超声引导下仰卧位和俯卧位两种腘静脉穿刺方法的比较
作者:
通讯作者:
作者单位:

1.复旦大学附属中山医院厦门医院,血管外科,福建 厦门 361015;2.复旦大学附属中山医院厦门医院,科教科,福建 厦门 361015;3.复旦大学附属中山医院 血管外科/复旦大学血管外科研究所,上海 200032

作者简介:

陈刚, 复旦大学附属中山医院厦门医院主治医师,主要从事下肢静脉疾病方面的研究

基金项目:

国家自然科学基金资助项目(82270415)。


Comparison of ultrasound-guided popliteal vein puncture in supine position versus prone position
Author:
Affiliation:

1.Department of Vascular Surgery, Xiamen Branch, Zhongshan Hospital, Fudan University, Xiamen, Fujian 361015, China;2.Department of Science Education, Xiamen Branch, Zhongshan Hospital, Fudan University, Xiamen, Fujian 361015, China;3.Department of Vascular Surgery, Zhongshan Hospital, Fudan University/ Institute of Vascular Surgery, Fudan University, Shanghai 200032, China

Fund Project:

  • 摘要
  • |
  • 图/表
  • |
  • 访问统计
  • |
  • 参考文献
  • |
  • 相似文献
  • |
  • 引证文献
  • |
  • 资源附件
  • |
  • 音频文件
  • |
  • 视频文件
    摘要:

    背景与目的 超声引导下腘静脉穿刺是下肢静脉腔内手术的常用入路之一,目前多是采用俯卧位,但长时间的俯卧位手术会让患者感觉不适。因此,本研究探讨采用仰卧位在超声引导下穿刺腘静脉的可行性,并比较采取仰卧位和俯卧位两种方法的优劣。方法 将髂静脉狭窄性疾病患者随机分成两组,分别在仰卧位和俯卧位下使用超声引导进行腘静脉穿刺,分析术中穿刺所用时间、患者不适程度的视觉模拟评分(VAS)等指标以及术后并发症发生情况。结果 共纳入27例患者,其中仰卧位组14例(16条肢体),俯卧位组13例(16条肢体)。两组患者的基线资料及病变静脉处理方法差异均无统计学意义(均P>0.05)。仰卧位穿刺腘静脉所用的操作时间与俯卧位穿刺腘静脉所用的操作时间差异无统计学意义[3.7(3.4~6.2)min vs. 4.2(3.5~4.4)min,P>0.05]。仰卧位组的VAS评分明显低于俯卧位组[2.0(1.0~2.8)vs. 6.0(4.0~8.0),P<0.01]。仰卧位组有1例术后腘动脉分支出血,经过超声引导下压迫动脉破口后成功治愈。结论 与俯卧位穿刺腘静脉相比,仰卧位穿刺腘静脉不会延长手术时间,但明显减少了患者的不适感,因此,推荐临床使用。

    Abstract:

    Background and Aims Ultrasound-guided popliteal vein puncture is one of the common approaches for the intravenous intervention of the lower limb veins. At present, the prone position is frequently used for this procedure. However, long-time prone-positioned surgery is uncomfortable for patients. Therefore, this study was performed to investigate the feasibility of ultrasound-guided popliteal vein puncture in the supine position and compare the advantages and disadvantages of supine and prone position.Methods Patients with chronic venous disease were randomly assigned to two groups and underwent ultrasound-guided popliteal vein puncture in a supine or prone position, respectively. The variables, such as the operative time for popliteal vein puncture and visual analog score (VAS) for the degree of discomfort of patients and the incidence of postoperative complications, were analyzed.Results A total of 27 patients with iliac vein stenosis were enrolled, including 14 cases (16 limbs) in the supine position group and 13 cases (16 limbs) in the prone position group. There were no significant differences in the baseline data and the treatment methods of the affected veins between the two groups of patients (all P>0.05). The operative time for popliteal vein puncture showed no significant difference between the supine position group and prone position group [3.7 (3.4-6.2) min vs. 4.2 (3.5-4.4) min, P>0.05]. The VAS value was significantly lower in supine position group than that in prone position group [2.0 (1.0-2.8) vs. 6.0 (4.0-8.0), P<0.01]. Bleeding from a branch of the popliteal artery occurred in one supine position group case, which was successfully cured by ultrasound-guided compression of the lesion.Conclusion Popliteal vein puncture in the supine position does not prolong the operative time compared with prone position, but it can significantly reduce the discomfortable suffering of patients. So, it is recommended to be used in clinical practice.

    表 2 两组球囊扩张成形术和支架置入术资料比较[n(%)]Table 2 Comparison of the data of balloon dilatation and stent placement between the two groups [n (%)]
    表 1 两组临床基线资料Table 1 Clinical baseline data of the two groups
    表 3 两组穿刺所用的操作时间和穿刺术中VAS评分的比较 [M(IQR)]Table 3 Comparison of the operative time for puncture and intraoperative VAS scores between the two group [M(IQR)]
    图1 仰卧位超声引导穿刺腘静脉时患肢摆放方法 A:示意图;B:术中实际情况Fig.1 Placement method of affected limb for the ultrasound-guided popliteal vein puncture in a supine position A: Schematic illustration; B: Actually view during operation
    图2 仰卧位超声引导穿刺腘静脉的操作方法 A:穿刺时的手法;B:穿刺针穿刺的角度;C:穿刺过程中可见腘静脉的凹陷征;D:选择避开腘动脉的角度穿刺;E:穿刺成功可见针尾有静脉血流出Fig.2 Procedure of the ultrasound-guided popliteal vein puncture in a supine position A: Hands maneuver for puncture; B: Angle and direction of puncture needle; C: Depression sign of the popliteal vein during puncture; D: Selecting a puncturing angle to keep away from the popliteal artery; E: Venous blood coming out from the needle end after successful puncture
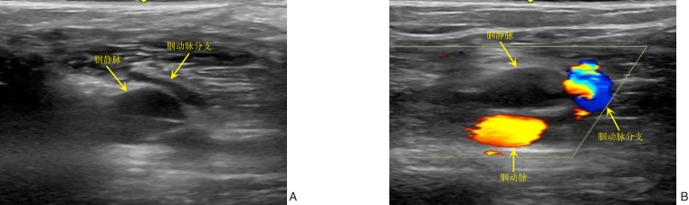
    图3 超声显示腘静脉周围可能围绕着腘动脉分支 A:超声2D图像显示腘静脉周围存在小血管,有明显搏动;B:彩色多普勒超声显示腘静脉周围存在腘动脉分支Fig.3 Ultrasound showing the branches of the popliteal artery possibly wrapping around the popliteal vein A: Ultrasonic 2D image showing small vessels around the popliteal vein with evident pulsation; B: Color Doppler ultrasound showing the branches of the popliteal artery around the popliteal vein
    参考文献
    相似文献
    引证文献
引用本文

陈刚,洪翔,卢伟锋,陈洁瑛,洪诗钗,黄玉龙,陈艺辉,林越,谢新胜,王利新,符伟国.超声引导下仰卧位和俯卧位两种腘静脉穿刺方法的比较[J].中国普通外科杂志,2022,31(12):1628-1635.
DOI:10.7659/j. issn.1005-6947.2022.12.010

复制
文章指标
  • 点击次数:
  • 下载次数:
历史
  • 收稿日期:2021-04-23
  • 最后修改日期:2022-06-14
  • 录用日期:
  • 在线发布日期: 2023-01-08