早发广泛性气肿型胰腺炎的临床特征、病原谱及预后分析
作者:
通讯作者:
作者单位:

1.中南大学湘雅医院 普通外科胰腺外科,湖南 长沙 410008;2.国家老年疾病临床医学研究中心(湘雅医院),湖南 长沙 410008

作者简介:

刘柏岐,中南大学湘雅医院硕士研究生,主要从事急性胰腺炎方面的研究。

基金项目:

国家自然科学基金资助项目(82403227);湖南省自然科学基金资助项目(2023JJ30885);国家资助博士后研究人员计划基金资助项目(GZB20230872);中国博士后科学基金面上资助项目和中南大学湘雅医院青年科研基金资助项目(2023Q13);中南大学研究生创新基金资助项目(2024XQLH140)。


Clinical characteristics, microbiological spectrum and outcomes of early-onset extensive emphysematous pancreatitis
Author:
Affiliation:

1.Division of Pancreatic Surgery, Department of General Surgery, Xiangya Hospital, Central South University, Changsha 410008, China;2.National Clinical Research Center for Geriatric Disorders (Xiangya Hospital), Changsha 410008, China

Fund Project:

  • 摘要
  • |
  • 图/表
  • |
  • 访问统计
  • |
  • 参考文献
  • |
  • 相似文献
  • |
  • 引证文献
  • |
  • 资源附件
  • |
  • 音频文件
  • |
  • 视频文件
    摘要:

    背景与目的 早发广泛性气肿型胰腺炎(EP)是一种起病急骤、进展迅速、病死率极高的感染性胰腺坏死(IPN)亚型,临床少见,相关研究有限。本研究旨在分析其临床特征、病原谱特点、治疗方式及预后,为早期识别与干预提供依据。方法 回顾性分析2010年1月—2023年10月中南大学湘雅医院305例IPN患者的临床资料。根据影像学特征筛选出起病2周内胰腺或胰周坏死面积≥50%、呈大片状气泡征的早发广泛性EP 8例,并与普通IPN患者进行比较,分析两组的临床特征、病原学分布、治疗策略及结局。结果 305例IPN中,早发广泛性EP占2.6%。早发广泛性EP组病死率和多器官衰竭发生率均明显高于普通IPN组(75.0% vs. 24.6%、75.0% vs. 34.7%,均P<0.05)。早发广泛性EP患者共检出15株病原微生物,主要为肺炎克雷伯菌(62.5%)和大肠埃希菌(37.5%),其中耐碳青霉烯类肠杆菌感染率明显高于普通IPN组(75.0% vs. 31.1%,P=0.015)。治疗方式以经皮穿刺置管引流为基础的升阶梯策略为主,与普通IPN组无明显差异(P=0.625)。结论 早发广泛性EP是IPN的罕见亚型,具有进展迅速、病死率高的特点。肺炎克雷伯菌和大肠埃希菌是主要致病菌,应警惕其耐药感染风险。对疑似病例应尽早影像学评估并积极干预,以改善预后。

    Abstract:

    Background and Aims Early-onset extensive emphysematous pancreatitis (EP) is a rare but highly lethal subtype of infected pancreatic necrosis (IPN), characterized by abrupt onset and rapid deterioration. This study aimed to investigate its clinical characteristics, microbiological spectrum, treatment approaches, and outcomes to provide evidence for early identification and timely intervention.Methods A retrospective analysis was performed on 305 IPN patients treated at Xiangya Hospital, Central South University, from January 2010 to October 2023. Eight patients who developed gas accumulation involving ≥50% of pancreatic or peripancreatic necrosis within two weeks of onset were defined as early-onset extensive EP. Their clinical data were compared with those of ordinary IPN patients.Results Early-onset extensive EP accounted for 2.6% of all IPN cases. The early-onset extensive EP group had significantly higher mortality and multiple organ failure rates compared with the ordinary IPN group (75.0% vs. 24.6% and 75.0% vs. 34.7%, respectively; both P<0.05). A total of 15 microbial isolates were identified from early-onset extensive EP patients, predominantly Klebsiella pneumoniae (62.5%) and Escherichia coli (37.5%). The infection rate of carbapenem-resistant Enterobacteriaceae (CRE) was markedly higher in the EP group than in the ordinary IPN group (75.0% vs. 31.1%, P=0.015). Most patients were treated using a step-up approach based on percutaneous catheter drainage, with no significant difference in treatment strategy between the two groups (P=0.625).Conclusion Early-onset extensive EP represents a rare and fulminant subtype of IPN with extremely poor outcomes. Klebsiella pneumoniae and CRE are the predominant pathogens. Early radiological evaluation and timely intervention are crucial for improving prognosis in these patients.

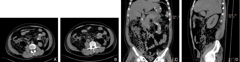
    图1 早发广泛性EP的CT图像(胰周、双侧结肠旁及右侧腹膜后间隙、右下腹前壁组织及右侧腹股沟管内大量积气,呈蜂窝状改变) A-B:横断位;C:冠状位;D:矢状位Fig.1 CT images of early-onset extensive EP (showing massive gas accumulation in the peripancreatic area, bilateral paracolic gutters, right retroperitoneal space, right anterior abdominal wall, and right inguinal canal, forming a honeycomb pattern) A-B: Axial view; C: Coronal view; D: Sagittal view
    表 3 早发广泛性EP与普通IPN患者治疗策略与临床结局比较Table 3 Comparison of treatment strategies and clinical outcomes between early-onset extensive EP and ordinary IPN
    表 1 早发广泛性EP与普通IPN患者的临床特征比较Table 1 Comparison of clinical characteristics between patients with early-onset extensive EP and those with ordinary IPN
    表 2 早发广泛性EP与普通IPN患者的病情和病原学特征比较[n(%)]Table 2 Comparison of disease severity and microbiological characteristics between early-onset extensive EP and ordinary IPN [n(%)]
    表 4 文献报道18例病例信息Table 4 Summary of 18 reported cases in the literature
    参考文献
    相似文献
    引证文献
引用本文

刘柏岐,申鼎成,宁彩虹,林嘉晏,孙泽芳,洪晓悦,朱帅,陈璐,李嘉荣,黄耿文.早发广泛性气肿型胰腺炎的临床特征、病原谱及预后分析[J].中国普通外科杂志,2025,34(9):1902-1908.
DOI:10.7659/j. issn.1005-6947.250123

复制
文章指标
  • 点击次数:
  • 下载次数:
历史
  • 收稿日期:2025-03-05
  • 最后修改日期:2025-09-08
  • 录用日期:
  • 在线发布日期: 2025-10-29