
主管:中华人民共和国教育部
主办:中南大学 中南大学湘雅医院
主编:王志明
创刊:1992年3月
国际标准刊号:ISSN 1005-6947
国内统一刊号:CN 43-1213
国内邮发代号:42-121

2025, 34(6):1083-1096. doi: 10.7659/j.issn.1005-6947.250291
摘要:静脉畸形(VM)是血管畸形中最常见的一种先天性血管疾病,呈终身渐进发展的特点,严重危害患者的身心健康。在治疗方面,创新性地将射频消融(RFA)治疗应用于VM已经成为一种可靠的治疗方法,在临床上显示出了确切的疗效,且同时具备安全、微创、住院时间短、费用较低等优势。但目前国内外尚无相关指南或共识对RFA治疗VM提供推荐性建议。因此,中华医学会急诊医学分会、中国医师协会介入医师分会组织国内血管瘤外科、血管外科、整形外科、介入科、影像科、急诊科、普通外科、内科等领域专家综合国内外研究,对VM的RFA治疗最新进展及临床意义进行了总结讨论,形成和完善了《静脉畸形射频消融治疗专家共识》(2025版),本共识包括RFA治疗VM的适应证、消融策略、围手术期管理、相关并发症防治策略等方面的20条专家共识推荐意见,旨在提高临床操作者对RFA治疗VM规范化应用的认知和实践能力,从而保证该治疗方法在临床应用过程中的安全性和有效性。
赵渝,赵纪春,张岚,黄建华,郭平凡,汪涛,李拥军,王海洋,陈泉,
2025, 34(6):1097-1108. doi: 10.7659/j.issn.1005-6947.250096
摘要:在老年人群中,慢性静脉疾病(CVD)的发病率显著高于非老年人群,并且其病变程度亦更为严重。此外,老年CVD患者往往伴有心血管疾病等共存病症,导致CVD的评估过程更为复杂,治疗难度相应增加。目前,我国尚未形成针对60岁及以上老年人群CVD诊治的推荐意见。基于此背景,中国老年医学学会周围血管疾病管理分会依据国内外指南及相关的循证医学研究,结合我国老年人群的生理特征与临床特点,制定了《老年人慢性静脉疾病诊治中国专家共识》,为提升我国老年人CVD诊疗水平提供重要决策依据。
2025, 34(6):1109-1120. doi: 10.7659/j.issn.1005-6947.250268
摘要:完全植入式静脉输液港(TIVAP)作为一种中心静脉通路装置,广泛应用于需长期或间歇性静脉输液、化疗、营养支持等治疗的患者,可有效减少反复穿刺,具有安全、便捷等优点。当前基层医疗机构在TIVAP维护及并发症管理中存在流程不一、操作不规范等问题。为提高TIVAP使用安全性与规范性,保障患者治疗效果,河南省医师协会结直肠肛门外科医师分会组织多学科专家,结合国内外循证证据与临床实践经验,制定本基层技术规范专家共识。共识内容涵盖TIVAP的评估、维护、并发症处理及预防策略,提出了10条专家推荐意见,强化可操作性与基层适配性,旨在为基层医护人员提供科学、统一、实用的操作指导,降低并发症发生风险,提升临床质量与患者安全。
2025, 34(6):1121-1129. doi: 10.7659/j.issn.1005-6947.250257
摘要:内漏是导致腹主动脉瘤腔内修复术(EVAR)术后远期疗效不佳和再干预的重要原因。预防和处理内漏是提高EVAR手术安全性和有效性的关键。本文旨在总结EVAR术中对于各种类型内漏处理的难点和要点,为降低术后内漏的发生率提供指导。
2025, 34(6):1130-1138. doi: 10.7659/j.issn.1005-6947.250295
摘要:背景与目的 主动脉弓部疾病的腔内修复需兼顾病灶有效隔绝与弓上分支血管灌注,是当前血管外科领域的重要挑战。Castor分支型主动脉覆膜支架具备结构完整、一体化重建左锁骨下动脉(LSA)血流的优势,联合左颈总动脉(LCCA)烟囱支架技术,有望为近端锚定区不足的弓部病变提供微创、可行的治疗方案。本研究旨在评估该联合技术的初步可行性与安全性,为复杂主动脉弓病变的腔内治疗提供临床参考。方法 回顾性纳入2023年2月—2024年12月在中南大学湘雅二医院接受Castor分支型支架联合LCCA烟囱支架技术治疗的15例主动脉弓部疾病患者,分析其基线特征、手术过程、围手术期并发症及随访结果,评估技术成功率、并发症发生率及分支血管通畅率。结果 15例患者中男性11例,平均年龄63.8岁,病种包括主动脉夹层(33.4%)、弓部动脉瘤(53.3%)及穿透性主动脉溃疡(13.3%)。手术技术成功率100%,围手术期无死亡及严重并发症。随访时间4~26个月(平均12.9个月),期间无脑卒中、瘫痪、内漏、支架移位等并发症发生,LCCA与LSA通畅率均为100%。结论 Castor分支型主动脉覆膜支架联合LCCA烟囱支架技术在治疗近端锚定区不足的主动脉弓部病变中展现出良好的技术可行性与短期安全性,有望成为复杂主动脉弓腔内治疗的新选择。但仍需大样本、多中心、长期随访研究进一步验证其远期疗效与安全性。
