结肠横纹肌样癌的临床病理特征及预后分析:病例报告与文献回顾
作者:
通讯作者:
作者单位:

中南大学湘雅医院 胃肠外科,湖南 长沙 410008

作者简介:

周祁林,中南大学湘雅医院住院医师,主要从事胃肠外科方面的研究。

基金项目:


Clinicopathologic features and prognostic analysis of colonic rhabdoid carcinoma: a case report and literature review
Author:
Affiliation:

Department of Gastrointestinal Surgery, Xiangya Hospital, Central South University, Changsha 410008, China

Fund Project:

  • 摘要
  • |
  • 图/表
  • |
  • 访问统计
  • |
  • 参考文献
  • |
  • 相似文献
  • |
  • 引证文献
  • |
  • 资源附件
  • |
  • 音频文件
  • |
  • 视频文件
    摘要:

    背景与目的 结肠横纹肌样癌(RCC)是一种极为罕见且高度侵袭性的肿瘤,常伴广泛转移,预后极差,目前尚无标准化治疗方案。本研究报告1例RCC,并结合既往文献总结其临床、病理及分子特征,以期提高对该病的认识。方法 回顾性分析中南大学湘雅医院收治的1例RCC的临床表现、影像学、病理及免疫组化特征,同时检索并整理国内外已报道的36例RCC,汇总其临床资料、免疫表型、基因变异、治疗方式及随访结果。结果 患者为71岁男性,表现为腹胀、腹痛及排便改变,影像及内镜提示升结肠肿瘤并不完全性梗阻。行腹腔镜右半结肠癌根治术,病理示低分化RCC,侵透浆膜层,淋巴结转移4/21;免疫组化示角蛋白AE1/AE3(+)、vimentin(+)、CDX2(-)、CK20(-),Ki-67(80%+),INI1表达保留;基因检测显示KRAS突变、BRAFV600E野生型。患者因经济原因未行放化疗,术后3个月出现腹膜转移而死亡。纳入的37例患者,男女比1.3∶1,平均年龄66岁,62%病变位于右半结肠;多数表现为低分化、横纹肌样细胞占主导,97.06%表达vimentin,100.00%表达角蛋白AE1/AE3,约85.71% CDX2(-);基因中65.00%伴BRAFV600E突变,约22.73%存在KRAS突变;MMR状态中pMMR占60.71%,dMMR占39.29%。多数患者行手术治疗,但78.79%在术后1年内死亡,中位生存6.0个月,仅少部分接受辅助化疗或免疫治疗者生存超过1年。结论 RCC具有高度恶性、生长迅速、易发生早期转移及复发的特点,对常规化疗反应差。其发生可能与肿瘤去分化、INI1缺失及BRAF/KRAS通路异常激活相关。手术仍为主要治疗方式,但术后应积极评估免疫治疗、生物制剂和放疗等综合策略的潜在价值。需进一步研究其分子机制及有效治疗手段。

    Abstract:

    Background and Aims Rhabdoid carcinoma of the colon (RCC) is an exceptionally rare and highly aggressive malignancy characterized by early metastasis and poor prognosis, with no standardized treatment available. We report a case of ascending colon RCC and summarize previously published cases to improve understanding of its clinicopathologic and molecular features.Methods The clinical data, imaging, pathology, and immunohistochemistry of one patient treated at Xiangya Hospital were retrospectively analyzed. In addition, 36 published RCC cases were systematically reviewed. Clinical characteristics, tumor location, immunophenotype, molecular alterations, treatments, and survival outcomes were extracted and summarized.Results A 71-year-old man presented with abdominal distension, pain, and altered bowel habits. Imaging and colonoscopy indicated an obstructing ascending colon mass. Laparoscopic right hemicolectomy was performed. Pathology revealed poorly differentiated RCC infiltrating the serosa with 4/21 lymph-node metastases. Immunohistochemistry showed AE1/AE3 (+), vimentin (+), CDX2 (-), CK20 (-), and Ki-67 (80%+), with retained INI1 expression. Genetic testing indicated KRAS mutation and wild-type BRAFV600E. The patient received no adjuvant therapy and died of peritoneal metastasis within 3 months. Including this case, 37 RCC patients (male to female ratio=1.3∶1; mean age 66 years) have been documented. Sixty-two percent of tumors were right-sided. Most exhibited rhabdoid morphology with diffuse vimentin positivity (97.06%) and AE1/AE3 positivity (100.00%), while CDX2 was negative in 85.71%. BRAFV600E mutation was present in 65.00%, and KRAS mutation in 22.73% of tested cases. Among 28 patients with MMR data, 60.71% were pMMR and 39.29% dMMR. Although surgery was the primary treatment, 78.79% of patients died within 1 year (median survival 6.0 months), with only a few long-term survivors following adjuvant chemotherapy or immunotherapy.Conclusion RCC is a rapidly progressive colorectal malignancy with extremely poor prognosis and limited response to conventional chemotherapy. Tumor dedifferentiation, INI1 deficiency, and alterations in KRAS/BRAF-MAPK signaling may contribute to its pathogenesis. Surgery remains the mainstay of treatment, but incorporation of immunotherapy, targeted agents, and radiotherapy may offer potential benefits. Further studies are urgently needed to define effective therapeutic strategies.

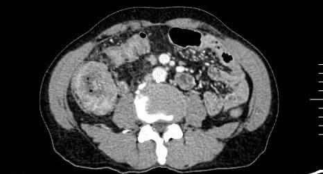
    图1 CT检查提示升结肠管壁不均匀增厚,伴区域内多发肿大淋巴结Fig.1 Abdominal CT showing irregular thickening of the ascending colon wall with multiple enlarged regional lymph nodes
    图2 肠镜可见升结肠一隆起肿物及乙状结肠息肉Fig.2 Colonoscopy revealing a protruding mass in the ascending colon and a sigmoid colon polyp
    图3 术后标本可见升结肠肿物Fig.3 Gross specimen showing an ascending colon mass
    图4 术后标本HE染色结果 A:肿瘤细胞异型性明显,细胞质呈嗜酸性,肿瘤细胞呈“横纹肌样”(×400);B:肿瘤细胞弥漫性分布,与正常腺体分界不清(×400);C:肿瘤细胞突破浆膜(×40)Fig.4 HE staining of the tumor A: Tumor cells with prominent rhabdoid features and eosinophilic cytoplasm (×400); B: Diffuse tumor infiltration with poorly defined boundaries from normal glands (×400); C: Tumor cells penetrating the serosal surface (×40)
    图5 免疫组化检查结果 A:CK20(-)(×100);B:角蛋白AE1/AE3(+)(×400);C:INI1(+)(×400);D:CDX2(-)(×100)Fig.5 Immunohistochemical staining of the tumor A: CK20 negative (×100); B: AE1/AE3 positive (×400); C: INI1 positive (×400); D: CDX2 negative (×100)
    表 1 37例RCC临床资料Table 1 Clinical data of 37 reported cases of RCC
    表 2 37例RCC临床资料(续)Table 2 Clinical data of 37 reported cases of RCC (continued)
    表 3 Table 3
    参考文献
    相似文献
    引证文献
引用本文

周祁林,李玉强,郑林熠,陶醉,谭风波,裴谦,周园,裴海平.结肠横纹肌样癌的临床病理特征及预后分析:病例报告与文献回顾[J].中国普通外科杂志,2025,34(10):2148-2158.
DOI:10.7659/j. issn.1005-6947.240650

复制
文章指标
  • 点击次数:
  • 下载次数:
历史
  • 收稿日期:2024-12-01
  • 最后修改日期:2025-07-13
  • 录用日期:
  • 在线发布日期: 2025-12-05