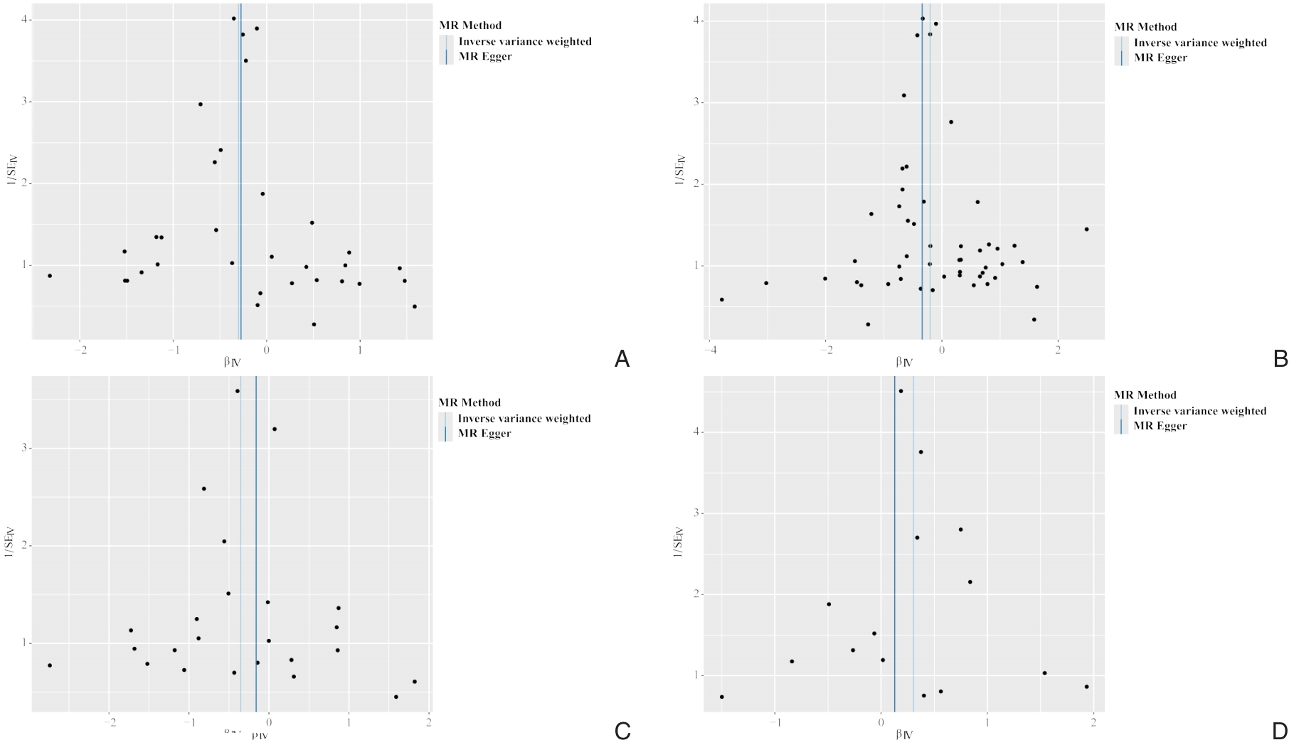
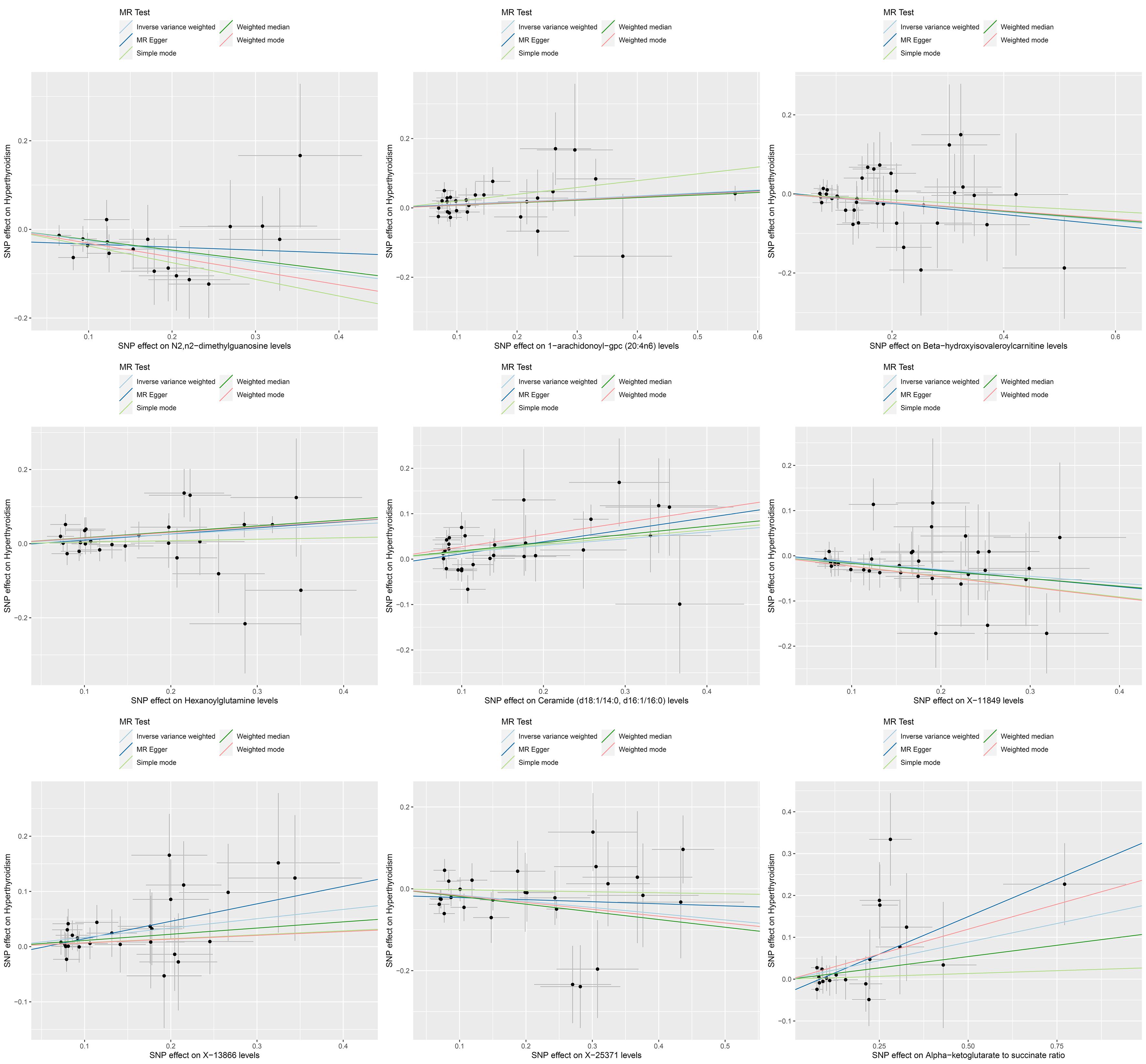
摘要:背景与目的 甲状腺自身免疫性疾病(AITD)与代谢紊乱密切相关,但代谢物在发病中的因果作用尚不明确。本研究基于双样本孟德尔随机化(MR)方法,系统评估约1 400种血液代谢物与Graves病(GD)及桥本甲状腺炎(HT)的因果关系,以筛选潜在风险或保护性代谢物,为病因机制研究和代谢靶向干预提供遗传学证据。方法 利用公开的血液代谢物和AITD全基因组关联研究(GWAS)汇总数据,采用逆方差加权法为主、多种MR方法为辅,评估代谢物与GD及HT的因果效应,并结合异质性检验、水平多效性检验及留一法进行敏感性分析。结果 共识别出49种与GD、89种与HT具有显著因果关联的代谢物。其中,己酰谷氨酰胺、神经酰胺(d18∶1/16∶0)等为GD风险因素,N2,N2-二甲基鸟苷和β-羟基异戊酰肉碱等为保护因素;孕二醇硫酸盐、茶碱等与HT风险增加相关,二氢亚麻酸(20∶3n3 or n6)、辛酸盐等呈保护作用。α-酮戊二酸/琥珀酸比值与两种疾病均呈正相关,提示可能的共同代谢风险机制。结论 本研究从遗传学层面揭示了多种血液代谢物与GD及HT的因果关系,部分代谢物有望作为预测或保护性标志物,为AITD的发病机制阐释、早期筛查及个体化代谢干预提供新思路。
2025, 34(7):1464-1472. doi: 10.7659/j.issn.1005-6947.250145
摘要:背景与目的 肥胖已成为严重的全球公共健康问题,袖状胃切除术(LSG)是常用的代谢减重手术,但部分患者术后减重不理想。既往研究表明,心理因素与饮食行为在术后减重中具有重要作用,但其作用机制尚未明晰。本研究旨在探讨LSG术后患者自我控制与术后12个月减重效果(%EWL)的关系,并进一步分析抑郁与情绪性进食的独立及链式中介作用。方法 采用横断面研究设计,纳入中南大学湘雅三医院LSG术后患者202例。使用简式自我控制量表(BSCS)、患者健康问卷-9(PHQ-9)及荷兰饮食行为问卷(DEBQ)进行测评;计算术后12个月内%EWL。以Pearson相关分析变量关系,采用Process 4.0模型6并以Bootstrap法(5 000次重抽样)检验中介效应(控制性别与术后时间)。结果 总体BSCS、PHQ-9、DEBQ及%EWL分别为21.76±4.15、5.54±3.91、30.72±11.25和(60.94±31.61)%。自我控制与抑郁(r=-0.697)及情绪性进食(r=-0.441)呈负相关,与%EWL呈正相关(r=0.566,均P<0.01);%EWL与抑郁(r=-0.467)和情绪性进食(r=-0.348)呈负相关(均P<0.01)。