2025, 34(6):1139-1148. doi: 10.7659/j.issn.1005-6947.250059
摘要:背景与目的 腹主动脉瘤(AAA)是血管外科常见的动脉扩张性疾病,其最严重的并发症为瘤体破裂,常引发致命性大出血,严重威胁患者生命安全。腹主动脉瘤腔内修复术(EVAR)因其微创、安全、恢复快的优势,已成为AAA的首选治疗方式。然而,术后特有的内漏并发症仍是当前临床面临的主要难题。内漏可致瘤腔持续高压,增加瘤体扩张及破裂风险,是EVAR术后二次干预率较高的主要原因之一,尤其Ⅱ型内漏的处理策略尚存争议。本研究旨在评估在标准EVAR术中联合经髂动脉入路选择性瘤囊栓塞技术治疗即刻内漏的临床应用价值。 方法 回顾性收集2023年3月—2024年9月在中国医科大学附属第一医院接受标准EVAR治疗并有内漏风险的AAA患者临床资料。根据是否实施术中经髂动脉入路选择性瘤囊栓塞分为干预组(42例)与未干预组(32例),比较两组患者的一般资料、术前AAA解剖学特征、手术细节及术后随访结果。 结果 两组患者在年龄、性别、解剖特征、破裂率及超说明书使用比例等方面差异无统计学意义(均 P>0.05)。两组术中技术成功率均为100%。干预组1例术后出现一过性乙状结肠缺血,经保守治疗好转。平均随访时间为(6.49±4.68)个月,干预组瘤囊缩小、稳定及增大比例分别为40.5%、57.1%和2.4%,未干预组分别为59.4%、40.6%和0.0%,两组间差异无统计学意义(均 P>0.05)。随访期间内漏发生率在两组间亦无明显差异( P>0.05)。 结论 对于标准EVAR术中出现的内漏,经髂动脉入路选择性瘤囊栓塞技术操作简便、安全,短期疗效与术中无内漏者相当,值得临床推广。其远期疗效仍需进一步随访验证。
2025, 34(6):1149-1156. doi: 10.7659/j.issn.1005-6947.240585
摘要:背景与目的 严重肢体缺血(CLI)是下肢动脉疾病的终末阶段,其中膝下动脉病变因其复杂的解剖结构和病理特点,治疗难度较大,患者面临较高的截肢率和病死率。近年来,血管内治疗技术不断发展,然而关于不同治疗策略的优劣仍存争议。为系统比较不同治疗方法的疗效,本研究采用网络Meta分析方法,综合评价普通球囊扩张术(BA)、裸金属支架(BMS)、药物涂层球囊(DCB)、药物洗脱支架(DES)及轨道旋切术(OA)在治疗CLI合并膝下动脉病变中的效果,为临床制定优化的血管内治疗方案提供循证依据。方法 系统检索多个医学数据库,最终纳入17项随机对照试验,共计2 379例患者,开展网络Meta分析。主要结局指标包括术后1年的一期通畅率、靶病变再次血运重建(TLR)率及大截肢率。结果 在术后1年一期通畅率方面,DCB显示出最优效果,明显优于DES(OR=4.55,95% CI=1.14~20.00)、BMS(OR=15.77,95% CI=3.50~71.00)和BA(OR=9.02,95% CI=2.43~33.47)。在术后1年TLR率方面,DCB同样最具优势,明显低于BA(OR=0.40,95% CI=0.22~0.72)。术后1年大截肢率方面,各治疗方法之间差异无统计学意义,但累积排序结果显示DES在降低大截肢率方面可能更具优势。结论 DCB在提高一期通畅率和降低TLR率方面具有明显优势,DES则可能是降低大截肢风险的最有效手段。建议在治疗CLI合并膝下动脉病变时优先考虑DCB和DES。
2025, 34(6):1157-1170. doi: 10.7659/j.issn.1005-6947.250283
