直肠子宫内膜异位症多学科诊治1例报告并文献复习
作者:
通讯作者:
作者单位:

1.武汉大学中南医院 结直肠肛门外科(武汉市便秘盆底疾病临床医学研究中心);2.湖北省老河口市第一医院 普通外科;3.湖北省潜江市中心医院 普通外科;4.武汉大学中南医院 妇科,;5.武汉大学中南医院 消化内科

作者简介:

陈文豪,武汉大学中南医院副主任医师,主要从事结直肠肛门外科临床方面的研究

基金项目:

国家自然科学基金资助项目(82573053);武汉大学中南医院学科基础建设基金资助项目(PTXM2021012)。


Multidisciplinary management of rectal endometriosis: a case report and literature review
Author:
Affiliation:

1.Department of Colorectal and Anal Surgery (Wuhan Clinical Medical Research Center for Constipation and Pelvic Floor Diseases), Zhongnan Hospital of Wuhan University, Wuhan 430071, China;2.Department of General Surgery, Laohekou First Hospital, Xiangyang, Hubei 441800, China;3.Department of General Surgery, Qianjiang Central Hospital, Qianjiang, Hubei 433100, China;4.Department of Gynecology ,Zhongnan Hospital of Wuhan University, Wuhan 430071, China;5.Department of Gastroenterology, Zhongnan Hospital of Wuhan University, Wuhan 430071, China

Fund Project:

  • 摘要
  • |
  • 图/表
  • |
  • 访问统计
  • |
  • 参考文献
  • |
  • 相似文献
  • |
  • 引证文献
  • |
  • 资源附件
  • |
  • 音频文件
  • |
  • 视频文件
    摘要:

    深部浸润型子宫内膜异位症(DIE)是指子宫内膜异位病灶浸润腹膜下≥5 mm,常累及宫骶韧带、阴道直肠隔、阴道穹隆及直肠壁等部位,因临床表现缺乏特异性、影像学特征不典型而易误诊。本研究报告1例术前经内镜超声引导下细针穿刺活检(EUS-FNA)确诊的直肠DIE患者,结合文献回顾,总结其多学科团队(MDT)诊治经验。患者为35岁女性,因排便困难入院,经MRI及EUS-FNA确诊为直肠DIE。经结直肠肛门外科、妇科及泌尿外科联合讨论后实施腹腔镜直肠病变切除、乙状结肠-直肠吻合及预防性回肠造口术,术后病理证实切缘阴性,4个月后成功还纳造口。随访21个月,患者症状明显缓解,未见复发。结果提示,EUS-FNA在DIE的早期诊断中具有重要价值,而以结直肠肛门外科为主导、妇科与泌尿外科协同的MDT模式可显著提高手术安全性和根治性,对复杂盆腔内异症的精准诊治具有重要指导意义。

    Abstract:

    Deep infiltrating endometriosis (DIE) is defined as endometriotic lesions infiltrating ≥5 mm beneath the peritoneum, commonly affecting the uterosacral ligaments, rectovaginal septum, vaginal vault, and rectal wall. Due to nonspecific clinical manifestations and atypical imaging features, DIE is often misdiagnosed. This study reports a case of rectal DIE diagnosed preoperatively by endoscopic ultrasound-guided fine-needle aspiration (EUS-FNA) and summarizes the multidisciplinary treatment experience in conjunction with a literature review. A 35-year-old woman was admitted for defecation difficulty. MRI and EUS-FNA confirmed rectal DIE. After multidisciplinary team (MDT) evaluation involving colorectal, gynecologic, and urologic specialists, laparoscopic resection of the rectal lesion, sigmoid-rectal anastomosis, and protective ileostomy were performed. Pathology confirmed rectal DIE with negative margins. The stoma was successfully reversed 4 months later, and no recurrence was observed during 21 months of follow-up. These findings highlight the pivotal role of EUS-FNA in early diagnosis and demonstrate that an MDT approach led by colorectal surgeons can significantly enhance surgical safety and completeness, providing valuable guidance for the individualized management of complex pelvic endometriosis.