在控制协变量后,自我控制对%EWL具有正向预测作用(β=0.291 9,P<0.01),抑郁(β=-0.155 6,P<0.05)与情绪性进食(β=-0.115 8,P<0.05)呈负向预测。中介分析显示,经“自我控制→抑郁→%EWL”的间接效应为0.848 8(95% CI=0.178 7~1.573 0),经“自我控制→情绪性进食→%EWL”的间接效应为0.259 8(95% CI=0.033 4~0.564 3),经“自我控制→抑郁→情绪性进食→%EWL”的链式间接效应为0.131 7(95% CI=0.005 9~0.322 8);总间接效应为1.240 2,占总效应的35.83%。结论 LSG术后患者更高的自我控制水平既可直接改善减重效果,也可通过降低抑郁与情绪性进食(及其链式作用)间接提升%EWL。建议在围手术期与随访中常规开展心理状态与饮食行为评估与干预,以巩固长期减重获益。
2025, 34(7):1481-1488. doi: 10.7659/j.issn.1005-6947.250344
摘要:背景与目的 输液港作为完全植入式静脉通路广泛用于长期输液患者,但传统蝶翼针穿刺固定方式存在成功率偏低、疼痛感强及针刺伤风险等问题。本研究旨在设计一种可调式输液港蝶翼针穿刺保护套件,并通过模拟器具在临床实践中验证其应用效果。方法 采用前瞻性随机对照设计,纳入2024年1月—12月在中南大学湘雅医院血液科植入上臂输液港的70例患者,通过随机区组法将患者分为试验组和对照组,各35例。试验组使用模拟的可调式保护套件穿刺,对照组采用传统手指固定法。比较两组在一次性穿刺成功率、垂直穿刺率、穿刺时疼痛评分、穿刺用时及穿刺后并发症发生率等方面的差异。结果 两组患者基线特征均衡。试验组一次性穿刺成功率和垂直穿刺率明显高于对照组(94.3% vs. 77.1%;91.4% vs. 57.1%,均P<0.05);试验组疼痛评分低于对照组(1.80±1.13 vs. 2.94±1.33,P<0.05)、穿刺用时短于对照组[(31.31±9.05)s vs.(41.80±23.97)s,P<0.05]。两组穿刺后并发症发生率差异无统计学意义(2.9% vs. 14.3%,P>0.05)。结论 模拟的可调式输液港蝶翼针穿刺保护套件可显著提高穿刺成功率与效率,降低患者疼痛,具有良好的安全性与临床应用价值。其创新设计为减少针刺伤风险、提升护理操作质量提供了新思路,但仍需进一步扩大样本量、多中心及长期随访验证。
2025, 34(7):1489-1497. doi: 10.7659/j.issn.1005-6947.240614
