SMI-SWE多模态超声联合可解释机器学习模型在中晚期肝癌TACE-RFA术后复发预测中的应用
作者:
通讯作者:
作者单位:

1宁夏医科大学总医院 超声科,宁夏 银川 750000;2宁夏回族自治区人民医院 功能科,宁夏 银川 750000

作者简介:

海秀玲,宁夏医科大学总医院主治医师,主要从事超声波医学方面的研究。

基金项目:

宁夏回族自治区教育厅高等学校科学研究基金资助项目(NYG2024132)。


Application of an explainable multimodal SMI-SWE ultrasound-based machine learning model in predicting recurrence after TACE-RFA for intermediate to advanced liver cancer
Author:
Affiliation:

1Department of Ultrasound, General Hospital of Ningxia Medical University, Yinchuan 750000, China;2Functional Department, People's Hospital of Ningxia Hui Autonomous Region, Yinchuan 750000, China

Fund Project:

  • 摘要
  • |
  • 图/表
  • |
  • 访问统计
  • |
  • 参考文献
  • |
  • 相似文献
  • |
  • 引证文献
  • |
  • 资源附件
  • |
  • 音频文件
  • |
  • 视频文件
    摘要:

    背景与目的 中晚期肝癌患者接受经导管动脉化疗栓塞(TACE)联合射频消融(RFA)序贯治疗后复发率仍较高,术前缺乏可靠的风险分层工具。本研究基于超微血管成像(SMI)与剪切波弹性成像(SWE)构建多模态超声联合机器学习模型,并结合SHAP算法进行可解释性分析,旨在预测中晚期肝癌患者TACE-RFA序贯治疗后的复发风险。方法 回顾性纳入2022年6月—2024年6月215例BCLC B/C期肝癌患者,按7∶3比例分为训练集(n=150)与测试集(n=65)。收集临床资料、生化指标及SMI、SWE超声特征。采用随机森林、支持向量机及极限梯度提升(XGB)进行变量重要性排序,结合交集筛选及双向逐步Logistic回归确定独立预测因子。构建7种机器学习模型,通过10折交叉验证优化参数。以曲线下面积(AUC)、敏感度、特异度、Brier评分及决策曲线分析(DCA)评价模型性能,并利用Tree SHAP解释模型输出。结果 术前肿瘤最大径、甲胎蛋白(AFP)、最大弹性模量(Emax)、弹性比值(Eratio)及血管形态为独立预测因子。XGB模型在训练集与测试集中的AUC分别为0.989和0.959,Brier评分分别为0.034和0.056,DCA显示其在较宽阈值范围内具有最佳净收益。SHAP分析表明,高Eratio、高AFP、血管形态不规则及肿瘤最大径较大显著增加复发风险,而较低Emax与复发风险降低相关。结论 基于SMI-SWE多模态超声构建的XGB模型可较准确预测中晚期肝癌患者TACE-RFA序贯治疗后的复发风险,具有良好的临床应用潜力。SHAP分析增强了模型的可解释性,为术前个体化风险评估和治疗决策提供了量化依据。

    Abstract:

    Background and Aims Recurrence remains common in patients with intermediate to advanced liver cancer after sequential transarterial chemoembolization (TACE) and radiofrequency ablation (RFA). Reliable preoperative risk stratification tools are lacking. This study aimed to develop and validate a multimodal ultrasound-based machine learning model integrating superb microvascular imaging (SMI) and shear wave elastography (SWE) to predict postoperative recurrence after sequential TACE-RFA therapy in patients with intermediate to advanced liver cancer, with model interpretability assessed using SHAP analysis.Methods A total of 215 patients with BCLC stage B/C liver cancer were retrospectively enrolled and randomly divided into a training set (n=150) and a testing set (n=65) at a 7∶3 ratio. Clinical characteristics, laboratory parameters, and SMI/SWE-derived features were collected. Feature importance was ranked using random forest, support vector machine, and extreme gradient boosting (XGB), followed by intersection selection and bidirectional stepwise logistic regression to identify independent predictors. Seven machine learning algorithms were trained with 10-fold cross-validation. Model performance was evaluated using the area under the receiver operating characteristic curve (AUC), sensitivity, specificity, Brier score, and decision curve analysis (DCA). Tree SHAP was applied to interpret feature contributions.Results Preoperative tumor diameter, AFP level, maximum elastic modulus (Emax), elastic ratio (Eratio), and vascular morphology were identified as independent predictors of recurrence. The XGB model achieved the best performance, with AUCs of 0.989 in the training set and 0.959 in the testing set. Brier scores were 0.034 and 0.056, respectively. DCA demonstrated superior net benefit across a wide range of threshold probabilities. SHAP analysis indicated that higher Eratio, elevated AFP, irregular vascular morphology, and larger tumor diameter were associated with increased recurrence risk, whereas lower Emax was associated with reduced risk.Conclusion The proposed SMI-SWE-based XGB model provides accurate and clinically useful prediction of recurrence after sequential TACE-RFA therapy in intermediate to advanced liver cancer. SHAP-based interpretation enhances model transparency and supports individualized preoperative risk assessment.

