不同静脉入路策略在血液透析患者中心静脉狭窄或闭塞腔内治疗中的比较研究
作者:
通讯作者:
作者单位:

1.赣南医科大学第一附属医院,普外三科(血管外科), 江西 赣州 341000;2.赣南医科大学第一附属医院,科研科, 江西 赣州 341000;3.赣南医科大学 心脑血管疾病防治 教育部重点实验室,江西 赣州 341000;4.江西省赣州市健康循证决策重点实验室,江西 赣州 341000;5.南昌大学第二 附属医院 血管外科,江西 南昌 330006

作者简介:

方萃福,赣南医科大学第一附属医院副主任医师,主要从事血管外科、血栓治疗、血液透析通路、医用纳米材料等方面的研究(唐莹为本文共同第一作者)。

基金项目:

江西省卫生健康委科技计划基金资助项目(202210909);赣南医科大学第一附属医院博士科研启动基金资助项目(QD202317)。


Comparison of venous access strategies for endovascular management of central venous stenosis or occlusion in hemodialysis patients
Author:
Affiliation:

1.The Third Ward of Department of General Surgery (Department of Vascular Surgery), the First Affiliated Hospital of Gannan Medical University,, Ganzhou, Jiangxi 341000, China;2.Department of Scientific Research, the First Affiliated Hospital of Gannan Medical University, Ganzhou, Jiangxi 341000, China;3.Key Laboratory of Prevention and Treatment of Cardiovascular and Cerebrovascular Diseases, Ministry of Education, Gannan Medical University, Ganzhou, Jiangxi 341000, China;4.Ganzhou Key Laboratory of Evidence-Based Decision Making in Health, Ganzhou, Jiangxi 341000, China;5.Department of Vascular Surgery, the Second Affiliated Hospital, Nanchang University, Nanchang 330006, China

Fund Project:

undefined

  • 摘要
  • |
  • 图/表
  • |
  • 访问统计
  • |
  • 参考文献
  • |
  • 相似文献
  • |
  • 引证文献
  • |
  • 资源附件
  • |
  • 音频文件
  • |
  • 视频文件
    摘要:

    背景与目的 中心静脉狭窄或闭塞(CVSO)影响血液透析疗效,但最佳静脉入路策略尚不明确。本研究比较单向静脉入路(UVA)与双向静脉入路(BVA)在维持性血液透析患者CVSO行经皮腔内血管成形术(PTA)或支架植入术(PTS)时的适用条件及技术成功率、临床成功率,并根据病变的位置和类型进行分层分析,旨在为不同病变制定个体化的静脉入路选择标准。方法 回顾性分析2019年7月—2024年2月赣南医科大学第一附属医院及南昌大学第二附属医院63例维持性血液透析CVSO患者的临床资料,其中UVA组37例、BVA组26例。比较不同静脉入路在CVSO介入治疗中的技术成功率(残余狭窄<30%)、临床成功率(症状缓解)及通畅率。结果 两组患者基线特征差异无统计学意义(均P>0.05)。总体技术成功率与临床成功率在UVA组与BVA组之间差异均无统计学意义(均P>0.05)。亚组分析显示,UVA组在上腔静脉及头臂静脉狭窄中的技术成功率高于BVA组,且UVA组在头臂静脉狭窄中的临床成功率高于BVA组;而在锁骨下静脉闭塞中,BVA的技术成功率及临床成功率均优于UVA(均P<0.05)。两组6个月及12个月一期、二期通畅率差异均无统计学意义(均P>0.05)。结论 对于上腔静脉或头臂静脉狭窄,优先采用UVA可获得较高的成功率;而在锁骨下静脉闭塞的介入治疗中,BVA更具优势。基于病变部位和类型合理选择静脉入路,有助于提高CVSO介入治疗的成功率并降低操作难度。

    Abstract:

    Background and Aims Central venous stenosis or occlusion (CVSO) compromises the effectiveness of hemodialysis; however, the optimal venous access strategy remains unclear. This study compared the applicability, technical success rates, and clinical success rates of unidirectional venous access (UVA) and bidirectional venous access (BVA) in maintenance hemodialysis patients with CVSO undergoing percutaneous transluminal angioplasty (PTA) or percutaneous transluminal stenting (PTS). Stratified analyses were performed according to lesion location and type, aiming to establish individualized venous access selection criteria for different lesion subtypes.Methods A retrospective analysis was conducted on the clinical data of 63 maintenance hemodialysis patients with CVSO treated between July 2019 and February 2024 at the First Affiliated Hospital of Gannan Medical University and the Second Affiliated Hospital of Nanchang University, including 37 patients in the UVA group and 26 patients in the BVA group. Technical success (residual stenosis <30%), clinical success (symptom relief), and patency outcomes of different venous access strategies in the endovascular treatment of CVSO were compared.Results Baseline characteristics were comparable between the two groups (all P>0.05). No significant differences were observed in overall technical or clinical success rates (both P>0.05). Subgroup analysis demonstrated that the UVA group achieved a higher technical success rate in superior vena cava and brachiocephalic vein stenosis compared to the BVA group, along with a better clinical success rate specifically in brachiocephalic vein stenosis, whereas BVA was associated with significantly higher technical and clinical success rates in subclavian vein occlusion (all P<0.05). No significant differences were found in primary or secondary patency rates at 6 and 12 months (all P>0.05).Conclusion UVA is preferable for stenotic lesions of the superior vena cava and brachiocephalic vein, whereas BVA should be prioritized for subclavian vein occlusion. Tailoring venous access strategies according to lesion location and type may enhance procedural success in endovascular treatment of CVSO.

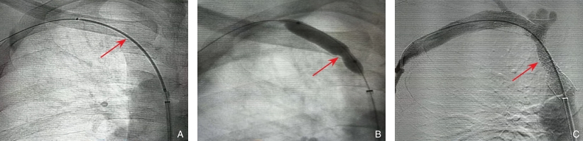
    图1 经股静脉入路的UVA操作步骤 A:导丝进入右头臂静脉(brachiocephalic vein,BCV);B:PTA;C:PTS干预后造影确认静脉通畅Fig.1 Procedural steps of UVA via the femoral vein A: Guidewire advancement into the right brachiocephalic vein (BCV); B: PTA; C: Angiography after PTS confirming venous patency
    图2 经股静脉入路联合患侧IUEHA静脉入路处理右锁骨下静脉(subclavian vein,SCV)闭塞的BVA操作步骤 A:导丝通过右SCV;B:PTA;C:PTS后造影显示血流通畅恢复Fig.2 BVA via the femoral vein combined with ipsilateral IUEHA for right subclavian vein (SCV) occlusion A: Guidewire passage through the right SCV; B: PTA; C: Angiography after PTS showing restoration of blood flow
    图3 两组通畅率的Kaplan-Meier曲线Fig.3 Kaplan-Meier curves of primary and secondary patency rates in the two groups
    表 2 两组技术成功率与临床成功率的亚组分析[构成比(%)]Table 2 Subgroup analysis of technical and clinical success rates between the two groups [proportion (%)]
    参考文献
    相似文献
    引证文献
引用本文

方萃福,唐莹,刘凤恩,付利锋,陈居正,周为民,段青.不同静脉入路策略在血液透析患者中心静脉狭窄或闭塞腔内治疗中的比较研究[J].中国普通外科杂志,2025,34(12):2664-2671.
DOI:10.7659/j. issn.1005-6947.250617

复制
文章指标
  • 点击次数:
  • 下载次数:
历史
  • 收稿日期:2025-11-04
  • 最后修改日期:2025-12-20
  • 录用日期:
  • 在线发布日期: 2026-01-27