肝脏原发性孤立巨大黑色素瘤1例并文献复习
作者:
通讯作者:
作者单位:

1.川北医学院,四川 南充 673000;2.四川省自贡市第一人民医院 肝胆外科,四川 自贡 643000

作者简介:

董硕,川北医学院/四川省自贡市第一人民医院硕士研究生,主要从事肝胆胰常见疾病及罕见疾病方面的研究。

基金项目:


China Journal of General Surgery, 2025, 34(7):1553-1559.
Author:
Affiliation:

Fund Project:

  • 摘要
  • |
  • 图/表
  • |
  • 访问统计
  • |
  • 参考文献
  • |
  • 相似文献
  • |
  • 引证文献
  • |
  • 资源附件
  • |
  • 音频文件
  • |
  • 视频文件
    摘要:

    背景与目的 恶性黑色素瘤常见于皮肤及眼部等部位,肝脏原发极为罕见,且缺乏特异性临床与影像学特征,易被误诊。本文报告1例肝脏原发性黑色素瘤(PHM),并结合文献回顾分析其临床特点、诊疗策略及预后。方法 回顾性分析1例经手术切除并病理确诊的PHM患者,检索中国知网、万方、维普及PubMed数据库相关病例,共纳入42例进行总结。结果 患者,男性,61岁,术前误诊为肝细胞癌,术后免疫组化示HMB45、Melan A、SOX10强阳性,确诊为PHM。行手术完全切除肿瘤,术后12个月复发并多发转移。文献分析显示,PHM多见于中老年男性,临床表现不典型,影像学缺乏特异性,确诊依赖病理及免疫组化。预后较差,25例有随访资料的患者中,6个月和12个月生存率分别为28.00%和12.00%。结论 PHM是一种罕见且预后不良的恶性肿瘤,早期诊断困难。手术切除仍是局限性病灶的首选治疗,结合分子靶向及免疫治疗可望改善生存;失去手术机会时,应优先考虑免疫治疗和靶向治疗的个体化方案。

    Abstract:

    图1 术前腹部增强CT A:动脉期可见肝内肿块不均匀强化;B:门脉期见强化消退Fig.1
    图2 术中所见肿瘤及手术标本 A:开腹探查下见肝表面结节隆起状黑色质硬肿物;B:肿瘤切面色黑、实性、质中,未见坏死Fig.2
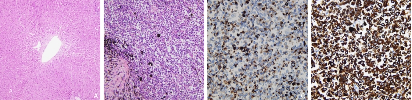
    图3 病理活检与免疫组化染色 A:肝脏切缘未见肿瘤(HE×100);B:肿瘤细胞呈圆形、多边形、梭形,巢样分布(HE×100);C:肿瘤细胞HMB45阳性(SP×200);D:Melan A阳性(SP×200)Fig.3
    参考文献
    相似文献
    引证文献
引用本文

董硕,魏杰,魏然,李富贵.肝脏原发性孤立巨大黑色素瘤1例并文献复习[J].中国普通外科杂志,2025,34(7):1553-1559.
DOI:10.7659/j. issn.1005-6947.240668

复制
文章指标
  • 点击次数:
  • 下载次数:
历史
  • 收稿日期:2024-12-22
  • 最后修改日期:2025-02-16
  • 录用日期:
  • 在线发布日期: 2025-09-02