应用Castor分支型支架联合无名动脉烟囱技术行Z0区TEVAR的初步临床研究
作者:
通讯作者:
作者单位:

1.中南大学湘雅二医院 血管外科,湖南 长沙 410011;2.中南大学血管病研究所,湖南 长沙 410011;3.中国医学科学院 阜外医院/国家心血管病中心 血管外科,北京 100037

作者简介:

张雷,中南大学湘雅二医院博士研究生,主要从事外周血管及主动脉疾病方面的研究(李睿为本文共同第一作者)。

基金项目:

国家自然科学基金资助项目(82120108005);中南大学研究生自主探索创新基金资助项目(2022XQLH153)。


Preliminary clinical experience of zone 0 TEVAR using a Castor branched stent-graft combined with the innominate artery chimney technique
Author:
Affiliation:

1.Department of Vascular Surgery, Second Xiangya Hospital, Central South University, Changsha 410011, China;2.Institute of Vascular Diseases, Central South University, Changsha 410011, China;3.Department of Vascular Surgery, Fuwai Hospital, National Center for Cardiovascular Diseases, Chinese Academy of Medical Sciences & Peking Union Medical College, Beijing 100037, China

Fund Project:

undefined

  • 摘要
  • |
  • 图/表
  • |
  • 访问统计
  • |
  • 参考文献
  • |
  • 相似文献
  • |
  • 引证文献
  • |
  • 资源附件
  • |
  • 音频文件
  • |
  • 视频文件
    摘要:

    背景与目的 胸主动脉腔内修复术(TEVAR)已成为治疗胸主动脉疾病的重要微创手段,但在近端锚定区位于Z0区的复杂主动脉弓部病变中,如何同期重建弓上分支血管仍是技术难点。Castor分支型主动脉覆膜支架可实现左颈总动脉(LCCA)的一体化重建,但其在Z0区应用通常需联合其他技术重建无名动脉(IA)。本研究旨在初步评估Castor分支型支架重建LCCA联合IA烟囱支架技术在Z0区TEVAR中的技术可行性及短期疗效。方法 回顾性分析2024年2月—2024年6月在中南大学湘雅二医院接受Castor分支型主动脉覆膜支架重建LCCA联合IA烟囱支架技术行Z0区TEVAR的主动脉疾病患者资料。收集并分析患者围手术期临床特征、手术相关参数及随访结果,主要观察指标包括技术成功率、围手术期并发症发生情况及弓上分支血管通畅率。左锁骨下动脉(LSA)是否同期重建依据术前影像学评估结果个体化决策。结果 共纳入6例患者,平均年龄51.5岁,男性5例。原发病包括主动脉夹层4例、主动脉弓部动脉瘤1例及穿透性主动脉溃疡1例。所有患者均成功完成手术,技术成功率为100%。其中3例同期行LSA血运重建。术后30 d内未发生死亡、脑卒中、截瘫、内漏、逆撕性A型主动脉夹层、支架移位及上肢缺血等严重并发症。中位随访13(11~15)个月,随访期间未出现主要不良心脑血管事件或支架相关并发症,影像学显示IA、LCCA及重建LSA通畅率均为100%。结论 在严格筛选的小样本患者中,Castor分支型主动脉覆膜支架重建LCCA联合IA烟囱支架技术用于Z0区TEVAR在技术上可行,且短期随访结果显示分支血管通畅率良好。但其安全性及远期疗效仍需通过更大样本量及长期随访研究进一步验证。

    Abstract:

