
主管:中华人民共和国教育部
主办:中南大学 中南大学湘雅医院
主编:王志明
创刊:1992年3月
国际标准刊号:ISSN 1005-6947
国内统一刊号:CN 43-1213
国内邮发代号:42-121

2025, 34(10):2039-2061. doi: 10.7659/j.issn.1005-6947.250560
摘要:慢性便秘是一种常见的功能性肠病,严重影响患者的生活质量与心理健康。《便秘外科诊治指南》先后于2008、2017年发布和再版,对我国便秘外科的发展起到了一定的推动作用。随着对便秘病理机制认识的深入及微创外科技术的进步,为进一步完善诊疗体系,该分会再次组织多学科专家,依据国内外最新循证医学证据,采用GRADE系统对证据质量和推荐强度进行分级,形成《便秘外科诊治指南(2025版)》。新版指南系统更新了便秘的病因评估、诊断方法、非手术与手术治疗策略,明确了手术指征及术式选择原则,强调个体化治疗和循证决策。本指南的制定旨在统一诊疗标准,提高临床决策水平,进一步提升便秘外科治疗的规范性与疗效。
2025, 34(10):2062-2067. doi: 10.7659/j.issn.1005-6947.250556
摘要:肥胖症已成为全球范围内的重要公共卫生挑战,可引发包括高血压、糖尿病在内的多种代谢性疾病。中国超过一半的成年居民存在超重或肥胖问题。随着减重药物(如GLP-1受体激动剂)和减重手术的快速发展,二者的协同治疗策略尚未明确,尤其是药物停用后手术准入原则存在争议,临床诊疗缺乏统一规范。国际肥胖与代谢病外科联盟于2025年7月发布全球首个聚焦“药物治疗诱导减重后代谢减重手术的声明”,明确肥胖的“慢性病”管理理念,阐明药物治疗与手术干预之间的协同关系。本文从治疗策略、手术准入原则及药物-手术协调策略等方面解读声明要点,为临床医生提供参考,推动肥胖治疗的规范化与个体化管理。
2025, 34(10):2068-2083. doi: 10.7659/j.issn.1005-6947.250552
摘要:复杂直肠癌常需实施超越全直肠系膜切除范围的联合脏器切除,或进行扩大范围的侧方淋巴结清扫(LLND)。受制于病灶位置深在、盆腔空间狭小及局部解剖复杂等因素,传统开放及腹腔镜手术常存在视野受限、操作困难及手术风险较高等问题。随着机器人辅助手术技术的发展,其高清三维视野、高自由度机械臂及符合人体工程学的设计,克服了传统腹腔镜器械之间干扰及狭窄盆腔操作受限等缺点,使手术操作更加精细、安全。近年来,机器人技术在LLND及盆腔多脏器联合切除等复杂直肠癌手术中已显示出明显优势。本文结合国内外相关研究及笔者的临床实践经验,对机器人辅助手术在复杂直肠癌治疗中的可行性及其优劣势进行探讨。
2025, 34(10):2084-2094. doi: 10.7659/j.issn.1005-6947.250512
摘要:腹腔镜内括约肌切除术(ISR)是实现超低位直肠癌极限保肛的重要术式。本文基于团队400例手术经验,围绕手术一些关键难点提出系统优化策略。针对括约肌间隙游离困难,采用“折刀位经肛优先”策略,改善盆底暴露并降低环周切缘阳性风险;为预防降低吻合口漏的发生,探索ISR联合改良Bacon(Turnbull-Cutait)延期吻合方案,实现“安全免造口”;对吻合口大范围裂开,建立造口治疗师参与的全程管理体系,并开展经肛“U”形修补以促进吻合口快速愈合;在功能重建方面,尝试经腹肛提肌成形术以增强盆底支撑、改善控便功能。初步实践表明,这一系列策略有助于在ISR术中实现肿瘤根治与功能保护的平衡,为超低位直肠癌保肛治疗的规范化与个体化提供了新的思路,但仍需要更多高质量临床研究进一步证实。
黄博文,周俊志,陈志浩,陈迎佳,张偌鹏,王汶锴,王俊江,赵百伟
2025, 34(10):2095-2105. doi: 10.7659/j.issn.1005-6947.250562
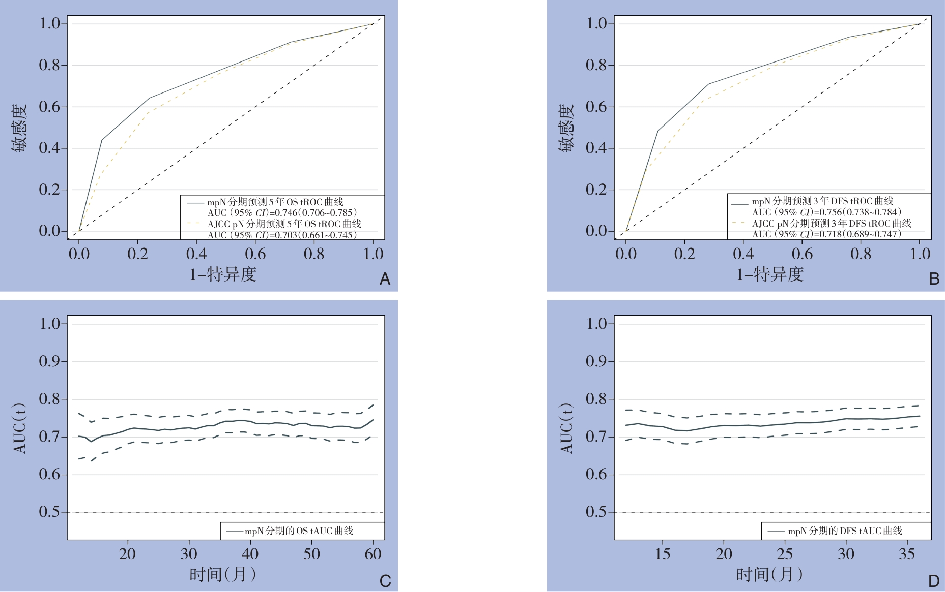
摘要:背景与目的 肿瘤沉积(TD)在胃癌(GC)中的预后意义尚未被第8版AJCC pTNM分期完全体现。本研究评估TD数目对原发性胃癌预后的影响,并基于TD数目提出并验证一种改良的pN分期(mpN),将TD数目>1者归类为pN3b,比较其与第8版AJCC pN分期的预测性能。方法 回顾性双中心队列研究。测试队列纳入2011—2015年中山大学肿瘤防治中心1 327例行根治性切除且淋巴结取样≥16枚的原发性GC患者;验证队列为2015—2022年广东省人民医院340例。按TD数目分为低TD(≤1个)和高TD(>1个)组。采用Kaplan-Meier生存分析、逆概率治疗加权(IPTW)、Cox回归、时间依赖性受试者工作特征(tROC)、C指数与Akaike信息标准(AIC)评估预后及分期模型性能。主要终点为总生存(OS),次要终点为无病生存(DFS)。结果 测试队列中435/1 327(32.7%)为TD阳性。TD存在与较差的OS(IPTW校正HR=2.69,95% CI=2.18~3.31,P<0.01)和DFS(HR=2.82,95% CI=2.32~3.42,P<0.01)相关;在多变量分析中,TD仍为OS(HR=1.65,95% CI=1.34~2.05,P<0.01)和DFS(HR=1.74,95% CI=1.43~2.11,P<0.01)的独立危险因素。