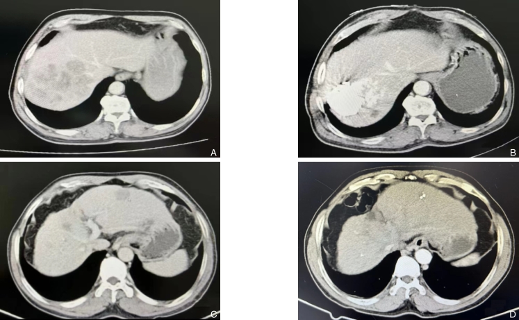
Abstract:Background and Aims For borderline resectable primary liver cancer, the recommended treatment options currently in China according to the Diagnosis and Treatment Guidelines for Primary Liver Cancer (2022 edition) are still transcatheter arterial chemoembolization (TACE), surgical resection, or systemic anti-tumor therapy. Preoperative conversion therapy for primary liver cancer has made significant progress, but specific conversion therapy strategies are still under exploration. This study was performed to explore the real-world efficacy of local conversion therapy using FOLFOX regimen-based hepatic arterial infusion chemotherapy (HAIC) plus transarterial embolization (TAE) in the treatment of borderline resectable liver cancer.Methods The clinical data of 22 patients with borderline resectable (CNLC stage IIb) primary liver cancer who underwent conversion therapy using FOLFOX regimen-based HAIC combined with TAE from April 2019 to February 2022 were collected. Tumor objective response rate (ORR) and disease control rate (DCR) were assessed based on the modified response evaluation criteria in solid tumors (mRECIST). The conversion surgery rate, pathological response rate in postoperative specimens, and the prognosis of patients undergoing or not undergoing surgery after conversion therapy were analyzed.Results All 22 patients completed HAIC combined with TAE treatment. Main adverse reactions included upper abdominal pain, low-grade fever, and short-term liver dysfunction, but no irreversible severe complications occurred. After conversion therapy, the tumor ORR and DCR were 63.6% and 86.3%, respectively, and 3 patients (13.6%) experienced tumor progression. Following the completion of conversion therapy, 14 patients underwent liver cancer resection, and the conversion surgery rate was 63.6%. All surgeries were successfully performed and all achieved R0 resection. There were no postoperative deaths. Postoperative pathology showed major pathological response (MPR) in 10 cases (71.4%), but none achieved complete pathological response (CPR). The average disease-free survival for surgical patients was 14.7 months, and their overall survival was significantly better than non-surgical patients (22.7 months vs. 13.2 months, P=0.018).Conclusion HAIC plus TAE conversion therapy for borderline resectable liver cancer demonstrates excellent tolerability, proving to be a safe and feasible approach that achieves higher ORR, DCR, and conversion surgery rate. Although most patients achieve MPR after preoperative conversion therapy, CPR remains low. So, surgical resection still the key approach for patients to attain long-term survival after liver cancer conversion therapy.