摘要:医源性胆管损伤(IBDI)是常见的胆管损伤类型,多发生于胆囊切除术。随着腹腔镜胆囊切除术的普及,其发生率明显高于开腹手术,且合并血管损伤(VI)的复杂病例逐渐增多,增加了诊治难度,严重时可导致肝缺血及萎缩。肝管空肠吻合术是胆管损伤后常用的重建方式,若合并VI,则可能需行肝切除。本文报告笔者收治的1例53岁女性患者,因胆囊切除术后出现胆汁漏入院。经2次多学科团队(MDT)讨论,术前评估显示肝右动脉及门静脉分支损伤并伴右前叶萎缩。根据术中所见,最终实施右半肝切除联合左肝管空肠Roux-en-Y吻合术。患者术后恢复顺利,随访6个月无明显不适。通过对该病例的诊治过程及文献的回顾与分析,本文总结了复杂IBDI的临床特点、诊治策略及MDT模式的价值,以期为临床实践提供借鉴。
2025, 34(7):1498-1504. doi: 10.7659/j.issn.1005-6947.250089
摘要:肝细胞癌(HCC)是全球最常见的恶性肿瘤之一,其预后评估和治疗策略的制定对改善患者生存至关重要。传统预后模型依赖有限的临床病理参数,难以全面反映肿瘤的高度异质性。近年来,人工智能(AI)技术,特别是机器学习和深度学习,凭借强大的数据挖掘与模式识别能力,推动了HCC精准诊疗的变革。本文系统总结了AI在HCC预后评估与治疗优化中的最新进展,重点阐述影像组学、多模态数据融合等关键方法,探讨其在术后复发预测、疗效评估及个体化治疗决策中的应用潜力与挑战,并展望AI未来的发展方向,旨在为加速AI技术在HCC临床转化中的应用提供参考。
2025, 34(7):1505-1513. doi: 10.7659/j.issn.1005-6947.250052
摘要:肝移植是终末期肝病的重要治疗方式,但其复杂性仍限制了临床应用。随着互联网与大数据发展,人工智能(AI)技术在肝移植手术中的应用逐步拓展,涵盖供肝评估、器官分配、机器人辅助手术及术后管理等环节,并展现出显著优势。然而,AI应用也引发一系列伦理问题,尤以资源分配公平、技术缺陷与不伤害原则冲突、责任归属模糊、患者隐私安全与知情同意等最为突出。本文系统综述AI在肝移植手术中的应用现状及相关伦理挑战,旨在为其合理应用与持续发展提供参考。
2025, 34(7):1514-1522. doi: 10.7659/j.issn.1005-6947.240166
摘要:肝细胞癌(HCC)合并门静脉癌栓(PVTT)是晚期肝癌的常见表现之一,预后较差,治疗难度大。尽管HCC合并PVTT的治疗方式包括手术、系统治疗和局部治疗(如介入治疗、放疗等),但单一治疗效果有限,联合治疗已成为趋势。随着放疗技术的发展,立体定向放疗(SBRT)因其高精度、高剂量、分次少等优势,在姑息治疗、转化治疗、新辅助治疗及术后辅助治疗中发挥了重要作用。研究表明,SBRT单独或联合其他治疗手段可显著延长患者总生存期并提高局部控制率。本文综述了SBRT在HCC合并PVTT中的研究进展,重点探讨了SBRT单独应用及与手术、介入、靶向、免疫治疗等多种治疗方式的联合策略,以期为临床治疗提供参考依据。