随TD数目增加,5年OS和3年DFS显著下降;基于X-tile确定的截断值1将患者分为低/高TD组,高TD组预后显著更差(OS:校正HR=3.65,95% CI=2.74~4.88;DFS:校正HR=3.74,95% CI=2.85~4.91,均P<0.01)。将TD数目>1个者升为pN3b构建的mpN分期,在测试队列中对5年OS的tROC曲线下面积(tAUC)为0.746(vs. 0.703,AJCC),C指数0.738(vs. 0.721,AJCC),AIC 5 805.27(vs. 5 849.30,AJCC);在验证队列中亦显示一致的改进。结论 TD在胃癌预后中具有显著的不良影响,且TD数目>1个可作为将患者分层至更高风险(pN3b)的阈值。将TD数目纳入mpN分期可提高预后预测准确性。建议病理报告例行记录TD及其数目,并在更大、多中心前瞻性队列中进一步验证mpN分期的临床应用价值。
苟悦,胡尔雅,刘萍,曾梦思,骆晴晴,张向阳,蔡长景,申竑,赵枫,曾珊
2025, 34(10):2106-2118. doi: 10.7659/j.issn.1005-6947.250489
摘要:背景与目的 微卫星稳定型(MSS)结直肠癌(CRC)对免疫检查点抑制剂(ICI)反应不佳,缺乏有效的免疫治疗策略。抗血管生成药物如贝伐珠单抗(BEV)可改善肿瘤免疫微环境并与ICI协同。本研究基于多中心真实世界数据,比较MSS/MSI-L/pMMR型晚期CRC患者不同免疫联合方案的疗效,探索最优治疗模式。方法 回顾性纳入2019年11月—2025年2月在湖南四家三甲医院接受系统治疗的100例MSS/MSI-L/pMMR型晚期CRC患者,患者的治疗方案分为单纯化疗、化疗+靶向、单纯免疫、免疫+化疗、免疫+靶向及免疫+化疗+靶向。主要终点为总生存期(OS)和无进展生存期(PFS),次要终点为客观缓解率(ORR)和疾病控制率(DCR)。此外,在接受免疫治疗的患者中,根据是否联合BEV进一步进行亚组分析。结果 在全部100例患者中,免疫+化疗+靶向组的ORR与DCR最高(分别为32.0%和76.0%),且该组为唯一出现完全缓解(CR)病例的治疗方式。与化疗或免疫单药相比,免疫+化疗+靶向组OS明显延长(P<0.05),虽PFS改善未达统计学意义,但生存曲线在治疗后期出现明显分离趋势。在免疫治疗亚组分析中,含BEV方案的疗效显著优于无BEV方案:DCR分别为75.0%和48.8%,中位OS为18.9个月和11.5个月,中位PFS为13.8个月和7.2个月,差异均具有统计学意义(均P<0.001)。Cox回归分析显示,与单纯化疗相比,免疫+化疗+靶向组的死亡风险(HR=0.11)及疾病进展风险(HR=0.25)明显降低(均P=0.002)。脉管侵犯是PFS的不良影响因素(HR=3.0,P=0.007)。结论 多中心真实世界研究结果显示,免疫联合化疗及靶向治疗可显著改善MSS/MSI-L/pMMR型晚期CRC患者的DCR和生存结局,其中含BEV的三联方案表现最优。BEV可能通过改善免疫微环境、促进效应T细胞浸润实现免疫增敏效应,为免疫“冷”型CRC提供新的治疗方向。未来需开展前瞻性随机研究,以进一步验证其临床价值并明确适用人群。
方庆,李曙湘,袁进益,谭杰,李鸿民,许云华,付广,黄秋林,肖帅
2025, 34(10):2119-2128. doi: 10.7659/j.issn.1005-6947.240245
摘要:背景与目的 结直肠黏液腺癌(MAC)是一种具有独特生物学特征的结直肠癌亚型,因其恶性程度高、术前活检确诊率低而给临床决策带来挑战。炎症微环境在MAC发生发展中作用显著。为提高术前诊断准确性,本研究旨在基于术前系统性炎症指标及临床特征,构建并验证结直肠MAC的列线图预测模型。方法 回顾性分析2017年6月—2022年6月南华大学附属第一医院行根治性切除的结直肠癌患者293例临床资料。依据术后病理结果分为非特异性腺癌(AC)组和MAC组,并采用倾向评分匹配(PSM)进行1∶1配对。比较两组术前炎症指标差异后,利用单因素及多因素Logistic回归分析筛选MAC的独立预测因子,并据此建立列线图模型。采用受试者工作特征曲线、校准曲线和决策曲线分析(DCA)评估模型的鉴别力、校准度及临床实用性。结果 MAC组46例,AC组247例,MAC术前肠镜确诊率为54%。PSM后(各组43例),MAC组术前血小板计数、血小板淋巴细胞比(PLR)、全身免疫指数(SII)、炎症相关预后指数评分(IPI)、全身炎症评分(SIS)明显高于AC组,而淋巴细胞单核细胞比(LMR)明显较低(均P<0.05)。多因素分析确定肿瘤部位、肿瘤最大径及IPI为独立预测因素。构建的列线图模型在训练队列(n=206)和验证队列(n=87)中的曲线下面积分别为0.759(95% CI=0.662~0.856)和0.776(95% CI=0.649~0.903),校准曲线拟合良好,DCA显示具有较高的临床应用价值。结论 本研究建立的基于肿瘤部位、肿瘤最大径及术前IPI的列线图模型,可有效辅助结直肠MAC的术前识别。该模型具有良好的区分度和实用性,为制定个体化治疗方案,尤其是无法手术患者的精准决策,提供了有价值的量化工具。
