CAR、PLR对结直肠手术后吻合口漏的预测价值
作者:
通讯作者:
作者单位:

牡丹江医科大学附属红旗医院 普外二科,黑龙江 牡丹江 157011

作者简介:

谭军,牡丹江医科大学附属红旗医院硕士研究生,主要从事胃肠、肝胆等普外科相关疾病方面的研究。

基金项目:

牡丹江医学院科研基金资助项目(YJSZX2022080)。


Author:
Affiliation:

Fund Project:

  • 摘要
  • |
  • 图/表
  • |
  • 访问统计
  • |
  • 参考文献
  • |
  • 相似文献
  • |
  • 引证文献
  • |
  • 资源附件
  • |
  • 音频文件
  • |
  • 视频文件
    摘要:

    背景与目的 结直肠手术后吻合口漏一直是临床重点关注的术后并发症之一。找到合适的预测指标,准确预测吻合口漏的发生风险,以便早期预防和干预对于保障患者安全、提高术后生活质量意义重大。本文评估C-反应蛋白与白蛋白比值(CAR)、血小板与淋巴细胞比值(PLR)对结直肠手术患者术后吻合口漏的预测价值。方法 回顾性分析牡丹江医科大学附属红旗医院普外二科2023年1月1日—2023年12月31日接受结直肠手术患者的病历资料。结果 共纳入137例结直肠手术患者,其中15例(10.9%)术后发生吻合口漏(吻合口漏组),122例(89.1%)术后未发生吻合口漏(非吻合口漏组)。术后1~4 d内,吻合口漏组患者CAR呈上升趋势,术后第3天达到最高,之后缓缓降低;非吻合口漏组患者CAR则在术后第2天后呈现持续下降趋势。术后第3~7天,吻合口漏组患者CAR均高于非吻合口漏组(均P<0.05)。术后第2、3天吻合口漏组患者PLR均高于非吻合口漏组(均P<0.05)。手术后第4天CAR>4.06时,预测手术吻合口漏的敏感度、特异度分别为86.7%、85.7%;术后第2天PLR>190.07时,预测手术吻合口漏的敏感度、特异度分别为88.9%、80.6%;两者均展现出较高的准确性。结论 CAR、PLR预测术后吻合口漏发生的敏感度和特异度均较好,排除其他感染性并发症后,该两项指标可以为临床医生采取有效的干预性措施提供参考。

    Abstract:

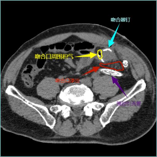
    图1 结直肠手术后吻合口漏CT图像Fig.1
    图2 两组患者CAR、PLR的ROC曲线 A:术后第3~5天CAR;B:术后第2~3天PLRFig.2
    表 3 各指标对结直肠手术患者术后吻合口漏的预测性能Table 3
    参考文献
    相似文献
    引证文献
引用本文

谭军,李海林,赵浩宗,郭海峰,曾海,李鹏翀,周剑. CAR、PLR对结直肠手术后吻合口漏的预测价值[J].中国普通外科杂志,2024,33(12):2105-2110.
DOI:10.7659/j. issn.1005-6947.2024.12.021

复制
文章指标
  • 点击次数:
  • 下载次数:
历史
  • 收稿日期:2024-03-25
  • 最后修改日期:2024-06-06
  • 录用日期:
  • 在线发布日期: 2025-01-14