摘要:背景与目的 主动脉瘤作为一种高致死率和高致残率的重大心血管疾病,已成为全球公共卫生的重要挑战。体质量指数(BMI)升高被证实是其独立危险因素之一,但高BMI所致主动脉瘤疾病负担在中国的长期趋势及其性别、年龄和区域异质性尚缺乏系统研究。本研究基于全球疾病负担(GBD)数据库,探讨1990—2021年中国高BMI相关主动脉瘤的疾病负担变化趋势,并与全球及不同社会人口指数(SDI)水平地区进行比较分析。方法 利用GBD 2021数据,提取1990—2021年间中国高BMI导致的主动脉瘤病死率和失能调整生命年(DALY)等指标,计算其年龄标准化病死率(ASMR)和年龄标准化失能调整生命年率(ASDR)。采用扩展年均变化百分比(EAPC)和Joinpoint回归模型评估长期趋势,并基于自回归积分滑动平均模型预测2022—2036年疾病负担的未来趋势。结果 研究期内,中国高BMI相关主动脉瘤死亡数和DALY分别增长近7倍。ASMR由1/10万上升至3/10万(EAPC=3.91),ASDR由23/10万升至74/10万(EAPC=4.11),增长趋势显著。男性在各年龄段均承受更高负担,65岁以上人群尤为突出。分解分析显示,男性负担上升更多受益于流行病学改善,女性负担则主要由人口老龄化驱动。与美国和全球趋势相比,中国高BMI相关主动脉瘤负担增长速度更快,且未来15年仍将维持高位。结论 中国高BMI相关主动脉瘤疾病负担持续攀升,呈现显著的性别与年龄差异。应加强对高危人群的体质量管理、健康干预与早期筛查,以遏制疾病持续上升趋势,优化公共卫生资源配置。
2025, 34(6):1171-1177. doi: 10.7659/j.issn.1005-6947.250133
摘要:背景与目的 自发性孤立性肠系膜上动脉夹层(SISMAD)是一种较为常见的内脏动脉夹层疾病,主要表现为急性腹痛,严重者可引发肠缺血甚至坏死。随着CT血管成像(CTA)等影像技术的普及,SISMAD的检出率显著提高,但目前针对其治疗策略仍存在争议,尤其在保守治疗与腔内介入治疗之间的选择缺乏统一标准。为探讨两种治疗方式的临床效果及适应人群,本研究回顾性分析本中心SISMAD患者的临床资料,并比较不同治疗方式的短中期疗效,为制定个体化治疗策略提供依据。方法 回顾性分析2018年1月—2023年12月浙江省宁波市第二医院确诊的174例SISMAD患者临床资料,其中保守治疗30例,腔内介入治疗144例(包括支架植入和部分假腔弹簧圈栓塞联合支架植入)。术前均行CTA或肠系膜上动脉造影并分型。随访评估患者术后1个月和1年症状缓解情况及影像学指标,包括夹层重塑率、支架通畅性等。结果 保守治疗组1个月症状缓解率为90.0%,1年为92.8%;介入治疗组分别为99.3%和98.6%。1个月症状缓解率差异具有统计学意义(P=0.016),1年症状缓解率差异无统计学意义(P>0.05)。分型亚组比较中,介入治疗组各型症状缓解率普遍高于保守治疗,但差异均无统计学意义(均P>0.05);保守治疗组Ⅲ型患者症状控制较差,出现死亡病例。介入治疗成功率为99.3%,1年内支架移位或闭塞为0例,完全重塑率为86.8%,支架通畅率为100%。部分患者支架内出现少量附壁血栓,未见血流阻断。结论 腔内介入治疗对SISMAD患者具有较高的技术成功率和良好的短中期疗效,尤其适用于真腔血流受限的Ⅱ型及Ⅲ型患者。建议根据夹层分型及血流受限程度,个体化制定治疗方案,以提升疗效、降低风险。
马琳,田轩,郑涵,刘建龙,尹月嫡,王凌燕,李金勇,刘笑,周密,华润
2025, 34(6):1178-1187. doi: 10.7659/j.issn.1005-6947.250290
摘要:背景与目的 急性下腔静脉血栓形成(IVCT)常继发于腔静脉滤器(VCF)植入术后,若未及时处理,不仅可能导致双下肢肿胀、肺栓塞等严重并发症的发生,还会影响滤器的回收率。机械性血栓清除术(PMT)和导管溶栓术(CDT)是目前常用的两种血栓治疗方式,但关于其疗效及安全性的对比研究仍较少。本研究通过前瞻性随机对照试验,比较AngioJet PMT与传统CDT治疗急性IVCT的疗效与安全性,探讨影响滤器回收率的因素,为临床治疗提供循证依据。方法 选取2022年1月—2024年12月于首都医科大学附属北京积水潭医院接受治疗的VCF植入后急性IVCT患者,按术式不同随机分为CDT组(46例)和PMT组(48例)。比较两组在滤器回收率、血栓清除效果、手术时间、溶栓药物用量、并发症发生率等方面的差异,并采用Logistic回归分析探讨影响一期滤器回收率的相关因素。结果 共入组94例患者,其中CDT组46例,PMT组48例。PMT组在一期滤器回收率(77.1% vs. 43.5%)、Ⅲ级血栓清除率(70.8% vs. 37.0%)、术后血栓评分及尿激酶使用量、溶栓时间等方面均优于CDT组(均P<0.05)。两组总体滤器回收率及3个月下腔静脉通畅率相近,均超过93%。安全性方面,CDT组导管相关性感染及医用粘胶剂相关皮肤损伤发生率较高,而PMT组更易诱发迷走神经反射症状。Logistic回归分析显示,血栓清除率是影响PMT组一期滤器回收率的独立相关因素(OR=190.773,P<0.05)。结论 与CDT相比,AngioJet PMT联合手动抽吸术在治疗急性IVCT中具有更高的血栓清除率和一期滤器回收率,且可显著缩短溶栓时间、减少药物使用量,但需警惕迷走神经反射的不良反应。两种术式在二期滤器回收率及远期通畅性方面无显著差异。术式选择应结合患者病情、滤器回收时机及个体化需求综合评估。
