MRI影像组学结合临床特征的机器学习模型对结直肠癌肝转移的预测价值
作者:
通讯作者:
作者单位:

河南省南阳市第一人民医院 磁共振诊断室,河南 南阳 473000

作者简介:

李波,河南省南阳市第一人民医院副主任医师,主要从事磁共振方面的研究。

基金项目:


The predictive value of MRI imaging omics combined with clinical features in machine learning models for colorectal cancer liver metastasis
Author:
Affiliation:

Department of Magnetic Resonance Imaging, Nanyang First People's Hospital, Nanyang, Henan 473000, China

Fund Project:

  • 摘要
  • |
  • 图/表
  • |
  • 访问统计
  • |
  • 参考文献
  • |
  • 相似文献
  • |
  • 引证文献
  • |
  • 资源附件
  • |
  • 音频文件
  • |
  • 视频文件
    摘要:

    背景与目的 结直肠癌肝转移(CRCLM)是影响患者预后的主要原因,术前无创、精准诊断对制定治疗方案至关重要。传统临床标志物特异性有限,本研究旨在基于多模态MRI影像组学特征,结合机器学习算法,构建预测CRCLM的高效模型,并评价其临床价值。方法 收集2022年5月—2024年5月于河南省南阳市第一人民医院行术前MRI检查并经病理证实的150例结直肠癌患者,随机分为训练集(n=120)和验证集(n=30)。其中CRCLM 57例,无CRCLM 93例。采用单因素与多因素分析筛选CRCLM独立危险因素,建立临床诊断模型。提取多模态MRI影像组学特征,经LASSO筛选后分别构建Logistic回归(LR)、支持向量机(SVM)、随机森林(RF)模型,并比较其诊断效能。建立临床及影像组学联合诊断模型,并通过受试者操作特征和决策曲线(DCA)评估效能与临床获益。结果 癌胚抗原(OR=1.323,95% CI=1.079~1.567)、糖类抗原19-9(OR=2.512,95% CI=1.225~3.799)及中性粒细胞/淋巴细胞比值(OR=1.881,95% CI=1.354~2.409)是CRCLM独立危险因素(均P<0.05),以上3个因素构建的临床诊断模型曲线下面积(AUC)为0.793。RF模型在训练集与验证集AUC最高(0.770、0.763),优于LR和SVM。基于RF的联合诊断模型在训练集与验证集AUC分别为0.913和0.947,明显优于单独临床或影像组学诊断模型,DCA显示联合诊断模型具有最高临床净获益。结论 RF模型在影像组学预测中表现最佳,其与临床特征结合的联合模型能显著提高CRCLM的无创诊断效能,具备较高的临床应用价值。

    Abstract:

    Background and Aims Colorectal cancer liver metastasis (CRCLM) is a major cause of poor prognosis in patients with colorectal cancer. Accurate and noninvasive preoperative diagnosis is essential for treatment planning. Conventional clinical biomarkers have limited specificity. This study aimed to develop an efficient predictive model for CRCLM by integrating multimodal MRI imaging omics features with machine learning algorithms, and to evaluate its clinical value.Methods A total of 150 patients with colorectal cancer who underwent preoperative MRI and were pathologically confirmed at Nanyang First People's Hospital between May 2022 and May 2024 were retrospectively analyzed. Patients were randomly divided into a training set (n=120) and a validation set (n=30), including 57 cases with CRCLM and 93 cases without. Univariate and multivariate analyses were performed to identify independent risk factors for CRCLM and to construct a clinical diagnostic model. Radiomics features were extracted from multimodal MRI, and the least absolute shrinkage and selection operator (LASSO) method was used for feature selection. Logistic regression (LR), support vector machine (SVM), and random forest (RF) models were built and compared for diagnostic performance. A combined clinical-imaging omics model was further established, and its performance and clinical utility were assessed using receiver operating characteristic curves and decision curve analysis (DCA).Results Carcinoembryonic antigen (OR=1.323, 95% CI=1.079-1.567), carbohydrate antigen 19-9 (OR=2.512, 95% CI=1.225-3.799), and neutrophil-to-lymphocyte ratio (OR=1.881, 95% CI=1.354-2.409) were identified as independent risk factors for CRCLM (all P<0.05). The clinical model constructed with these three factors achieved an AUC of 0.793. Among radiomics models, the RF model demonstrated the highest AUC in both training and validation sets (0.770 and 0.763), outperforming LR and SVM. The combined RF-based model yielded AUC of 0.913 and 0.947 in the training and validation sets, respectively, significantly exceeding the performance of the clinical or imaging omics models alone. DCA confirmed the superior net clinical benefit of the combined model.Conclusion The RF model showed the best diagnostic performance among imaging omics models. When integrated with clinical features, the combined RF model significantly improved the noninvasive diagnostic efficacy of CRCLM and demonstrated high potential for clinical application.