    图1 患者术前影像资料 A-B:分别为盆腔增强MR T2轴位及T2矢状位,提示直肠中段管壁局限性环形增厚伴管腔明显狭窄,下缘距离肛缘约75 mm,病变范围长约20 mm,病灶与子宫后壁分界不清,局部子宫后壁呈混杂信号,内见小点状T2高信号影,其中橙色箭头指示处为病灶;C:EUS示直肠距肛门8 cm可见环形狭窄,内镜可勉强通过,探头置直肠狭窄处可见直肠右侧壁不均匀增厚,管壁层次结构消失,最厚处10 mm,突破固有肌层,可见明显回声欠均匀低回声囊肿结构,与直肠壁分界尚清,给予22 G穿刺针在增厚直肠壁内抽吸组织条3次送检Fig.1 Preoperative imaging findings of the patient A-B: Pelvic enhanced MRI (T2-weighted axial and sagittal views) showing focal circumferential thickening of the mid-rectum with significant luminal stenosis, the lower margin of the lesion is approximately 75 mm from the anal verge, spanning about 20 mm in length, the lesion shows ill-defined borders with the posterior uterine wall, which displays mixed signal intensity with scattered punctate T2 hyperintense foci (orange arrows indicate the lesion); C: EUS demonstrates a circumferential stenosis 8 cm from the anal verge, barely allowing endoscope passage, the right rectal wall appears irregularly thickened with loss of the normal layered structure (up to 10 mm), breaching the muscularis propria, a heterogeneous hypoechoic cystic area is observed, and three passes of fine-needle aspiration using a 22-gauge needle were performed for pathological sampling
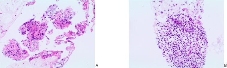
    图2 直肠EUS-FNA组织学检查可见少许子宫内膜腺体及间质(HE×200) A:ER阳性;B:PAX8阳性Fig.2 Histological examination of rectal EUS-FNA showing scant endometrial glands and stroma (HE×200) A: ER positive; B: PAX8 positive
    图3 手术过程 A:显示病灶位于直肠阴道间隔,直肠与阴道后穹隆、子宫颈形成极其致密的粘连,并且与右侧输尿管关系不清;B:先充分游离拓展直肠后间隙、肛提肌上间隙;C:游离直肠右侧间隙,从右侧输尿管腹下神经层面外侧拓展;D:游离并保护右侧输尿管(白色箭头),跨越至输尿管腹下神经层面内侧进行直肠右侧间隙拓展;E:反向自下而上切除病灶,分离阴道(黄色箭头)和直肠(蓝色箭头);F:充分裸化直肠后予直线切割闭合器离断直肠;G:倒刺线妥善缝合关闭阴道;H:行结肠-直肠端-端吻合Fig.3 Intraoperative procedure A: The lesion was located in the rectovaginal septum, forming extremely dense adhesions between the rectum, posterior vaginal fornix, and cervix, with an indistinct relationship to the right ureter; B: Dissection of the retrorectal and supralevator spaces; C: Mobilization of the right pararectal space, extending laterally from the ureter-hypogastric nerve plane; D: The right ureter (white arrow) was identified and protected, and the dissection continued medially across the ureter-hypogastric nerve plane; E: Retrograde dissection and separation of the vagina (yellow arrow) and rectum (blue arrow); F: After full mobilization, the rectum was transected using a linear stapler; G: The vaginal defect was closed securely with barbed sutures; H: An end-to-end colorectal anastomosis was performed
    图4 手术标本病理检查结果(HE×100)Fig.4 Pathological findings of the surgical specimen (HE×100)
    图5 患者诊疗时间轴Fig.5 Diagnostic and therapeutic timeline of the patient
    参考文献
    相似文献
    引证文献
引用本文

陈文豪,曾海刚,郝立政,王细文,肖军,江从庆.直肠子宫内膜异位症多学科诊治1例报告并文献复习[J].中国普通外科杂志,2025,34(10):2205-2211.
DOI:10.7659/j. issn.1005-6947.240427

复制
文章指标
  • 点击次数:
  • 下载次数:
历史
  • 收稿日期:2024-08-16
  • 最后修改日期:2025-10-08
  • 录用日期:
  • 在线发布日期: 2025-12-05