胰腺阔盘吸虫致复发性急性胰腺炎1例报告并文献复习
作者:
通讯作者:
作者单位:

湖南师范大学附属第一医院/湖南省人民医院 肝胆外科,湖南 长沙 410005

作者简介:

曾昕,湖南师范大学附属第一医院/湖南省人民医院住院医师,主要从事肝胆胰外科方面的研究。

基金项目:

湖南省卫生健康委员会基金资助项目(D202304019429);湖南省自然科学基金资助项目(2024JJ931)。


Author:
Affiliation:

Fund Project:

  • 摘要
  • |
  • 图/表
  • |
  • 访问统计
  • |
  • 参考文献
  • |
  • 相似文献
  • |
  • 引证文献
  • |
  • 资源附件
  • |
  • 音频文件
  • |
  • 视频文件
    摘要:

    背景与目的 复发性急性胰腺炎(RAP)病因复杂,其中由寄生虫感染引起者极为罕见。胰腺阔盘吸虫侵入胰管导致梗阻并诱发RAP,目前国内尚无报道。本研究通过1例确诊病例,结合文献复习,探讨其临床特征、诊断难点及防治要点。方法 回顾分析湖南师范大学附属第一医院2023年收治的1例胰腺阔盘吸虫致RAP患者的临床资料,包括影像学、手术及病理学结果,并综述国内外相关文献。结果 患者为59岁女性,表现为反复上腹痛4年。影像学提示胰体尾部多囊性病变并胰管扩张,术前被考虑为胰管内乳头状黏液性肿瘤。行腹腔镜胰体尾及脾切除术后,病理证实导管内存在吸虫虫体及虫卵,最终确诊为胰腺阔盘吸虫感染。术后恢复良好,随访1年未再发胰腺炎。结论 胰腺阔盘吸虫是RAP罕见的病因,临床及影像学表现缺乏特异性,易误诊为胰腺囊性肿瘤。对于病因不明的RAP,尤其是有食用生食或野味史的患者,应重视寄生虫学检查,如粪便虫卵及血清抗体检测,以早期确诊并指导治疗。

    Abstract:

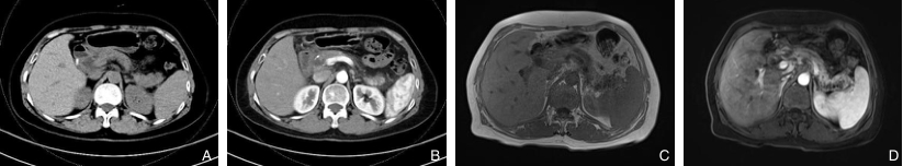
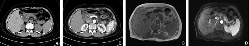
    图1 术前影像学资料 A:术前CT平扫可见胰体尾部囊状扩张;B:术前CT增强可见胰腺体尾部可见多发小片状低密度灶,囊状扩张;C-D:术前MRI增强可见胰腺尾部呈多囊样改变,囊壁、分隔持续强化Fig.1
    图2 术中场景 A:离断胰腺颈部,可见扩张胰管;B:游离胰腺下缘Fig.2
    图3 镜下可见吸虫口器以及左上角虫卵(HE×40)Fig.3
    图1 术前影像学资料 A:术前CT平扫可见胰体尾部囊状扩张;B:术前CT增强可见胰腺体尾部可见多发小片状低密度灶,囊状扩张;C-D:术前MRI增强可见胰腺尾部呈多囊样改变,囊壁、分隔持续强化Fig.1
    图2 术中场景 A:离断胰腺颈部,可见扩张胰管;B:游离胰腺下缘Fig.2
    图3 镜下可见吸虫口器以及左上角虫卵(HE×40)Fig.3
    参考文献
    相似文献
    引证文献
引用本文

曾昕,谭澳宇,刘毅,李佳,华鸿基,孙书潇.胰腺阔盘吸虫致复发性急性胰腺炎1例报告并文献复习[J].中国普通外科杂志,2025,34(9):2029-2033.
DOI:10.7659/j. issn.1005-6947.250382

复制
文章指标
  • 点击次数:
  • 下载次数:
历史
  • 收稿日期:2025-07-08
  • 最后修改日期:2025-09-21
  • 录用日期:
  • 在线发布日期: 2025-10-29