沈军,董帅超,张桂平,卓海斌,蔡琳彬,陈晓琼,谭淑云,姚奇,黄美近,周家铭
2025, 34(10):2129-2137. doi: 10.7659/j.issn.1005-6947.250093
摘要:背景与目的 在腹腔镜结直肠癌根治术中,是否关闭肠系膜裂隙存在争议。未闭合肠系膜裂隙可能增加术后腹内疝和肠梗阻的发生。关闭肠系膜裂隙可能会增加手术时间和难度,甚至增加医源性肠系膜血管损伤风险。为探索更便捷、安全有效的肠系膜裂隙闭合方法,本研究评估α-氰基丙烯酸酯医用胶在腹腔镜结直肠癌根治术中关闭系膜裂隙的临床效果。方法 回顾性分析2022年1月—2023年12月在中山大学附属第六医院结直肠外科接受腹腔镜结直肠癌根治术的患者。先纳入78例术中使用α-氰基丙烯酸酯医用胶关闭肠系膜裂隙的患者为观察组,采用倾向性评分匹配方法选取同期未行裂隙关闭的患者74例作为对照组。比较两组围手术期相关指标、术后恢复及并发症发生情况。结果 两组术前基线资料及主要术中指标差异均无统计学意义(均P>0.05)。观察组术后3 d内腹水引流量明显少于对照组[(203.14±116.44)mL vs.(384.53±243.89)mL,P<0.01];术后排气、排便及拔除引流管时间均明显缩短(均P<0.01);两组术后并发症及肠梗阻发生率差异无统计学意义(均P>0.05)。多因素分析提示,术中应用α-氰基丙烯酸酯医用胶是术后3 d内排气的独立促进因素(OR=5.739,P=0.000)。结论 在腹腔镜结直肠癌根治术中应用α-氰基丙烯酸酯医用胶关闭肠系膜裂隙安全可行,能有效减少术后腹水引流量、促进肠道功能恢复。为临床提供一种简便、可靠的替代闭合方式。
2025, 34(10):2138-2147. doi: 10.7659/j.issn.1005-6947.250240
摘要:背景与目的 结直肠癌(CRC)发病机制复杂,现有治疗对晚期转移性疾病效果有限。达沙替尼为多靶点酪氨酸激酶抑制剂,在多种实体瘤中表现出潜在抗肿瘤活性。本研究旨在基于基因遗传变异,评估达沙替尼相关靶基因与CRC的因果关系,并探索免疫细胞在其中的中介作用,以期为CRC的预防与靶向治疗提供遗传流行病学证据。方法 基于DrugBank确认达沙替尼相关靶基因,并从IEU OpenGWAS下载相应eQTL、CRC(ebi-a-GCST90018808)及731项免疫细胞性状的GWAS数据。采用双样本孟德尔随机化(MR)进行两步法中介分析:首先评估达沙替尼靶基因(作为暴露)与CRC的因果关系;其次评估靶基因与免疫细胞、免疫细胞与CRC之间的因果关系;最后计算中介效应占比。使用Wald比率、逆方差加权法(IVW)、MR-Egger、MR-PRESSO、Cochran's Q、I2及leave-one-out等方法检验异质性、多效性与稳健性。结果 MR结果表明,达沙替尼通过抑制ABL1与CRC风险显著降低(OR=0.511 0,95% CI=0.323 1~0.808 0,P=0.004 1);抑制YES1亦与CRC风险降低相关(IVW OR=0.889 9,95% CI=0.811 6~0.975 8,P=0.013 1),且相关单核苷酸多态性未见显著异质性或水平多效性。进一步分析发现,达沙替尼抑制YES1显著降低IgD-CD24-AC的数量(OR=0.818 0,95% CI=0.678 2~0.986 7,P=0.035 7);而该细胞亚群本身为CRC的危险因素(OR=1.105 7,95% CI=1.029 6~1.187 5,P=0.005 7)。中介分析显示,IgD-CD24-AC在ABL1→CRC与YES1→CRC路径中的中介占比分别为-9.89%与17.31%。结论 基于MR证据,达沙替尼通过抑制ABL1和YES1与CRC风险降低相关,且IgD-CD24-AC在YES1相关路径中部分中介了该保护效应。本研究为达沙替尼作为潜在CRC干预靶点提供了遗传-免疫学支持,但因数据源以欧洲人群为主且部分免疫表型文献有限,仍需实验学验证与跨族群重复研究以确认机制与临床意义。
2025, 34(10):2138-2147. doi: 10.7659/j.issn.1005-6947.250240
摘要:背景与目的 结直肠癌(CRC)发病机制复杂,现有治疗对晚期转移性疾病效果有限。达沙替尼为多靶点酪氨酸激酶抑制剂,在多种实体瘤中表现出潜在抗肿瘤活性。本研究旨在基于基因遗传变异,评估达沙替尼相关靶基因与CRC的因果关系,并探索免疫细胞在其中的中介作用,以期为CRC的预防与靶向治疗提供遗传流行病学证据。方法 基于DrugBank确认达沙替尼相关靶基因,并从IEU OpenGWAS下载相应eQTL、CRC(ebi-a-GCST90018808)及731项免疫细胞性状的GWAS数据。采用双样本孟德尔随机化(MR)进行两步法中介分析:首先评估达沙替尼靶基因(作为暴露)与CRC的因果关系;其次评估靶基因与免疫细胞、免疫细胞与CRC之间的因果关系;最后计算中介效应占比。使用Wald比率、逆方差加权法(IVW)、MR-Egger、MR-PRESSO、Cochran's Q、I2及leave-one-out等方法检验异质性、多效性与稳健性。