2025, 34(6):1188-1195. doi: 10.7659/j.issn.1005-6947.250227
摘要:背景与目的 完全植入式静脉给药装置(TIVAP)广泛应用于肿瘤患者的化疗、输血及营养支持治疗。其中,上臂输液港(UAP)因其避免发生胸腔并发症、切口隐蔽等优势,逐渐成为临床推荐方案。目前UAP主要有两种植入术式:隧道针-横切口术式与穿刺点-横切口术式。本研究旨在比较两种术式在血液肿瘤患者中的应用效果,评估其安全性与美观性,为临床术式选择提供依据。方法 回顾性分析2021年12月—2024年12月在中南大学湘雅医院接受UAP植入的412例血液肿瘤患者,根据术式不同分为隧道针-横切口组(n=200)和穿刺点-横切口组(n=212)。比较两组患者的术中指标(手术时间、术中疼痛评分、囊袋处导管打折率、术中出血量)及术后指标(术后并发症发生率、切口美观满意度)。结果 两组患者基线资料比较差异无统计学意义(均P>0.05),具有可比性。穿刺点-横切口组在手术时间[(32.99±4.91)min vs.(41.42±5.35)min]、导管打折率(1.4% vs. 8.5%)、切口美观满意度评分(7.99±0.58 vs. 6.26±0.86)方面均优于隧道针-横切口组(均P<0.05);穿刺点-横切口组术中出血量略高于隧道针-横切口组[(4.52±1.02)mL vs.(4.16±0.83)mL],差异虽有统计学意义,但其临床意义有限。术中疼痛评分及术后并发症发生率两组间差异均无统计学意义(均P>0.05)。结论 穿刺点-横切口术式在提高手术效率、减少导管打折及改善切口美观方面具有明显优势,且安全性不低于传统术式,具有良好的临床推广应用价值。
2025, 34(6):1196-1208. doi: 10.7659/j.issn.1005-6947.250071
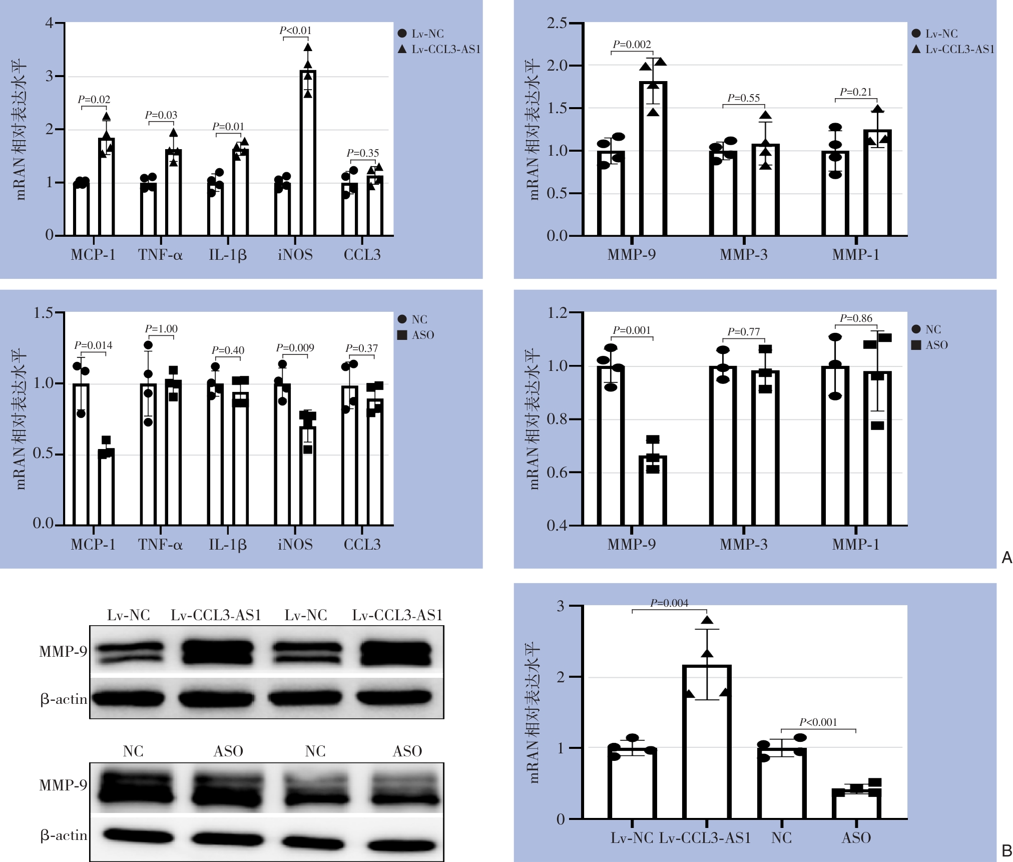
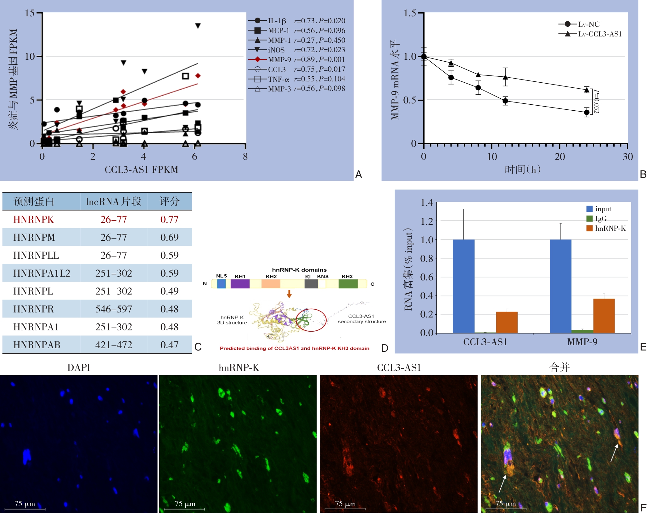
摘要:背景与目的 颈动脉斑块不稳定性是缺血性脑卒中发生的重要病理基础,寻找关键分子标志物以评估斑块稳定性具有重要临床意义。近年来的研究强调了长链非编码RNA(lncRNA)在斑块稳定性中的重要调控作用和预警价值。笔者前期对人颈动脉稳定和不稳定斑块组织进行全转录组测序,发现lncRNA 趋化因子3反义RNA 1(CCL3-AS1)在不稳定斑块中高表达,可能与斑块稳定性密切相关。因此,本研究进一步扩大斑块组织样本量验证,并探讨CCL3-AS1对颈动脉斑块稳定性的影响及分子机制。方法 收集颈动脉内膜剥脱术患者的斑块组织,HE和天狼星红等病理染色方法将其分为稳定斑块组和不稳定斑块组(n=15/组),采用qRT-PCR对候选的差异lncRNA CCL3-AS1的表达进行验证。用RNA原位杂交联合免疫荧光技术确定其在斑块组织中的定位及与巨噬细胞的共表达关系。体外实验中,通过慢病毒或反义寡核苷酸(ASO)分别上调或敲低THP1来源巨噬细胞中CCL3-AS1表达,检测炎症因子及基质金属蛋白酶(MMP)的变化。体内通过载脂蛋白E敲除(ApoE-/-)小鼠右颈动脉串联结扎构建不稳定斑块模型,并局部过表达CCL3-AS1,评估其对斑块形态、炎性巨噬细胞浸润及MMP-9表达的影响。进一步基于catRAPID omics v2.1平台进行生物信息学预测,筛选CCL3-AS1潜在结合蛋白,并结合RNA稳定性实验与RNA结合蛋白免疫沉淀(RIP)实验,验证其调控MMP-9表达的机制。结果 结果显示,CCL3-AS1在不稳定颈动脉斑块中呈明显高表达,并主要定位于斑块中巨噬细胞的胞浆。体外实验显示,CCL3-AS1过表达可明显上调巨噬细胞中MCP-1、TNF-α、IL-1β、iNOS及MMP-9的表达,敲低则相反。在ApoE-/-小鼠的颈动脉不稳定斑块模型中,CCL3-AS1过表达诱导斑块纤维帽破裂、炎性巨噬细胞聚集及MMP-9分泌增强,促进斑块不稳定。共表达分析提示CCL3-AS1与MMP-9表达高度相关(r=0.89,P=0.001),RNA稳定性实验显示其可延缓MMP-9 mRNA降解。生物信息学预测发现CCL3-AS1可能与hnRNP-K蛋白结合,RIP实验和组织FISH共定位进一步证实该相互作用,提示CCL3-AS1通过与hnRNP-K结合增强MMP-9 mRNA稳定性,进而促进其表达。结论 lncRNA CCL3-AS1作为巨噬细胞中富集的炎症调控因子,可能通过hnRNP-K介导的MMP-9表达促进颈动脉斑块不稳定,为缺血性脑卒中的早期干预和分子分型提供潜在靶点。
