甲状旁腺全切除术联合前臂甲状旁腺自体移植术治疗继发性甲状旁腺功能亢进的临床效果
作者:
通讯作者:
作者单位:

1.广东省高州市人民医院 甲状腺外科,广东 高州 525200;2.广东省高州市人民医院 麻醉科二区,广东 高州 525200;3.深圳大学医学部 临床医学院,广东 深圳 518000;4.北京大学深圳医院 甲乳外科,广东 深圳 518000

作者简介:

李国劲,广东省高州市人民医院副主任医师,主要从事甲状腺及甲状旁腺疾病临床及基础方面的研究。

基金项目:

广东省医学科研基金资助项目(B2021122)。


Clinical outcomes of total parathyroidectomy with forearm autotransplantation in the treatment of secondary hyperparathyroidism
Author:
Affiliation:

1.Department of Thyroid Surgery, Gaozhou People 's Hospital, Gaozhou, Guangdong 525200, China;2.The Second District of Anesthesiology, Gaozhou People 's Hospital, Gaozhou, Guangdong 525200, China;3.Clinical Medical College of Shenzhen University, Shenzhen, Guangdong 518000, China;4.Department of Thyroid and Breast Surgery, Peking University Shenzhen Hospital, Shenzhen, Guangdong 518000, China

Fund Project:

  • 摘要
  • |
  • 图/表
  • |
  • 访问统计
  • |
  • 参考文献
  • |
  • 相似文献
  • |
  • 引证文献
  • |
  • 资源附件
  • |
  • 音频文件
  • |
  • 视频文件
    摘要:

    背景与目的 继发性甲状旁腺功能亢进(SHPT)是慢性肾脏病(CKD)常见且难治的并发症,严重影响患者生活质量和预后。对于药物治疗无效者,手术干预是目前较为有效的治疗方式。本研究旨在评估甲状旁腺全切除术联合前臂甲状旁腺自体移植术(tPTX+AT)治疗CKD并发SHPT的临床疗效与安全性。方法 回顾性分析2020年1月—2023年6月在广东省高州市人民医院接受tPTX+AT手术的40例CKD并发SHPT患者,收集其术前及术后不同时间的全段甲状旁腺激素(iPTH)、血磷、血钙、碱性磷酸酶(ALP)、骨密度(BMD)等指标变化,观察术后症状缓解情况、术后并发症及随访结局。结果 术中共切除158枚甲状旁腺,38例患者成功切除4枚,2例仅切除3枚。患者术后iPTH、血磷、血钙及ALP水平均较术前明显下降(均P<0.05),术后3个月BMD较术前明显升高(P<0.05);术后3个月骨痛、皮肤瘙痒、不宁腿综合征等症状均明显改善(均P<0.05)。术后出现低钙血症34例(85.0%),1例出现一过性喉返神经损伤,1例出现喉上神经损伤,均经治疗后缓解。2例仅切除3枚甲状旁腺的患者术后表现为持续性SHPT,iPTH值水平仍高(分别为457 pg/mL、609 pg/mL),临床症状部分缓解,经药物治疗后控制相对理想,无需再次手术。结论 tPTX+AT能有效纠正SHPT患者的矿物质代谢紊乱,改善BMD和临床症状。术中甲状旁腺切除彻底率高,自体移植技术成熟,尽管术后低钙血症发生率较高,但总体并发症可控,术式安全性和短期疗效较好,是治疗难治性SHPT的有效方法。

    Abstract:

    Background and Aims Secondary hyperparathyroidism (SHPT) is a common and difficult-to-treat complication of chronic kidney disease (CKD), significantly impairing patients' quality of life and prognosis. For patients who respond poorly to medical therapy, surgical intervention remains an effective treatment option. This study aimed to evaluate the clinical efficacy and safety of total parathyroidectomy with forearm autotransplantation (tPTX+AT) in the treatment of CKD-related SHPT.Methods A retrospective analysis was conducted on 40 patients with CKD complicated by SHPT who underwent tPTX+AT in Gaozhou People's Hospital between January 2020 and June 2023. Changes in intact parathyroid hormone (iPTH), serum phosphorus, calcium, alkaline phosphatase (ALP), and bone mineral density (BMD) were recorded preoperatively and at multiple postoperative time points. Postoperative symptom relief, complications, and follow-up outcomes were also analyzed.Results A total of 158 parathyroid glands were removed during surgery. Among the patients, 38 had four glands successfully excised, while two had only three glands removed. After operation, levels of iPTH, phosphorus, calcium, and ALP decreased significantly compared to preoperative values (all P<0.05), and BMD increased significantly at 3 months (P<0.05). Symptoms such as bone pain, pruritus, and restless leg syndrome improved markedly by 3 months postoperatively (all P<0.05). Hypocalcemia occurred in 34 cases (85.0%); one patient experienced transient recurrent laryngeal nerve injury and one had superior laryngeal nerve injury, both of which resolved after treatment. The two patients who had only three glands removed exhibited persistent SHPT postoperatively, with iPTH levels of 457 pg/mL and 609 pg/mL, respectively. Although their symptoms improved partially, the condition was medically controlled without the need for reoperation.Conclusion tPTX+AT can effectively correct mineral metabolism disorders and improve BMD and clinical symptoms in SHPT patients. The procedure achieves a high rate of complete gland resection and stable autograft function. Although postoperative hypocalcemia is common, overall complications are manageable. This surgical approach is safe and effective for the treatment of refractory SHPT.