结果 MR结果表明,达沙替尼通过抑制ABL1与CRC风险显著降低(OR=0.511 0,95% CI=0.323 1~0.808 0,P=0.004 1);抑制YES1亦与CRC风险降低相关(IVW OR=0.889 9,95% CI=0.811 6~0.975 8,P=0.013 1),且相关单核苷酸多态性未见显著异质性或水平多效性。进一步分析发现,达沙替尼抑制YES1显著降低IgD-CD24-AC的数量(OR=0.818 0,95% CI=0.678 2~0.986 7,P=0.035 7);而该细胞亚群本身为CRC的危险因素(OR=1.105 7,95% CI=1.029 6~1.187 5,P=0.005 7)。中介分析显示,IgD-CD24-AC在ABL1→CRC与YES1→CRC路径中的中介占比分别为-9.89%与17.31%。结论 基于MR证据,达沙替尼通过抑制ABL1和YES1与CRC风险降低相关,且IgD-CD24-AC在YES1相关路径中部分中介了该保护效应。本研究为达沙替尼作为潜在CRC干预靶点提供了遗传-免疫学支持,但因数据源以欧洲人群为主且部分免疫表型文献有限,仍需实验学验证与跨族群重复研究以确认机制与临床意义。
2025, 34(10):2148-2158. doi: 10.7659/j.issn.1005-6947.240650
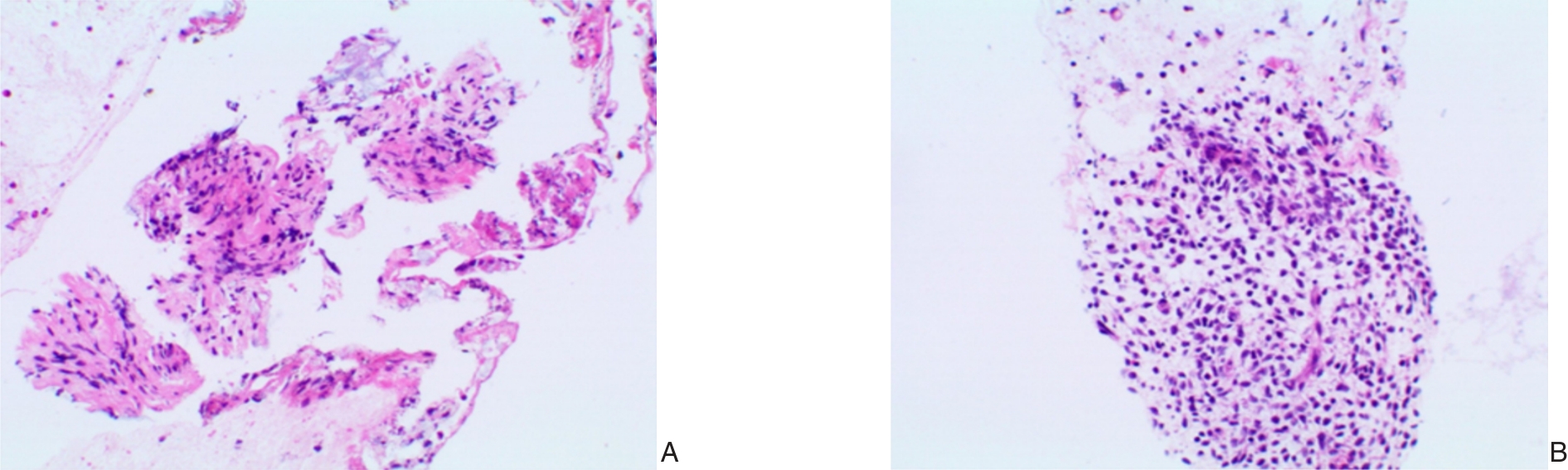
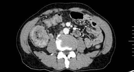
摘要:背景与目的 结肠横纹肌样癌(RCC)是一种极为罕见且高度侵袭性的肿瘤,常伴广泛转移,预后极差,目前尚无标准化治疗方案。本研究报告1例RCC,并结合既往文献总结其临床、病理及分子特征,以期提高对该病的认识。方法 回顾性分析中南大学湘雅医院收治的1例RCC的临床表现、影像学、病理及免疫组化特征,同时检索并整理国内外已报道的36例RCC,汇总其临床资料、免疫表型、基因变异、治疗方式及随访结果。结果 患者为71岁男性,表现为腹胀、腹痛及排便改变,影像及内镜提示升结肠肿瘤并不完全性梗阻。行腹腔镜右半结肠癌根治术,病理示低分化RCC,侵透浆膜层,淋巴结转移4/21;免疫组化示角蛋白AE1/AE3(+)、vimentin(+)、CDX2(-)、CK20(-),Ki-67(80%+),INI1表达保留;基因检测显示KRAS突变、BRAFV600E野生型。患者因经济原因未行放化疗,术后3个月出现腹膜转移而死亡。纳入的37例患者,男女比1.3∶1,平均年龄66岁,62%病变位于右半结肠;多数表现为低分化、横纹肌样细胞占主导,97.06%表达vimentin,100.00%表达角蛋白AE1/AE3,约85.71% CDX2(-);基因中65.00%伴BRAFV600E突变,约22.73%存在KRAS突变;MMR状态中pMMR占60.71%,dMMR占39.29%。多数患者行手术治疗,但78.79%在术后1年内死亡,中位生存6.0个月,仅少部分接受辅助化疗或免疫治疗者生存超过1年。结论 RCC具有高度恶性、生长迅速、易发生早期转移及复发的特点,对常规化疗反应差。其发生可能与肿瘤去分化、INI1缺失及BRAF/KRAS通路异常激活相关。手术仍为主要治疗方式,但术后应积极评估免疫治疗、生物制剂和放疗等综合策略的潜在价值。需进一步研究其分子机制及有效治疗手段。
李嘉豪,高祥,李鹏洲,宋智,李伟正,赵磊,文又武,罗衡桂,袁通立,李震,朱利勇
2025, 34(10):2159-2167. doi: 10.7659/j.issn.1005-6947.240470
摘要:背景与目的 胃袖状切除术(SG)已成为全球应用最广的减重术式,但术后胃食管反流病(GERD)仍是主要并发症之一。本研究旨在通过多中心数据分析,探讨SG术后GERD发生的独立危险因素,为术前评估与术中操作提供循证依据。方法 回顾性收集6家减重代谢外科中心2020年1月—2022年12月接受SG并完成12个月随访的672例患者临床资料。比较GERD组与无GERD组的术前一般情况、内镜下食管胃结合部(EGJ)结构分级、手术参数及术后随访结果,采用多因素Logistic回归分析GERD发生的相关因素。结果 SG术后GERD总体发生率为24.7%(166/672)。多因素分析显示,术前体质量指数(BMI)>35 kg/m2(OR=1.68,P=0.033)、EGJ结构AFS分级>2级(OR=2.90,P=0.006)、术前反酸胃灼热症状(OR=2.44,P=0.030)为GERD的独立危险因素;而切缘距His角距离>1 cm(OR=0.45,P<0.001)及胃支撑管直径>36 Fr(OR=0.08,P=0.001)与GERD发生呈负相关。结论 术前高BMI、EGJ结构异常及典型反流症状显著增加SG术后GERD风险,而合理的切缘距离和适当的支撑管直径具有保护作用。术前系统评估EGJ结构及术中规范化操作可有效降低术后反流风险。
2025, 34(10):2168-2179. doi: 10.7659/j.issn.1005-6947.250299
