结肠回盲部原发性黏膜黑色素瘤1例报告并文献复习
作者:
通讯作者:
作者单位:

1中南大学湘雅医院 普通外科,湖南 长沙 410008;2南华大学附属第一医院 肝胆胰外科,湖南 衡阳 421001;新疆维吾尔自治区吐鲁番市人民医院(老年疾病国家临床医学研究中心吐鲁番分中心) 3.普通外科 4.病理科,新疆 吐鲁番 838000;5老年疾病国家临床医学研究中心(湘雅医院),湖南 长沙 410008

作者简介:

林伶,中南大学湘雅医院/吐鲁番市人民医院/老年疾病国家临床医学研究中心(湘雅医院)主治医师,主要从事肝胆胰外科疾病基础与临床方面的研究。

基金项目:

2024年新疆维吾尔自治区中央引导地方科技发展资金资助项目(ZYYD2024CG17);2024年湖南省创新生态建设计划科技援疆基金资助项目(2024WK4008);2024年新疆维吾尔自治区卫生健康适宜技术推广基金资助项目(SYTGY202429);2025年新疆维吾尔自治区卫生健康适宜技术推广基金资助项目(2025001MXJCSYJSTGXM650430330)。


China Journal of General Surgery, 2026, 35(1):187-191.
Author:
Affiliation:

Fund Project:

  • 摘要
  • |
  • 图/表
  • |
  • 访问统计
  • |
  • 参考文献
  • |
  • 相似文献
  • |
  • 引证文献
  • |
  • 资源附件
  • |
  • 音频文件
  • |
  • 视频文件
    摘要:

    背景与目的 原发性结肠黏膜黑色素瘤极为罕见,恶性程度高,易发生淋巴及远处转移,预后不佳,临床诊断困难。本文报告1例结肠回盲部原发性黏膜黑色素瘤病例,并结合文献复习,总结其临床特征、诊断要点、治疗策略及预后情况,以提高对该罕见疾病的认识。方法 回顾性分析1例经手术及病理证实的结肠回盲部原发性黏膜黑色素瘤患者的临床资料,包括临床表现、影像学及内镜特征、病理与免疫组化结果、分子检测结果、治疗经过及随访情况,并结合相关文献进行综合分析。结果 患者为52岁女性,2023年11月7日因“间断性右下腹痛3个月”入院。腹部增强CT提示回盲部占位并周围淋巴结肿大;肠镜见巨大结节状肿物充满肠腔,活检提示恶性黑色素瘤。行右半结肠切除术(D2)。术后病理示肿瘤侵犯黏膜层及深肌层,伴脉管内瘤栓,淋巴结转移5/20。免疫组化示S-100、SOX10、Melan-A及HMB45阳性,Ki-67约50%。基因检测提示BRAFV600E突变。术后患者拒绝辅助治疗。术后16个月发现肠系膜区淋巴结转移,23个月出现颈部淋巴结转移,目前随访24个月,仍存活并持续随访。文献复习显示,该病多见于中老年女性,临床表现缺乏特异性,确诊依赖病理及免疫组化,手术切除为无远处转移患者的主要治疗方式。结论 结肠回盲部原发性黏膜黑色素瘤罕见且侵袭性强,早期诊断困难,易发生淋巴转移。确诊需排除转移性黑色素瘤并结合免疫组化及分子检测结果。对于无远处转移患者,根治性手术切除是首选治疗方式,分子靶向治疗及免疫治疗可能成为改善预后的重要方向。

    Abstract:

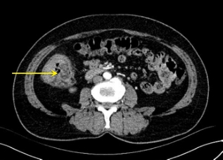
    图1 术前腹部CT平扫+增强显示:回盲部巨大分叶状肿块,占据2/3肠腔Fig.1
    图2 肠镜检查:巨大结节状肿物充满回盲部肠腔,表面凹凸不平,溃疡及污苔形成,肿物质脆,触之易出血Fig.2
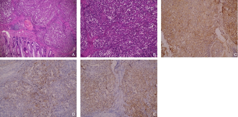
    图3 回盲部黑色素瘤术后病检并免疫组化图像 A:HE染色低倍镜图像(×4);B:HE染色高倍镜图像(×40);C:Melan-A(×40);D:S-100(×40);E:SOX10(×40)Fig.3
    参考文献
    相似文献
    引证文献
引用本文

林伶,阿迪力·艾尼瓦尔,张薇薇,沙拉木·克热木,杨虎,陈国栋.结肠回盲部原发性黏膜黑色素瘤1例报告并文献复习[J].中国普通外科杂志,2026,35(1):187-191.
DOI:10.7659/j. issn.1005-6947.250638

复制
文章指标
  • 点击次数:
  • 下载次数:
历史
  • 收稿日期:2025-11-15
  • 最后修改日期:2026-01-15
  • 录用日期:
  • 在线发布日期: 2026-03-04