晚期肝内胆管癌靶向-免疫-HAIC三联转化治疗1例及文献复习
作者:
通讯作者:
作者单位:

1.广东医科大学附属医院 肝胆胰外科,广东 湛江 524001;2.广东省肇庆市高要区人民医院 肝胆普外科,广东 肇庆 526040;3.暨南大学附属第五医院 肝胆外科,广东 河源 517000

作者简介:

颜可梁,广东医科大学附属医院硕士研究生,主要从事肝胆胰疾病基础与临床方面的研究(

基金项目:

广东省自然科学基金资助项目(2024A1515220108,2018A030307076);广东医科大学附属医院院内资助临床研究基金资助项目(LCYJ2023A001,LCYJ2021B002);北京科创医学发展基金资助项目(KC2023-JX-0186-FQ036)。


Author:
Affiliation:

Fund Project:

  • 摘要
  • |
  • 图/表
  • |
  • 访问统计
  • |
  • 参考文献
  • |
  • 相似文献
  • |
  • 引证文献
  • |
  • 资源附件
  • |
  • 音频文件
  • |
  • 视频文件
    摘要:

    背景与目的 肝内胆管癌(ICC)是一种起病隐匿、预后极差、初诊多为进展期的原发性肝癌,其治疗选择有限,预后差。本研究旨在探讨靶向治疗、免疫治疗与肝动脉灌注化疗(HAIC)联合应用于晚期ICC的转化治疗的潜力,为临床转化治疗提供参考。方法 回顾广东医科大学附属医院2021年11月收治的1例晚期ICC行靶向治疗、免疫治疗与HAIC联合治疗后成功转化并接受手术患者的诊治过程,并复习国内外相关文献。结果 患者为52岁男性,确诊为T2N1M0-Ⅲb期ICC。患者拒绝接受以吉西他滨联合顺铂为主的一线化疗方案,同意行靶向治疗联合免疫治疗与HAIC的综合治疗,在接受4个治疗周期后评估肿瘤达到部分缓解,具备实施根治性手术治疗的条件。患者随后接受了腹腔镜下肝S6段和部分S7段切除、胆囊切除以及肝门部和腹膜后淋巴结清扫术。术后患者规律行靶向免疫联合化疗的综合治疗方案。在疾病出现复发和转移后,化疗药物进行了相应调整。截至目前,患者无病生存期达15个月,总生存期超过3年。结论 靶向治疗、免疫治疗与HAIC三联方案可提高晚期ICC患者的转化机会并延长生存期,具有较好的安全性和临床应用前景,但其疗效仍需多中心研究进一步验证。

    Abstract:

    图1 患者联合治疗期间CA19-9、CA125、CEA及AFP表达水平的变化Fig.1
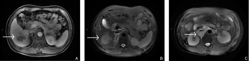
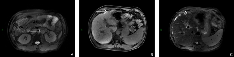
    图2 患者转化治疗前MRI A-B:病变在T1加权成像(T1WI)中呈稍低信号,在T2加权成像(T2WI)中呈高信号;C:肿大淋巴结Fig.2
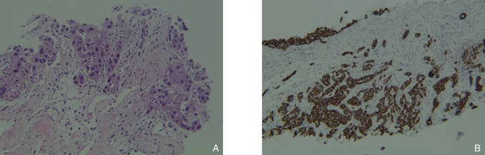
    图3 肝脏穿刺病理 A:HE染色(×200);B:免疫组化CK19(×100)Fig.3
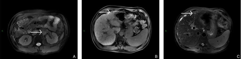
    图4 患者转化治疗后MRI A-B:病变在T1加权成像(T1WI)中呈稍低信号,在T2加权成像(T2WI)中呈高信号;C:原肿大淋巴结消失Fig.4
    图5 患者术中淋巴结清扫情况、手术标本及术后病理 A:肝门区经淋巴结清扫后;B:手术标本(肝脏组织、胆囊、淋巴结);C:HE染色(×400)Fig.5
    图6 2023年6月2024年9月与患者术后复查MRI A:复查可见复发淋巴结;B-C:复查病变在T1加权成像(T1WI)中呈稍低信号,在T2加权成像(T2WI)中呈高信号Fig.6
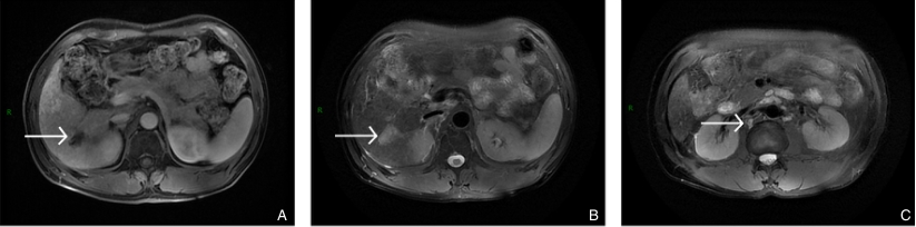
    图7 2024年11月患者术后复查MRI A-B:病变在T1加权成像(T1WI)中呈稍低信号,在T2加权成像(T2WI)中呈高信号;C:可见复发淋巴结Fig.7
    图1 患者联合治疗期间CA19-9、CA125、CEA及AFP表达水平的变化Fig.1
    图2 患者转化治疗前MRI A-B:病变在T1加权成像(T1WI)中呈稍低信号,在T2加权成像(T2WI)中呈高信号;C:肿大淋巴结Fig.2
    图3 肝脏穿刺病理 A:HE染色(×200);B:免疫组化CK19(×100)Fig.3
    图4 患者转化治疗后MRI A-B:病变在T1加权成像(T1WI)中呈稍低信号,在T2加权成像(T2WI)中呈高信号;C:原肿大淋巴结消失Fig.4
    图5 患者术中淋巴结清扫情况、手术标本及术后病理 A:肝门区经淋巴结清扫后;B:手术标本(肝脏组织、胆囊、淋巴结);C:HE染色(×400)Fig.5
    图6 2023年6月与2024年9月患者术后复查MRI A:复查可见复发淋巴结;B-C:复查病变在T1加权成像(T1WI)中呈稍低信号,在T2加权成像(T2WI)中呈高信号Fig.6
    图7 2024年11月患者术后复查MRI A-B:病变在T1加权成像(T1WI)中呈稍低信号,在T2加权成像(T2WI)中呈高信号;C:可见复发淋巴结Fig.7
    参考文献
    相似文献
    引证文献
引用本文

颜可梁,麦伟恒,康钟杰,刘春甫,李作标,刘晓光,陈卫煌,杨永光.晚期肝内胆管癌靶向-免疫-HAIC三联转化治疗1例及文献复习[J].中国普通外科杂志,2025,34(8):1783-1789.
DOI:10.7659/j. issn.1005-6947.250076

复制
文章指标
  • 点击次数:
  • 下载次数:
历史
  • 收稿日期:2025-02-15
  • 最后修改日期:2025-07-30
  • 录用日期:
  • 在线发布日期: 2025-10-11