摘要:背景与目的 腹腔镜下食管裂孔疝修补术(LHHR)虽为治疗食管裂孔疝(HH)的金标准,但因裂孔扩大及膈食管韧带破坏,术后复发率仍较高。本研究设计新型立体小肠黏膜下层(SIS)补片,旨在实现膈肌环周加固与膈食管韧带重建,评价其在猪LHHR模型中的可行性、安全性及短期修复效果。方法 选用12头健康三元猪(35~40 kg),随机均分为无补片组、SIS平片组和立体SIS补片组,均在全麻下行LHHR及Nissen胃底折叠术。无补片组仅间断缝合关闭裂孔;SIS平片组在裂孔缝合后,于食管后方放置“U”形SIS平片加固膈肌,并用医用组织胶固定;立体SIS补片组在裂孔缝合后使用术中拼接成型的三维立体SIS补片,其上层钥匙孔型补片环周加固膈肌,中间筒状结构包绕腹段食管,下层小钥匙孔型补片覆盖于胃食管交界处,同样以医用胶固定。术后3个月进行剖腹探查,评估补片整合及疝复发情况,并进行生物力学测试和组织学分析。结果 所有动物手术顺利完成,无死亡或严重并发症。SIS平片组与立体SIS补片组手术时间较无补片组略长,但出血量相似。术后3个月均未见疝复发或补片移位。生物力学测试显示,SIS平片组与立体SIS补片组的极限载荷及杨氏模量均明显高于无补片组。组织学结果显示,补片组均出现新生血管与胶原沉积,其中立体SIS补片组在膈肌环周修复及膈食管韧带样结构形成方面更为显著。结论 立体SIS补片在猪LHHR模型中操作可行,短期安全有效,能够环周增强膈肌并促进膈食管韧带样组织重建,为降低术后复发和重建抗反流屏障提供新的思路。
2025, 34(10):2180-2190. doi: 10.7659/j.issn.1005-6947.250213
摘要:背景与目的 结直肠癌(CRC)发病率持续上升,晚期患者疗效有限,迫切需要开发新的抗肿瘤药物。山柰酚是一种天然黄酮类化合物,具有抗氧化、抗炎及抗癌活性。本研究结合网络药理学与实验验证,系统探讨山柰酚抗CRC的关键靶点及潜在机制。方法 通过SwissTargetPrediction、SEA、PharmMapper、TargetNet等数据库筛选山柰酚潜在靶点,从GeneCards、OMIM、CTD、DrugBank数据库获取CRC相关靶点,取交集构建“化合物-靶点-疾病”网络。利用STRING数据库和Cytoscape软件分析蛋白质-蛋白质相互作用(PPI)并筛选核心靶点,进一步进行GO与KEGG富集分析。采用人CRC HCT-116细胞进行CCK-8、克隆形成、划痕、Transwell实验及Western blot检测,验证山柰酚对细胞增殖、迁移、侵袭及凋亡相关蛋白表达的影响。结果 共筛得山柰酚作用靶点492个、CRC相关靶点5 078个,交集269个。PPI分析鉴定出Akt1、HSP90AA1、ESR1、SRC、CASP3、NFKB1等53个核心靶点。GO分析提示这些靶点主要参与细胞应激反应、凋亡与氧化应激调控;KEGG分析显示主要涉及化学致癌-受体活化、催乳素、雌激素及PI3K/Akt信号通路。细胞实验证实山柰酚能明显抑制HCT-116细胞的增殖、克隆形成、迁移与侵袭能力(均P<0.05),呈浓度依赖关系,并下调Bcl-2和cyclin D1、上调Bax的表达(均P<0.05)。结论 山柰酚可通过多靶点、多通路协同作用抑制CRC细胞的增殖、迁移与侵袭,并诱导凋亡,其机制可能与调控PI3K/Akt及雌激素信号通路等密切相关。本研究为山柰酚作为CRC潜在治疗药物提供了理论依据与实验支持。
2025, 34(10):2191-2197. doi: 10.7659/j.issn.1005-6947.250053
摘要:背景与目的 老年腹股沟疝患者因生理机能衰退和体温调节能力减弱,术中易发生低体温,增加术后感染、认知功能障碍及血清肿等并发症发生风险。本研究旨在探讨术中体温水平与老年腹股沟疝术后并发症的关系,并评估其预测价值。方法 回顾性分析2018年4月—2024年10月在西南医科大学附属医院接受腹股沟疝修补术的358例老年患者的临床资料。低体温被定义为中心温度<36.0 ℃,根据术中体温水平将患者分为低体温组(20例)和正常体温组(338例)。比较两组患者的围手术期指标及术后并发症发生情况,采用多因素Logistic回归分析术后并发症发生的独立危险因素,并通过受试者工作特征(ROC)曲线评估术中体温的预测效能。结果 与正常体温组比较,低体温组患者的手术时间延长,术后白细胞(WBC)及中性粒细胞/淋巴细胞比值(NLR)明显升高,术后并发症发生率显著增加(25.0% vs. 3.8%,P<0.001)。多因素分析显示,年龄、营养风险评分、术中出血量、术后WBC、术后NLR及术中低体温均为术后并发症发生的独立危险因素。ROC曲线结果表明,术中体温预测术后并发症的曲线下面积为0.717,截断值为36.42 ℃,敏感度70.0%,特异度89.5%。结论 老年腹股沟疝患者术中低体温可显著增加术后并发症发生风险,且体温水平具有较好的预后预测价值。维持术中体温不低于36.4 ℃有助于降低并发症发生率、改善围术期结局。
2025, 34(10):2198-2204. doi: 10.7659/j.issn.1005-6947.250108