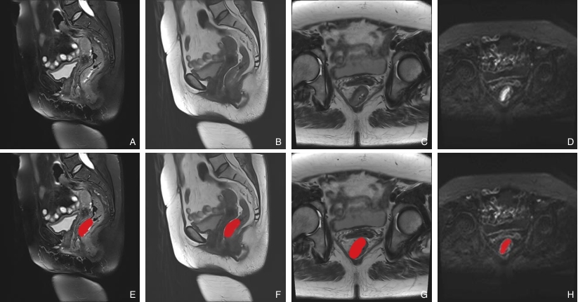
    图1 CRC原发灶的多模态MRI图像及相应ROI勾画示意图 A-D:分别为病灶矢状位压脂T2WI、矢状位T2WI、横断位T2WI、DWI图像;E-H:分别为相应ROI勾画示意图Fig.1 Multimodal MRI images of primary CRC lesions and corresponding ROI delineation A-D: Sagittal fat-suppressed T2WI, sagittal T2WI, axial T2WI, and DWI images; E-H: Corresponding ROI delineation
    图2 CRCLM病灶的多模态MRI图像及相应ROI勾画示意图 A-C:CRCLM病灶DWI、增强横断位T1WI、横断位压脂T1WI;D-F:相应ROI勾画示意图Fig.2 Multimodal MRI images of CRCLM lesions and corresponding ROI delineation A-C: DWI, axial contrast-enhanced T1WI, and axial fat-suppressed T1WI images; D-F: Corresponding ROI delineation
    图3 CEA、CA19-9、NLR及联合预测模型的ROC曲线Fig.3 ROC curves of CEA, CA19-9, NLR, and the combined predictive model
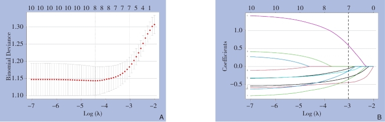
    图4 LASSO回归图 A:LASSO回归交叉验证图;B:LASSO回归系数分布图Fig.4 LASSO regression analysis A: Cross-validation curve for LASSO regression; B: Coefficient distribution map
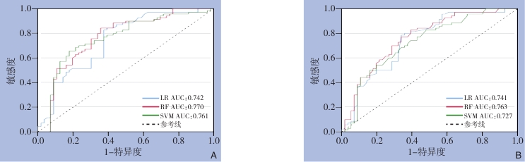
    图5 LR、SVM、RF模型的ROC曲线 A:训练集;B:验证集Fig.5 ROC curves of LR, SVM, and RF models A: Training set; B: Validation set
    图6 RF、临床预测模型和联合模型的ROC曲线 A:训练集;B:验证集Fig.6 ROC curves of RF-based radiomics model, clinical model, and combined model A: Training set; B: Validation set
    图7 联合模型的DCA曲线 A:训练集;B:验证集Fig.7 Decision curve analysis (DCA) of the combined model A: Training set; B: Validation set
    表 1 CRCLM影响因素的单因素分析Table 1 Univariate analysis of factors for CRCLM
    表 2 CRCLM影响因素的多因素分析Table 2 Multivariate analysis of factors for CRCLM
    表 3 筛选出的10个最优影像组学特征及权重Table 3 Ten selected optimal radiomics features and corresponding weights
    表 4 LR、SVM、RF模型的诊断效能Table 4 Diagnostic performance of LR, SVM, and RF models
    参考文献
    相似文献
    引证文献
引用本文

李波,刘冠男. MRI影像组学结合临床特征的机器学习模型对结直肠癌肝转移的预测价值[J].中国普通外科杂志,2025,34(7):1410-1420.
DOI:10.7659/j. issn.1005-6947.240611

复制
文章指标
  • 点击次数:
  • 下载次数:
历史
  • 收稿日期:2024-11-25
  • 最后修改日期:2025-07-18
  • 录用日期:
  • 在线发布日期: 2025-09-02