2025, 34(6):1209-1218. doi: 10.7659/j.issn.1005-6947.240537
摘要:背景与目的 研究显示,长链非编码RNA(lncRNA)FGD5-AS1在胃癌(GC)中发挥致癌基因的作用。笔者前期通过生物信息学分析发现,FGD5-AS1与微小RNA-142-3p(miR-142-3p)、miR-142-3p与丙酮酸脱氢酶激酶1(PDK1)之间存在结合位点。因此,本研究探讨FGD5-AS1靶向miR-142-3p/PDK1对GC细胞中的表达及作用。方法 利用双荧光素酶报告基因实验验证FGD5-AS1与miR-142-3p、miR-142-3p与PDK1之间的靶向关系。采用qRT-PCR检测GC组织中FGD5-AS1、miR-142-3p和PDK1的表达水平。构建sh-FGD5-AS1干扰体系及miR-142-3p抑制模型,分别或联合转染GC细胞系BGC823,观察细胞增殖(CCK8、EdU)、凋亡(流式细胞术)、迁移与侵袭(Transwell)等生物学行为及相关蛋白表达(Western blot)。通过裸鼠皮下成瘤实验检测FGD5-AS1对GC移植瘤生长的影响。结果 双荧光素酶报告基因实验显示,miR-142-3p mimic可明显降低FGD5-AS1和PDK1野生型(WT)报告基因的荧光活性(均P<0.05),而对突变型(MUT)无影响,证实FGD5-AS1与miR-142-3p、miR-142-3p与PDK1之间存在直接结合关系。敲除FGD5-AS1后,GC细胞中miR-142-3p表达上调,PDK1表达下调,细胞增殖、迁移、侵袭能力减弱,凋亡增强,上述变化可被miR-142-3p抑制剂逆转(均P<0.05)。动物实验显示敲除FGD5-AS1可明显抑制裸鼠移植瘤的生长及移植瘤组织中Ki-67、PDK1表达(均P<0.05)。结论 FGD5-AS1可能通过ceRNA机制靶向吸附miR-142-3p,从而解除对PDK1的抑制,促进GC细胞的增殖与侵袭,并加速肿瘤生长。FGD5-AS1/miR-142-3p/PDK1轴在GC发生发展中发挥关键作用,或可作为潜在的诊疗靶点。
2025, 34(6):1219-1227. doi: 10.7659/j.issn.1005-6947.240644
摘要:背景与目的 腹腔镜解剖性肝段切除因其安全性、可行性及有效性,已广泛应用于肝肿瘤的手术治疗。正染吲哚菁绿(ICG)荧光导航结合术中腹腔镜超声已成为精准肝切除的重要手段,尤其在识别肝段/亚段范围、明确切缘方面显示出显著优势。本文报告1例应用腹腔镜超声联合正染ICG荧光导航完成的解剖性肝右后段及右前背侧段切除病例,以评估其临床可行性与效果。方法 回顾性分析1例肝脏占位性病变应用腹腔镜超声联合正染ICG荧光导航行解剖性肝右后段和右前背侧段切除术的老年女性患者资料。结果 术前行三维重建明确肿瘤位于肝右后段及右前背侧段,术中在腹腔镜超声引导下穿刺门静脉右前腹侧支并注射ICG,实现右前腹侧段的精准染色,依据荧光边界顺利完成肝右后段及右前背侧段的精准解剖性切除。术中出血约100 mL,未输血,切除组织病理确诊为中分化小胆管型肝内胆管癌,切缘阴性(R0切除),术后恢复良好,于术后第19天出院,术后6个月复查未见复发。结论 在解剖性切除肝右后段及右前背侧段过程中,腹腔镜超声联合正染ICG荧光导航可精准指示肝段边界,提高手术的安全性与切除的彻底性,对实现R0切除具有重要价值。
2025, 34(6):1228-1237. doi: 10.7659/j.issn.1005-6947.250022