2025, 34(7):1523-1531. doi: 10.7659/j.issn.1005-6947.250040
摘要:肝细胞癌(HCC)是全球范围内导致癌症相关死亡的主要原因之一,HCC是典型的免疫原性肿瘤,其复杂的免疫微环境在肿瘤的发生和发展中起着关键作用。近年来,免疫抑制细胞和循环肿瘤细胞(CTC)之间的相互网络交互作用促进HCC免疫逃逸和转移引起了广泛关注。CTC如何逃避免疫监视和被免疫细胞清除仍不清楚。本文聚焦循环肿瘤细胞与免疫抑制细胞的调控网络及免疫逃逸的关键通路,引入外泌体调控和单细胞多组学技术解析细胞互作机制,系统阐述靶向PD-L1、CCL5等通路的临床转化挑战,并提出人工智能驱动的个体化治疗前景。
2025, 34(7):1532-1541. doi: 10.7659/j.issn.1005-6947.240681
摘要:肝细胞癌(HCC)是一种高度异质性、预后差的恶性肿瘤,其发生发展与氧化应激、代谢重编程及肿瘤微环境密切相关。醛脱氢酶(ALDH)在HCC中不仅参与氧化应激调控、糖脂代谢改变和肿瘤干细胞维持,还在免疫逃逸中发挥重要作用,成为潜在的治疗靶点。本文系统综述了ALDH在HCC中的表达特征与功能机制,重点评述了ALDH抑制剂(如双硫仑、二乙氨基苯甲醛)及基于ALDH的肽疫苗等治疗策略的研究进展,并探讨其在联合免疫治疗和化疗中的应用前景。现有证据表明,靶向ALDH有望抑制肿瘤生长、逆转耐药并增强抗肿瘤免疫反应。未来应聚焦于优化药物选择性与安全性,并探索个体化联合治疗方案,以改善HCC患者的预后。
2025, 34(7):1542-1552. doi: 10.7659/j.issn.1005-6947.250325
摘要:高脂血症型急性胰腺炎(HLAP)由严重脂质代谢紊乱触发,病情进展迅速并伴高并发症发生风险。其发病机制涉及乳糜微粒蓄积与游离脂肪酸毒性、炎症通路激活及细胞内钙稳态紊乱等多重机制。近年研究显示,脂代谢相关基因的多态性可通过调控脂蛋白代谢、脂肪酸氧化及炎症反应等途径影响HLAP的易感性、病情严重度及降脂药物疗效。本文系统综述了主要脂代谢基因多态性与HLAP/高甘油三酯血症的关联、基因-基因及基因-环境交互作用,以及基因多态性对贝特类、他汀类和PCSK9抑制剂等降脂治疗反应的潜在影响,讨论了基于基因分型的个体化预防与治疗策略的现状与挑战。旨在为HLAP的精准筛查与个体化治疗提供理论依据和未来研究方向。
2025, 34(7):1553-1559. doi: 10.7659/j.issn.1005-6947.240668
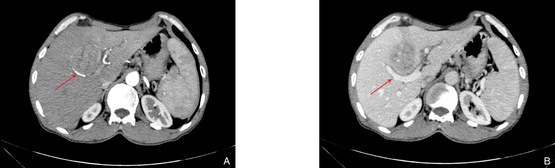
