以肱骨转移为首发表现的隐匿性肝细胞癌1例报告并文献复习
作者:
通讯作者:
作者单位:

中南大学湘雅医院 超声影像科,湖南 长沙 410008

作者简介:

张立嫄,中南大学湘雅医院硕士研究生,主要从事腹部疾病超声方面的研究(晏斯婕为共同第一作者)。

基金项目:


Occult hepatocellular carcinoma presenting with humeral metastasis as the initial manifestation: a case report and literature review
Author:
Affiliation:

Department of Ultrasound Diagnostics, Xiangya Hospital Central South University, Changsha 410008, China

Fund Project:

undefined

  • 摘要
  • |
  • 图/表
  • |
  • 访问统计
  • |
  • 参考文献
  • |
  • 相似文献
  • |
  • 引证文献
  • |
  • 资源附件
  • |
  • 音频文件
  • |
  • 视频文件
    摘要:

    背景与目的 以骨转移为首发表现的原发性肝细胞癌(HCC)较为罕见,尤其四肢骨转移更少见,且常缺乏典型肝病史、甲胎蛋白(AFP)升高及特征性影像学表现,极易误诊或延误诊断。本文报告1例以肱骨转移为首发表现的隐匿性HCC病例,并结合文献分析其临床特征、影像学特点及诊疗策略,以提高临床对该类不典型HCC的认识。方法 回顾性分析2025年8月收治的1例以左肱骨疼痛为首发表现的42岁男性HCC患者临床资料,包括实验室检查、多模态影像学检查、病理及免疫组化结果、治疗方案及随访情况,并结合相关文献进行分析与讨论。结果 患者因左肩疼痛就诊。影像学检查提示左肱骨溶骨性骨质破坏,PET/CT检查同时发现肝脏多发占位性病变,但未见明显异常代谢增高。超声造影表现不典型,初步考虑血管周上皮样细胞肿瘤可能。经左肱骨及肝脏病灶穿刺活检,病理及免疫组化结果证实为中分化HCC伴左肱骨转移(CNLC IIIb期)。患者接受信迪利单抗联合贝伐珠单抗系统治疗,并序贯联合经导管动脉化疗栓塞治疗。随访6个月显示肝内病灶较前缩小,骨转移灶稳定,疼痛症状明显缓解。结论 以肱骨转移为首发表现的HCC极为罕见,且影像学及肿瘤标志物可缺乏典型特征。对于原因不明的骨转移或骨破坏患者,即使无肝病史及AFP升高,也应警惕HCC可能,建议结合多模态影像及病理活检明确诊断,以避免误诊并指导规范治疗。

    Abstract:

    Background and Aims Hepatocellular carcinoma (HCC) presenting initially with bone metastasis is uncommon, and metastasis to the appendicular skeleton is particularly rare. These cases often lack typical liver disease history, elevated alpha-fetoprotein (AFP), or characteristic imaging findings, leading to frequent misdiagnosis or delayed diagnosis. This study reports a rare case of occult HCC presenting with humeral metastasis and reviews the literature to improve clinical recognition and management.Methods The clinical data of a 42-year-old male patient presenting with humeral metastasis as the initial manifestation admitted in August 2025 were retrospectively analyzed, including laboratory tests, multimodal imaging findings, histopathological and immunohistochemical results, treatment, and follow-up outcomes. Relevant literature was also reviewed.Results The patient presented with left shoulder pain. Imaging revealed osteolytic destruction of the left humerus. PET/CT incidentally detected multiple hepatic lesions without significant FDG uptake. Contrast-enhanced ultrasound demonstrated atypical enhancement patterns, initially suggesting a perivascular epithelioid cell tumor. Histopathological and immunohistochemical examination of biopsy specimens from both the humeral and hepatic lesions confirmed moderately differentiated hepatocellular carcinoma with humeral metastasis (CNLC stage IIIb). The patient received systemic therapy with sintilimab plus bevacizumab, followed by transcatheter arterial chemoembolization. After 6 months of follow-up, the intrahepatic lesions had decreased in size, the bone metastasis remained stable, and pain symptoms were significantly relieved.Conclusion HCC presenting with humeral metastasis as the initial manifestation is extremely rare and may lack typical imaging and serological features. Clinicians should consider HCC in patients with unexplained bone metastasis even in the absence of liver disease history or elevated AFP. Multimodal imaging and pathological biopsy are essential for accurate diagnosis and appropriate management.