摘要:背景与目的 腹腔镜胃癌根治术中淋巴结清扫的彻底性直接影响术后患者预后。吲哚菁绿(ICG)荧光导航技术作为新兴辅助手段,能实时显影淋巴引流路径,辅助提高手术精准性。本文探讨ICG荧光导航在腹腔镜胃癌D2根治术中对淋巴结清扫、阳性淋巴结识别及患者预后的影响。方法 回顾性分析2021年1月—2022年12月于福建医科大学附属漳州市医院行腹腔镜胃癌根治术的168例患者资料,其中51例接受ICG导航手术(ICG组),117例为常规手术(非ICG组)。比较两组在围手术期指标、淋巴结清扫情况、阳性淋巴结检出能力及术后生存情况等方面的差异。结果 两组患者的基线临床病理资料及手术时间、术中出血量、术后恢复情况、外科并发症发生率差异均无统计学意义(均P>0.05)。ICG组平均清扫淋巴结数明显多于非ICG组(48.62枚vs. 37.20枚,P<0.001),清扫≥30枚的比例也更高(92.16% vs. 69.23%,P=0.001)。分层分析显示,ICG组在D2站、胰腺上区域(第7、8、9、11组)、全胃切除、T3~4期、Ⅲ期等患者中淋巴结清扫数明显增多(均P<0.01)。ICG组中显影淋巴结的检出数和阳性数均明显高于非显影淋巴结(30.31枚vs. 17.36枚;2.03枚vs. 0.94枚,均P<0.05)。ICG荧光成像对阳性淋巴结的诊断敏感度为68.4%,非显影淋巴结的阴性预测值为94.6%。两组在术后辅助治疗情况相似,总生存率(HR=0.737,P=0.471)和无病生存率(HR=0.502,P=0.089)无明显差异。结论 ICG导航在腹腔镜胃癌根治术中具有良好的安全性,显著提高胰腺上区域、全胃切除及较晚分期胃癌患者的淋巴结清扫数量,增强阳性淋巴结识别能力,但短期内尚未观察到生存获益。该技术有望进一步优化术中导航策略,提升手术质量,且需开展长期随访及多中心研究加以验证。
2025, 34(6):1238-1245. doi: 10.7659/j.issn.1005-6947.240286
摘要:背景与目的 低分化甲状腺癌(PDTC)是一种临床上较为少见但具有高度侵袭性的甲状腺恶性肿瘤类型,其生物学行为介于分化型与未分化型甲状腺癌之间,常表现为早期转移、复发率高和生存率低。目前,针对PDTC患者预后的评估主要依赖TNM分期等传统指标,尚缺乏系统化、多因素整合的个体化预测工具。列线图模型作为一种可视化、量化的预测方法,已广泛应用于多种肿瘤的预后研究,但在PDTC中的应用尚不充分。本研究旨在识别影响PDTC患者预后的关键危险因素,并基于多因素分析构建风险列线图模型,以期为临床精准判断PDTC患者术后预后提供辅助决策支持。方法 纳入2015年1月─2020年12月在南阳医学高等专科学校第一附属医院接受手术治疗的55例PDTC患者,随访期为3年。根据随访期间肿瘤复发、转移及死亡情况,将患者分为预后良好组与预后不良组。通过单因素分析筛选与预后相关的临床特征,进一步采用多因素Logistic回归分析确定独立危险因素。基于多因素分析结果,使用R 3.5.3软件构建列线图风险预测模型,并通过ROC曲线和Bootstrap方法评估模型的预测性能和校准能力。结果 55例患者中,随访期间有15例出现肿瘤进展,1例死亡,预后不良率为29.1%。单因素分析显示,肿瘤直径、TNM分期、局部侵犯、手术方式、脉管侵犯及神经受累在两组间差异具有统计学意义(均P<0.05)。多因素Logistic回归分析表明,肿瘤直径≥3 cm、晚期TNM分期、局部侵犯、次全切术、存在脉管侵犯和神经受累是PDTC患者预后不良的独立危险因素(均P<0.05)。以此为基础构建的列线图模型C-指数为0.794(95% CI=0.725~0.846),ROC曲线下面积为0.817,敏感度为82.26%,特异度为86.35%,模型表现出良好的区分度和准确率。结论 肿瘤直径、TNM分期、局部侵犯、手术方式、脉管侵犯和神经受累是影响PDTC患者术后预后的重要因素。基于上述变量构建的列线图模型具有较好的预测能力,能够为PDTC的个体化风险评估和治疗策略制定提供有利参考。
2025, 34(6):1246-1261. doi: 10.7659/j.issn.1005-6947.250156
摘要:背景与目的 γ-氨基丁酸(GABA)作为中枢神经系统的主要抑制性神经递质,近年来被发现与多种肝脏相关疾病(如肝性脑病、肝硬化、肝细胞癌)存在密切关联,其异常表达与认知障碍、神经炎症等病理过程密切相关。尽管已有大量研究探讨GABA在肝病神经并发症中的作用机制,但该领域的整体研究趋势、合作格局与研究热点尚缺乏系统梳理。本研究采用文献计量学方法,全面揭示2005—2024年GABA与肝脏相关疾病研究的演进轨迹与热点前沿,以期为该领域的科研方向规划提供参考。方法 在Web of Science核心合集数据库中检索2005—2024年GABA与肝脏相关疾病领域英文文献,筛选符合条件的文献。