摘要:背景与目的 胆总管结石(CBDS)引起的梗阻性黄疸(OJ)是导致急性胆管炎(AC)的常见原因,早期识别高风险患者对改善预后具有重要意义。可溶性CD163(sCD163)和乳脂球表皮生长因子8(MFG-E8)与多种炎症性疾病相关,但其在CBDS合并OJ(CBDS-OJ)患者中预测AC的价值尚不明确。本研究旨在探讨血清sCD163、MFG-E8水平对CBDS-OJ患者发生AC的预测价值。方法 选取2022年1月—2024年6月山东省聊城市第二人民医院收治的142例CBDS-OJ患者为研究对象,并选取同期145名健康体检者作为对照;收集一般资料;ELISA检测血清sCD163、MFG-E8表达水平;根据CBDS-OJ患者入院24 h后是否发生AC将患者分为AC组(n=48)和无AC组(n=94),比较两组临床资料及血清指标差异;采用多因素Logistic回归分析AC的影响因素;绘制受试者操作特征曲线(ROC)曲线评估sCD163、MFG-E8单独及联合预测AC的效能。结果 与对照组比较,CBDS-OJ患者血清sCD163水平明显升高,MFG-E8水平明显降低(均P<0.05)。在CBDS-OJ患者中,AC组的天门冬氨酸氨基转移酶、丙氨酸氨基转移酶及sCD163水平均高于无AC组,而MFG-E8水平更低(均P<0.05)。多因素Logistic回归显示,sCD163升高是AC发生的独立危险因素(OR=3.478,P<0.001),MFG-E8降低为保护因素(OR=0.526,P=0.020)。ROC分析提示,sCD163、MFG-E8单独预测AC的曲线下面积(AUC)分别为0.759和0.787,二者联合预测的AUC为0.920,明显优于单独指标(均P<0.001)。结论 CBDS-OJ患者血清sCD163升高、MFG-E8下降与AC的发生密切相关。sCD163和MFG-E8联合检测可显著提高对AC的早期预测能力,具有潜在的临床应用价值。
2025, 34(10):2205-2211. doi: 10.7659/j.issn.1005-6947.240427
摘要:深部浸润型子宫内膜异位症(DIE)是指子宫内膜异位病灶浸润腹膜下≥5 mm,常累及宫骶韧带、阴道直肠隔、阴道穹隆及直肠壁等部位,因临床表现缺乏特异性、影像学特征不典型而易误诊。本研究报告1例术前经内镜超声引导下细针穿刺活检(EUS-FNA)确诊的直肠DIE患者,结合文献回顾,总结其多学科团队(MDT)诊治经验。患者为35岁女性,因排便困难入院,经MRI及EUS-FNA确诊为直肠DIE。经结直肠肛门外科、妇科及泌尿外科联合讨论后实施腹腔镜直肠病变切除、乙状结肠-直肠吻合及预防性回肠造口术,术后病理证实切缘阴性,4个月后成功还纳造口。随访21个月,患者症状明显缓解,未见复发。结果提示,EUS-FNA在DIE的早期诊断中具有重要价值,而以结直肠肛门外科为主导、妇科与泌尿外科协同的MDT模式可显著提高手术安全性和根治性,对复杂盆腔内异症的精准诊治具有重要指导意义。
2025, 34(10):2212-2220. doi: 10.7659/j.issn.1005-6947.250310
摘要:功能性便秘是一种常见的功能性胃肠疾病,其病理机制复杂且尚未完全阐明。近年来的研究表明,其发病涉及多种因素的相互作用,包括结肠神经源性和肌源性异常、Cajal间质细胞(ICC)数量减少及功能受损、排便出口梗阻、脑肠轴失调、免疫系统激活及肠道菌群紊乱等。慢传输型便秘主要与肠神经功能异常、ICC信号通路障碍和炎症反应有关;出口梗阻型便秘则多由盆底肌功能紊乱及直肠低敏感性所致。脑肠轴紊乱在功能性便秘中发挥核心作用,涉及中枢神经调控异常、激素分泌失衡及局部免疫反应增强。肠道菌群通过短链脂肪酸、胆汁酸及甲烷等代谢产物影响肠道动力与炎症状态。本文综述了功能性便秘的主要病理机制及最新研究进展,旨在为其机制研究与个体化治疗策略提供参考。
2025, 34(10):2221-2231. doi: 10.7659/j.issn.1005-6947.250427
摘要:作为全球重要的公共卫生问题,胃癌的规范化管理在部分国家和地区已逐步系统化,形成了各具特色的诊疗指南。本文系统比较了中国、日本、韩国、欧洲及美国的胃癌指南,发现尽管各指南均以循证医学为基础,但在方法学、治疗推荐、更新频率及审查机制等方面仍存在显著差异。核心差异主要体现在新辅助化疗适应证、内镜切除标准以及淋巴结清扫范围等方面,而这些差异多源自区域流行病学特征、疾病分期构成、医疗资源配置及卫生政策导向的不同。尽管如此,各指南在基础治疗理念与总体目标上呈现一致趋势,即推动诊疗标准化、提供高质量医疗、吸纳最新临床试验证据,并通过专家共识促进政策制定。本文重点介绍了各指南的构建过程、独特内容、差异特点及其形成原因。
2025, 34(10):2221-2231. doi: 10.7659/j.issn.1005-6947.250427
摘要:作为全球重要的公共卫生问题,胃癌的规范化管理在部分国家和地区已逐步系统化,形成了各具特色的诊疗指南。本文系统比较了中国、日本、韩国、欧洲及美国的胃癌指南,发现尽管各指南均以循证医学为基础,但在方法学、治疗推荐、更新频率及审查机制等方面仍存在显著差异。核心差异主要体现在新辅助化疗适应证、内镜切除标准以及淋巴结清扫范围等方面,而这些差异多源自区域流行病学特征、疾病分期构成、医疗资源配置及卫生政策导向的不同。尽管如此,各指南在基础治疗理念与总体目标上呈现一致趋势,即推动诊疗标准化、提供高质量医疗、吸纳最新临床试验证据,并通过专家共识促进政策制定。本文重点介绍了各指南的构建过程、独特内容、差异特点及其形成原因。
