胆总管结石合并壶腹周围癌误漏诊的临床特征及诊断策略分析:附9例报告
作者:
通讯作者:
作者单位:

河北医科大学第二医院 普外一科,河北 石家庄 050000

作者简介:

张国萌,河北医科大学第二医院硕士研究生,主要从事肝胆胰外科方面的研究。

基金项目:

河北省医学科学研究基金资助项目(20230482)。


Author:
Affiliation:

Fund Project:

  • 摘要
  • |
  • 图/表
  • |
  • 访问统计
  • |
  • 参考文献
  • |
  • 相似文献
  • |
  • 引证文献
  • |
  • 资源附件
  • |
  • 音频文件
  • |
  • 视频文件
    摘要:

    背景与目的 胆总管结石合并壶腹周围癌临床罕见,二者症状重叠,易导致误漏诊并延误治疗。本研究旨在分析其误漏诊特点、原因及优化诊断策略。方法 回顾性分析2022年11月—2025年8月河北医科大学第二医院普外一科收治的9例胆总管结石合并壶腹周围癌误漏诊患者的临床资料,重点总结首诊特征、影像学表现、确诊途径及治疗结局。结果 9例患者均以胆囊结石、胆总管结石为首诊诊断并接受相关治疗,误漏诊时间为35~180 d。初诊多依赖腹部超声及CT,均未发现壶腹部病变。转诊后经增强CT、经内镜逆行胰胆管造影活检或EUS-FNA明确诊断。7例行胰十二指肠切除术,2例行内镜胆道支架置入。随访5~30个月,3例死亡。误漏诊主要与临床表现重叠、对肿瘤警惕性不足、过度依赖常规影像检查及术中探查不充分有关。结论 胆总管结石合并壶腹周围癌易被掩盖,尤其在老年及伴胆管扩张、肿瘤标志物升高患者中应提高警惕。构建“影像筛查-内镜评估-病理确诊”的分层诊断路径,并规范术中探查与术后随访,有助于降低误漏诊率。

    Abstract:

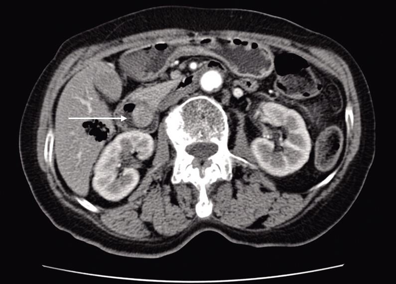
    图1 十二指肠壶腹区富血供肿物,呈明显较均匀强化(箭头所示)Fig.1
    表 1 9例患者首诊相关资料Table 1
    表 2 9例患者于我院诊疗相关资料Table 2
    表 3 Table 3
    参考文献
    相似文献
    引证文献
引用本文

张国萌,秦建章,刘建华,邢中强,吕海涛.胆总管结石合并壶腹周围癌误漏诊的临床特征及诊断策略分析:附9例报告[J].中国普通外科杂志,2026,35(2):391-396.
DOI:10.7659/j. issn.1005-6947.250673

复制
文章指标
  • 点击次数:
  • 下载次数:
历史
  • 收稿日期:2025-11-28
  • 最后修改日期:2026-02-16
  • 录用日期:
  • 在线发布日期: 2026-04-09