男性IgG4相关性乳腺炎合并代谢综合征1例报告并文献复习
作者:
通讯作者:
作者单位:

1.暨南大学附属第一医院 胃肠外科,广东 广州 510630;2.暨南大学附属第一医院 乳腺外科,广东 广州 510630;3.暨南大学附属第一医院 泌尿外科,广东 广州 510630

作者简介:

边孜力,暨南大学附属第一医院硕士研究生,主要从事普通外科方面的研究。

基金项目:

暨南大学附属第一医院临床前沿科技计划基金资助项目(JNU1AF-CFTP-2022-a01223)。


Author:
Affiliation:

Fund Project:

  • 摘要
  • |
  • 图/表
  • |
  • 访问统计
  • |
  • 参考文献
  • |
  • 相似文献
  • |
  • 引证文献
  • |
  • 资源附件
  • |
  • 音频文件
  • |
  • 视频文件
    摘要:

    背景与目的 IgG4相关性乳腺炎(IgG4-RM)在女性中较少见,男性患者更为罕见,其影像学及临床表现缺乏特异性,易误诊为乳腺癌或其他良性病变。代谢综合征是否参与IgG4-RM的发生发展,目前尚无定论。本文报告1例合并代谢综合征的男性IgG4-RM患者,旨在总结其诊疗特点并探讨两者之间的潜在关联。方法 回顾性整理患者的临床资料,包括病史、影像学、手术病理、治疗策略及随访情况,并结合相关文献进行综合分析。结果 患者因右乳肿物于2024年12月6日入院,经微创旋切术取得病理并确诊为IgG4-RM。术后给予低剂量地塞米松(3 mg/d)并积极控制血糖、血压、血脂及尿酸等代谢性指标。随访半年,血清IgG4及循环免疫复合物均无异常升高,乳腺超声未见复发征象。结论 微创旋切术联合低剂量糖皮质激素可在男性IgG4-RM患者中取得良好短期效果。代谢综合征可能通过慢性炎症及促纤维化途径参与IgG4-RM的发生与进展。本病例提示临床医师在男性乳腺肿物的鉴别诊断中应重视IgG4-RM的可能性,并关注代谢综合征在疾病中的潜在作用。

    Abstract:

    图1 患者入院乳腺彩超图(右乳见一低回声光团,边界欠清,形态欠规则,内部回声均匀,后方无声影;彩色多普勒血流显像未见血流信号)Fig.1
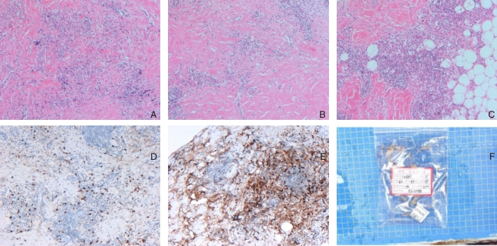
    图2 术后病理 A-C:纤维脂肪结缔组织富含浆细胞的慢性淋巴浆细胞浸润,纤维间质增生伴胶原化(HE×40);D:免疫组化CD38淋巴滤泡间浆细胞阳性(×40);E:免疫组化IgG4+浆细胞数量增加(>40个/HPF),IgG4+/IgG>40%(×40);F:术后大体标本Fig.2
    图3 术后复查彩超(右侧乳头后方探究乳腺样组织,厚约5.0 mm,考虑男性乳房增生可能)Fig.3
    参考文献
    相似文献
    引证文献
引用本文

边孜力,李佳奇,肖澍,何伟丽,潘运龙.男性IgG4相关性乳腺炎合并代谢综合征1例报告并文献复习[J].中国普通外科杂志,2025,34(11):2493-2498.
DOI:10.7659/j. issn.1005-6947.250239

复制
文章指标
  • 点击次数:
  • 下载次数:
历史
  • 收稿日期:2025-04-25
  • 最后修改日期:2025-09-09
  • 录用日期:
  • 在线发布日期: 2025-12-27