活血清解汤对重症急性胰腺炎大鼠肠道免疫屏障功能的影响及机制
作者:
通讯作者:
作者单位:

1.上海中医药大学附属岳阳中西医结合医院 肝胆胰外科,上海 200437;2.上海交通大学医学院附属上海市第一人民医院 普通外科,上海 200080

作者简介:

梁超,上海中医药大学附属岳阳中西医结合医院主任医师,主要从事肝胆胰疾病方面的研究。

基金项目:

上海中医药大学附属岳阳中西医结合医院青年孵育计划基金资助项目(2019YYQ03)。


Effect of Huoxueqingjie decoction on intestinal immune barrier function in rats with severe acute pancreatitis and the mechanism
Author:
Affiliation:

1.Department of Hepatobiliary and Pancreatic Surgery, Yueyang Hospital of Integrated Traditional Chinese and Western Medicine, Shanghai University of Traditional Chinese Medicine, Shanghai 200437, China;2.Department of General Surgery, Shanghai General Hospital, School of Medicine, Shanghai Jiaotong University, 200080 Shanghai, China

Fund Project:

  • 摘要
  • |
  • 图/表
  • |
  • 访问统计
  • |
  • 参考文献
  • |
  • 相似文献
  • |
  • 引证文献
  • |
  • 资源附件
  • |
  • 音频文件
  • |
  • 视频文件
    摘要:

    背景与目的 重症急性胰腺炎(SAP)易并发肠道免疫屏障功能障碍,笔者前期发现活血清解汤可缓解SAP,但其作用是否与肠道免疫屏障功能有关尚不清楚。因此,本研究探讨活血清解汤对SAP大鼠肠道免疫屏障功能的作用及机制。方法 将SD大鼠随机分成假手术组、SAP模型组(模型组)、SAP模型+活血清解汤治疗组(治疗组),SAP模型采用5%牛磺胆酸钠胰胆管逆行注射法诱导,治疗组造模后给予活血清解汤灌胃,假手术组与模型组给予等体积生理盐水代替。分别在术后6、12 h处死动物,ELISA检测各组血清中的促炎因子TNF-α、抗炎因子IL-4、血淀粉酶及脂肪酶的指标变化;HE染色检测胰腺及小肠组织的病理变化;qRT-PCR及Western blot检测小肠组织巨噬细胞M1型标志物iNOS及M2型标志物Arg-1的表达。将大鼠小肠巨噬细胞分别用牛磺胆酸钠、活血清解汤、牛磺胆酸钠+活血清解汤处理,以无处理的大鼠小肠巨噬细胞为空白对照,用qRT-PCR及Western blot检测各组细胞NF-κB、iNOS、TNF-α、IL-4、Arg-1、TIPE2和PPAR-γ的表达。结果 体内实验中,与假手术组比较,模型组与治疗组术后的TNF-α、IL-4、血淀粉酶、脂肪酶水平均有不同程度升高(部分P<0.05),但治疗组TNF-α、血淀粉酶、脂肪酶升高的程度明显低于模型组,而IL-4升高的水平明显大于模型组(均P<0.05);模型组与治疗组术后胰腺与小肠组织均出现明显的病理损伤,但治疗组的损伤程度小于模型组,且随时间延长,模型组的损伤程度加重,治疗组则减轻,模型组与治疗组胰腺与小肠组织病理评分差异均有统计学意义(均P<0.05);iNOS蛋白与mRNA的表达在模型组小肠组织中表达明显升高,而在治疗组的小肠组织中明显降低(均P<0.05),Arg-1蛋白与mRNA的表达模型组小肠组织后期(12 h)明显升高,而在治疗组的早期(6 h)与后期(12 h)均明显升高,且升高程度大于模型组(均P<0.05)。体外实验中,单独牛磺胆酸钠处理后的大鼠小肠巨噬细胞的NF-κB、iNOS、TNF-α蛋白与mRNA表达水平明显上升(均P<0.05),而Arg-1、IL-4、TIPE2、PPAR-γ蛋白及mRNA表达无明显变化(均P>0.05);单独活血清解汤处理后,大鼠小肠巨噬细胞的Arg-1、IL-4、TIPE2及PPAR-γ蛋白及mRNA表达水平明显升高(均P<0.05),而NF-κB、iNOS、TNF-α蛋白及mRNA表达无明显变化(均P>0.05);与单独牛磺胆酸钠处理比较,牛磺胆酸钠+活血清解汤处理的大鼠小肠巨噬细胞的NF-κB、iNOS及TNF-α蛋白及mRNA表达水平明显下降,而Arg-1、IL-4、TIPE2及PPAR-γ蛋白及mRNA表达水平明显增加(均P<0.05)。结论 中药活血清解汤对SAP大鼠的肠道免疫屏障功能有保护作用,其作用机制可能与调控小肠巨噬细胞由M1型向M2型转化,促进抗炎因子表达,抑制促炎因子的释放,进而缓解全身炎症反应有关。

    Abstract:

    Background and Aims Severe acute pancreatitis (SAP) is always associated with intestinal immune barrier dysfunction. The authors previously found that Huoxueqingjie (HXQJD) decoction can alleviate SAP damage, but whether this action is involved in the intestinal immune barrier function is unclear. Therefore, this study was conducted to investigate the effect of HXQJD decoction on the intestinal immune barrier function in rats with SAP, and the mechanism.Methods The SD rats were randomly divided into sham operation group, SAP model group (SAP group), and SAP model plus HXQJD decoction treatment group (treatment group). The SAP model was established by retrograde biliopancreatic duct infusion of 5% sodium taurocholate (NaT). After the operation, HXQJD decoction was administrated by gavage in the treatment group, and the sham operation group and model group were treated with normal saline in the same fashion. Rats were sacrificed at 6 and 12 h after the operation. The serum pro-inflammatory factor TNF-α, anti-inflammatory factor IL-4, as well as blood amylase and lipase levels were detected by ELISA assay. The pathological changes in the pancreas and small intestine were observed by HE staining. The expressions of M1 macrophage phenotype marker iNOS and M2 macrophage phenotype marker Arg-1 in small intestine tissue were determined by qRT-PCR and Western blot. Rat intestinal macrophages were treated with NaT, HXQJD decoction, or NaT plus HXQJD decoction, respectively, using the untreated rat intestinal macrophages as blank control. The expressions of NF-κB, iNOS, TNF-α, Arg-1, IL-4, TIPE2, and PPAR-γ were examined by qRT-PCR and Western blot, respectively.Results In invivo study, the levels of TNF-α, IL-4, and serum amylase and lipase were increased in different degrees after operation in model group and treatment group compared with sham operation group (partial P<0.05), but the increasing amplitudes of TNF-α, and serum amylase and lipase were lower while increasing amplitude of IL-4 was greater in treatment group than those in model group (all P<0.05); evident pathological injuries were seen in the pancreas and small bowel in both model group and treatment group, but the degrees of injuries were milder in treatment group than those in model group, the injuries were worsened in model group while were alleviated in treatment group with the prolongation of time, and the pathological scores for pancreatic and intestinal tissues were significantly different between model group and treatment group (all P<0.05); the protein and mRNA expression levels of iNOS in the small intestinal tissue were significantly increased in model group while were significantly decreased in treatment group (all P<0.05), and the protein and mRNA expression levels of Arg-1 were significantly increased in late stage in model group while were significantly increased in both early and late stages in treatment group with greater increasing amplitudes than those in model group (all P<0.05). In invitro study, the protein and mRNA expression levels of NF-κB, iNOS, and TNF-α were significantly increased (all P<0.05) while Arg-1, IL-4, TIPE2, and PPAR-γ showed no significant changes (all P>0.05) in the rat intestinal macrophages after NaT treatment alone; the protein and mRNA expression levels of Arg-1, IL-4, TIPE2, and PPAR-γ were significantly increased (all P<0.05) while NF-κB, iNOS, and TNF-α showed no significant changes (all P<0.05) in the rat intestinal macrophages after HXQJD decoction treatment alone; the protein and mRNA expression levels of NF-κB, iNOS, and TNF-α were significantly decreased while Arg-1, IL-4, TIPE2, and PPAR-γ were significantly increased in rat intestinal macrophages after NaT plus HXQJD decoction treatment compared with those after NaT treatment alone (all P<0.05).Conclusion HXQJD decoction offers a protective effect on the intestinal immune barrier function in SAP rats, and its action mechanism may be associated with it regulating the transformation of intestinal macrophages from M1 type to M2 type, promoting the expression of anti-inflammatory factors and inhibiting the release of pro-inflammatory factors, thereby alleviating the systemic inflammatory response.