    图1 MRI与CT资料 A-B:MRI示,左肱骨上段短-等T1等-长T2信号肿块,突破骨皮质;C:CT示,左侧肱骨上段溶骨性骨质破坏Fig.1 MRI and CT findings A-B: MRI shows a mass with short-to-isointense signal on T1-weighted imaging and iso- to hyperintense signal on T2-weighted imaging in the upper segment of the left humerus, with cortical bone destruction; C: CT shows osteolytic bone destruction in the upper segment of the left humerus
    图2 全身PET/CT结果 A:左侧肱骨病灶处显像剂分布浓聚;B:延迟显像增高<25%;C:肝脏内较大稍高密度肿块影,未见显像剂分布异常浓聚Fig.2 Whole-body PET/CT findings A: Increased radiotracer uptake in the lesion of the left humerus; B: Delayed imaging shows an increase in uptake of less than 25%; C: A relatively hyperdense mass is observed in the liver without abnormal radiotracer uptake
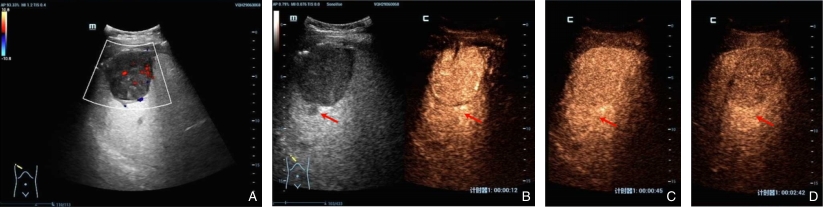
    图3 超声影像 A:常规超声示,肝右前叶低回声肿块及结节,内可见点条状血流信号;B-D:超声造影示,较大肿块于动脉期呈高增强,内可见杂乱血管影,门脉期及延迟期呈低增强,周边所见结节(箭头所示)对应动脉期呈高增强,门脉期及延迟期呈等增强Fig.3 Ultrasound findings A: Conventional ultrasound shows a hypoechoic mass and nodules in the right anterior lobe of the liver, with punctate and linear blood flow signals within; B-D: Contrast-enhanced ultrasound shows marked hyperenhancement of the larger lesion in the arterial phase with disorganized intralesional vessels, followed by hypoenhancement in the portal and delayed phases, and the peripheral nodules (as arrows indicated) show hyperenhancement in the arterial phase and isoenhancement in the portal and delayed phases
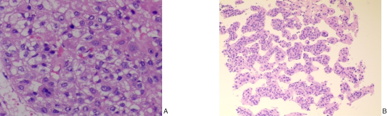
    图4 病理检查结果(HE ×400) A:左肱骨肝转移性癌;B:中分化HCCFig.4 Histopathological findings (HE ×400) A: Metastatic HCC in the left humerus; B: Moderately differentiated HCC
    参考文献
    相似文献
    引证文献
引用本文

张立嫄,晏斯婕,杨翼腆,谢家媛,唐旸烁,张波.以肱骨转移为首发表现的隐匿性肝细胞癌1例报告并文献复习[J].中国普通外科杂志,2026,35(1):141-148.
DOI:10.7659/j. issn.1005-6947.250622

复制
文章指标
  • 点击次数:
  • 下载次数:
历史
  • 收稿日期:2025-11-05
  • 最后修改日期:2026-01-15
  • 录用日期:
  • 在线发布日期: 2026-03-04