    Background and Aims Thoracic endovascular aortic repair (TEVAR) has become an important minimally invasive treatment for thoracic aortic diseases. However, management of complex aortic arch lesions requiring a proximal landing zone in zone 0 (Z0) remains technically challenging due to the need for supra-aortic branch reconstruction. The Castor single-branched stent-graft enables integrated reconstruction of the left common carotid artery (LCCA), but its application in Z0 TEVAR often necessitates adjunctive techniques for innominate artery (IA) revascularization. This study aimed to preliminarily evaluate the technical feasibility and short-term outcomes of Z0 TEVAR using a Castor branched stent-graft for LCCA reconstruction combined with an IA chimney stent.Methods Patients with aortic pathologies who underwent Z0 TEVAR using a Castor branched stent-graft for LCCA reconstruction combined with an IA chimney stent at the Second Xiangya Hospital of Central South University between February and June 2024 were retrospectively reviewed. Perioperative data and follow-up outcomes were analyzed. Primary endpoints included technical success, perioperative complications, and patency of reconstructed supra-aortic branches. Concomitant left subclavian artery (LSA) revascularization was determined on an individualized basis according to preoperative imaging findings.Results Six patients (mean age 51.5 years; 5 males) were included, with underlying pathologies comprising aortic dissection (n=4), aortic arch aneurysm (n=1), and penetrating aortic ulcer (n=1). All procedures were successfully completed, yielding a technical success rate of 100%. Concomitant LSA revascularization was performed in three patients. No mortality, stroke, spinal cord ischemia, endoleak, retrograde type A aortic dissection, stent migration, or upper extremity ischemia occurred within 30 days postoperatively. During a median follow-up of 13 months (range, 11-15 months), no major adverse cardiovascular or cerebrovascular events or stent-related complications were observed. Imaging follow-up demonstrated 100% patency of the IA, LCCA, and reconstructed LSA.Conclusion In a small, carefully selected cohort, Z0 TEVAR using a Castor branched stent-graft for LCCA reconstruction combined with an IA chimney stent is technically feasible and associated with favorable short-term branch patency. Further studies with larger sample sizes and longer follow-up are required to validate its safety and long-term efficacy.

    图1 典型患者CTA图像 A:术前;B:术后即刻;C:术后1个月;D:术后12个月Fig.1 Representative CTA images of a typical patient A: Preoperative image; B: Immediate postoperative image; C: One-month postoperative follow-up; D: Twelve-month postoperative follow-up
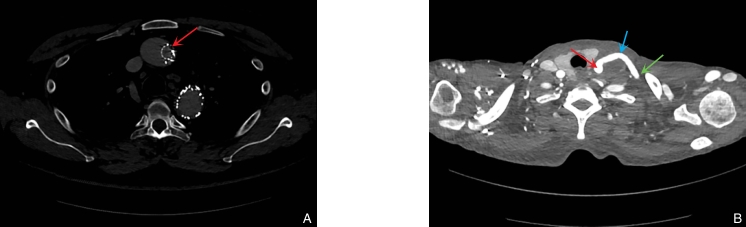
    图2 代表性CT图像 A:TEVAR近端“日偏食样”结构(红色箭头);B:术后随访显示LCCA-LSA人工血管转流术后血流通畅(红色箭头指示LCCA,绿色箭头指示LSA,蓝色箭头指示桥血管)Fig.2 Representative CT images A: Partial solar eclipse-like configuration at the proximal landing zone after TEVAR (shown by red arrow); B: Follow-up imaging showing patent blood flow after LCCA-LSA bypass grafting (red arrow indicates the LCCA, green arrow indicates the LSA, and blue arrow indicates the bypass graft)
    表 2 6例患者疾病类型、解剖参数及支架与手术资料Table 2 Disease types, anatomical parameters, and stent and procedural details of the six patients
    表 3 6例患者疾病类型、解剖参数及支架与手术资料(续)Table 3 Disease types, anatomical parameters, and stent and procedural details of the six patients (continued)
    参考文献
    相似文献
    引证文献
引用本文

张雷,李睿,李全明,黎明,何昊,夏德芗,李鑫,舒畅.应用Castor分支型支架联合无名动脉烟囱技术行Z0区TEVAR的初步临床研究[J].中国普通外科杂志,2025,34(12):2577-2585.
DOI:10.7659/j. issn.1005-6947.250429

复制
文章指标
  • 点击次数:
  • 下载次数:
历史
  • 收稿日期:2025-08-04
  • 最后修改日期:2025-12-16
  • 录用日期:
  • 在线发布日期: 2026-01-27