SPC25通过p53信号通路调控乳腺癌细胞增殖、侵袭及凋亡的机制研究
作者:
通讯作者:
作者单位:

1.青海省人民医院 乳腺甲状腺外科,青海 西宁 810000;2.青海大学附属医院 胸外科,青海 西宁 810000

作者简介:

马晓放,青海省人民医院主治医师,主要从事乳腺甲状腺方面的研究。

基金项目:

青海省卫生和计划生育委员会医药卫生科技基金资助项目(2021-wjzdx-47)。


Role of SPC25 in the regulation of proliferation, invasion, and apoptosis of breast cancer cells via the p53 signaling pathway
Author:
Affiliation:

1.Department of Breast and Thyroid Surgery, Qinghai Provincial People's Hospital, Xi'ning 810000, China;2.Department of Thoracic Surgery, Affiliated Hospital of Qinghai University, Xi'ning 810000, China

Fund Project:

  • 摘要
  • |
  • 图/表
  • |
  • 访问统计
  • |
  • 参考文献
  • |
  • 相似文献
  • |
  • 引证文献
  • |
  • 资源附件
  • |
  • 音频文件
  • |
  • 视频文件
    摘要:

    背景与目的 纺锤体极点构成蛋白25(SPC25)作为NDC80复合物的重要组成部分,在多种恶性肿瘤中异常高表达,但其在乳腺癌中的作用机制尚未明确。本研究旨在探讨SPC25是否通过调控p53信号通路影响乳腺癌细胞的增殖、迁移、侵袭及凋亡,从而阐明其在乳腺癌发生发展中的分子机制。方法 采用慢病毒介导的shRNA构建稳定沉默SPC25的乳腺癌MCF-7细胞系。通过qRT-PCR和Western blot检测SPC25及p53通路相关蛋白(p53、p21、BAX)的表达。采用平板克隆实验、划痕实验和Transwell实验分别评估细胞的增殖、迁移和侵袭能力,流式细胞术检测细胞凋亡情况。建立裸鼠皮下成瘤模型以观察移植瘤生长情况,并检测肿瘤组织中p53通路相关蛋白的表达。同时应用p53抑制剂PFT-α进行机制验证。结果 沉默SPC25显著抑制MCF-7细胞的增殖、迁移和侵袭能力,并促进细胞凋亡(均P<0.05)。与空白对照组比较,SPC25沉默后p53、p21和BAX蛋白表达明显上调(均P<0.05)。p53抑制剂PFT-α可逆转SPC25沉默对乳腺癌细胞增殖、迁移、侵袭及凋亡的影响,并下调p53、p21和BAX的表达(均P<0.05)。裸鼠成瘤实验显示,SPC25沉默明显降低移植瘤体积和质量,同时肿瘤组织中p53通路相关蛋白表达增加,而PFT-α干预可明显削弱上述抑制效应(均P<0.05)。结论 SPC25通过调控p53信号通路促进乳腺癌细胞的增殖、迁移和侵袭,并抑制细胞凋亡。SPC25可能作为乳腺癌潜在的分子治疗靶点,为其精准治疗提供新的理论依据。

    Abstract:

    Background and Aims Spindle pole component 25 (SPC25), a core subunit of the NDC80 complex, is aberrantly overexpressed in various malignancies; however, its role and underlying mechanism in breast cancer remain unclear. This study aimed to investigate whether SPC25 regulates proliferation, migration, invasion, and apoptosis of breast cancer cells through the p53 signaling pathway.Methods A stable SPC25-silenced MCF-7 breast cancer cell line was established using lentivirus-mediated shRNA. The expression levels of SPC25 and p53 pathway-related proteins (p53, p21, and BAX) were examined by qRT-PCR and Western blotting. Cell proliferation, migration, and invasion were assessed using colony formation, wound-healing, and Transwell assays, respectively. Apoptosis was analyzed by flow cytometry. A nude mouse xenograft model was established to evaluate tumor growth in vivo, and the expression of p53 pathway proteins in tumor tissues was detected. A p53 inhibitor (PFT-α) was applied to further verify the mechanism.Results SPC25 silencing significantly inhibited the proliferation, migration, and invasion of MCF-7 cells and promoted apoptosis (all P<0.05). The expression levels of p53, p21, and BAX were markedly upregulated following SPC25 knockdown (all P<0.05). Treatment with the p53 inhibitor PFT-αreversed the inhibitory effects of SPC25 silencing on cell proliferation, migration, invasion, and apoptosis, accompanied by decreased expression of p53, p21, and BAX (all P<0.05). In vivo, SPC25 silencing significantly reduced tumor volume and weight in nude mice and increased the expression of p53 pathway-related proteins in tumor tissues, whereas PFT-α administration attenuated these effects (all P<0.05).Conclusion SPC25 promotes breast cancer cell proliferation, migration, and invasion and inhibits apoptosis by modulating the p53 signaling pathway. These findings suggest that SPC25 may serve as a potential therapeutic target for breast cancer.

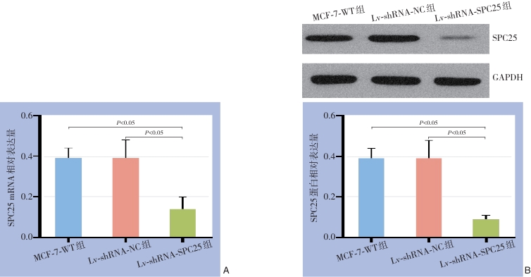
    图1 各细胞的SPC25的表达 A:qRT-PCR检测SPC25 mRNA表达;B:Western blot检测SPC25蛋白表达Fig.1 Expression of SPC25 in different cell groups A: SPC25 mRNA expression detected by qRT-PCR; B: SPC25 protein expression detected by Western blot
    图2 细胞克隆形成实验比较各组乳腺癌细胞的增殖能力Fig.2 Colony formation assay showing the proliferative ability of breast cancer cells in different groups
    图3 划痕实验比较各组乳腺癌细胞的迁移能力Fig.3 Wound-healing assay showing the migratory ability of breast cancer cells in different groups
    图4 Transwell实验比较各组乳腺癌细胞的侵袭能力Fig.4 Transwell assay showing the invasive ability of breast cancer cells in different groups
    图5 流式细胞术检测各组乳腺癌细胞凋亡率Fig.5 Apoptosis rates of breast cancer cells detected by flow cytometry in different groups
    图6 Western blot检测各组细胞SPC25及p53通路相关蛋白的表达Fig.6 Expression of SPC25 and p53 pathway-related proteins in breast cancer cells detected by Western blot
    图7 各组裸鼠与移植瘤代表性图片Fig.7 Representative images of nude mice and xenograft tumors in different groups
    图8 各组裸鼠肿瘤组织p53、p21和BAX蛋白表达情况Fig.8 Expression of p53, p21, and BAX in xenograft tumor tissues detected by Western blot
    参考文献
    相似文献
    引证文献
引用本文

马晓放,李文军,马文飚. SPC25通过p53信号通路调控乳腺癌细胞增殖、侵袭及凋亡的机制研究[J].中国普通外科杂志,2025,34(11):2397-2405.
DOI:10.7659/j. issn.1005-6947.240451

复制
文章指标
  • 点击次数:
  • 下载次数:
历史
  • 收稿日期:2024-08-26
  • 最后修改日期:2025-11-08
  • 录用日期:
  • 在线发布日期: 2025-12-27