采用VOSviewer、CiteSpace及R包“bibliometrix”对国家/地区、机构、作者、期刊等信息进行可视化分析,同时开展关键词聚类、共被引分析及研究主题演化趋势分析。结果 共纳入237篇文献,来自47个国家和456家机构,由1 340位作者发表在168种期刊上。美国与中国在该领域处于主导地位,英国、意大利等国虽发文量相对较少,但平均被引次数突出,显示研究质量优势。西班牙Centro Investigación Principe Felipe和Felipo Vicente团队在该领域学术影响力显著。Neurochemistry International与Hepatology是核心期刊,后者以其高影响因子(12.9)具有重要地位。关键词聚类分析显示,当前研究主要集中于GABA在肝性脑病神经机制中的调控作用、肝病相关代谢紊乱对神经递质平衡的影响、以GABA受体为靶点的药物开发与疗效评估,以及GABA能系统在肝细胞癌发生发展过程中的功能。随着研究的深入,关键词出现频率呈现多元化趋势,近年来如“quality of life”“gene expression”“fatty liver disease”等词汇的突现反映出研究已从基础机制逐步扩展至生活质量、临床转化及多学科交叉领域。结论 GABA与肝脏疾病的关系已成为跨学科研究热点,研究内容从病理机制向诊疗转化延伸,GABA在肝性脑病、代谢紊乱与肿瘤进展等疾病中的病理机制和干预策略正成为重要方向。未来研究应关注GABA受体亚型的特异功能,推动精准治疗药物开发,并进一步探索如肠道菌群-GABA代谢-肝脑轴等新机制,以拓展其在神经、代谢和肿瘤等多系统疾病中的潜在应用。
2025, 34(6):1262-1274. doi: 10.7659/j.issn.1005-6947.250139
摘要:二氧化碳(CO2)作为一种无色、无味、低密度、无肾毒性与过敏反应的阴性造影剂,近年来在血管造影领域的应用日益广泛,尤其适用于碘过敏或肾功能不全患者。CO2造影联合数字减影血管造影技术已在多个动静脉部位如腹主动脉、肾动脉、髂动脉、下肢动脉、下腔静脉等取得良好图像质量,并在外周动脉疾病、透析通路评估、经颈内静脉肝内门体分流术等临床场景中显示出安全、有效的优势。本文系统梳理了CO2造影的国内外研究进展,概述其物理化学特性、注射剂量与参数、造影适应证及图像表现,比较了其与碘造影剂在图像质量上的异同,总结了常见并发症类型、发生机制及防控措施。尽管CO2造影图像质量略逊于碘剂,仍可满足大多数诊疗需求,且并发症整体发生率低,主要为轻度一过性不适。随着自动化注射系统与数字方差血管成像等技术的发展,CO2造影图像质量将持续改善,应用范围有望进一步扩大。未来亟须加强多中心临床研究与标准化操作规范的建设,以推动该技术的广泛推广与规范应用。
2025, 34(6):1275-1281. doi: 10.7659/j.issn.1005-6947.240656
摘要:下肢动脉硬化闭塞症(ASO)是常见的外周动脉疾病,全球发病率逐年上升。动脉钙化作为ASO的重要病理改变,在其发病机制、诊断评估、治疗策略和预后判断中均具有重要意义。近年来,随着影像学和生物标志物检测技术的不断进步,动脉钙化的定量评估和临床研究不断深入,为个体化诊疗提供了新思路。本综述从动脉钙化的病理生理机制出发,系统梳理其检测方法、对腔内治疗的影响以及在预后评估中的应用进展,旨在为ASO患者的精准治疗提供理论依据和实践参考。
2025, 34(6):1282-1288. doi: 10.7659/j.issn.1005-6947.240431
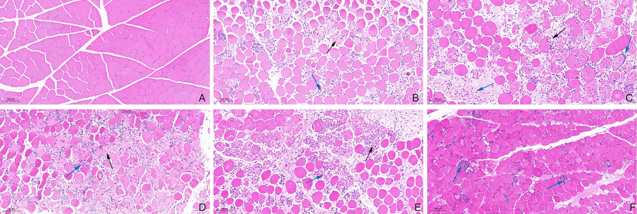
摘要:背景与目的 下肢缺血再灌注损伤(IRI)是血管外科常见并发症,其机制复杂,损伤严重。铁死亡是一种依赖铁离子和脂质过氧化的程序性细胞死亡方式,近年来被发现与多种器官IRI密切相关。本研究旨在探讨铁死亡在大鼠下肢IRI中的作用及调控对损伤的影响。方法 将48只SD大鼠随机分为6组,包括假手术组、模型组、去铁胺组、单剂去铁胺组、右旋糖酐铁组和雷帕霉素组,分别进行相应处理及造模。术后采集腓肠肌和血清样本,行HE和EVG染色评估病理改变,检测氧化应激指标(GSH、MDA、ROS)、细胞损伤指标(LDH)及组织/血清中铁含量。结果 模型组表现出典型的铁死亡相关损伤特征,包括肌纤维溶解、炎性浸润、GSH下降及MDA、ROS、LDH和铁含量升高。右旋糖酐铁组这些损伤表现加重。去铁胺虽降低血清铁,但未显著缓解肌肉组织损伤。雷帕霉素组则在未明显降低铁水平的情况下,显著改善氧化应激与组织病变。结论 铁死亡在下肢IRI骨骼肌损伤中发挥关键作用。抑制铁死亡可减轻损伤,外源性铁负荷则加重损害。传统铁螯合剂对骨骼肌保护作用有限,而雷帕霉素可能通过调节抗氧化途径减轻损伤,为临床干预提供新靶点。未来可探索联合调控铁稳态与脂质过氧化的策略以优化治疗效果。