    图1 患者入组流程图Fig.1 Flowchart of patient enrollment
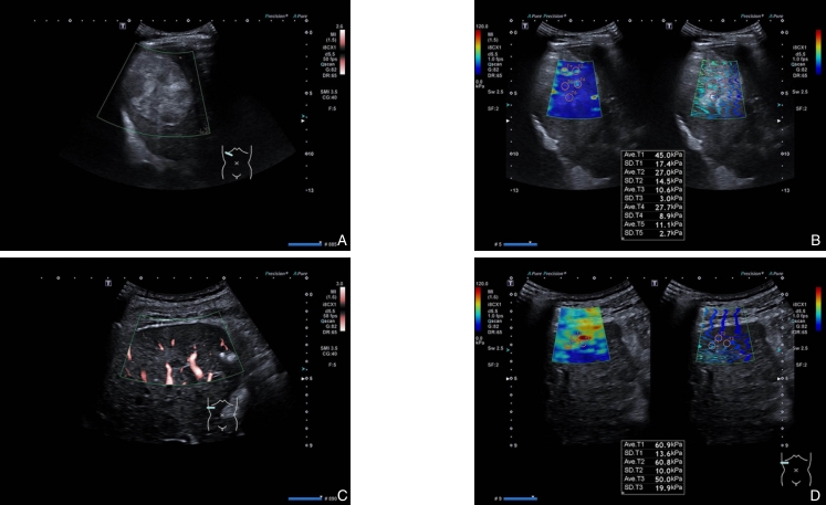
    图2 典型无复发与复发病例超声特征 A-B:56岁男性无复发患者,确诊肝硬化肝癌7个月,TACE-RFA序贯治疗术后6个月超声检查显示,肝右叶见6.6 cm×5.6 cm高回声病灶,SMI示病灶内部及边缘无明显血流信号,Emean为24.3 kPa;C-D:62岁男性复发患者,确诊肝硬化肝癌1年,TACE-RFA术后6个月超声检查显示,病灶大小1.8 cm×1.4 cm,边界清、形态不规则、内回声不均,SMI见病灶内线样血流信号,Emean为57.2 kPaFig.2 Representative ultrasound findings in non-recurrent and recurrent cases A-B: A 56-year-old male without recurrence, diagnosed with cirrhosis and liver cancer for 7 months, and 6 months after sequential TACE-RFA, ultrasonography shows a 6.6 cm×5.6 cm hyperechoic lesion in the right hepatic lobe and SMI demonstrates no detectable intralesional or peripheral vascular signals, with the Emean of 24.3 kPa; C-D: A 62-year-old male with recurrence. Diagnosed with cirrhosis and liver cancer for 1 year, and 6 months after TACE-RFA, ultrasonography reveals a 1.8 cm×1.4 cm lesion with well-defined margins, irregular morphology, and heterogeneous echotexture, and SMI demonstrates linear intralesional vascular signals, with the Emean of 57.2 kPa
    图3 预测变量筛选 A-C:RF、SVM及XGB对所筛选的变量进行重要性排序;D:交集维恩图Fig.3 Predictor screening A-C: Feature importance ranking generated by RF, SVM, and XGB, respectively; D: Intersection Venn diagram
    图4 7种ML算法结果 A:训练集ROC图;B:测试集ROC图;C:训练集DCA图;D:测试集DCA图;E:训练集Brier评分图;F:测试集Brier评分图Fig.4 Results of the 7 ML algorithms A: ROC curves in the training set; B: ROC curves in the testing set; C: DCA in the training set; D: DCA in the testing set; E: Brier score comparison in the training set; F: Brier score comparison in the testing set
    图5 XGB模型的Tree SHAP可视化解释 A:Tree SHAP蜂窝图;B:TACE-RFA术后复发的Tree SHAP Waterfall图Fig.5 Tree SHAP visualization of the XGB model A: Tree SHAP beeswarm plot; B: Tree SHAP waterfall plot for recurrence after TACE-RFA
    表 2 多因素Logistic回归Table 2 Multivariable Logistic regression
    表 3 7种算法的性能Table 3 Performance comparison of seven machine learning models
    参考文献
    相似文献
    引证文献
引用本文

海秀玲,白晓林,彭晖晖,雒夏,袁迎春,张效敏,王琰娟. SMI-SWE多模态超声联合可解释机器学习模型在中晚期肝癌TACE-RFA术后复发预测中的应用[J].中国普通外科杂志,2026,35(2):323-333.
DOI:10.7659/j. issn.1005-6947.250439

复制
文章指标
  • 点击次数:
  • 下载次数:
历史
  • 收稿日期:2025-08-07
  • 最后修改日期:2026-01-19
  • 录用日期:
  • 在线发布日期: 2026-04-09