2025, 34(10):2232-2242. doi: 10.7659/j.issn.1005-6947.250349
摘要:结直肠癌是全球发病率和病死率均居前列的消化系统恶性肿瘤。微卫星不稳定性(MSI)是结直肠癌的重要分子标志物,对患者预后评估及免疫治疗决策具有关键指导意义。传统检测方法(如免疫组化、PCR、二代测序)虽已标准化,但仍受限于成本高、操作复杂和结果不一致。近年来,人工智能(AI)在结直肠癌MSI检测中展现出显著潜力,通过整合病理图像、基因组学及影像学等多模态数据,利用深度学习实现MSI的精准预测,推动癌症诊疗从经验模式向数据驱动范式转变。本文综述了AI结合多模态医学数据构建结直肠癌MSI检测模型的最新进展,比较不同技术路径的性能特点与临床转化瓶颈,并展望多模态融合、模型泛化及可解释性优化等未来方向,为精准医疗提供新思路。
2025, 34(10):2243-2250. doi: 10.7659/j.issn.1005-6947.250075
摘要:中低位直肠癌的根治性切除不仅要求达到肿瘤学安全,还关系到器官保留与术后肠功能恢复。远端切缘已基本形成1~2 cm的共识,而近端切缘的最佳长度仍存在较大争议。临床通常参考结肠癌“10 cm规则”,但其在直肠癌中的适用性尚未得到统一证据支持。既往研究表明,近端过长可能增加吻合口张力导致吻合口漏;切除不足则提升切缘阳性及局部复发风险。此外,淋巴结转移范围、近端肠管血供情况、新辅助放化疗所致的放射性损伤以及术后肠功能(尤其是低位前切除综合征)均是影响近端切缘选择的重要因素。近年来,吲哚菁绿荧光成像技术的应用为术中血供评估提供了新的依据;而对于接受新辅助放化疗的患者,放射性损伤呈梯度分布,切除肿瘤近端约≥20 cm可能降低吻合口相关并发症的发生率。本综述基于现有研究,对直肠癌手术近端切缘的历史演变、影响因素及临床证据进行系统梳理,以期为个体化切缘制定和手术策略优化提供参考。
2025, 34(10):2251-2257. doi: 10.7659/j.issn.1005-6947.250070
摘要:肥胖已成为全球性公共卫生难题,减重代谢外科(MBS)是目前最有效的治疗手段之一,但患者异质性、手术流程复杂及术后依从性差等因素导致疗效差异显著。人工智能(AI)技术的快速发展为解决上述问题提供了新的途径。通过整合多维度临床、影像和动态随访数据,机器学习和大语言模型可用于手术适应证判断、方案选择、并发症预测、技能评估以及长期预后管理,逐渐成为 MBS 全流程管理的重要工具。近年来相关研究在决策支持、围手术期风险分层、机器人辅助手术优化、患者教育和术后体质量轨迹预测等方面均取得了进展,但其临床应用仍面临模型泛化能力不足、伦理规范缺乏、数据隐私和决策透明度等挑战。本文综述AI在MBS中的主要应用进展、局限性及未来发展方向,为临床医师理解和规范使用相关技术提供参考。
2025, 34(10):2258-2264. doi: 10.7659/j.issn.1005-6947.240634
摘要:代谢减重手术作为肥胖及相关代谢疾病的有效干预手段,除显著降低体质量外,还可通过调节促食与厌食神经因子及其信号通路,改善能量代谢与代谢稳态。本文综述了不同类型代谢减重手术(如Roux-en-Y胃旁路术和胃袖状切除术)对促食和厌食神经因子表达及功能的影响,阐述其在哺乳动物雷帕霉素靶蛋白与腺苷酸活化蛋白激酶等关键信号通路中的作用机制,并探讨其在体质量控制、胰岛素敏感性及代谢疾病改善中的临床意义。研究表明,代谢减重手术通过中枢与外周多靶点调节能量平衡,为个体化肥胖治疗提供了新的生物学依据。未来应聚焦手术反应的个体差异及神经-代谢网络的长期重塑机制,以期优化治疗策略并提升患者预后。
2025, 34(10):2265-2271. doi: 10.7659/j.issn.1005-6947.250226
摘要:随着微创外科理念的不断演进,手术方式正逐步从“最小损伤”向“无痕化”方向迈进。超微创腹腔镜手术(SMLS)是在传统腹腔镜技术基础上,对操作要素进行革新及再组配,从而实现更小创伤、更高美观度手术目标的一种新术式。SMLS以脐部皮肤褶皱为瘢痕隐匿区,通过设立不超过2个核心操作通道(最大直径≤15 mm)并辅以直径≤2 mm的腹部辅助操作孔,结合创新型分离式手术器械及高清视觉系统,实现对通道瘢痕遗留等关键问题的系统性解决。本文综述了SMLS的发展、技术创新、临床应用现状及其在微创手术美学化进程中的潜在价值,旨在为该术式的推广与技术迭代提供理论依据与研究参考。
2025, 34(10):2272-2277. doi: 10.7659/j.issn.1005-6947.250112
摘要:背景与目的 膈肌脚缝合是腹腔镜食管裂孔疝修补术中的关键步骤,不同缝合方法的选择直接影响术后并发症及复发风险。本研究旨在比较不同缝合方式的手术特点与临床效果,为个体化术式选择提供参考。方法 回顾性分析2021年8月—2022年8月在中山大学附属第六医院接受腹腔镜食管裂孔疝修补联合胃底折叠术的114例患者,按膈肌脚缝合方式分为“8”字缝合法、单纯间断缝合法、倒刺线连续缝合法和垫片缝合法四组,对比各组的手术时间及术后并发症发生情况。结果 四组患者的基线资料差异无统计学意义(均P>0.05)。倒刺线连续缝合法缝合时间最短(11.3±4.8)min,垫片缝合法最长(24.6±6.2)min。术后吞咽困难的发生率以倒刺线连续缝合法最高(22.7%),复发和出血发生率组间差异无统计学意义(均P>0.05)。各组患者经对症处理后症状均缓解,围手术期无死亡。结论 “8”字缝合法和单纯间断缝合法安全有效,适用于缺损直径<3 cm的患者;倒刺线连续缝合法可缩短缝合时间,但需警惕术后吞咽困难;垫片缝合法在修补巨大疝时具有优势。合理选择缝合方法及规范化操作可提高手术安全性并减少并发症的发生。
