黄色肉芽肿性胆囊炎误诊为胆囊癌并合并肝动脉变异1例报告并文献复习
作者:
通讯作者:
作者单位:

1.江西省肿瘤医院/南昌医学院第二附属医院 肝胆胰外科,江西 南昌 330001;2.南昌大学 研究生院医学部,江西 南昌 330001

作者简介:

张建龙,江西省肿瘤医院/南昌医学院第二附属医院主治医师,主要从事肝胆胰疾病的基础及临床方面的研究。

基金项目:

江西省卫生健康委科技计划基金资助项目(202310870)。


Author:
Affiliation:

Fund Project:

  • 摘要
  • |
  • 图/表
  • |
  • 访问统计
  • |
  • 参考文献
  • |
  • 相似文献
  • |
  • 引证文献
  • |
  • 资源附件
  • |
  • 音频文件
  • |
  • 视频文件
    摘要:

    背景与目的 黄色肉芽肿性胆囊炎(XGC)是一种罕见但具有侵袭性的慢性胆囊炎,其临床表现及影像学特征与胆囊癌(GBC)高度相似,术前及术中误诊率较高,易导致治疗策略选择困难。本文通过1例XGC误诊为GBC的病例,总结其误诊原因,并探讨合理的手术决策及术中解剖处理策略。方法 回顾性分析2024年11月江西省肿瘤医院收治的1例XGC患者的临床表现、影像学特征、术中所见、手术方式及病理结果,并结合文献复习,对XGC与GBC的鉴别诊断、治疗原则及肝十二指肠韧带骨骼化清扫中动脉解剖策略进行讨论。结果 患者术前及术中均被诊断为GBC,行胆囊联合周围部分肝脏切除及肝十二指肠韧带骨骼化清扫。术中发现肝动脉解剖变异,通过精细解剖予以完整保留。术后病理证实为XGC,淋巴结呈反应性增生。患者术后恢复顺利,未发生胆汁漏、出血及感染等并发症,随访6个月,生活质量良好。结论 XGC在临床及影像学上极易与GBC混淆。对于术前难以排除恶性的病例,行胆囊联合周围部分肝脏切除具有一定合理性,但应重视术中冷冻病理检查,以避免不必要的扩大手术。同时,肝十二指肠韧带骨骼化清扫过程中应充分认识肝动脉变异并采取“动脉优先”的精细解剖策略,以降低血管损伤相关并发症的发生风险。

    Abstract:

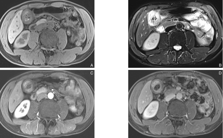
    图1 磁共振检查显示胆囊壁明显增厚,信号不均,胆囊腔内呈低信号影,信号不均 A:T1WI;B:T2WI;C:动脉期;D:静脉期Fig.1
    图2 切除的胆囊标本 A:横断胆囊底部,可见胆囊壁明显增厚,质地不均,胆囊腔内充满黑色结石;B:纵行剖开胆囊体部与胆囊颈部,可见胆囊颈部充满黑色结石Fig.2
    图3 肝十二指肠韧带骨骼化清扫 A:左肝动脉(a)与胃右动脉(b)共干,发自肝固有动脉(c);胆管支动脉(d)连接在肝固有动脉与胰十二指肠上后动脉(e)之间,f示胃十二指肠动脉,g示胰十二指肠上前动脉,h示胃右静脉,蓝箭头示胃右静脉两侧断端;B:将血管回复到原位进行观察,可见“共干”呈前后关系,被前方的血管挡住,胆管支动脉(a)连接在肝固有动脉(b)与胰十二指肠上后动脉(c)之间,胃右静脉两侧断端(蓝箭头)相互靠近,d示胰十二指肠上前动脉Fig.3
    参考文献
    相似文献
    引证文献
引用本文

张建龙,邹恒鑫,袁晨,徐国辉,饶荣生,周存才.黄色肉芽肿性胆囊炎误诊为胆囊癌并合并肝动脉变异1例报告并文献复习[J].中国普通外科杂志,2025,34(12):2724-2730.
DOI:10.7659/j. issn.1005-6947.250222

复制
文章指标
  • 点击次数:
  • 下载次数:
历史
  • 收稿日期:2025-02-22
  • 最后修改日期:2025-07-15
  • 录用日期:
  • 在线发布日期: 2026-01-27