    图1 各组血清中TNF-α、IL-4、血清淀粉酶及脂肪酶水平比较 1)与假手术组比较,P<0.05;2)与同组6 h比较,P<0.05;3)与模型组同时间点比较,P<0.05Fig.1 Comparison of the serum levels TNF-α, IL-4, amylase and lipase among groups 1) P<0.05 vs. sham operation group; 2) P<0.05 vs. the 6-h value in the same group; 3) P<0.05 vs. the value of the same time point in model group
    图2 各组大鼠胰腺和肠道组织病理学改变(HE×200)Fig.2 The histopathological changes of the pancreatic and intestinal tissues (HE×200)
    图3 Western blot及qRT-PCR检测各组大鼠小肠组织iNOS、Arg-1基因的表达 1)与假手术组比较,P<0.05;2)与模型组同时间点比较,P<0.05Fig.3 The expressions of iNOS and Arg-1 in small intestine among groups of rats detected by Western blot and qRT-PCR 1) P<0.05 vs. sham operation group; 2) P<0.05 vs. the value of the same time point in model group
    图4 CCK-8检测牛磺胆酸钠与活血清解汤对大鼠小肠巨噬细胞的IC50浓度Fig.4 IC50 values of sodium taurocholate and HXQJ decoction on rat intestinal macrophages determined by CCK-8 assay
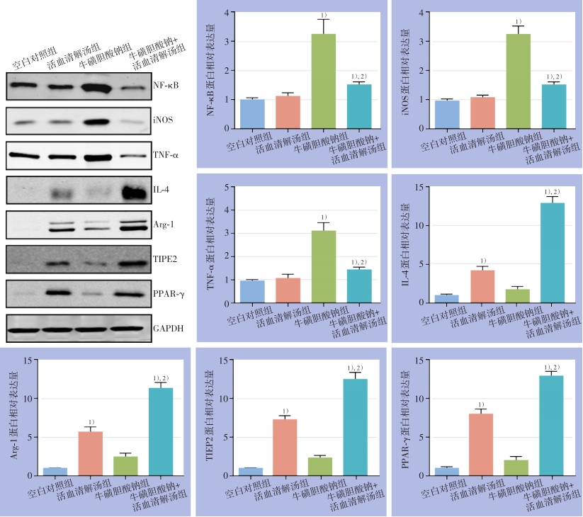
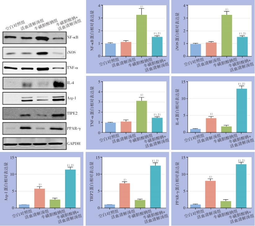
    图5 Western blot检测各组细胞NF-κB、iNOS、TNF-α、Arg-1、IL-4、TIPE2及PPAR-γ蛋白表达 1)与空白对照组比较,P<0.05;2)与牛磺胆酸钠组比较,P<0.05Fig.5 The protein expressions NF-κB, iNOS, TNF-α, Arg-1, IL-4, TIPE2 and PPAR-γ in each group of cells determined by Western blot 1) P<0.05 vs. blank control group; 2) P<0.05 vs. sodium taurocholate group
    图6 qRT-PCR检测各组细胞的NF-κB、iNOS、TNF-α、Arg-1、IL-4、TIPE2及PPAR-γ mRNA表达 1)与空白对照组比较,P<0.05;2)与牛磺胆酸钠组比较,P<0.05Fig.6 The mRNA expressions NF-κB, iNOS, TNF-α, Arg-1, IL-4, TIPE2 and PPAR-γ in each group of cells determined by qRT-PCR 1) P<0.05 vs. blank control group; 2) P<0.05 vs. sodium taurocholate group
    图1 各组血清中TNF-α、IL-4、血清淀粉酶及脂肪酶水平比较 1)与假手术组比较,P<0.05;2)与同组6 h比较,P<0.05;3)与模型组同时间点比较,P<0.05Fig.1 Comparison of the serum levels TNF-α, IL-4, amylase and lipase among groups 1) P<0.05 vs. sham operation group; 2) P<0.05 vs. the 6-h value in the same group; 3) P<0.05 vs. the value of the same time point in model group
    图2 各组大鼠胰腺和肠道组织病理学改变(HE×200)Fig.2 The histopathological changes of the pancreatic and intestinal tissues (HE×200)
    图3 Western blot及qRT-PCR检测各组大鼠小肠组织iNOS、Arg-1基因的表达 1)与假手术组比较,P<0.05;2)与模型组同时间点比较,P<0.05Fig.3 The expressions of iNOS and Arg-1 in small intestine among groups of rats detected by Western blot and qRT-PCR 1) P<0.05 vs. sham operation group; 2) P<0.05 vs. the value of the same time point in model group
    图4 CCK-8检测牛磺胆酸钠与活血清解汤对大鼠小肠巨噬细胞的IC50浓度Fig.4 IC50 values of sodium taurocholate and HXQJ decoction on rat intestinal macrophages determined by CCK-8 assay
    图5 Western blot检测各组细胞NF-κB、iNOS、TNF-α、Arg-1、IL-4、TIPE2及PPAR-γ蛋白表达 1)与空白对照组比较,P<0.05;2)与牛磺胆酸钠组比较,P<0.05Fig.5 The protein expressions NF-κB, iNOS, TNF-α, Arg-1, IL-4, TIPE2 and PPAR-γ in each group of cells determined by Western blot 1) P<0.05 vs. blank control group; 2) P<0.05 vs. sodium taurocholate group
    图6 qRT-PCR检测各组细胞的NF-κB、iNOS、TNF-α、Arg-1、IL-4、TIPE2及PPAR-γ mRNA表达 1)与空白对照组比较,P<0.05;2)与牛磺胆酸钠组比较,P<0.05Fig.6 The mRNA expressions NF-κB, iNOS, TNF-α, Arg-1, IL-4, TIPE2 and PPAR-γ in each group of cells determined by qRT-PCR 1) P<0.05 vs. blank control group; 2) P<0.05 vs. sodium taurocholate group
    表 1 引物序列Table 1 Primer sequences
    参考文献
    相似文献
    引证文献
引用本文

梁超,汪扬,刘新博,李善宝.活血清解汤对重症急性胰腺炎大鼠肠道免疫屏障功能的影响及机制[J].中国普通外科杂志,2022,31(9):1182-1193.
DOI:10.7659/j. issn.1005-6947.2022.09.007

复制
文章指标
  • 点击次数:
  • 下载次数:
历史
  • 收稿日期:2022-03-30
  • 最后修改日期:2022-06-21
  • 录用日期:
  • 在线发布日期: 2022-09-30