G3级胰高血糖素瘤2例报告并文献复习
作者:
通讯作者:
作者单位:

1.西安交通大学第一附属医院 肝胆外科,陕西 西安 710061;2.陕西省扶风县人民医院 普外一科,陕西 扶风 722200

作者简介:

程建波,西安交通大学第一附属医院副主任医师,主要从事普通外科及肝胆外科肿瘤方面的研究。

基金项目:


Author:
Affiliation:

Fund Project:

  • 摘要
  • |
  • 图/表
  • |
  • 访问统计
  • |
  • 参考文献
  • |
  • 相似文献
  • |
  • 引证文献
  • |
  • 资源附件
  • |
  • 音频文件
  • |
  • 视频文件
    摘要:

    背景与目的 胰高血糖素瘤是临床上罕见的神经内分泌肿瘤,其临床症状复杂,误诊率高,确诊时多伴有肝转移,给本病的诊断、治疗及预后带来不利影响,G3级胰高血糖素瘤更为罕见,国内外鲜有对于G3级胰高血糖素瘤的文献报道。因此,本研究通过对于2例G3级胰高血糖素瘤的临床资料并结合文献复习,进一步对该病的特点进行总结,评价治疗的安全性与可行性。以期提高对该病的认识,改善患者预后。方法 回顾性分析西安交通大学第一附属医院肝胆外科2020年7月—2021年8月收治的2例G3级胰高血糖素瘤患者的临床资料及国内外G3级神经内分泌肿瘤相关文献,对该病的临床特征、诊疗方法及疗效进行总结、比较。结果 2例患者均有典型的溶解游走性坏死性红斑、口周炎、糖尿病等胰高血糖素瘤综合征表现,曾多次误诊为湿疹并应用中药和激素反复治疗。患者经手术治疗后,皮疹均明显消退,症状体征明显改善,术后均应用奥曲肽(30 mg/次,肌肉注射,1次/4周)治疗。其中患者1应用奥曲肽时有少量皮疹出现,CT提示肝转移瘤进展,2021年8月口服索凡替尼(300 mg/次,1次/d,连续28 d),2021年9月8日复查上腹部增强CT提示转移灶出现坏死区,但皮疹及口炎症状加重。2021年12月口服卡培他滨(1 500 mg/次,2次/d,连续14 d)联合替莫唑胺(100 mg/次,口服,2次/d,连续5 d),2022年5月皮疹及口炎症状再现。2022年6月1日行肝动脉插管栓塞术,现仍反复出现坏死性红斑。患者2截至2022年5月无明显皮疹,肝脏病变无进展。结论 G3级胰高血糖素瘤是一种高转移性肿瘤,临床以胰高血糖素瘤综合征为表现,易误诊。腹部增强CT、MRI和生长抑素受体显像对于胰高血糖素瘤的诊断有重要价值。其治疗有赖于手术及其他综合治疗手段。

    Abstract:

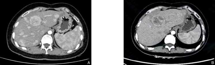
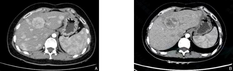
    图1 患者1上腹部增强CT图像 A:2021年9月8日结果;B:2022年5月3日结果Fig.1
    图2 患者2双下肢出现多发红色斑丘疹Fig.2
    图3 患者299mTc-TOC全身显影结果Fig.3
    图4 患者2血糖波动情况Fig.4
    图1 患者1上腹部增强CT图像 A:2021年9月8日结果;B:2022年5月3日结果Fig.1
    图2 患者2双下肢出现多发红色斑丘疹Fig.2
    图3 患者299mTc-TOC全身显影结果Fig.3
    图4 患者2血糖波动情况Fig.4
    表 1 2019年第5版WHO胃肠/肝胆胰神经内分泌肿瘤分类及分级标准Table 1
    参考文献
    相似文献
    引证文献
引用本文

程建波,黎韡,王铮,杨雪,仵正. G3级胰高血糖素瘤2例报告并文献复习[J].中国普通外科杂志,2022,31(9):1255-1260.
DOI:10.7659/j. issn.1005-6947.2022.09.016

复制
文章指标
  • 点击次数:
  • 下载次数:
历史
  • 收稿日期:2022-03-03
  • 最后修改日期:2022-06-16
  • 录用日期:
  • 在线发布日期: 2022-09-30