2025, 34(10):2278-2283. doi: 10.7659/j.issn.1005-6947.240246
摘要:背景与目的 随着减重手术在肥胖治疗中的广泛应用,术后胃食管反流病(GERD)逐渐成为影响预后和生活质量的常见问题,但其危险因素尚未明确。本研究旨在分析肥胖患者减重手术后GERD的发生情况及其影响因素,为术式选择与围手术期管理提供参考依据。方法 前瞻性纳入2021年3月—2024年1月于南阳医学高等专科学校第一附属医院接受腹腔镜袖状胃切除术(LSG)或Roux-en-Y胃旁路术(RYGB)的肥胖患者128例,术后随访3个月。根据是否发生GERD分为GERD组与无GERD组,比较两组一般资料、合并疾病及心理状态等差异,并采用Logistic回归分析GERD的独立影响因素。结果 共121例完成随访,GERD发生率为38.84%(47/121)。与无GERD组比较,GERD组吸烟比例、糖尿病及阻塞性睡眠呼吸暂停综合征(OSAS)合并率、接受LSG比例均更高,且汉密尔顿抑郁量表(HAMD)评分显著升高(均P<0.05)。多因素分析显示,吸烟、合并糖尿病、合并OSAS、HAMD评分升高及LSG术式均为术后GERD的独立危险因素(均P<0.05)。结论 肥胖患者减重手术后GERD发生率较高,吸烟、糖尿病、OSAS、抑郁程度及术式均与反流风险相关。加强术前筛查、优化术式选择并开展个体化干预,有助于降低GERD发生。
2025, 34(10):2284-2291. doi: 10.7659/j.issn.1005-6947.250288
摘要:背景与目的 胃肠道肿瘤患者因手术创伤大、免疫功能低下,术后医院感染风险较高。本研究旨在分析该类患者的术后感染现状及病原菌分布,探讨其危险因素,并构建感染风险预测模型,为临床早期识别高危患者和精准防控提供依据。方法 回顾性分析2019年1月—2022年12月青海省人民医院699例胃肠道肿瘤手术患者的临床资料。根据是否发生术后医院感染分为感染组与非感染组,比较两组一般资料及手术相关因素,采用多因素Logistic回归分析筛选独立危险因素,并建立风险预测模型,通过受试者工作特征(ROC)曲线评估模型预测效能。结果 699例患者中148例(21.17%)发生术后感染,其中下呼吸道感染占比最高(60.14%)。共检出139株病原菌,以革兰阴性菌为主(61.87%),主要为大肠埃希菌、铜绿假单胞菌和鲍曼不动杆菌。多因素分析显示,男性、年龄≥60岁、合并糖尿病、低蛋白血症、手术时间延长、术中出血量增多及3~4联抗菌药物使用是术后医院感染的独立危险因素(均P<0.05)。建立的Logistic回归模型具有较好拟合度(Hosmer-Lemeshow检验P=0.188),其ROC曲线下面积为0.803(95% CI=0.761~0.844),敏感度77.60%,特异度70.95%。结论 胃肠道肿瘤患者术后医院感染发生率较高,主要感染部位为下呼吸道,主要病原菌为革兰阴性菌。性别、年龄、糖尿病、低蛋白血症、手术相关因素及抗菌药物联用是主要危险因素。基于此构建的预测模型具有较高预测价值,可为临床早期识别感染高危患者及实施针对性防控提供参考。
王青霞,邓佳文,胡蓉,漆思,刘思佳,潘利娟,曾洁,李梦雨,向菊,张志,严丽
2025, 34(10):2292-2296. doi: 10.7659/j.issn.1005-6947.250047
摘要:背景与目的 胃肠镜检查是临床常用的诊断和治疗方法,但患者在检查过程中的体位摆放对于检查质量和患者舒适度有重要影响。本研究旨在探讨标准化体位宣教图和视频在胃肠镜检查患者中的应用效果。方法 采用前瞻性随机对照设计,将300例择期行胃肠镜检查患者随机分为对照组、图片组和视频组三组,每组100例。对照组采用传统口头指导;图片组在此基础上增加标准化体位宣教图;视频组增加标准化体位宣教视频。比较三组的体位摆放时间、患者满意度、护士满意度、医师满意度及不良反应发生率。结果 三组在体位摆放时间、患者满意度、护士满意度和医师满意度方面差异均有统计学意义(均P<0.05),而在检查时间及不良反应发生率方面差异无统计学意义(均P>0.05)。经Games-Howell事后检验,视频组在体位摆放效率及三方满意度方面均优于图片组和对照组(部分P<0.05),图片组仅在体位摆放时间上优于对照组(P<0.05)。结论 标准化体位宣教视频可显著提高胃肠镜检查体位摆放效率,提升患者、护士及医师的满意度,其效果优于宣教图和传统指导方式。该方法直观、可复制、操作简便,适合在临床中推广应用。

主管:中华人民共和国教育部
主办:中南大学 中南大学湘雅医院
主编:王志明
创刊:1992年3月
国际标准刊号:ISSN 1005-6947
国内统一刊号:CN 43-1213
国内邮发代号:42-121
