腹腔镜胆囊切除术后Hem-o-lok夹胆道移位的诊断与治疗:附1例报告并文献复习
作者:
通讯作者:
作者单位:

中国人民解放军空军军医大学第二附属医院 普通外科,陕西 西安 710038

作者简介:

魏彤辉,中国人民解放军空军军医大学第二附属医院住院医师,主要从事普通外科疾病方面的研究。

基金项目:

唐都青年自主创新科学基金资助项目(2023BTDQV013)。


Diagnosis and treatment of Hem-o-lok clip migration into the common bile duct after laparoscopic cholecystectomy: a case report and literature review
Author:
Affiliation:

Department of General Surgery, the Second Affiliated Hospital of Air Force Medical University, Xi'an 710038, China

Fund Project:

  • 摘要
  • |
  • 图/表
  • |
  • 访问统计
  • |
  • 参考文献
  • |
  • 相似文献
  • |
  • 引证文献
  • |
  • 资源附件
  • |
  • 音频文件
  • |
  • 视频文件
    摘要:

    背景与目的 Hem-o-lok夹广泛应用于腹腔镜胆囊切除术(LC)中的胆囊管及血管闭合,但其术后移位虽罕见,却可进入胆总管形成异物,影像学表现易误诊为胆总管结石,增加诊断与治疗难度。针对该远期并发症的识别与处理,临床认知仍有不足。本文通过分析1例相关病例并结合文献复习,总结其临床特征及诊治要点。方法 回顾性分析中国人民解放军空军军医大学第二附属医院普通外科2025年10月收治的1例29岁女性患者的临床资料。患者4年前行LC,本次因体检发现“胆总管结石”1年余入院,术前影像学提示胆总管多发充盈缺损。患者拒绝内镜下逆行胰胆管造影治疗,遂行腹腔镜胆总管探查术(LCBDE),术中确诊为Hem-o-lok夹移位。分析其诊疗过程、影像学特征及术中所见,并结合文献进行讨论。结果 术前影像学提示胆总管多发结石。LCBDE术中经胆道镜探查,于胆总管中下段取出3枚移位的Hem-o-lok夹,周围未见胆色素结石,确诊为“胆总管异物(Hem-o-lok夹)”。术后置T管引流,恢复顺利出院。术后2个月T管窦道造影示胆总管通畅,无残留异物或结石,顺利拔管。结论 Hem-o-lok夹移位是LC术后一种罕见的远期并发症,影像学易误诊为胆总管结石。对有相关手术史的患者,应将其纳入鉴别诊断。LCBDE是确诊及处理该并发症的有效方式。规范术中操作及合理选择闭合方式,并加强术后随访,有助于降低此类并发症风险。

    Abstract:

    Background and Aims Hem-o-lok clips are widely used for cystic duct and vascular closure during laparoscopic cholecystectomy (LC). Although rare, postoperative clip migration may occur, with the clip entering the common bile duct (CBD) and acting as a foreign body. Its imaging features often mimic choledocholithiasis, posing diagnostic and therapeutic challenges. Clinical awareness of this late complication remains insufficient. This study aims to summarize the clinical characteristics and management strategies through a case analysis and literature review.Methods The clinical data of a 29-year-old woman admitted in October 2025, four years after LC, were retrospectively reviewed. She was diagnosed with suspected CBD stones during routine examination one year prior to admission. Preoperative imaging revealed multiple filling defects in the CBD. The patient declined endoscopic retrograde cholangiopancreatography and underwent laparoscopic common bile duct exploration (LCBDE). Intraoperative findings, imaging characteristics, diagnostic process, and management were analyzed in conjunction with relevant literature.Results Preoperative imaging suggested multiple CBD stones. During LCBDE, three migrated Hem-o-lok clips were identified and removed from the middle and lower CBD under choledochoscopic guidance. No pigment stones were observed around the clips. The final diagnosis was foreign bodies in the CBD (Hem-o-lok clips). A T-tube was placed for drainage. The patient recovered uneventfully and was discharged. Two months later, T-tube cholangiography confirmed a patent CBD without residual stones or foreign bodies, and the tube was removed successfully.Conclusion Hem-o-lok clip migration is a rare long-term complication after LC and is easily misdiagnosed as choledocholithiasis. In patients with a history of LC, clip migration should be considered in the differential diagnosis. LCBDE is an effective diagnostic and therapeutic approach. Standardized surgical techniques, appropriate selection of closure devices, and long-term follow-up are essential to minimize this complication.

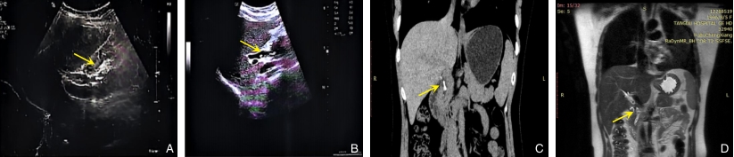
    图1 患者术前影像学检查均提示胆总管扩张及其内充盈缺损(箭头所示) A:外院腹部超声图像;B:本院腹部超声图像;C:本院腹部CT平扫图像;D:本院MRCP图像Fig.1 Preoperative imaging showing dilation of the common bile duct and intraluminal filling defects (arrows) A: Abdominal ultrasound from an external hospital; B: Abdominal ultrasound from our hospital; C: Plain abdominal CT scan; D: MRCP from our hospital
    图2 胆总管内异物(Hem-o-lok夹)及术中取出实物 A-C:经胆总管切口取出Hem-o-lok夹;D:3枚Hem-o-lok夹Fig.2 Foreign bodies (Hem-o-lok clips) in the common bile duct and the specimens retrieved during surgery A-C: Hem-o-lok clips extracted through the choledochotomy incision; D: The three Hem-o-lok clips
    图3 患者术后随访影像学检查 A:术后胸腹部CT平扫图像,清晰显示胆总管内T管位置;B-D:术后2个月经T管窦道行胆道造影图像(不同体位/角度),显示造影剂充盈良好,肝内外胆管显影清晰、通畅,未见充盈缺损(结石或异物残留),十二指肠顺利显影Fig.3 Postoperative follow-up imaging A: Plain CT scan showing the position of the T-tube in the common bile duct; B-D: T-tube cholangiography via the sinus tract at 2 months postoperatively (different positions/angles), demonstrating good contrast filling, patent intrahepatic and extrahepatic bile ducts, no filling defects, and smooth passage into the duodenum
    表 1 LC后Hem-o-lok/手术夹移位病例诊疗信息汇总表Table 1 Reported cases of Hem-o-lok or surgical clip migration into the common bile duct after LC
    表 2 LC后Hem-o-lok/手术夹移位病例诊疗信息汇总表(续)Table 2 Reported cases of Hem-o-lok or surgical clip migration into the common bile duct after LC (continued)
    参考文献
    相似文献
    引证文献
引用本文

魏彤辉,张波,杨振宇.腹腔镜胆囊切除术后Hem-o-lok夹胆道移位的诊断与治疗:附1例报告并文献复习[J].中国普通外科杂志,2026,35(2):279-288.
DOI:10.7659/j. issn.1005-6947.250625

复制
文章指标
  • 点击次数:
  • 下载次数:
历史
  • 收稿日期:2025-11-07
  • 最后修改日期:2026-02-04
  • 录用日期:
  • 在线发布日期: 2026-04-09