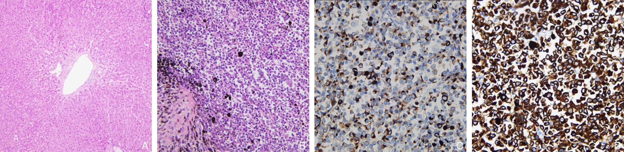
摘要:背景与目的 恶性黑色素瘤常见于皮肤及眼部等部位,肝脏原发极为罕见,且缺乏特异性临床与影像学特征,易被误诊。本文报告1例肝脏原发性黑色素瘤(PHM),并结合文献回顾分析其临床特点、诊疗策略及预后。方法 回顾性分析1例经手术切除并病理确诊的PHM患者,检索中国知网、万方、维普及PubMed数据库相关病例,共纳入42例进行总结。结果 患者,男性,61岁,术前误诊为肝细胞癌,术后免疫组化示HMB45、Melan A、SOX10强阳性,确诊为PHM。行手术完全切除肿瘤,术后12个月复发并多发转移。文献分析显示,PHM多见于中老年男性,临床表现不典型,影像学缺乏特异性,确诊依赖病理及免疫组化。预后较差,25例有随访资料的患者中,6个月和12个月生存率分别为28.00%和12.00%。结论 PHM是一种罕见且预后不良的恶性肿瘤,早期诊断困难。手术切除仍是局限性病灶的首选治疗,结合分子靶向及免疫治疗可望改善生存;失去手术机会时,应优先考虑免疫治疗和靶向治疗的个体化方案。
2025, 34(7):1560-1564. doi: 10.7659/j.issn.1005-6947.250271
摘要:背景与目的 消化道恶性肿瘤常伴腹膜转移,早期微小病灶影像学检出率低,导致诊断与治疗延误。血清肿瘤标志物检测简便易行,但单项敏感度和特异度有限。循环肿瘤DNA(ctDNA)能够反映肿瘤分子特征,有望弥补传统方法不足。本研究旨在探讨血清CA125、CA19-9、CEA联合腹腔灌洗液ctDNA检测在消化道恶性肿瘤腹膜转移诊断中的价值。方法 回顾性分析2019年9月─2024年9月湖南省长沙市第一医院收治的180例消化道恶性肿瘤患者,依据腹膜转移情况分为腹膜转移组(120例)和无腹膜转移组(60例)。比较两组血清肿瘤标志物水平及阳性率,并结合ctDNA结果,采用ROC曲线评估诊断效能。结果 腹膜转移组CA125、CA19-9、CEA水平均明显高于无腹膜转移组(均P<0.000 1)。三项联合检测阳性率为85.0%,高于单项检测(均P<0.001)。ROC分析显示,CA125的AUC最高(0.925),三项联合检测AUC亦为0.925;联合ctDNA后AUC提高至0.942(95% CI=0.912~0.972),敏感度和特异度分别为92.5%和88.3%。结论 血清CA125、CA19-9、CEA联合腹腔灌洗液ctDNA检测可显著提升消化道恶性肿瘤腹膜转移的诊断效能,具有重要临床应用价值,并为个体化诊疗提供分子依据。

主管:中华人民共和国教育部
主办:中南大学 中南大学湘雅医院
主编:王志明
创刊:1992年3月
国际标准刊号:ISSN 1005-6947
国内统一刊号:CN 43-1213
国内邮发代号:42-121
