重复球囊扩张联合药物涂层球囊治疗慢性腔髂静脉闭塞的疗效与安全性分析
作者:
通讯作者:
作者单位:

1.首都医科大学附属北京积水潭医院 血管外科,北京100035;2.首都医科大学,北京 100069

作者简介:

田晨阳,首都医科大学附属北京积水潭医院主管技师,主要从事血管外科方面的研究。

基金项目:

北京市自然科学基金资助项目(7252063); 首都卫生发展科研专项基金资助项目(首发2022-2-2074); 北京积水潭医院“学科骨干”计划专项基金资助项目(XKGG202213)。


Efficacy and safety of repeated balloon dilatation combined with drug-coated balloon angioplasty for chronic iliocaval venous occlusion
Author:
Affiliation:

1.Department of Vascular Surgery, Beijing Jishuitan Hospital, Capital Medical University, Beijing 100035, China;2.Capital Medical University, Beijing 100069, China

Fund Project:

  • 摘要
  • |
  • 图/表
  • |
  • 访问统计
  • |
  • 参考文献
  • |
  • 相似文献
  • |
  • 引证文献
  • |
  • 资源附件
  • |
  • 音频文件
  • |
  • 视频文件
    摘要:

    背景与目的 慢性腔髂静脉闭塞多继发于下腔静脉滤器(IVCF)长期留置,常导致严重的血栓后综合征(PTS)。传统球囊扩张联合支架植入虽可改善短期通畅性,但中远期支架相关并发症和通畅率下降仍是临床难题。本研究旨在评估重复球囊扩张联合末次药物涂层球囊(DCB)扩张治疗慢性腔髂静脉闭塞的有效性与安全性。方法 采用单中心回顾性研究,纳入2022年1月—2024年12月接受重复球囊扩张治疗的慢性腔髂静脉闭塞患者72例,其中62例完成3次标准化球囊扩张方案并纳入分析。术后6个月行计算机断层扫描静脉造影(CTV),按下腔静脉(IVC)是否通畅分为通畅组和闭塞组。比较两组患者IVC通畅率、IVCF回收率、肢体周径、静脉疾病严重程度评分(VCSS)及Villalta评分、PTS分级及CTV影像学参数变化。结果 技术成功率为86.1%(62/72)。术后6个月IVC通畅43例(69.4%)。通畅组IVCF回收率显著高于闭塞组(100% vs. 78.9%,P=0.002)。与术前相比,通畅组膝上及膝下肢体周径显著减小,VCSS和Villalta评分明显改善,PTS严重程度显著降低(均P<0.05);CTV显示IVC中段及起始部横截面积显著增加(均P<0.05)。闭塞组上述指标均未见显著改善(均P>0.05)。围手术期未发生症状性肺栓塞、严重出血、血管破裂或死亡等严重并发症。结论 重复球囊扩张联合DCB扩张治疗慢性腔髂静脉闭塞具有良好的短期通畅效果和安全性,可显著改善临床症状及PTS严重程度,并在一定程度上避免支架植入,为慢性腔髂静脉闭塞的腔内治疗提供了一种可行策略。

    Abstract:

    Background and Aims Chronic iliocaval venous occlusion secondary to long-term inferior vena cava filter (IVCF) implantation is associated with severe post-thrombotic syndrome (PTS). Although balloon angioplasty combined with stent implantation is recommended, long-term patency remains suboptimal and stent-related complications are not negligible. This study aimed to evaluate the efficacy and safety of repeated balloon dilatation combined with final drug-coated balloon (DCB) angioplasty in patients with chronic iliocaval venous occlusion.Methods This single-center retrospective study enrolled 72 patients with chronic iliocaval venous occlusion treated between January 2022 and December 2024. Sixty-two patients who completed a standardized protocol of three balloon dilatation sessions were included in the final analysis. At 6 months postoperatively, patients were classified into a patency group or an occlusion group based on computed tomography venography (CTV). Clinical outcomes, including IVC patency, filter retrieval rate, limb circumference, VCSS and Villalta scores, PTS severity, and CTV-derived morphologic parameters, were compared.Results The technical success rate was 86.1% (62/72). At 6 months, iliocaval patency was achieved in 43 patients (69.4%). The filter retrieval rate was significantly higher in the patency group than in the occlusion group (100% vs. 78.9%, P=0.002). Patients in the patency group showed significant reductions in limb circumference, improvements in VCSS and Villalta scores, and decreased PTS severity (all P<0.05). CTV revealed significant increases in the cross-sectional area of the mid and proximal segments of the IVC (all P<0.05). No severe perioperative complications were observed (all P>0.05).Conclusion Repeated balloon dilatation combined with DCB angioplasty is a safe and effective treatment for chronic iliocaval venous occlusion, providing favorable short-term patency and significant clinical improvement while potentially avoiding stent-related complications.

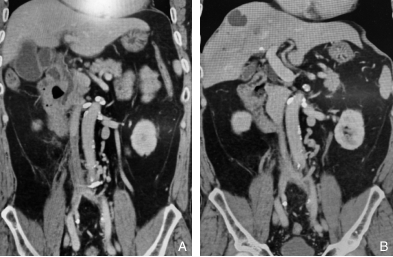
    图1 重复球囊扩张治疗腔髂静脉闭塞 A:球囊扩张治疗前IVC血栓闭塞;B:3次球囊扩张治疗后IVC通畅Fig.1 Repeated balloon dilatation for the treatment of iliocaval venous occlusion A: Inferior vena cava thrombosis with occlusion before balloon dilatation; B: Restored patency of the inferior vena cava after three sessions of balloon dilatation
    参考文献
    相似文献
    引证文献
引用本文

田晨阳,田轩,宋亚宁,刘建龙,贾伟,蒋鹏,程志远,张蕴鑫,李金勇,刘笑,周密,华润.重复球囊扩张联合药物涂层球囊治疗慢性腔髂静脉闭塞的疗效与安全性分析[J].中国普通外科杂志,2025,34(12):2654-2663.
DOI:10.7659/j. issn.1005-6947.250621

复制
文章指标
  • 点击次数:
  • 下载次数:
历史
  • 收稿日期:2025-11-05
  • 最后修改日期:2025-11-19
  • 录用日期:
  • 在线发布日期: 2026-01-27