调控铁死亡对大鼠下肢缺血再灌注损伤的作用研究
作者:
通讯作者:
作者单位:

1.云南省阜外心血管病医院/昆明医科大学附属心血管病医院 血管外科,云南 昆明 650102;2.宁波大学附属人民医院 血管外科,浙江 宁波 315041

作者简介:

单智远,云南省阜外心血管病医院/昆明医科大学附属心血管病医院硕士研究生/宁波大学附属人民医院住院医师,主要从事血管外科方面的研究。

基金项目:

云南省科技厅重点研发计划基金资助项目(202403AC100004)。


Author:
Affiliation:

Fund Project:

  • 摘要
  • |
  • 图/表
  • |
  • 访问统计
  • |
  • 参考文献
  • |
  • 相似文献
  • |
  • 引证文献
  • |
  • 资源附件
  • |
  • 音频文件
  • |
  • 视频文件
    摘要:

    背景与目的 下肢缺血再灌注损伤(IRI)是血管外科常见并发症,其机制复杂,损伤严重。铁死亡是一种依赖铁离子和脂质过氧化的程序性细胞死亡方式,近年来被发现与多种器官IRI密切相关。本研究旨在探讨铁死亡在大鼠下肢IRI中的作用及调控对损伤的影响。方法 将48只SD大鼠随机分为6组,包括假手术组、模型组、去铁胺组、单剂去铁胺组、右旋糖酐铁组和雷帕霉素组,分别进行相应处理及造模。术后采集腓肠肌和血清样本,行HE和EVG染色评估病理改变,检测氧化应激指标(GSH、MDA、ROS)、细胞损伤指标(LDH)及组织/血清中铁含量。结果 模型组表现出典型的铁死亡相关损伤特征,包括肌纤维溶解、炎性浸润、GSH下降及MDA、ROS、LDH和铁含量升高。右旋糖酐铁组这些损伤表现加重。去铁胺虽降低血清铁,但未显著缓解肌肉组织损伤。雷帕霉素组则在未明显降低铁水平的情况下,显著改善氧化应激与组织病变。结论 铁死亡在下肢IRI骨骼肌损伤中发挥关键作用。抑制铁死亡可减轻损伤,外源性铁负荷则加重损害。传统铁螯合剂对骨骼肌保护作用有限,而雷帕霉素可能通过调节抗氧化途径减轻损伤,为临床干预提供新靶点。未来可探索联合调控铁稳态与脂质过氧化的策略以优化治疗效果。

    Abstract:

    图1 建模及超声检查 A:假手术;B:下肢IRI模型Fig.1
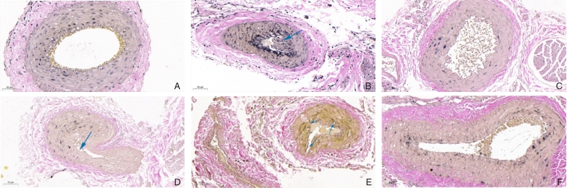
    图2 大鼠血管组织EVG染色(×40;蓝色箭头示内层弹力纤维板断裂、不连续) A:假手术组;B:模型组;C:去铁胺组;D:单剂去铁胺组;E:右旋糖酐铁组;F:雷帕霉素组Fig.2
    图3 大鼠骨骼肌组织HE染色(×200;黑色箭头示肌细胞坏死、溶解;蓝色箭头示炎性细胞浸润) A:假手术组;B:模型组;C:去铁胺组;D:单剂去铁胺组;E:右旋糖酐铁组;F:雷帕霉素组Fig.3
    图4 各组间骨骼肌GSH、MDA、ROS、LDH、血清铁及骨骼肌总铁含量的比较Fig.4
    表 1 Table 1
    参考文献
    相似文献
    引证文献
引用本文

单智远,李衡,郭媛媛.调控铁死亡对大鼠下肢缺血再灌注损伤的作用研究[J].中国普通外科杂志,2025,34(6):1282-1288.
DOI:10.7659/j. issn.1005-6947.240431

复制
文章指标
  • 点击次数:
  • 下载次数:
历史
  • 收稿日期:2024-08-19
  • 最后修改日期:2025-06-19
  • 录用日期:
  • 在线发布日期: 2025-08-01