2025, 34(6):1289-1294. doi: 10.7659/j.issn.1005-6947.250105
摘要:背景与目的 腹主动脉瘤(AAA)破裂后病死率极高,腔内修复术(EVAR)虽为主流治疗方式,但术后Ⅱ型内漏仍是最常见并发症,严重影响疗效并增加再干预风险。为寻找更有效的预防策略,本研究评估在EVAR术中联合应用纤维蛋白胶(FS)进行瘤腔填充,预防Ⅱ型内漏的疗效与安全性。方法 回顾性分析2020年1月—2022年7月接受EVAR术治疗的170例AAA患者资料。其中,行单纯标准EVAR术115例(EVAR组),行标准EVAR+FS瘤腔填充术55例(EVAR+FS组)。通过倾向性评分匹配(PSM)均衡两组的基线特征,实现可比性。主要观察指标为Ⅱ型内漏的发生率及无内漏时间。结果 PSM后,两组患者临床基线与解剖特征均无统计学差异(均P>0.05)。与EVAR组比较,EVAR+FS组术后6个月、1年及总体(64.6% vs. 11.8%)Ⅱ型内漏发生率明显低于EVAR组(均P<0.05)。EVAR+FS组无Ⅱ型内漏的平均时间明显长于EVAR组(37.06个月vs. 32.09个月,P=0.047)。术后未见严重并发症或栓塞相关不良事件发生。结论 在EVAR术中联合使用FS进行瘤腔填充可显著降低Ⅱ型内漏发生风险,延长内漏无事件时间,是一种安全、简便、有效的预防策略,值得在高风险AAA患者中推广应用。
2025, 34(6):1295-1300. doi: 10.7659/j.issn.1005-6947.240572
摘要:背景与目的 胆囊结石合并胆总管结石是临床常见的胆道系统疾病。传统治疗方法创伤较大,恢复时间较长。近年来,三镜联合手术(腹腔镜+十二指肠镜+胆道镜)作为一种微创手术模式,在提高手术精确性与结石清除率方面展现出较大潜力。本研究旨在评估三镜联合同期手术在胆囊结石合并胆总管结石治疗中的临床效果和安全性。方法 纳入2023年1月—2024年9月安徽医科大学附属安庆第一人民医院收治的60例胆囊结石合并胆总管结石患者,随机分为观察组(行三镜联合手术)和对照组(行腹腔镜+胆道镜手术),每组30例。比较两组在术中出血量、术后恢复指标、结石清除率、疼痛评分、免疫功能及术后并发症等方面的差异。结果 两组患者基线特征差异无统计学意义(均P>0.05)。观察组在术中出血量、术后排气与自主排尿时间、下床时间及住院时间方面均优于对照组(均P<0.05);结石完全清除率为100.0%,明显高于对照组的80.0%(P<0.05);术后视觉模拟评分在各时间点均明显低于对照组(均P<0.05)。术后3 d,观察组IgA、IgG、IgM水平均明显高于对照组(均P<0.05)。两组并发症发生率差异无统计学意义(P>0.05)。结论 三镜联合同期手术在提高清石率、加快术后恢复、减轻术后疼痛、改善免疫功能等方面具有明显优势,且安全性良好,是治疗胆囊结石合并胆总管结石的有效方案,值得临床推广应用。
2025, 34(6):1301-1306. doi: 10.7659/j.issn.1005-6947.240369
摘要:背景与目的 肠道菌群作为人体最大的微生物群落,与宿主健康密切相关。孟德尔随机化(MR)是探索肠道菌群与疾病因果关系的有效方法。因此,本研究运用MR评估肠道菌群失调与胆石症发生之间的因果关联。方法 以肠道菌群作为暴露因素、胆石症作为结局因素、单核苷酸多态性作为工具变量,进行两样本MR分析。结果 共筛选出16种与胆石症发生相关的肠道菌群。其中,红蝽菌纲与胆石症存在显著因果关联(OR=0.995,95% CI=0.991~0.999,P=0.018),是胆石症的保护因素。其余菌群基于现有数据,未能确立与胆石症发生的明确因果关联。结论 本研究通过MR分析证实肠道菌群中的红蝽菌纲是胆石症的保护因素,强调了其在胆石症发病机制中的潜在作用。其余菌群与胆石症的因果关联尚不明确,需进一步研究。

主管:中华人民共和国教育部
主办:中南大学 中南大学湘雅医院
主编:王志明
创刊:1992年3月
国际标准刊号:ISSN 1005-6947
国内统一刊号:CN 43-1213
国内邮发代号:42-121
