Laennec膜概念指导下肝门部肝段Glisson蒂的应用解剖及其腹腔镜手术应用价值
作者:
通讯作者:
作者单位:

1宁德师范学院附属宁德市医院 肝胆胰脾外科,福建 宁德 352100;2福建医科大学宁德临床医学院,福建 宁德 352100;3宁德师范学院解剖学教研室,福建 宁德352100

作者简介:

常贵建,宁德师范学院附属宁德市医院主治医师,主要从事肝胆胰脾外科方面的研究。

基金项目:

福建省自然科学基金资助项目(2021J011164)。


Applied anatomy of segmental Glissonian pedicles at the hepatic hilum guided by the Laennec's membrane concept and its value in laparoscopic surgery
Author:
Affiliation:

1Department of Hepatobiliary, Pancreatic and Splenic Surgery, Ningde Municipal Hospital, Ningde Normal University, Ningde, Fujian 352100, China;2Ningde Clinical Medicine College of Fujian Medical University, Ningde, Fujian 352100, China;3Department of Anatomy, Ningde Normal University, Ningde, Fujian 352100, China

Fund Project:

  • 摘要
  • |
  • 图/表
  • |
  • 访问统计
  • |
  • 参考文献
  • |
  • 相似文献
  • |
  • 引证文献
  • |
  • 资源附件
  • |
  • 音频文件
  • |
  • 视频文件
    摘要:

    背景与目的 腹腔镜解剖性肝段切除术的核心在于精准识别和处理肝门部各肝段Glisson蒂,而其解剖变异复杂,尤其在右半肝更为突出。Laennec膜为肝门部结构的系统性分离提供了稳定的解剖平面。本研究在Laennec膜解剖理念指导下,对肝门部各肝段Glisson蒂进行系统应用解剖学研究,旨在明确其形态学特征及空间定位规律,为腹腔镜解剖性肝段切除术提供可操作的解剖学依据。方法 选取6例无明显病变的成人完整肝脏标本,在Laennec膜指导下进行精细解剖,系统分离第一肝门部各肝段Glisson蒂并清除其间肝实质。观察并记录各肝段Glisson蒂的起源、分支形式及走行特点。针对右半肝解剖变异较大的特点,建立以4个解剖标志点、2条解剖线及4个特征性解剖角为核心的定位体系,并结合肝脏CT影像及三维重建模型进行参数测量与验证。结果 肝内Glisson系统整体呈现一定共性但个体差异显著。左半肝肝段Glisson蒂变异相对较少,Ⅱ、Ⅲ段多独立分出,Ⅳ段以双支型为主但可呈多分支变异。右半肝各段Glisson蒂变异明显:Ⅴ段常由多支构成,常接受Ⅵ段分支;Ⅵ段分支较多并可参与Ⅴ段及Ⅶ段供血;Ⅶ段多起源于右后肝蒂根部,部分病例由Ⅵ段末梢延续形成;Ⅷ段肝蒂位置较深但形态相对稳定,多为1~2支。所建立的解剖标志体系及相关参数可较为准确地指示右半肝各肝段Glisson蒂的空间位置。结论 在Laennec膜概念指导下,通过系统解剖肝门部各肝段Glisson蒂并引入量化的解剖标志体系,可有效揭示其形态学特征及空间关系,为腹腔镜解剖性肝段切除术中精准定位与安全处理肝段Glisson蒂提供可靠的解剖学基础

    Abstract:

    Background and Aims Precise identification and control of segmental Glissonian pedicles are fundamental to laparoscopic anatomical liver segmentectomy. However, marked anatomical variations, particularly in the right hemiliver, pose significant technical challenges. Based on the anatomical concept of the hepatic Laennec's membrane, this study aimed to systematically investigate the applied anatomy of Glissonian pedicles at the hepatic hilum and to establish practical anatomical landmarks for laparoscopic anatomical liver resection.Methods Six intact adult human liver specimens without macroscopic lesions were dissected under the guidance of the Laennec's membrane concept. The segmental Glissonian pedicles at the first porta hepatis were meticulously isolated, and the intervening liver parenchyma was removed. The origin, branching patterns, and spatial courses of Glissonian pedicles in each hepatic segment were analyzed. For the right hemiliver, a localization system consisting of four anatomical landmarks, two reference lines, and four characteristic angles was proposed and quantitatively evaluated using specimen measurements combined with CT imaging and three-dimensional liver reconstruction.Results The intrahepatic Glissonian system demonstrated both consistent patterns and pronounced individual variations. In the left hemiliver, the Glissonian pedicles of segments Ⅱ and Ⅲ usually arose independently, while segment Ⅳ commonly presented a bifurcated pattern with occasional multiple branches. In contrast, the right hemiliver showed substantial variability: segment V pedicles were frequently multibranched and often received contributions from segment Ⅵ; segment Ⅵ served as a pivotal pedicle with multiple branches contributing to segments V and Ⅶ; segment Ⅶ most commonly originated from the root of the right posterior pedicle, although in some cases it was formed by distal extensions of segment Ⅵ; segment Ⅷ pedicles were relatively constant in morphology, typically consisting of one or two branches. The proposed anatomical landmarks and quantitative parameters enabled clearer spatial localization of segmental Glissonian pedicles in the right liver.Conclusion Systematic dissection of segmental Glissonian pedicles guided by the Laennec's membrane concept, together with a quantitative anatomical landmark system, enhances the understanding of their spatial anatomy and variations. This approach provides practical and reliable anatomical guidance for precise and safe laparoscopic anatomical liver segmentectomy.

    图1 角度指标示意图 A:a角;B:b角;C:c、d角Fig.1 Schematic illustration of angular parameters A: Angle a; B: Angle b; C: Angles c and d
    图2 6例肝脏标本展示Fig.2 Display of 6 liver specimens
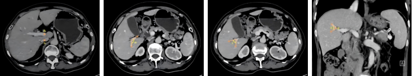
    图3 A、B、C、D点及a、b、c、d角在肝脏CT中的位置显示Fig.3 Localization of points A, B, C, and D and angles a, b, c, and d on liver CT images
    图4 A、B、C、D点及a、b、c、d角在肝脏计算机三维重建中的位置显示Fig.4 Localization of points A, B, C, and D and angles a, b, c, and d on three-dimensional liver reconstruction
    图5 应用本标志体系病例相关资料 A:CT图像标识a角;B:肝三维重建标识c角及肿瘤;C:沿Laennec膜分离Ⅵ段肝蒂;D:沿缺血线标记拟切除线Fig.5 Representative case illustrating the application of the anatomical landmark system A: CT image showing angle a; B: Three-dimensional liver reconstruction showing angle c and the tumor; C: Isolation of the segment Ⅵ Glissonian pedicle along the Laennecs membrane; D: Demarcation of the planned resection line along the ischemic line
    表 1 6例肝脏各项解剖标志原始测量数据Table 1 Raw measurement data of anatomical landmarks in six liver specimens
    参考文献
    相似文献
    引证文献
引用本文

常贵建,卓信斌,雷文俤,谢敏华,黄健,张勇,黄建敏,林德新. Laennec膜概念指导下肝门部肝段Glisson蒂的应用解剖及其腹腔镜手术应用价值[J].中国普通外科杂志,2026,35(1):77-87.
DOI:10.7659/j. issn.1005-6947.250378

复制
文章指标
  • 点击次数:
  • 下载次数:
历史
  • 收稿日期:2025-07-07
  • 最后修改日期:2025-09-03
  • 录用日期:
  • 在线发布日期: 2026-03-04