弥漫性分布感染性坏死性胰腺炎的个体化干预策略:微创阶梯式与直接开腹手术的疗效比较
作者:
通讯作者:
作者单位:

中南大学湘雅三医院 肝胆胰外Ⅱ科,湖南 长沙 410013

作者简介:

李志强,中南大学湘雅三医院主治医师,主要从事肝胆胰疾病方面的研究。

基金项目:

湖南省长沙市自然科学基金资助项目(kq2502238)。


Individualized intervention strategies for diffuse infected necrotizing pancreatitis: a comparative study of minimally invasive step-up and direct open surgery
Author:
Affiliation:

Department of Hepatopancreatobiliary Surgery Ⅱ, the Third Xiangya Hospital, Central South University, Changsha 410013, China

Fund Project:

  • 摘要
  • |
  • 图/表
  • |
  • 访问统计
  • |
  • 参考文献
  • |
  • 相似文献
  • |
  • 引证文献
  • |
  • 资源附件
  • |
  • 音频文件
  • |
  • 视频文件
    摘要:

    背景与目的 感染性坏死性胰腺炎(INP)尤其是弥漫性分布者病情凶险。对于首选干预策略(微创阶梯式vs.直接开腹坏死清除术)仍存在争议;此外“湿性”与“干性”坏死,以及是否合并重症急性胰腺炎(SAP)对策略选择的影响尚不明确。本研究旨在比较两种策略在弥漫性分布INP中的疗效与安全性,并评估基于CT影像的坏死类型与SAP状态在决策中的指导价值。方法 回顾性分析2012年1月—2023年3月中南大学湘雅三医院收治的458例弥漫分布INP患者,其中微创阶梯式组256例,直接开腹组202例。按基于决定因素的分类法定义SAP,依据CT特征将坏死分为“湿性”和“干性”。比较两组主要终点事件(死亡或严重并发症复合终点)及次要终点事件(死亡率、住院时间、切口并发症等),并进行亚组分析。结果 总体上,直接开腹组主要终点事件发生率(62.4% vs. 48.1%,P=0.003)及死亡率(27.2% vs. 16.8%,P=0.008)均高于微创阶梯式组。SAP亚组中,阶梯式治疗主要终点事件发生率更低(66.7% vs. 97.7%,P=0.003)。非SAP患者中,两组主要终点事件发生率相近,但直接开腹组住院时间更短[(36.5±10.4)d vs.(45.6±18.6)d,P<0.001],切口感染和切口疝更常见(均P<0.001)。多因素分析显示,感染出现时间、积液特征、气泡征及坏死部位为阶梯式治疗长期住院的独立预测因素(均P<0.05)。“湿性”坏死患者经微创阶梯式治疗获益更大,而“干性”坏死患者经直接开腹治疗住院时间更短。结论 对于弥漫性分布的INP,治疗策略应基于SAP状态与坏死液化/影像特征个体化选择:阶梯式微创优先适用于SAP患者及CT示“湿性”坏死者;对于“干性”坏死(尤其液化不充分者),直接开腹清创在缩短住院时间与降低某些主要终点事件方面更具优势,但需警惕切口感染与切口疝等并发症。CT影像学特征与SAP分类可作为风险分层工具,指导个体化干预时机与方式。

    Abstract:

    Background and Aims Infected necrotizing pancreatitis (INP), particularly with diffuse distribution, is a life-threatening condition. The optimal initial intervention-minimally invasive step-up therapy vs. direct open necrosectomy-remains controversial. Moreover, the impact of necrosis morphology ("wet" or "dry") and the presence of severe acute pancreatitis (SAP) on treatment selection has not been fully clarified. This study aimed to compare the efficacy and safety of these two approaches in diffuse INP and to evaluate the guiding value of CT-based necrosis type and SAP status in clinical decision-making.Methods A retrospective analysis was conducted on 458 patients with diffuse INP admitted to the Third Xiangya Hospital of Central South University from January 2012 to March 2023. Patients were divided into a minimally invasive step-up group (n=256) and a direct open surgery group (n=202). SAP was defined according to the determinant-based classification, and necrosis was categorized as "wet" or "dry" based on CT features. The primary endpoint was a composite of death or major complications, while secondary endpoints included mortality, length of hospital stay, and incision-related complications, were compared between the two groups, with subgroup analyses performed accordingly.Results Overall, the open surgery group had higher rates of the primary endpoint (62.4% vs. 48.1%, P=0.003) and mortality (27.2% vs. 16.8%, P=0.008) compared with the step-up group. Among SAP patients, the step-up approach resulted in a significantly lower primary endpoint rate (66.7% vs. 97.7%, P=0.003). In non-SAP patients, the primary endpoint rates were similar, but open surgery was associated with a shorter hospital stay [(36.5±10.4) d vs. (45.6±18.6) d, P<0.001] and higher incidences of wound infection and incisional hernia (both P<0.001). Multivariate analysis identified infection onset time, effusion characteristics, gas bubbles, and necrosis location as independent predictors of prolonged hospitalization in the step-up group (all P<0.05). Patients with "wet" necrosis benefited more from the step-up approach, whereas those with "dry" necrosis experienced shorter hospitalization following open surgery.Conclusion For diffusely distributed INP, treatment strategies should be individualized based on SAP status and necrosis liquefaction/imaging characteristics. The step-up minimally invasive approach is preferred for SAP patients and those with "wet" necrosis on CT, while direct open necrosectomy may be advantageous for "dry" necrosis (particularly with limited liquefaction) by shortening hospital stay and reducing certain major outcomes, though at the cost of increased incision infection and incision herina. CT imaging features and SAP classification can serve as valuable tools for risk stratification and guiding individualized timing and modality of intervention.

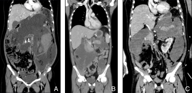
    图1 INP影像学表现 A:坏死组织或液体积聚在胰周及左侧结肠旁沟;B:坏死组织或液体积聚在胰周及右侧结肠旁沟;C:坏死组织或液体积聚在胰周及双侧结肠旁沟Fig.1 Imaging features of INP A: Necrotic tissue or fluid accumulation in the peripancreatic region and left paracolic gutter; B: Accumulation in the peripancreatic region and right paracolic gutter; C: Accumulation in the peripancreatic region and bilateral paracolic gutter
    图2 患者筛选流程Fig.2 Flowchart of patient selection
    图3 微创阶梯式组首次干预后的住院时间分布Fig.3 Distribution of hospital stay after the first intervention in the step-up group
    图4 不同类型INP A:“干性”INP;B:“湿性”INPFig.4 Different types of INP A: Dry necrosis; B: Wet necrosis
    表 2 两组患者的终点事件比较[n(%)]Table 2 Comparison of primary endpoints between the two groups [n(%)]
    表 3 两组SAP患者的终点事件比较[n(%)]Table 3 Primary endpoint events in SAP patients of the two groups [n(%)]
    表 7 微创阶梯式组首次干预后长期住院的预测因素Logistic回归分析Table 7 Logistic regression analysis of predictors for prolonged hospital stay after the first intervention in the step-up group
    参考文献
    相似文献
    引证文献
引用本文

李志强,瞿吉浩然,涂广平,陈浪,余枭,刘云飞.弥漫性分布感染性坏死性胰腺炎的个体化干预策略:微创阶梯式与直接开腹手术的疗效比较[J].中国普通外科杂志,2025,34(9):1909-1922.
DOI:10.7659/j. issn.1005-6947.250388

复制
文章指标
  • 点击次数:
  • 下载次数:
历史
  • 收稿日期:2025-07-09
  • 最后修改日期:2025-08-17
  • 录用日期:
  • 在线发布日期: 2025-10-29