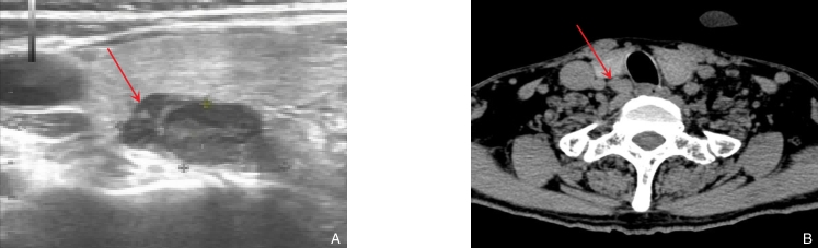
    图1 CKD并发SHPT患者影像学特征 A:超声检查提示甲状腺右叶下极背侧后方可疑甲状旁腺(大小约20.0 mm×9.5 mm);B:CT检查提示甲状腺右叶下极背侧后方可疑甲状旁腺(大小约2 cm×1 cm)Fig.1 Imaging characteristics of a patient with CKD and SHPT A: Ultrasound showing a suspicious parathyroid gland located posterior to the lower pole of the right thyroid lobe (approximately 20.0 mm × 9.5 mm); B: CT scan revealing a suspicious parathyroid gland in the same location (approximately 2 cm × 1 cm)
    图2 术中照片 A:术中显露右上甲状旁腺和右下甲状旁腺;B:切除的病变甲状旁腺大体标本Fig.2 Intraoperative photographs A: Intraoperative exposure of the right superior and right inferior parathyroid glands; B: Gross specimen of the resected pathological parathyroid glands
    表 2 患者术前术后疾病症状发生情况变化[n=40,n(%)]Table 2 Changes in disease symptoms before and after operation [n=40, n (%)]
    图1 CKD并发SHPT患者影像学特征 A:超声检查提示甲状腺右叶下极背侧后方可疑甲状旁腺(大小约20.0 mm×9.5 mm);B:CT检查提示甲状腺右叶下极背侧后方可疑甲状旁腺(大小约2 cm×1 cm)Fig.1 Imaging characteristics of a patient with CKD and SHPT A: Ultrasound showing a suspicious parathyroid gland located posterior to the lower pole of the right thyroid lobe (approximately 20.0 mm × 9.5 mm); B: CT scan revealing a suspicious parathyroid gland in the same location (approximately 2 cm × 1 cm)
    图2 术中照片 A:术中显露右上甲状旁腺和右下甲状旁腺;B:切除的病变甲状旁腺大体标本Fig.2 Intraoperative photographs A: Intraoperative exposure of the right superior and right inferior parathyroid glands; B: Gross specimen of the resected pathological parathyroid glands
    表 2 患者术前术后疾病症状发生情况变化[n=40,n(%)]Table 2 Changes in disease symptoms before and after operation [n=40, n (%)]
    参考文献
    相似文献
    引证文献
引用本文

李国劲,苏茵,吴中强,何劲松,谭军强,龙洋豪.甲状旁腺全切除术联合前臂甲状旁腺自体移植术治疗继发性甲状旁腺功能亢进的临床效果[J].中国普通外科杂志,2025,34(5):937-944.
DOI:10.7659/j. issn.1005-6947.240424

复制
文章指标
  • 点击次数:
  • 下载次数:
历史
  • 收稿日期:2024-08-13
  • 最后修改日期:2024-11-28
  • 录用日期:
  • 在线发布日期: 2025-07-08